Abstract
Insulin-like growth factor-binding protein 5 (IGFBP5) has been shown to be useful for the diagnosis and treatment of multiple tumors and cerebrovascular diseases. However, it is unknown whether IGFBP5 is involved in myocardial repair following myocardial infarction (MI). Here we show high expression of IGFBP5 in multiple models of ischemic and hypoxic injury. IGFBP5 affected the proliferation of neonatal rat cardiomyocytes (NRCMs) and the cardiomyocyte apoptosis induced by oxygen-glucose deprivation (OGD). Subsequently, heart-specific IGFBP5 knockdown inhibited myocardial apoptosis and increased cardiomyocyte proliferation in mice with MI. During the chronic remodeling stage, heart-specific regulation of IGFBP5 ameliorated pathological cardiac remodeling and dysfunction. Mechanistically, IGFBP5 regulated cardiomyocyte survival through the insulin-like growth factor 1 (IGF1) receptor (IGF1R)/protein kinase B (PKB/AKT) pathway. In summary, our results provide mechanistic insights into the effect of IGFBP5 on cardiomyocyte during cardiac repair. IGFBP5 may represent a therapeutic target for myocardial ischemic injury.

Similar content being viewed by others
Introduction
Acute myocardial infarction (AMI) is pathologically attributable to cardiomyocyte death caused by sudden vascular obstruction or insufficient oxygen supply1,2,3, and is the leading cause of death worldwide. Subsequently, replacement of cardiomyocytes by fibrotic tissue and dysfunction of the myocardium leads to overall cardiac dysfunction and ultimately to heart failure4,5. Although several approaches to in-situ repair have been proposed or used, including conventional molecular therapy, cell reprogramming, and stem cell transplantation, no curative treatment yet exists6.
The regenerative capacity of the myocardium is limited in adulthood7, and cardiac repair principally involves the proliferation and inhibition of the apoptosis of cardiomyocytes during the early stage of AMI and the inhibition of fibrotic remodeling during the late stage. Thus, molecules that endogenously regulate the repair of damaged myocardium are of great clinical significance and may represent therapeutic targets for AMI.
Insulin-like growth factor (IGF)-binding protein (IGFBP5), a 29-kD glycosylated protein8, has 97% homology in rat, mouse, and human. IGFBP5 is expressed in tissues including bone, muscle, and brain9, and positively and/or negatively regulates IGF signaling in a variety of tissues and cells10. Our previous study showed that circulating IGFBP5 was highly expressed in patients with AMI and positively associated with the risk of major adverse cardiovascular events11. Thus, we explore the biological role of it from bed to bench side. Here, we show that IGFBP5 is highly expressed in a model of oxygen glucose deprivation (OGD) in neonatal cardiomyocytes and in the adult mouse heart with AMI, during the acute and ventricular remodeling phases, suggesting that IGFBP5 may play a role in the injury associated with ischemia and hypoxia in cardiomyocytes.
IGFBP5 has been reported to be involved in the development and progression of neoplastic, cardiovascular, and cerebrovascular diseases12,13,14,15, and its complex expression suggests that it may serve as a diagnostic marker and/or therapeutic target16,17,18. IGFBP5 mediates the high-glucose-induced cardiac fibrotic response19 and low expression inhibits methamphetamine-induced apoptosis in cardiomyocytes20. In addition, IGFBP5 is involved in hypoxic-ischemic injury repair in the brain, where it affects the regeneration of oligodendrocytes21. However, the role of IGFBP5 in myocardial hypoxic injury remains to be characterized. Therefore, in the present study, we aimed to characterize the expression of IGFBP5 in myocardial ischemic-hypoxic injury, define its biological effects in the myocardium during AMI, and identify the downstream molecules and signaling pathways mediating its effects.
Results
Upregulation of IGFBP5 expression in myocardial ischemic-hypoxic injury
Igfbp5 mRNA expression was high in the myocardium by 1 day after MI (1 dpi) for the model of acute MI and 21 days after MI (21 dpi) for MI remodeling model in the mice (Fig. 1a, b). In addition, high Igfbp5 mRNA expression was found in the peripheral white blood cells of patients with AMI (Fig. 1c). Furthermore, Igfbp5 mRNA expression was high in NRCMs subjected to OGD (Fig. 1d), as well as the patterns of IGFBP5 protein expression (Fig. 1e, f).
a–c mRNA expression of Igfbp5 in myocardia from mice with AMI (1 dpi) / MI (21 dpi) and in peripheral blood cells from patients with AMI (1 dpi) (n = 5–6). d mRNA expression of Igfbp5 in primary rat cardiomyocytes subjected to OGD (n = 5–6). e Protein expression of IGFBP5 in myocardia at the site of AMI (1 dpi), measured using protein immunoblotting (n = 6). f Protein expression of IGFBP5 in primary rat cardiomyocytes subjected to OGD (n = 3). AMI: 1 day after myocardial infarction; MI: 21 days after myocardial infarction; WBC: white blood cell; OGD: oxygen glucose deprivation. Data shown as mean ± SD. Unpaired t-test was applied. * P < 0.05, **P < 0.01, ***P < 0.001.
