Abstract
The aim of this investigation was to examine the possible clinical significance of the kinetics of bone marrow (BM) tumor load during the course of sequential high-dose therapy (HDT) as assessed by quantitative PCR in patients with multiple myeloma. In 20 patients with multiple myeloma (MM) treated with two consecutive cycles of HDT followed by autologous peripheral blood stem cell transplantation (PBSCT), clonotypic cells in the peripheral blood (PB) and BM were quantitated by PCR using allele-specific oligonucleotides (ASO) prior to the first, immediately prior to the second, and after the second HDT. The median proportion of clonotypic cells in the BM was 1.27% before the first HDT (range, 0.03–70%), 0.17% after the first (range, 0.001–22%), and 0.05% after the second HDT (range, 0.00009–1.44%). The median number of circulating clonotypic cells was 65/ml (range, 0.9–10842) prior to HDT, 2.7/ml (range, 0–315) after the first, and 3.5/ml PB (range, 0.7–97) after the second HDT. While the median BM tumor load decreased during the first (P = 0.03) and second (P = 0.044) HDT cycles, only the first cycle resulted in a reduction of clonotypic cells in the PB (P = 0.00078 and P = 1.0, respectively). In seven patients, the BM tumor load did not decrease below the initial level after one or two cycles of HDT. All of these patients developed progressive disease (median, 19 months post first cycle; range, 10–21). Of the remaining 13 patients, only four relapsed (18, 19, 21 and 22 months after the first cycle of HDT), while nine remain in response (median follow-up, 29 months; range, 18–41) (log-rank test P = 0.0009). Our results indicate that the kinetics of the BM tumor load is a predictive parameter in patients with MM and identifies those patients who could benefit from further therapy including new treatment modalities. Bone Marrow Transplantation (2000) 26, 851–858.
Main
Multiple myeloma (MM) is a B cell malignancy characterized by a monoclonal expansion of plasma cells. High-dose therapy (HDT) followed by transplantation of autologous bone marrow (BM) or peripheral blood stem cells (PBSCT) results in five times higher complete response (CR) rates and prolonged overall survival compared to conventional treatment for patients with MM.1 Nonetheless, most patients eventually relapse or develop progressive disease, indicating the survival of malignant cells with proliferative capacity even after these dose-intensified regimens.
One approach to improve therapy further is a sequential HDT followed by PBSCT.2 Whether the long-term outcome of patients treated with two consecutive cycles of HDT is superior to that of patients receiving only one cycle of HDT is currently being evaluated.3 An analysis by Desikan and coworkers4 showed that a dose-escalation of the second cycle of HDT led to an inferior outcome. Allogeneic transplantation as the only potentially curative approach is hampered by a high treatment-related mortality.5 Therefore, prognostic parameters that can identify those patients who will benefit from further treatment intensification are needed.
The effect of a sequential HDT on the numbers of clonotypic cells in the peripheral blood (PB) and BM has not been quantitated with molecular biological tools so far. We analyzed PB and BM samples collected prior to the first, immediately prior to the second, and after the second cycle of 200 mg/m2 melphalan followed by PBSCT in 20 patients. A quantitative PCR assay based on limiting dilution was employed using allele-specific oligonucleotide primers (ASO). It was the aim of this study to evaluate whether quantitative PCR can assist in predicting the outcome after sequential HDT and thus in identifying patients who might benefit most from further therapy intensification.
Materials and methods
Patients and samples
Patient characteristics are given in Table 1. Twenty patients with MM (three patients with stage II and 17 patients with stage III disease according to Durie and Salmon6) were enrolled in this study. Patients were required to have achieved partial response (PR) or CR after sequential HDT. A median of 6.5 cycles (range, 3–21) of conventional chemotherapy had been administered prior to mobilization therapy. Patients B, D, G, H, K and P were in the second or higher remission after conventional therapy, while the other patients were transplanted upfront. Peripheral blood stem cells were mobilized by chemotherapy plus 300 μg G-CSF per day, using either cyclophosphamide 4 or 7 g/m2 (four and 14 patients, respectively), ifosfamide 8 (patients F, L and N) or 12 g/m2 (patient R). Melphalan-based HDT consisted of two sequential cycles of melphalan 200 mg/m2, followed by PBSCT of at least 2.5 × 106 CD34+ cells per kilogram body weight.7 The median interval between the first and the second cycle of HDT was 125 days (range, 94–203). CR, requiring a negative immunofixation, and PR were defined according to the criteria of the European Blood and Marrow Transplantation Group.8 After the second cycle of HDT, two patients achieved CR, and 18 patients PR. The median follow-up after the first cycle of HDT is 29 months (range, 15–41). Of the 20 patients included, 10 have developed progressive disease, and one patient has relapsed from CR.
