Abstract
Cholestatic jaundice is the major complication of total parenteral nutrition (TPN) in infancy. We have previously shown that the TPN solution is directly toxic to the liver, and that this toxicity appears to be mediated by one or more amino acids. Elevated serum methionine levels, without corresponding increases in its metabolites, suggest that accumulation of this toxic amino acid may cause TPN cholestasis. Nine-week-old rabbits (n = 28) were divided into three groups. The FED group was fed standard rabbit chow ad libitum. The TPN group was not fed and received only i.v. TPN (including methionine 121 mg·kg-1·d-1), and lipids. The EXP group was fed chow ad libitum and received i.v. methionine (121 mg·kg-1·d-1). After 14 d, we evaluated bile flow, bromosulfophthalein excretion, serum liver enzymes, liver histology, and serum amino acid levels. Bile flow was significantly depressed in the TPN and EXP groups compared with FED controls (32.9 ± 9.4 and 45.7 ± 14.4 versus 82.9 ± 13.8). Excretion of the bilirubin analog bromosulfophthalein tended to be delayed by methionine infusion (p = 0.15). Serum liver enzymes (aspartate transaminase, alanine aminotransferase, γ-glutamyltransferase, and alkaline phosphatase) were normal in all groups. Histologic liver injury in the EXP group was similar to that caused by TPN. Balloon degeneration, and portal inflammation were seen in both groups. Homocysteine, an early metabolite of methionine, was elevated in the TPN and EXP groups compared with FED controls. Intravenous methionine is hepatotoxic. Despite full oral feeding, it produces a depression of bile flow and histologic liver injury similar to that seen with TPN. Elevated homocysteine levels suggests an enzymatic block early in the pathway of methionine metabolism. We believe that methionine may be an important factor in the pathogenesis of TPN cholestasis.
Main
Cholestatic jaundice is the major complication of TPN in infancy. Despite 30 y of clinical experience with TPN, the cause of the liver damage remains unknown. The only effective treatment is to discontinue the TPN and provide all calories and essential nutrients enterally. When this is not possible, progressive liver damage leads to cirrhosis and death.
A previous investigation in our laboratory has shown that the TPN solution itself is directly hepatotoxic and that this toxicity appears to be mediated by one or more sulfur-containing amino acids(1). Specifically, serum methionine level was markedly elevated in animals on TPN compared with controls. The objective of this study was to determine whether infusion of methionine into normally fed rabbits injured the liver in a manner similar to TPN.
METHODS
Nine-week-old New Zealand White rabbits (n = 28) were divided into three groups. The FED group (n = 10) was fed standard rabbit chow ad libitum. The TPN group (n = 9) was not fed and received only i.v. TPN (including methionine 121 mg·kg-1·d-1) and lipids. The experimental (EXP) group (n = 9) was fed rabbit chow ad libitum and received i.v. methionine (121 mg·kg-1·d-1). The study was approved by the institution's animal care and use committee.
Surgical and anesthetic technique has been previously described ((1)). The TPN solution consisted of crystalline amino acids (Aminosyn 10%, Abbott, Chicago, IL) delivered at 3.6 g·kg-1·d-1 and glucose at 14.4 g·kg-1·d-1. Lipids (Intralipid 10%, KabiVitrum Inc., Alameda, CA) were provided at 4 g·kg-1·d-1. Methionine was dissolved in saline and infused continuously via a central venous catheter.
After 14 d on the prescribed diets, we anesthetized the animals, performed a laparotomy, and cannulated the bile duct. We evaluated bile flow rate, excretion of BSP, serum liver enzymes, and liver histology. BSP is an easily measured dye that is taken up by the liver and excreted into bile in a similar manner to bilirubin. We collected blood for amino acid analysis and serum liver enzyme measurement.
Bile flow was determined gravimetrically. BSP concentrations in bile were determined colorimetrically. Homocysteine and cysteine levels were determined by the method of Jacobsen et al.(2). Other amino acids were determined by the Picotag method(3). Liver samples were fixed immediately in formalin, and sections were stained with hematoxylin and eosin and examined by light microscopy.
Results are expressed as mean and SD. Statistical comparisons between groups were made by means of the unpaired t test. Significance was defined as p < 0.05.
RESULTS
Administration of i.v. methionine to normally fed animals injured the liver. We observed significant alterations in hepatobiliary function and liver histology. These changes were similar to but less severe than those seen in animals receiving TPN. Animals in all three groups tolerated their diets well and were healthy at the time of analysis. Weight gain was similar in all groups (approximately 5 g/day).