Effects of the up- and downregulation of IGFBP5 on cardiomyocyte proliferation and apoptosis
To determine whether alterations to the cardiac-specific expression of IGBFP5 affect cardiac repair in vitro, IGFBP5 overexpression and knockdown were performed in NRCMs. Low IGFBP5 expression promoted cardiomyocyte proliferation, whereas the overexpression of IGFBP5 inhibited proliferation (Fig. 2a, b) in Ki67 and EdU staining. Additionally, downregulation of IGFBP5 showed a higher positivity for myocardial proliferation signals by cytokinesis markers (Anillin and Aurora B) in NRCMs (Fig. 2c, d).
a IF staining and quantification for Ki67 in IGFBP5-overexpressing, silenced, and control cells (green, α-actinin; red, Ki67; and blue, DAPI) (n = 6). b IF staining and quantification for EdU in IGFBP5-overexpressing, silenced, and control cells (red, α-actinin; green, EdU; and blue, DAPI) (n = 6). c, d IF staining and quantification for cytokinesis markers (Anillin and Aurora B) in IGFBP5- silenced, and control cells under basal conditions (red, Anillin and Aurora B; α-actinin; green, and blue, DAPI) (n = 6). e IF staining and quantification for TUNEL in IGFBP5-overexpressing, silenced, and control cells under basal conditions (n = 6). f IF staining and quantification for TUNEL in cells subjected to OGD (red, α-actinin; green, TUNEL; and blue, DAPI) (n = 6). Scale bar, 50 μm. g, h Western blotting and quantitative analysis of apoptosis-related proteins (Bax, Bcl2, Caspase3, Cleaved caspase3) in cardiomyocytes after knockdown and overexpression of IGFBP5 in the OGD model (n = 3). control: basal state; OGD: oxygen glucose deprivation. Data shown as mean ± SD. Unpaired t test was applied in this figure. ns not significant; *P < 0.05, **P < 0.01, **P < 0.01, ***P < 0.001, ****P < 0.0001.
Then, the OGD-induced cardiomyocyte apoptosis model was to assess the function of IGFBP5. In TUNEL staining, knockdown of IGFBP5 reduced the apoptosis of the cardiomyocytes, while the overexpression of IGFBP5 increased the apoptosis (Fig. 2e, f). Furthermore, altering the expression of IGFBP5 had similar effect on the ratios of apoptosis-related protein of the cardiomyocytes (Fig. 2g, h).
Downregulation of IGFBP5 reduces myocardial ischemia and apoptosis during AMI
To further investigate the cardioprotective effects of IGFBP5, we next characterized the role of IGFBP5 during myocardial injury in vivo. We created a murine model of MI by ligating the LAD artery for 24 h as an acute MI model after injecting AAV9-cTnT-shIGFBP5 or control virus 2 weeks previously (Fig. 3a). The expression of IGFBP5 was higher in the myocardium than in the sham group during the acute phase of MI. IGFBP5 expression was found to be significantly lower in the AAV9-cTnT-shIGFBP5-injected mice than in the control group (Fig. 3b, c). Interestingly, during this phase, TTC staining showed no significant difference in the size of the ischemic borderline danger zone (area at risk/left ventricular), but a significantly smaller myocardial ischemic infarct area (ischemic infarct area/area at risk), in the mice administered AAV9-cTnT-shIGFBP5 than in those administered AAV9-cTnT-ctrl (Fig. 3d).
a Flow chart of the experiment during the acute phase of MI. b mRNA expression of Igfbp5 in hearts following the injection of AAV9-cTnT-shIGFBP5 or AAV9-cTnT-ctrl into sham and AMI mice. c Protein expression of IGFBP5 in mice injected with AAV9-cTnT-shIGFBP5 or control virus in which AMI was induced or sham surgery performed. d Evans Blue and TTC staining and analysis of the myocardial ischemic area following AMI (LV: left ventricular; INF: white, ischemic infarct area; AAR: red, area at risk; blue, unaffected ischemic area; AAR/LV: area at risk/left ventricular; INF/AAR: ischemic infarct area/area at risk) (n = 6). e IF staining and quantification for TUNEL in cardiomyocytes (red, α-actinin; green, TUNEL; and blue, DAPI) (n = 6). f Western blotting quantification of apoptosis-related proteins (Bax/Bcl2, cleaved caspase3/caspase3). g IF staining and quantification for Ki67 in cardiomyocytes. h IF staining and quantification for EdU in cardiomyocytes (green, α-actinin; red, EdU or Ki67; and blue, DAPI) (n = 6). Scale bar, 20 μm. AAV9-cTnT-ctrl: control virus; AAV9-cTnT-shIGFBP5: cardiac-specific knockdown IGFBP5 virus. Data shown as mean ± SD. Unpaired t-test was applied for d one-way ANOVA and Tukey’s Multiple Comparison Test were performed for c. Two-way ANOVA and Tukey’s Multiple Comparison Test were performed for b, e–h. ns not significant; *P < 0.05, **P < 0.01, ***P < 0.001.
In addition, TUNEL staining showed that the knockdown of IGFBP5 was associated with significantly lower myocardial TUNEL positivity in the two AMI groups (Fig. 3e). Consistent with this, the ratios of apoptosis-related protein were high in the AMI groups, whereas the cardiac-specific knockdown of IGFBP5 reduced the increase in these ratios (Fig. 3f).
Downregulation of IGFBP5 promotes cardiomyocyte proliferation following MI
We next aimed to determine whether cardiac-specific knockdown of IGFBP5 affects the proliferation of cardiomyocytes following AMI. One dpi, EdU and Ki67 staining demonstrated that the proliferation of cardiomyocytes was significantly upregulated, and this was further increased by the cardiac-specific knockdown of IGFBP5 (Fig. 3g, h).