Sequential HDT reduced the levels of the monoclonal immunoglobulin or light chain over both cycles in 17 of the 20 patients. In patient E, IgG levels declined over the first cycle and were stable within normal values after the second. In patient N, IgG levels were stable within normal values, while serum electrophoresis revealed a constant M component at all times. In patient O, immunofixation was negative at all times of sample collection. None of the patients showed elevated levels of lactate dehydrogenase (LDH) prior to mobilization therapy.
A BM sample taken prior to HDT was used for the identification of the VDJ-rearrangement of the malignant clone. PB and BM samples were collected prior to the first (median, 17.5 days prior to start of HDT; range, 12–26), immediately prior to the second (median, 99 days after the first cycle; range, 80–182), and after the second cycle of HDT (median, 135.5 days; range, 94–330). We aimed to collect samples 4–8 months after the second cycle (120–240 days), when the patients had hematologically reconstituted. In five patients, samples were collected later (S: 250, E: 257, G: 271, H: 295 and M: 330 days after the second HDT). At the times of sample collection, hematological reconstitution had been accomplished. Median leukocyte counts were 4.7 prior to the first (range, 1.8–12.2), 4.8 prior to the second (range, 2.4–10.9), and 5.0/nl PB after the second cycle of HDT (range, 2.3–8.6). Median counts of mononuclear cells in PB at these times were 2.0 (range, 0.5–5.1), 2.1 (range, 1.2–3.6) and 2.1/nl (range, 1.0–3.2), respectively. Plasma cell infiltration rates were assessed by BM smears prepared from BM aspirates.
All patients were enrolled into a phase II multicenter study evaluating the toxicity and efficacy of sequential HDT and PBSCT in the therapy of MM.7 This study was reviewed by the Ethics Board for Clinical Investigation of the University of Heidelberg. Patients gave their informed consent for the collection of samples for this study. The cut-off date of this investigation was 1 October 1999.
Nucleic acid extraction
Mononuclear cells from BM samples were obtained by Ficoll–Hypaque density centrifugation (Biochrom, Berlin, Germany). Genomic DNA was isolated using DNAzol Reagent (Gibco BRL, Eggenstein, Germany). Integrity and quality of the DNA was checked by amplification of 2 μg of DNA using primers complementary to sequences of the bcl2-gene (Dianova, Hamburg, Germany). For accurate DNA quantitation, samples were first quantitated by OD measurement followed by gel electropheresis of defined amounts of DNA and comparison with standard DNA.
Total RNA was extracted according to the method of Chomczynski and Sacchi,9 omitting the phenol extraction step, using instead the RNeasy columns (Qiagen, Hilden, Germany) for further purification. Integrity of RNA was checked by amplification of 2 μg of RNA using commercially available primers for the beta-actin gene (Stratagene, Heidelberg, Germany).
Consensus PCR and sequencing of VDJ segments
cDNA synthesis and consensus PCR were essentially performed as previously described.10 Briefly, cDNA was synthesized using Oligo d(T)16 and 2 μg of total RNA from a BM sample taken prior to HDT. Reverse transcription was performed with Moloney-murine leukemia virus reverse transcriptase (Perkin Elmer, Weiterstadt, Germany) at 42°C for 15 min. The total cDNA assay was amplified using CDR111 or CDR3 consensus primers plus LJH as J-consensus primer.12 Amplification conditions were: 7 min of initial denaturation and enzyme activation at 94°C, followed by 50 cycles of denaturation for 1 min at 94°C and combined annealing and extension at 65°C (for CDR1 primers) or 63°C (for CDR3 primers), followed by a final extension step at the appropriate annealing temperature for 5 min.