Bile flow was significantly depressed not only in animals receiving TPN, but also in animals fed a regular diet supplemented by i.v. methionine (Table 1). Excretion of the exogenous dye, BSP, was significantly delayed in the TPN group. It appeared to be delayed in the EXP group as well, but this difference did not achieve statistical significance. Serum liver enzymes, including aspartate transaminase, alanine aminotransferase, γ-glutamyltransferase, and alkaline phosphatase, were normal in all groups.
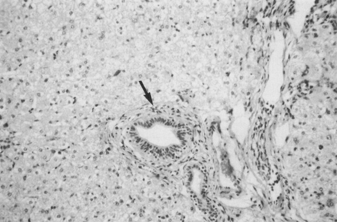
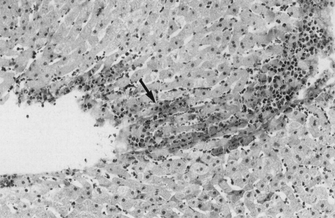
The appearance of the liver of animals fed a normal diet plus i.v. methionine was remarkably similar to that of animals on TPN. Grossly, the livers were swollen and green. In comparison with the normal liver of the FED group we observed balloon degeneration of hepatocytes and an infiltration of the portal triads with eosinophils in the liver of animals on TPN (Figs. 1 and 2). We identified precisely the same abnormalities in normally fed animals receiving i.v. methionine (EXP) (Fig. 3). The only difference between the TPN and EXP groups was that there were some areas of preserved architecture in the EXP group.
We next measured the serum levels of the methionine metabolites homocysteine and cysteine (Table 2). Homocysteine levels were elevated in the TPN and EXP groups. The difference in the TPN group was not statistically significant. The cysteine concentration was low in the group receiving only TPN.
DISCUSSION
Cholestatic jaundice remains the most important complication of TPN in infants(4). The only known treatment for TPN cholestasis is to stop the TPN and provide full nutrition by the gut; usually a clinical impossibility. Improved perioperative care of the neonate with complex gastrointestinal disease has increased survival but usually at the expense of prolonged parenteral support(5). These patients typically are in a race to recover gastrointestinal function before they succumb to the progressive liver disease caused by TPN(6).
Our previous investigations using this rabbit model led to the surprising finding that TPN cholestasis is caused by the solution rather than the i.v. route of delivery(1). We saw the same kind and extent of liver injury whether TPN solution was given by vein or by gut. This contrasts with the prior conclusion that cholestasis is caused by an absence of oral feeding and gut stimulation. We reported previously that in the clinical setting babies on TPN experience progressive liver disease even when 25% of their calories are provided orally(7).
TPN consists of glucose, lipids, and amino acids. We hypothesize that one or more of these agents is hepatotoxic. Excess glucose may cause steatosis but does not cause cholestasis(8). TPN cholestasis was described before i.v. lipids came into clinical use(9). Neither human nor animal studies have found differences in hepatic indices during TPN with or without lipids(10–12). In contrast, both experimental and clinical studies have suggested amino acids cause cholestasis(13–16).
We believe that it should be possible to formulate a TPN solution that does not injure the liver. Perhaps the most compelling argument that suggests this assertion is the fact that a fetus develops a normal liver despite complete parenteral alimentation. In the current study, we have shown that i.v. methionine, at concentrations present in current TPN solutions, injures the liver of normally fed animals.
Methionine levels are elevated during TPN(1). Methionine is an essential sulfur-containing amino acid that is metabolized via the trans-sulfuration pathway shown in simplified form in Figure 4. Abnormalities of the trans-sulfuration pathway may allow methionine to accumulate to excess. This could harm the liver in two ways. First, methionine has been shown to be the most hepatotoxic amino acid(17,18). Abnormally high levels of methionine have been implicated in hepatic injury by a variety of mechanisms.
Second, disruption in the trans-sulfuration pathway increases the liver's susceptibility to oxidative damage. Methionine is a substrate in the synthesis of glutathione in the liver. Glutathione, in its reduced form, is necessary to protect the liver from oxidative injury. In the first step of the transsulfuration pathway, the adenosyl moiety of ATP is added to methionine and one equivalent of ATP is consumed. When given in excess, methionine drastically depletes the liver's ATP reserves(18). This results in a marked shift in hepatic glutathione from its reduced GSH form to its oxidized GSSG form(19). The liver then becomes increasingly susceptible to oxidative injury. A metabolic block within the trans-sulfuration pathway will prevent restoration of liver glutathione levels while allowing methionine to accumulate at toxic levels.