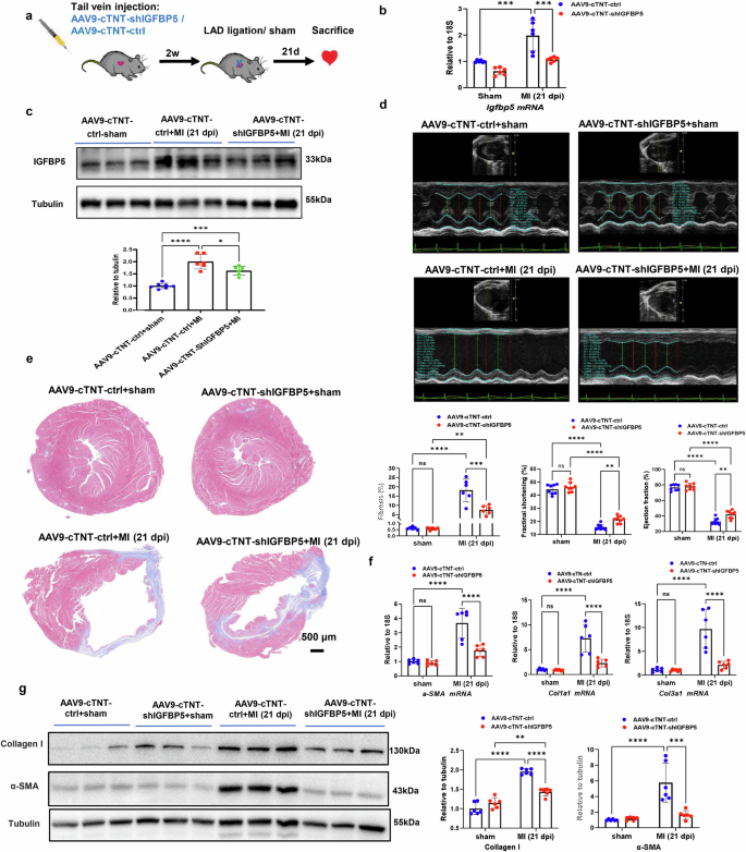
Downregulation of IGFBP5 improves cardiac function and ameliorates post-MI cardiac remodeling
To determine the effects of IGFBP5 on cardiac remodeling following ischemia, we used echocardiography to assess cardiac function at 21 dpi (Fig. 4a). The mRNA and protein expression of IGFBP5 was high at 21 dpi, but was reduced by the injection of AAV9-cTnT-shIGFBP5 (Fig. 4b, c). Cardiac function (EF and FS) was significantly impaired at 21 dpi, whereas it was significantly higher in mice that had been administered AAV9-cTnT-shIGFBP5 (Fig. 4d, Supplementary Table 1).
a Flow chart of the experiment during the remodeling phase of MI. b mRNA expression of Igfbp5 in hearts after the injection of AAV9-cTnT-shIGFBP5 or AAV9-cTnT-ctrl into mice subjected to sham surgery or chronic myocardial infarction (n = 6). c Protein expression of IGFBP5 in the above groups (n = 6). d Echocardiographic parameters (EF and FS) in the mice at 21 days after MI (n = 8). e Representative images and quantification of Masson staining for cardiac fibrosis after MI (blue, fibrotic components; red normal cardiac tissue; n = 6). Scale bar, 500 μm; f mRNA expression of markers of fibrosis (α-SMA, Col1a1, and Col3a1) in the various groups (n = 6). g Protein expression of α-SMA and Col1a1 in the various groups (n = 6). AAV9-cTnT-ctrl: control virus; AAV9-cTnT-shIGFBP5: cardiac-specific knockdown IGFBP5 virus. EF ejection fraction, FS short-axis shortening rate; Collagen I, Col1a1: type I collagen; Col3a1: type III collagen. Data shown as mean ± SD. One-way ANOVA and Tukey’s Multiple Comparison Test were performed for c. Two-way ANOVA and Tukey’s Multiple Comparison Test were performed for b, d-g. ns not significant; *P < 0.05, **P < 0.01, ***P < 0.001, ****P < 0.0001.
Notably, Masson staining of hearts collected at 21 dpi demonstrated significantly less fibrosis in the ischemic area following the injection of AAV9-cTnT-shIGFBP5. In these mice, the fibrotic area occupied 10% of the tissue, but the fibrosis in the control group following MI was occupied approximately 18% (Fig. 4e). In addition, the expression of fibrosis-related factors was consistent with the fundings (Fig. 4f, g).
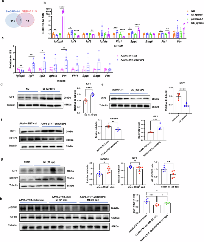
IGF1 is a critical downstream mediator of IGFBP5
Potential binders of IGFBP5 were screened for using STRING and BioGRID (https://thebiogrid.org/) and we identified eight molecules (Fig. 5a). The expression of these molecules was measured (Fig. 5b, c). IGF1 was consistently expressed at high levels in vivo and in vitro. Furthermore, IGFBP5 negatively regulated the protein expression of IGF1 in cardiomyocytes (Fig. 5d, e). High IGF1 protein expression was identified in the myocardia of mice administered AAV9-cTnT-shIGFBP5 (Fig. 5f). Moreover, there was a high IGF1/IGFBP5 ratio after MI (Fig. 5g) and high activating phosphorylation of IGF1R following the downregulation of IGFBP5 (Fig. 5h). These findings suggest that IGF1 and IGF1R are associated with IGFBP5 in MI.
a Venn diagram for the screening for downstream molecules. b mRNA expression of downstream molecules in NRCMs after transfection with IGFBP5 siRNA or the overexpression plasmid (n = 6). c mRNA expression of these molecules in adult mice with cardiac knockdown of IGFBP5 (n = 5). d, e Protein expression of IGF1 in NRCMs in which IGFBP5 was knocked down or overexpressed. f Protein expression of IGFBP5 and IGF1 following the cardiac-specific knockdown of IGFBP5 in mice (n = 6). g Protein expression of IGFBP5 and IGF1 in mouse hearts following MI (21 dpi) (n = 6). h Phosphorylation and protein expression of IGF1R in mice (sham or MI [21 dpi], and MI [21 dpi] with cardiac-specific knockdown of IGFBP5) (n = 6). AAV9-cTnT-ctrl: control virus; AAV9-cTnT-shIGFBP5: cardiac-specific knockdown IGFBP5 virus. IGF1: insulin-like growth factor 1; pIGF1R: phosphorylated insulin-like growth factor 1 receptor; IGF1R: insulin-like growth factor 1 receptor. Data shown as mean ± SD. Unpaired t-test was applied for b–g. One-way ANOVA and Tukey’s Multiple Comparison Test were performed for h. ns not significant; *P < 0.05, **P < 0.01, ***P < 0.001, ****P < 0.0001.