Total PCR volumes were loaded on to low melting point agarose gels, the PCR products excised and the DNA recovered using the Easy Pure DNA Recovery System (Biozym, Göttingen, Germany). PCR products were cloned using the TOPO TA Cloning Kit (Invitrogen, Groningen, The Netherlands). Plasmid-DNA was cycle-sequenced after lysis of bacterial clones with 10 mM Tris-Cl pH 7.5, 1 mM EDTA and 100 μg/ml of Proteinase K (Boehringer, Mannheim, Germany). Sequencing was done with the Sequitherm kit (Biozym) on an automated DNA sequencer (ALFexpress; Pharmacia, Freiburg, Germany). The VDJ segment of the malignant clone was identified by its predominant occurrence.
Designing ASO primers
Sequences of the VDJ rearrangements of the malignant clones were compared to known sequences of rearranged VDJ segments in order to discriminate between conserved and highly variable regions. For each patient, ASO primers complementary to highly variable parts of the VDJ segment were devised. Either ASO primers complementary to parts of the CDR3 region of the malignant clone and LJH, or pairs of ASO primers, one specific for the CDR2 region and one for the CDR3 region, were designed and tested for PCR amplification. Oligonucleotides were purchased commercially (Eurogentec, Brussels, Belgium).
Quantitative PCR assay
Quantitative PCR was performed as described previously.10 DNA from 330000 cells per sample was serially diluted in 0.5 log steps and amplified using the appropriate ASO primers. At each dilution level, five identical PCR reactions were processed simultaneously. Each PCR was performed twice, thus resulting in 10 PCR reactions per dilution level. Each PCR reaction of 50 μl contained up to 2 μg of genomic DNA, 5 μl GeneAmp 10 × PCR buffer II, 2 mM MgCl2, 0.2 mM of each dNTP, 1 μM of each primer and 2.5 U of Amplitaq-Gold-DNA-polymerase (Perkin Elmer). Amplification conditions were: 7 min preheating at 95°C, 60 cycles of 1 min denaturation at 95°C and 1 min combined annealing and extension at the temperature found to be optimal for the primer (63–65°C), followed by a final extension step of 5 min at 65°C. PCR products were electrophoresed on ethidium bromide stained 5% agarose gels and visualized under UV light. Each sample was diluted until no more PCR product was detectable. A negative control without DNA was always amplified along with the diluted sample DNA. Precautions necessary for the avoidance of cross-contaminations were those described by Kwok and Higuchi.13
The proportion of clonotypic cells in a sample was calculated based upon Poisson distribution statistics of positive and negative reactions of the quantitative PCR at each dilution level. As a starting value for Newton’s method of iterative approximation, the weighted mean estimation was used. The likelihood maximization and the χ2 minimization were calculated as described by Taswell.14 The MAXLIKE computer program was used to perform the necessary calculations.10
The absolute numbers of circulating clonotypic cells per milliliter were calculated by multiplying the percentage determined by quantitative PCR by the difference of the number of leukocytes and the number of neutrophils per ml PB.
Testing of ASO primers
The specificity of each ASO primer was tested by amplifying buffy-coat DNA from healthy donors as a negative control and DNA from the patient’s initial BM sample as a positive control. Sensitivity was tested using plasmids comprising the CDR3 regions of the malignant clones of eight patients and the U266 cell line. Plasmids were isolated from bacterial clones and purified using the QIAwell 8 Plus system (Qiagen). The capability of the ASO primer for the U266 cell line to detect single copies of target DNA in a background of DNA from 330000 polyclonal cells had been demonstrated previously.10 Plasmids comprising the CDR3 region of the U266 cells were quantitated by PCR using the U266 ASO primer as described above. These plasmids were quantitated again, using M13 forward and reverse primers instead of the ASO primer. As results of both quantitations were identical, the M13 primers were assumed to also have single-hit capability. Thus it was possible to quantitate copy numbers of plasmids comprising the CDR3 regions from patients using M13 primers. To test the sensitivity of ASO primers, plasmids were quantitated again by PCR using the appropriate ASO primer plus LJH, while 2 μg of buffy-coat DNA were added to each reaction tube to simulate a background of DNA from 330000 polyclonal cells. Results of the quantitative PCR assay using M13 primers vs ASO primer plus LJH were compared. The sensitivity factors were calculated by dividing the results obtained with the ASO primer by the results obtained with the M13 primers. Single-hit capability of the ASO primer was assumed if the sensitivity factor ranged between 0.5 and 2.