Studies in adults with cirrhosis have confirmed that impairment of the trans-sulfuration pathway leads to methionine excess and a shortage of reduced glutathione(20–22). In fact, the severity of cirrhosis has been correlated with the degree of impairment of the trans-sulfuration pathway(23). We did not measure glutathione levels in this study; further work will answer this important question.
Although excess methionine may damage the adult liver, its effects in the neonate are amplified many fold. The neonate is poorly equipped to handle excess methionine and acutely susceptible to its toxic effects. In human neonates, the trans-sulfuration pathway is immature and only partially functional(24). Specifically, the enzyme cystathionase functions poorly in the neonate(25). Our finding of elevated homocysteine levels is consistent with a blockage at the level of cystathionase.
Methionine levels are elevated in serum after just 1 wk of TPN in human infants(26,27). In infants who died of TPN cholestasis and cirrhosis, methionine levels were markedly elevated shortly before death(28). In animal models, TPN is associated with rapid depletion of liver glutathione. After only 5 d, TPN decreases hepatic glutathione concentration in neonatal rats(29).
We propose that methionine levels in current TPN solutions may be too high for the neonate and could precipitate the liver injury caused by TPN. Our data demonstrate significant functional and structural hepatic injury after 14 d of i.v. methionine. We believe that methionine may be an important factor in the pathogenesis of TPN-associated cholestasis in the neonate. Further studies are needed to elucidate the mechanism of methionine-induced liver damage. Modification of the TPN solution to lower the methionine concentration while providing alternative intermediates to the trans-sulfuration pathway may significantly alleviate cholestasis seen with TPN. These studies are currently in progress.
Abbreviations
- TPN :
-
total parenteral nutrition
- BSP :
-
bromosulfophthalein
References
Moss RL, Das JB, Ansari G, Raffensperger JG 1993 Hepatobiliary dysfunction during total parenteral nutrition is caused by the infusate, not the route of administration. J Pediatr Surg 28: 391–397.
Jacobsen DW, Gatautis VJ, Green R, Robinson K, Savon SR, Secic M, Ji J, Otto JM, Taylor LM Jr 1994 Rapid HPLC determination of total homocysteine and other thiols in serum and plasma: sex differences and correlation with cobalamin and folate concentrations in healthy subjects. Clin Chem 40: 873–881.
Bidlingmeyer BA, Cohen SA, Tarvin TL 1984 Rapid analysis of amino acids using precolumn derivatization. J Chromatogr 336: 93–104.
Balistreri WF, Bove KE 1990 Hepatobiliary consequences of parenteral alimentation. Prog Liver Dis 9: 567–601.
Teitelbaum DH 1997 Parenteral nutrition-associated cholestasis. Curr Opin Pediatr 9: 270–275.
Ginn-Pease ME, Pantalos D, King DR 1985 TPN associated hyperbilirubinemia: a common problem in surgical neonates. J Pediatr Surg 20: 436–439.
Moss RL, Das JB, Raffensperger JG 1993 Total parenteral nutrition associated cholestasis: clinical and histologic correlation. J Pediatr Surg 28: 1270–1275.
Sax HC, Talamini MA, Brackett K, Fischer JE 1986 Hepatic steatosis in total parenteral nutrition: failure of fatty infiltration to correlate with abnormal serum hepatic enzyme levels. Surgery 100: 697–704.
Farrell MK, Balistreri WF 1986 Parenteral nutrition and hepatobiliary dysfunction. Clin Perinatol 13: 197–212.
Zahavi I, Shaffer EA, Gall DG 1985 Total parenteral nutrition associated cholestasis: acute studies in infant and adult rabbits. J Pediatr Gastroenterol Nutr 4: 622–627.
Beale EF, Nelson RM, Bucciarelli RL, Donnelly WH, Eitzman DV 1979 Intrahepatic cholestasis associated with parenteral nutrition in premature infants. Pediatrics 64: 342–347.
Hata S, Kamata S, Nezu R 1989 A newborn rabbit model for total parenteral nutrition: effects of nutritional components on cholestasis. J Parenter Enter Nutr 13: 265–271.
Bucuvalas JC, Goodrich AL, Blitzer BL, Suchy FJ 1985 Amino acids are potent inhibitors of bile acid uptake by liver plasma membrane vesicles isolated from suckling rats. Pediatr Res 19: 1298–1304.