IGFBP5 affects cardiomyocyte proliferation and survival via the IGF1R/AKT pathway
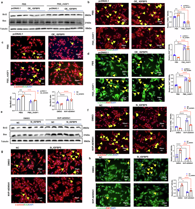
IGFBP5 has been reported to inhibit IGF1R activation by competitively binding to extracellular IGF122. The endogenous negative regulation of IGF1 inhibits cardiomyocyte proliferation and promotes the apoptosis of cardiomyocytes following hypoxic injury, whereas an IGF1R inhibitor has the opposite effects (Supplementary Fig. 6). We next assessed the activation of the IGF1R/protein kinase B (AKT) pathway under basal and OGD conditions. Under basal conditions, the knockdown of IGFBP5 increased IGF1R and AKT phosphorylation, whereas treatment with NVP-AEW541 (IGF1R inhibitor) inhibited IGF1R and AKT phosphorylation, which prevented the effect of the knockdown of IGFBP5 (Fig. 6a). Similar findings were made under OGD conditions (Fig. 6b).
a Western blotting quantification of IGF1R/AKT-related proteins (pIGF1R, IGF1R, pAKT, and AKT) in NRCMs treated with IGFBP5-siRNA and/or NVP-AEW541 under basal conditions (n = 3–4). b Western blotting quantification of IGF1R/AKT-related proteins in NRCMs treated with IGFBP5-siRNA and/or NVP-AEW541 under OGD conditions (n = 3). c IGF1R/AKT-related proteins in cardiomyocytes overexpressing IGFBP5 and/or rhIGF1-treated under basal conditions (n = 4). d IGF1R/AKT-related proteins in cardiomyocytes overexpressing IGFBP5 and/or rhIGF1-treated under OGD conditions (n = 3). pIGF1R: phosphorylated insulin-like growth factor 1 receptor; IGF1R: phosphorylated insulin-like growth factor 1 receptor; pAKT: phosphorylated AKT; control: basal state; OGD oxygen glucose deprivation. Data shown as mean ± SD. Two-way ANOVA and Tukey’s Multiple Comparison Test were performed for the analysis. *P < 0.05, **P < 0.01, ***P < 0.001, ****P < 0.0001.
Significant inhibition of IGF1R and AKT phosphorylation occurred when IGFBP5 was overexpressed in NRCMs under basal conditions, whereas additional treatment with rhIGF1 resulted in a significantly greater IGF1R and AKT phosphorylation (Fig. 6c). Additionally, the addition of rhIGF1 prevented the inhibitory effect of IGFBP5 on the phosphorylation of IGF1R and AKT in the OGD model (Fig. 6d).
IGFBP5 has effects on cardiomyocyte proliferation and apoptosis by negatively regulating IGF1
Finally, we aimed to determine whether IGFBP5 affects the activation of the IGF1R/AKT signaling pathway by IGF1, and thereby influences the survival of cardiomyocytes. To this end, NRCMs were subjected to IGFBP5 up/downregulation and/or rhIGF1/NVP-AEW541 treatment.
In the OGD model, the overexpression of IGFBP5 increased the expression of apoptosis-associated proteins, whereas rhIGF1 treatment prevented the pro-apoptotic effect of IGFBP5 in cardiomyocytes (Fig. 7a, b). Moreover, as evidenced by EdU and Ki67 staining, rhIGF1 treatment of NRCMs prevented the inhibitory effect of IGFBP5 on the proliferation of cardiomyocytes (Fig. 7c, d).
a Western blotting quantification of apoptosis-associated proteins in cardiomyocytes overexpressing IGFBP5 and/or rhIGF1-treated under OGD conditions (n = 3). b Apoptosis-related proteins in cardiomyocytes in which IGFBP5 had been knocked down and/or NVP-AEW541 administered under OGD conditions (n = 6). c IF staining and quantification of TUNEL signal in cardiomyocytes overexpressing IGFBP5 and/or treated with rhIGF1 under OGD conditions (n = 6). d IF staining and quantification of TUNEL signal in cardiomyocytes in which IGFBP5 had been knocked down and/or NVP-AEW541 administered under OGD conditions (n = 4). e IF staining and quantification of EdU signal in NRCMs overexpressing IGFBP5 and/or treated with rhIGF1 under basal conditions (n = 6). f IF staining and quantification of Ki67 signal in NRCMs overexpressing IGFBP5 and/or treated with rhIGF1 under basal conditions (n = 6). g IF staining and quantification of EdU signal in NRCMs in which IGFBP5 had been knocked down and/or NVP-AEW541 administered under basal conditions (n = 4). h IF staining and quantification of Ki67 signal in NRCMs in which IGFBP5 had been knocked down and/or NVP-AEW541 administered under basal conditions (n = 4). (red signals for α-actinin in (b, c, f, g); green signals for α-actinin in g, h; green signals for TUNEL in the c and g; green signals for EdU in (b, f); red signals for Ki67 in (d, h); blue signals for DAPI). Scale bar, 50 µm. Data shown as mean ± SD. Two-way ANOVA and Tukey’s Multiple Comparison Test were performed for the analysis. *P < 0.05, **P < 0.01, ***P < 0.001, ****P < 0.0001.