Definition of criteria for prognostic grouping of patients
The alterations in the BM tumor load over the two cycles of HDT were expected to be a prognostic marker for progression-free survival. Thus, patients with a lower tumor load in BM samples collected after the first and after the second cycle of HDT than in the initial sample were assigned to group 1, which was putatively defined to have a ‘favorable’ prognosis. All other patients were assigned to group 2, which was putatively defined to have an ‘unfavourable’ prognosis.
Statistical analysis
Intra-individual changes of tumor loads were analyzed by the Wilcoxon signed rank test for paired data. Distributions between groups of patients were compared using the Mann–Whitney U test. Correlations between BM cytology and quantitative PCR results were analyzed by Spearman’s rank correlation. The progression-free survival distribution after PCR assessment was estimated using the Kaplan–Meier method. The difference between two survival curves was tested by the log-rank test. Since the prognostic factor ‘tumor-load reduction’ was determined during HDT, the corresponding two progression-free survival curves were computed starting from the date of collection of the last BM sample.
An effect was always considered as statistically significant if the P value of its corresponding test statistic was smaller than or equal to 5%. All statistical analyses were performed using Statistica for Windows (StatSoft, Tulsa, OK, USA).
Results
Primer specificity and sensitivity
For all patients included in this study, ASO primers that generated a positive PCR signal only with the target DNA, but not with buffy-coat DNA, could be designed.
For eight patients (A, D, E, N, O, Q, T and U), the sensitivity of the appropriate ASO primer was tested. This included those patients with the highest and lowest tumor loads in the PB and BM, respectively. In all of the ASO primers tested, quantitation of plasmids led to a sensitivity factor in the range of 0.9–1.5 (median 1.0), thus demonstrating the ability to detect single copies of target DNA in a background of DNA from 330000 polyclonal cells.
Tumor load in BM and PB in the course of sequential HDT
The median percentage of clonotypic cells in BM was 1.27% prior to first HDT (range, 0.03–70%), 0.17% between first and second (range, 0.001–22%), and 0.03% after second HDT (range, 0.00009–1.4%). Cytology of BM aspirates collected at the same times as the samples analyzed by quantitative PCR revealed a median infiltration rate of 15% (range, <5–70%) prior to HDT, of 5% (range, <5–15%) after the first cycle and of <5% (range, <5–30%) after the second cycle of HDT (see Table 1). Statistical analysis yielded a weak correlation between results of cytology and quantitative PCR for samples collected prior to start of HDT (Spearman R = 0.56, P = 0.016). Because of the detection threshold of 5% for cytology, correlations for samples collected after start of HDT were not performed, as 31 of 40 samples showed an infiltration rate ⩽5%.
The median number of circulating clonotypic cells was 65/ml (range, 0.9–10842) prior to, 2.7/ml (range, 0–315) between the first and second, and 3.5/ml PB (range, 0.7–97) after the second HDT.
The first cycle of HDT led to significantly lower tumor loads in BM (P = 0.03) and PB (P = 0.00078). After the second cycle, a further significant decrease in the tumor load was found only in BM (P = 0.044), while in the PB the second HDT failed to further reduce the number of clonotypic cells (P = 1.0).
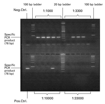
Figure 1 shows parts of the results of the quantitative PCR performed on the BM sample collected after the second cycle of HDT from patient F. Results of the quantitative PCR are summarized in Table 1 and Figure 2.
Kinetics of the BM and PB tumor load as prognostic marker
A lower tumor load in BM samples collected after the first and after the second HDT than in the initial sample was seen in 13 patients (group 1). A higher tumor load in one or both of the BM samples collected after start of HDT was found in six patients, and in one patient no change of the BM tumor load over both cycles was observed (group 2). In group 1, four of the 13 patients relapsed 18, 19, 21 and 22 months after the first cycle of HDT, while nine patients remain in response with a median follow-up time of 29 months (range, 18–41). In group 2, all of the seven patients developed progressive disease (10, 10, 12, 19, 19, 20 and 21 months after the first cycle of HDT).