Preisig R, Rennert O 1989 Biliary transport and cholestasic effects of amino acids. Gastroenterology 73: 1240
Black DD, Suttle EA, Whittington PF, Whitington GL, Korones SD 1981 The effect of short-term total parenteral nutrition on hepatic function in the human neonate: a prospective randomized study demonstrating alteration of hepatic canalicular function. J Pediatr 99: 445–449.
Vileisis RA, Inwood RJ, Hunt CE 1980 Prospective controlled study of parenteral nutrition associated cholestatic jaundice: effect of protein intake. J Pediatr 96: 893–897.
Benevenga NJ 1974 Toxicities of methionine and other amino acids. J Agri Food Chem 22: 2–9.
Hardwick DF, Applegarth DA, Cockcroft DM, Ross PM, Cder RJ 1970 Pathogenesis of methionine-induced toxicity. Metabolism 19: 381–391.
Corrales F, Ochoa P, Rivas C, Martin-Lomas M, Mato JM, Pajares MA 1991 Inhibition of glutathione synthesis in the liver leads to S-adenosyl-L-methionine synthetase reduction. Hepatology 14: 528–533.
Duce AM, Ortiz P, Cabrero C, Mato JM 1988 S-adenosyl-L-methionine synthetase and phospholipid methyltransferase are inhibited in human cirrhosis. Hepatology 8: 65–68.
Horowitz JH, Rypins EB, Henderson JM, Heymsfield SB, Moffitt SB, Moffitt SD, Bain RP, Chawla RK, Bleier JC, Rudman D 1981 Evidence for impairment of transsulfuration pathway in cirrhosis. Gastroenterology 81: 668–675.
Rudman D, Kutner M, Ansley J, Jansen R, Chipponi J, Bain RP 1981 Hypotyrosinemia, hypocystinemia, and failure to retain nitrogen during total parenteral nutrition of cirrhotic patients. Gastroenterology 81: 1025–1035.
Marchesini G, Bugianesi E, Bianchi G, Fabbri A, Marchi E, Zoli M, Pisi E 1992 Defective methionine metabolism in cirrhosis: relation to severity of liver disease. Hepatology 16: 149–155.
Balistreri WF, Heubi JE, Suchy FJ 1983 Immaturity of the enterohepatic circulation in early life: factors predisposing to "physiologic" maldigestion and cholestasis. J Pediatr Gastroenterol Nutr 2: 346–354.
Vina J, Vento M, Garcia-Sala F, Puertes IR, Gasco E, Sastre J, Asensi M, Pallardo FV 1995 L-Cysteine and glutathione metabolism are impaired in premature infants due to cystathionase deficiency. Am J Clin Nutr 61: 1067–1069.
Coran AG, Drongowski RA 1987 Studies on the toxicity and efficacy of a new amino acid solution in pediatric parenteral nutrition. J Parenter Enteral Nutr 11: 368–377.
Brown MR, Putnam TC 1978 Cholestasis associated with central venous nutrition in infants. N Y State J Med 78: 27–30.
Cooper A, Betts JM, Periera GR, Ziegler MM 1984 Taurine deficiency in the severe hepatic dysfunction complicating total parenteral nutrition. J Pediatr Surg 19: 462–466.
Heyman MB, Tseng HC, Thaler MM 1984 Total parenteral nutrition decreases hepatic glutathione concentration in weanling rats. Hepatology 4: 1049
Acknowledgements
The authors thank B. Braunn/McGaw, Irvine, CA, for providing the amino acid solution and methionine for infusion.
Author information
Affiliations
Additional information
Supported in part by the Research Allocation Committee, University of New Mexico School of Medicine, Albuquerque, NM.
Rights and permissions
About this article
Cite this article
Moss, R., Haynes, A., Pastuszyn, A. et al. Methionine Infusion Reproduces Liver Injury of Parenteral Nutrition Cholestasis. Pediatr Res 45, 664–668 (1999). https://doi.org/10.1203/00006450-199905010-00009
Received:
Accepted:
Issue Date:
DOI: https://doi.org/10.1203/00006450-199905010-00009
Further reading
-
Mechanistic basis of hypermethioninemia
Amino Acids (2016)
-
Methionine and methionine sulfoxide alter parameters of oxidative stress in the liver of young rats: in vitro and in vivo studies
Molecular and Cellular Biochemistry (2013)
-
Total Parenteral Nutrition Leads to Alteration of Hepatocyte Cell Cycle Gene Expression and Proliferation in the Mouse
Digestive Diseases and Sciences (2007)
-
Cholestase bij pasgeborenen als gevolg van parenterale voeding
Tijdschrift voor kindergeneeskunde (2001)