IGF1R inhibitor reduces the effect of knocking down IGFBP5 on myocardial regenerative repair
NVP-AEW541 treatment impaired the effect of Si_Igfbp5 to reduce pro-apoptotic protein expression in cardiomyocytes subjected to OGD (Fig. 7e). In addition, NVP-AEW541 reversed the inhibitory effect of Si_Igfbp5 on cardiomyocyte apoptosis (Fig. 7f). Furthermore, NVP-AEW541 prevented the effect of Si_Igfbp5 to promote cardiomyocyte proliferation (Fig. 7g, h).
Discussion
The destruction of cardiomyocytes following AMI and the limited regenerative capacity of the mature heart lead to cardiomyocyte depletion, ventricular remodeling, and eventually heart failure. In multiple models of ischemic-hypoxic injury, IGFBP5 has been shown to be upregulated, and in the present study, we have shown that it may play a biological role in myocardial repair. We have generated in vitro and in vivo evidence that the up- and downregulation of IGFBP5 influences cardiomyocyte proliferation and hypoxia-induced apoptosis. These effects of IGFBP5 may be exerted through effects on the activation of the IGF1R/AKT signaling pathway by IGF1. These findings provide insight into the interaction between gene regulation and IGF1R/AKT signaling in the repair of the myocardium following AMI.
High expression of IGFBP5 has been shown to be a feature of cerebral ischemia-hypoxia injury23. Based on our clinical evidence, IGFBP5 could be act as a prognostic indicator in patients suffering from AMI and serum IGFBP5 was found to be associated with cardiac injury biomarkers troponin T and C-reactive protein, suggesting the potential damaging effect in myocardium11. IGFBP5 may be a key mediator of transient fibrosis-like phenotype (EndoFP), which is the transient expression of fibrotic genes in endothelial cell leading to cardiac dysfunction24. However, whether it plays a role in ischemic-hypoxic injury and the mechanism involved were not clear. Furthermore, the overexpression of IGFBP5 inhibits the proliferation of osteosarcoma cells in mice and the inhibitory effect of IGFBP5 is partially IGF-dependent25. In addition, in mammary glands, IGFBP5-overexpression causes a reduction in the number of mammary epithelial cells and an increase in the expression of pro-apoptotic proteins13, by inhibiting phosphorylation of IGF receptor and Akt. Consistent with the pro-apoptotic function of IGFBP5 reported above, the inhibition of IGFBP5 accelerates the proliferation of cardiomyocytes in the physiological state and limits their hypoxia-induced apoptosis, while the overexpression of IGFBP5 resulted in increases in the expression of pro-apoptotic proteins following OGD-induced injury in the present study. Similarly, the upregulation of IGFBP5 induces apoptosis in neuronal cells14, suggesting that IGFBP5 may represent a target for the regulation of apoptosis.
Previous studies have shown that IGFBP5-overexpressing mice have whole-body growth inhibition, retarded muscle development26 and an exacerbation of pulmonary fibrosis27; but it was not established whether it plays a specific role in the function of the mature heart. In the present study, we found that the downregulation of IGFBP5 in the myocardium rapidly increased the proliferation and reduced the apoptosis of cardiomyocytes. This might explain the reduction of apoptosis and the smaller infarct area in the myocardium following AMI. Subsequently, scar formation of time node in myocardial remodeling research is usually the 3rd week after MI, and 21 dpi was used as the timepoint for studying the function of cardiac remodeling28,29,30. During the chronic remodeling phase, the level of fibrosis in MI mice with the downregulation of IGFBP5 was found to gradually decrease and cardiac function to improve. Moreover, the effects of the overexpression and knockdown of IGFBP5 on fibroblast proliferation and activation were also assessed under basal and TGF-β-stimulated conditions by the present study. Under both conditions, overexpression of IGFBP5 promoted fibroblast proliferation, whereas the knockdown of IGFBP5 inhibited proliferation (Supplementary Fig. 1). However, regulation of IGFBP5 did not affect the expression of markers of fibroblast activation or migration (Supplementary Fig. 2). In fibroblasts, IGFBP5 is reported as one of the most significantly upregulated genes in constitutive active of megakaryocytic leukemia 1 (MKL1) expression which is a major regulator of fibroblast-to-myofibroblast transformation (FMyT). Once activated, IGFBP5 translocate into the nucleus to trigger the pro-FMyT transcription program31.
IGFBPs act as carrier proteins for IGF and thereby regulate its biological effects32,33. However, they also have IGF-independent effects, which include the binding and regulation of other growth factors, and thereby have direct or indirect transcriptional effects in the nucleus34,35, affecting proliferation and differentiation34. Dual roles of IGFBP5 have been identified, as a modulator of IGF activity and an IGF-independent bioactive peptide26. The IGFBP5-mediated protection against ischemic-hypoxic injury can be reduced by targeting IGF1 and thereby modulating the IGF1R/AKT pathway.
IGFBP5 binds IGF1 and protects it against degradation by proteases, and the complex diffuses into various sites, such as the extracellular matrix, where IGF1 has its anabolic effects15. It has been reported that IGF1 improves cardiac contractility and output36. IGFBP5 is principally found in the nuclei of NRCMs when up/down-regulating IGFBP5 (shown in the Supplementary Fig. 1f). Accordingly, IGFBP5 is reported to exert function by the nuclear translocation independent of IGF137,38. In this study, regulation of IGFBP5 might affect the accumulation of extracellular IGFBP5, which could sequester IGF1 from binding to its cognate receptor (IGF1R) to inhibit proliferation and accelerate apoptosis. Whereas, a direct role of IGFBP5 nuclear translocation on cardiomyocyte survival remains unknown. Thus, the effect of the nuclear localization signal (NLS) domain (that facilitates nuclear translocation on IGFBP539,40) needs to be confirmed by further mechanistic studies.