Analysis by the log-rank test demonstrated a significantly longer progression-free survival for patients of group 1 compared to group 2 (P = 0.0009, see Figure 3), with comparable intervals between the second cycle of HDT and collection of the third set of PB and BM samples (P = 0.81) for both groups (group 1: median, 132 days; range, 94–330; group 2: median, 240 days; range, 108–295). Of the five patients in whom samples were collected later than 240 days after the second cycle of HDT, three were assigned to group 1 (patients G, M and S), and two to group 2 (patients E and H). Levels of C-reactive protein, beta2-microglobulin and stage were also comparable for both groups (see Table 1).
The kinetics as well as the absolute levels of the BM infiltration rate as assessed by cytology were also examined. In only three patients (A, B, P) did cytology indicate a rise in the BM tumor load during the course of sequential HDT. Achieving CR after HDT was reported to be an advantageous prognostic marker. Therefore a BM infiltration rate of less than 5% after the second cycle of HDT was also assessed as prognostic parameter. When the patients described in this work were grouped accordingly, no difference in the progression-free survival was observed (log-rank test, P = 0.58).
The numbers of clonotypic cells in PB revealed no characteristic kinetics that could be used as a prognostic marker. At the cut-off date of this study, nine patients were in PR or CR, while 11 patients had developed progressive disease. The median number of clonotypic cells per milliliter PB was significantly reduced over the first cycle in all nine patients in PR or CR (P = 0.007), and in nine of 11 patients that developed progressive disease (P = 0.02). The second cycle did not further reduce the PB tumor load in either group (P = 1.0 and P = 0.76, respectively).
Discussion
Quantitative PCR with ASO primers is a versatile tool for assessing tumor loads as low as 0.001%.10 Until now, a predictive significance of results obtained with quantitative PCR assays analyzing PB has only been described by Vescio et al,15 who reported that the reduction of the tumor load in this compartment as a consequence of mobilization therapy predicts progression-free survival.
In our study, patients in whom BM samples obtained after both cycles of HDT had a lower tumor load than in the initial sample were putatively assigned to have a ‘favorable’ prognosis. As the BM is the major site of the disease, the results obtained by analyzing BM rather than PB samples were used to predict the clinical outcome. Kinetics rather than absolute levels of tumor load were used to avoid any influence of variations in the sensitivity of the ASO primers used. As the second cycle of high-dose therapy does not induce major changes in the BM tumor load, decreases from the baseline tumor load were sufficient for a patient to be grouped as ‘favorable’, while a further decrease over the second cycle was not required.
We found that patients with an elevated BM tumor load after the first or second cycle of sequential HDT as assessed by quantitative PCR had a shorter progression-free survival than those patients in whom the tumor load in the BM was reduced after both cycles compared to the initial sample. Prognostic factors such as response status, stage, beta2-microglobulin, C-reactive protein, LDH and pretreatment were comparable for both groups of patients. Thus, our results provide evidence that the assessment of the kinetics of the BM tumor load by quantitative PCR adds prognostic information to what can be deduced from conventional parameters.
In our group of patients, neither the kinetics nor the absolute level of the BM infiltration rate as assessed by cytology were found to be predictive of the clinical outcome. This indicates that cytology is less sensitive than quantitative PCR in identifying those patients that develop progressive disease early after HDT.
The differences between results of the quantitative PCR and of cytology have to be seen in the light that cytology has a detection threshold of 5% of normal plasma cells. As the median BM infiltration rates were 15%, 5% and <5% for samples collected prior to HDT, after the first and after the second cycle, respectively, an exact quantitation of these samples is not possible. Secondly, cytology assesses BM smears, while PCR is performed on BM blood obtained by aspiration, which makes a lower tumor load probable. Furthermore, ASO PCR detects all cells of the malignant clone regardless of their developmental stage, while it ignores normal polyclonal plasma cells.
Primers for those patients with the highest and the lowest tumor loads were all found to be capable of detecting specifically single copies of target DNA in a background of 330000 polyclonal cells. Thus, differences in the tumor load cannot be explained by a lack of sensitivity or specificity of the quantitative PCR. By comparing results from flow cytometric analysis and quantitative PCR, and by simulating tumor loads between 0.001% and 100%, the assay used was shown to be accurate for very low as well as high proportions of clonotypic cells.10
In all patients included in this study, clonotypic cells could be found in the BM even after sequential HDT with melphalan 200 mg/m2, indicating that molecular remissions were not achievable. This is in contrast to Björkstrand et al,16 who reported that molecular remissions were induced in four out of five patients analyzed after double HDT. These differing results can probably be explained by the lower sensitivity of the assay used in their study, which had a detection threshold of 0.01%.