In AMI-relative clinical studies, the circulating IGF1 concentration was also found to gradually decrease, and patients with low IGF1 concentrations were shown to have a poorer prognosis41. In particular, patients with ST-segment elevation associated with MI often showed an acute reduction in serum IGF1 concentration42,43. In addition, the endogenous overexpression of IGF1 enhances cardiomyocyte survival44. It was reported that the protective effect of IGF1 against cardiac ischemia-reperfusion (I/R) injury was independent of IGF1R signaling but was partly attributed to the modulation of the myeloid cell response45. Different to this study, we focused on the MI model and use the primary cardiomyocyte ischemia model induced by OGD not OGD/R to directly elucidate the role of IGF1 and IGF1R on the survival of cardiomyocytes. Studies on myocardial proliferation in MI also showed that specific anti-IGF1R antibody administration blocked the effect of IGF1 on the proliferation of cardiomyocytes46, and in cardiomyocytes apoptosis induced by OGD, IGF1R inhibitor inhibited the recovery effect from IGF1 (shown in the Supplementary Fig. 7). Thus, IGF1 might affect the survival of cardiomyocytes through IGF1R in OGD model. Still, further studies are warranted to verify whether the cardiomyocyte-specific IGF1R signaling pathway is critical for MI in vivo.
In the present study, we found that both the down- or upregulation of IGFBP5 affected myocardial cell survival, probably through the regulation of IGF1, which principally binds to the IGF1R receptor and activates the downstream AKT pathway. Cardiomyocyte proliferation and hypertrophy have been demonstrated to be affected by the activation of AKT signaling, and this activation is essential for myocardial repair47,48. IGF1R signaling is known to be important for cardiac health throughout life. The overexpression of IGF1R improves exercise tolerance and cardiac function at a young age, but accelerates heart failure and predisposes toward early mortality in later life49. Consistent with the former, the 8-week-old C57BL/6 mice used in the present study showed downregulation of the phosphorylation of IGF1R during MI, and a reduction in IGFBP5 expression increased IGF1R phosphorylation in the injured myocardium. Thus, there might be a positive relationship between myocardial IGF1R activation and the downregulation of IGFBP5, and IGFBP5 may participate in the maintenance of myocardial viability following MI during early adulthood.
Furthermore, the activation of the IGF1R/AKT pathway was significantly affected by IGFBP5 in NRCMs. The IGF1R/AKT pathway is still being investigated in AMI and is known to be involved in cell proliferation and the apoptosis of tumors50,51,52. Activation of the IGF1R/AKT pathway has also been shown to protect the aging heart against the deleterious effects of long-term exercise training53. Thus, cardiac-specific activation of IGFBP5 may occur in response to extracellular and intracellular stimuli, and this may influence the cardiomyocytes survival through this pathway.
However, this study has the following limitations. For example, the design allowed neither to determine the contribution of individual cell types (cardiomyocytes, immune cells, etc.) to the observed effects nor to directly distinguish between IGFBP5-dependent and independent mechanisms, which might be another mechanism by which IGFBP5 inhibition improves cardiac outcomes. Although we have explored the mechanism of IGFBP5 in MI by separating of cardiomyocytes and fibroblasts, we only studied the specific mechanism of its action on cardiomyocytes, and the role of IGFBP5 on fibroblasts is still worth further exploration.
Simultaneously, there might be different effects of IGF1R on the cardiovascular system in young and aged mice. Thus, whether IGFBP5 similarly affects IGF1R activation in older mice with MI deserves further exploration. Furthermore, owing to the uniqueness of IGFBP554, the endogenous effects of IGFBP5 expression might not be mirrored by those of exogenous IGFBP5. Therefore, further studies are warranted.
Altogether, our work demonstrated the characteristics of IGFBP5 expression in myocardial ischemic-hypoxic injury, and also preliminarily elucidated the biological role and intrinsic regulatory mechanism of IGFBP5 in cardiomyocytes. Regulating endogenous IGFBP5 could become a potential therapeutic strategy for AMI.
Materials and methods
Isolation and culture of neonatal rat cardiomyocytes (NRCMs)
Neonatal Sprague-Dawley rats were purchased from Nanjing Medical University Laboratory Animal Centre (Nanjing). Ventricular samples were collected, then digested with trypsin-collagenase (formulation: 600 mg trypsin +400 mg collagenase, volumetric to 1 L with 1×ADS buffer), and this reaction was terminated using horse serum. Next, the cell suspension was centrifuged and the pellets were resuspended in cardiomyocyte culture medium (500 mL cardiomyocyte culture medium for example, the formula was 420 mL high-glucose medium DMEM, 25 mL fetal bovine serum, 50 mL equine serum, 5 mL penicillin-streptomycin mixture) for 7–8 cycles. Then, the cardiomyocytes were further purified using a Percoll™ gradient and 10× ADS buffer. Percoll Stock (PS) was prepared with Percoll™ gradient separation stock and 10× ADS buffer at a ratio of 9:1; At the same time, Top (PS: 1× ADS buffer = 9:11) and Bottom (PS: 1× ADS buffer = 13:7) were prepared to centrifuge cardiomyocytes to obtain precipitation, and then suspended with 1× ADS buffer and added to the upper layer of Top and Bottom. Then the cell suspension was centrifuged at 22 °C for 30 min (3000 rpm, acceleration and acceleration were 0). After gradient centrifugation, the cells were stratified, with the middle layer being the desired cardiomyocytes (the upper layer being fibroblasts). Subsequently, the purified cardiomyocytes were added to cardiomyocyte culture medium and seeded at an appropriate density.
Cell transfection and treatment
After the culture of NRCMs for 24–48 h and the confirmation of adhesion, small interfering RNA (siRNA) targeting Igfbp5 (75 nM), an overexpression plasmid, or an appropriate control (1 μg/mL) were transfected into the cells using Lipofectamine™3000, Dulbecco’s modified Eagle’s medium (DMEM, Gibco, USA) and Opti-MEM. The efficiency of transfection was tested after 48–72 h of incubation. During the functional rescue experiments, recombinant human IGF1 protein (rhIGF1, 100 ng/mL, 18 h; Abcam) or IGF1 receptor (IGF1R) inhibitor (NVP-AEW541, 10 μM, 20 h; MCE) were added to specific wells.