Our results revealed a differential effect of sequential HDT on the tumor load of BM compared to PB. The failure of a second cycle of HDT to further reduce the numbers of clonotypic cells in PB indicates that there is a compartment of circulating cells belonging to the myeloma clone that is resistant even to sequential high-dose melphalan. These data do not match those published by Billadeau et al,17 who reported fairly stable levels of circulating clonotypic cells in the course of a single cycle of HDT. Previous studies from our group had revealed that, indeed, circulating CD19-positive clonotypic cells did not decline in comparison to the corresponding numbers prior to HDT, while CD19-negative clonotypic cells were reduced significantly.18 This observation is compatible with the findings reported in this work. The lack of a further decrease in the number of clonotypic cells in the PB by the second HDT might be caused by the sustained persistence of these CD19-positive cells. Circulating B cells of the myeloma clone have been proposed as precursors of the disease1920 and a source of relapse,21 but their pathogenic potential has not been resolved.22 Furthermore, the failure to reduce the tumor load in BM by HDT in those patients with disease progression or relapse indicates that new treatment strategies need to target HDT resistant cells in both compartments to further improve long-term outcome. As further treatment intensification and new consolidation therapies might induce best results in patients early after HDT, immediate identification of risk factors for disease progression after PBSCT by quantitative PCR could assist in the choice of patients for such clinical trials. The use of the real-time quantitative PCR technology might further enhance the feasibility of this approach.23 Based on our findings, we will further evaluate quantitative PCR and its role as a prognostic tool in a prospective study.
References
Attal M, Harousseau JL, Stoppa AM et al. A prospective randomized trial of autologous bone marrow transplantation and chemotherapy in multiple myeloma New Engl J Med 1996 335: 91–97
Barlogie B, Jagannath S, Desikan KR et al. Total therapy with tandem transplants for newly diagnosed multiple myeloma Blood 1999 93: 55–65
Attal M, Payen C, Facon T et al. Single versus double transplant in myeloma: a randomized trial of the ‘Inter Groupe Francais Du Myelome’ (IFM) Bone Marrow Transplant 1998 21: S206 (Abstr. 718)
Desikan KR, Tricot G, Dhodapkar M et al. Melphalan plus total body irradiation (MEL-TBI) or cyclophosphamide (MEL-CY) as a conditioning regimen with second autotransplant in responding patients with myeloma is inferior compared to historical controls receiving tandem transplants with melphalan alone Bone Marrow Transplant 2000 25: 483–487
Gahrton G, Svensson H, Cavo M et al. Allogeneic and syngeneic transplantation in multiple myeloma. VIIth Int. Workshop on Multiple Myeloma, Stockholm, September 1999 (Abstr. 134)
Durie BGM, Salmon SE . A clinical staging system for multiple myeloma: correlation of measured myeloma cell mass with presenting clinical features, response to treatment, and survival Cancer 1975 36: 842–854
Goldschmidt H, Martin H, Serke S et al. Tandem autologous transplantation (tpx) for multiple myeloma (MM): results of a German multicenter study Blood 1998 92: 662a (Abstr. 2730)
Blade J, Samson D, Reece D et al. Criteria for evaluating disease response and progression in patients with multiple myeloma treated by high-dose therapy and haemopoietic stem cell transplantation. Myeloma Subcommittee of the EBMT. European Group for Blood and Marrow Transplant Br J Haematol 1998 102: 1115–1123
Chomczynski P, Sacchi N . Single-step method of RNA isolation by acid guanidinium thiocyanate-phenol-chloroform extraction Anal Biochem 1987 162: 156–159
Cremer FW, Kiel C, Wallmeier M et al. A quantitative PCR assay for the dectection of low amounts of malignant cells in multiple myeloma Ann Oncol 1997 8: 633–636