Induction of oxygen-glucose deprivation injury
Forty hours after the transfection of the cardiomyocytes had been initiated, the medium was changed to glucose-free DMEM and the culture vessels were then placed under hypoxic conditions created using 1–2 packs of hypoxia bags (MGC) for 8 h. Then the NRCMs were fixed for the quantification of apoptosis and apoptosis-related protein expression.
Immunofluorescence
NRCMs were fixed with 4% paraformaldehyde (PFA), permeabilized with 0.2% Triton™ X-100, and then blocked. Then, a primary antibody (Ki67, Anillin, and Aurora B) was added to the wells overnight. After washing, the cells were incubated with the secondary antibody, then the nuclei were stained with DAPI (Sigma, 1:100). Positive nuclei were counted under immunofluorescence microscopy (Zeiss, Germany) using Image J software. Besides, 5-ethynyl-2′-deoxyuridine (EdU) detection kit (Invitrogen) and terminal deoxynucleotidyl transferase labeling (TUNEL+) (Yeasen, China) was used according to the manufacturer’s instructions. The antibodies used are listed in Supplementary Table 2.
Animal models
We purchased 8-week-old, male C57BL/6 mice (24–26 g) from the animal center of Nanjing Medical University, and housed them at the Laboratory Animal Centre of Nanjing Medical University. Animal experiments were approved by the Ethics Committee of Nanjing Medical University and were in accordance with the NIH Guide for the Care and Use of Laboratory Animals. We have complied with all relevant ethical regulations for animal use. Mice were anaesthetized via isoflurane inhalation (3% for induction and 1–2% for maintenance). Euthanasia was performed with pentobarbital sodium administration intraperitoneally at the dosage of 200 mg/kg (Sigma, USA).
The left anterior descending (LAD) coronary artery was ligated to induce ischemia in the apex of the heart in some of the mice, and sham surgery (the LAD artery was isolated but not ligated) was performed.
The IGFBP5 inhibitory AAV9 construct (AAV9-cTnT-shIGFBP5) and the control virus (AAV9-cTnT-ctrl) used were purchased from Hanheng Biotechnology Co., Ltd. (Shanghai, China). One hundred microliters of AAV9 were injected (1 × 1012 vg/mL) into a tail vein. Cardiac tissues and other organs were collected. The IGFBP5 knockdown efficiency of the AAV9 was assessed using quantitative PCR and western blotting. After cardiac-specific knockdown of IGFBP5, LAD artery ligation or sham surgery was performed.
Echocardiography
Echocardiography was performed using a small animal ultrasonography imaging system (Visual Sonics, Vevo 770). The following parameters were assessed: ejection fraction (EF), left ventricular short-axis shortening (FS), anterior and posterior wall thickness during left ventricular systole/diastole.
Histopathological examination
Immunofluorescence staining of frozen sections was performed after rewarming and fixation, using a similar method to that used for NRCMs. For EdU staining of cardiac tissue, the mice were injected intraperitoneally with EdU (50 mg/kg) 1 day and 3 days before the endpoint of the experiment.
Masson’s trichrome staining (Servicebio, China) was also performed to quantify fibrosis. Images were captured under light microscopy (Nikon, Japan) and analyzed using NIS Elements (Nikon, Japan). The extent of fibrosis was quantified using Image-Pro Plus software (Media Cybernetics, USA).
Evans blue/TTC double staining
Twenty-four hours post MI, mice were immobilized using isoflurane anesthesia, the damaged myocardium was exposed, and 1% Evans Blue (Sigma) was injected into the left ventricle at the apex of the heart. Each heart was then cut into 5–6 slices, and stained with 1% TTC solution (Sigma). The ischemic infarct area (INF), the area at risk (AAR), and the unaffected area on each slice were quantified using Image J software.
Western blotting
A total protein kit (KeyGen, China) was used to lyse tissues and cultured cells, and the protein concentrations were determined using a BCA Protein Quantification Kit (Thermo Fisher). After the fixed volume quantification, the diluted protein solution of the same concentration was mixed with 5× protein loading buffer and placed in a metal bath (100 °C, 10 min) for thermal denaturation. The lysates with loading volume of 15–20 µg were then electrophoresed on 10% SDS-PAGE gels, transferred to PVDF membranes, and blocked with 5% skimmed milk. Subsequently, the membranes were incubated with primary antibodies, then with HRP-linked secondary antibodies. Luminescence intensity analysis was performed using an ECL Luminescence Kit, a ChemiDoc XRS Plus luminescent image analyzer (Bio-Rad, Hercules, USA), and Image lab software (Bio-Rad). The primary antibodies used are listed in Supplementary Table 2.
Quantitative real-time PCR (qRT-PCR)
RNA was extracted from cells and tissues using RNAiso Plus (Takara, Japan), and was added with 20uL DEPC water to dissolved RNA samples. The Nanodrop instrument is used for the quantity and quality assessment of RNA (the machine must be zeroed before measurement) at 260/280 wavelengths in the ultraviolet. Then, it was reverse transcribed to cDNA using a NextSense Reverse Transcription Kit (Yeasen, China) and a Bio-Rad Reverse Transcription Instrument. The total retrotranscription system consisted of 10 μL (400 ng RNA + 4×Hifair®III Super Mix plus 2.5 μL and RNAase-free water). Target mRNA expression was analyzed by qPCR using specific primers on an ABI 7900HT fast Real Time PCR System (Applied Biosystems), with 18S rRNA or GAPDH as the reference gene. The relative expression level was calculated using the 2-ΔΔCt method. The primer sequences are listed in Supplementary Tables 4 and 5.