Aubin J, Davi F, Nguyen-Salomon F et al. Description of a novel FR1 IgH PCR strategy and its comparison with three other strategies for the detection of clonality in B cell malignancies Leukemia 1995 9: 471–479
Brisco MJ, Tan LW, Orsborn AM et al. Development of a highly sensitive assay, based on the polymerase chain reaction, for rare B-lymphocyte clones in a polyclonal population Br J Haematol 1990 75: 163–167
Kwok S, Higuchi R . Avoiding false positives with PCR Nature 1989 339: 237–238
Taswell C . Limiting dilution assays for the determination of immunocompetent cell frequencies J Immunol 1981 126: 1614–1619
Vescio R, Stewart A, Ballester O et al. Increase in circulating tumor cell burden during mobilization chemotherapy predicts for relapse after autologous transplantation in multiple myeloma patients Blood 1997 90: 565a (Abstr. 2515)
Björkstrand B, Ljungman P, Bird JM et al. Double high-dose chemoradiotherapy with autologous stem cell transplantation can induce molecular remissions in multiple myeloma Bone Marrow Transplant 1995 15: 367–371
Billadeau D, Prosper F, Verfaillie C et al. Sequential analysis of bone marrow and peripheral blood after stem cell transplant for myeloma shows disparate tumor involvement Leukemia 1997 11: 1565–1570
Kiel K, Cremer FW, Rottenburger C et al. Analysis of circulating tumor cells in patients with multiple myeloma in the course of high-dose therapy with peripheral blood stem cell transplantation Bone Marrow Transplant 1999 23: 1019–1027
Berenson J, Wong R, Kim K et al. Evidence for peripheral blood B lymphocyte but not T lymphocyte involvement in multiple myeloma Blood 1987 70: 1550–1553
Takishita M, Kosaka M, Goto T et al. Cellular origin and extent of clonal involvement in multiple myeloma: genetic and phenotypic studies Br J Haematol 1994 87: 735–742
Bergsagel PL, Smith AM, Szczepek A et al. In multiple myeloma, clonotypic B lymphocytes are detectable among CD19+ peripheral blood cells expressing CD38, CD56, and monotypic Ig light chain Blood 1995 85: 436–447
McSweeney PA, Wells DA, Shults KE et al. Tumor-specific aneuploidy not detected in CD19+ B-lymphoid cells from myeloma patients in a multidimensional flow cytometry analysis Blood 1996 88: 622–632
Gerard CJ, Olsson K, Ramanathan R et al. Improved quantitation of minimal residual disease in multiple myeloma using real-time polymerase chain reaction and plasmid-DNA complementarity determining region III standards Cancer Res 1998 58: 3957–3964
Acknowledgements
We are indebted to Robert A Vescio for his critical reading of the manuscript. We thank Hildegard Bethäuser, Maria Dörner, and Carmen Kröner for excellent technical assistance.
Author information
Affiliations
Rights and permissions
About this article
Cite this article
Cremer, F., Ehrbrecht, E., Kiel, K. et al. Evaluation of the kinetics of the bone marrow tumor load in the course of sequential high-dose therapy assessed by quantitative PCR as a predictive parameter in patients with multiple myeloma. Bone Marrow Transplant 26, 851–858 (2000). https://doi.org/10.1038/sj.bmt.1702628
Received:
Accepted:
Published:
Issue Date:
DOI: https://doi.org/10.1038/sj.bmt.1702628
Keywords
- myeloma
- quantitative PCR
- ASO-PCR
- kinetics of tumor load
- progression-free survival
Further reading
-
Controversies in the Assessment of Minimal Residual Disease in Multiple Myeloma: Clinical Significance of Minimal Residual Disease Negativity Using Highly Sensitive Techniques
Current Hematologic Malignancy Reports (2014)
-
In non-transplant patients with multiple myeloma, the pre-treatment level of clonotypic cells predicts event-free survival
Molecular Cancer (2012)
-
Hematopoietic stem cell mobilization with intravenous melphalan and G-CSF in patients with chemoresponsive multiple myeloma: report of a phase II trial
Bone Marrow Transplantation (2005)
-
Molecular monitoring of the tumor load predicts progressive disease in patients with multiple myeloma after high-dose therapy with autologous peripheral blood stem cell transplantation
Bone Marrow Transplantation (2001)