Human blood sample
Human blood was obtained from five healthy individuals and five patients with AMI who underwent coronary angiography at the First Affiliated Hospital with Nanjing Medical University (Nanjing, Jiangsu, China). All patients were given a diagnose based on the criteria for AMI according to the 4th Universal Definition of Myocardial Infarction. The study protocols were approved by the independent Ethics Committee of the First Affiliated Hospital with Nanjing Medical University. All participants gave written informed consent. All ethical regulations relevant to human research participants were followed and the study was registered at China Clinical Trial Registry (http://www.chictr.org/cn/, ChiCTR2300069463). The RNA was extracted from blood according to Leukocyte RNA Purification Kit (Norgen Biotek, Canada). Further detection was performed by qRT-PCR.
Statistics and reproducibility
Prism v.8.0 software (GraphPad, Boston, MA, USA) was used for statistical analysis and graph preparation. The data were presented as mean ± SD. The independent t-test (unpaired, two-tailed) was used to compare two groups, and one-way or two-way ANOVA was used to compare multiple groups, followed by Tukey’s multiple comparison test. P < 0.05 was considered to represent a statistical significance. All experiments were conducted with a minimum of three biologically independent replicates.
Data availability
The source data and the statistical data can be found in Supplementary Data, Supplementary Tables 1–5 and Supplementary Figs. 1–8. The data that support the findings of this study are available on request from the corresponding author.
References
DeFilippis, A. P. et al. Assessment and treatment of patients with type 2 myocardial infarction and acute nonischemic myocardial injury. Circulation 140, 1661–1678 (2019).
Priori, S. G. et al. 2015 ESC Guidelines for the management of patients with ventricular arrhythmias and the prevention of sudden cardiac death: The Task Force for the Management of Patients with Ventricular Arrhythmias and the Prevention of Sudden Cardiac Death of the European Society of Cardiology (ESC)Endorsed by: Association for European Paediatric and Congenital Cardiology (AEPC). Europace 17, 1601–1687, (2015).
Reed, G. W., Rossi, J. E. & Cannon, C. P. Acute myocardial infarction. Lancet 389, 197–210 (2017).
Florea, V. et al. Dose comparison study of allogeneic mesenchymal stem cells in patients with ischemic cardiomyopathy (The TRIDENT Study). Circ Res. 121, 1279–1290 (2017).
Panza, J. A., Chrzanowski, L. & Bonow, R. O. Myocardial viability assessment before surgical revascularization in ischemic cardiomyopathy: JACC review topic of the week. J. Am. Coll. Cardiol. 78, 1068–1077 (2021).
Sacks, D. et al. Multisociety consensus quality improvement revised consensus statement for endovascular therapy of acute ischemic stroke. Int. J. Stroke 13, 612–632 (2018).
Prabhu, S. D. & Frangogiannis, N. G. The biological basis for cardiac repair after myocardial infarction: from inflammation to fibrosis. Circ. Res. 119, 91–112 (2016).
Duan, C. & Allard, J. B. Insulin-like growth factor binding protein-5 in physiology and disease. Front. Endocrinol. 11, 100 (2020).
Schneider, M. R., Wolf, E., Hoeflich, A. & Lahm, H. IGF-binding protein-5: flexible player in the IGF system and effector on its own. J. Endocrinol. 172, 423–440 (2002).
Allard, J. B. & Duan, C. IGF-binding proteins: why do they exist and why are there so many? Front. Endocrinol. 9, 117 (2018).
Zhu, Q. et al. Serum IGFBP5 as a predictor of major adverse cardiac events in patients with acute myocardial infarction. Int J. Cardiol. 411, 132268 (2024).
Mukherjee, A. & Rotwein, P. Insulin-like growth factor-binding protein-5 inhibits osteoblast differentiation and skeletal growth by blocking insulin-like growth factor actions. Mol. Endocrinol. 22, 1238–1250 (2008).
Tonner, E. et al. Insulin-like growth factor binding protein-5 (IGFBP-5) induces premature cell death in the mammary glands of transgenic mice. Development 129, 4547–4557 (2002).
Qiao, D. et al. Insulin-like growth factor binding protein 5 (IGFBP5) mediates methamphetamine-induced dopaminergic neuron apoptosis. Toxicol. Lett. 230, 444–453 (2014).
Liu, C. et al. The metalloproteinase Papp-aa controls epithelial cell quiescence-proliferation transition. Elife 9, https://doi.org/10.7554/eLife.52322 (2020).
Hung, P. S. et al. Insulin-like growth factor binding protein-5 (IGFBP-5) suppresses the tumourigenesis of head and neck squamous cell carcinoma. J. Pathol. 214, 368–376 (2008).
Mita, K. et al. Prognostic significance of insulin-like growth factor binding protein (IGFBP)-4 and IGFBP-5 expression in breast cancer. Jpn J. Clin. Oncol. 37, 575–582 (2007).
Simon, C. M. et al. Dysregulated IGFBP5 expression causes axon degeneration and motoneuron loss in diabetic neuropathy. Acta Neuropathol. 130, 373–387 (2015).
Song, S. E. et al. IGFBP5 mediates high glucose-induced cardiac fibroblast activation. J. Mol. Endocrinol. 50, 291–303 (2013).
Leung, K. P. et al. Critical role of insulin‑like growth factor binding protein‑5 in methamphetamine‑induced apoptosis in cardiomyocytes. Mol. Med. Rep. 10, 2306–2312 (2014).
Beilharz, E. J. et al. Differential expression of insulin-like growth factor binding proteins (IGFBP) 4 and 5 mRNA in the rat brain after transient hypoxic-ischemic injury. Brain Res. Mol. Brain Res 18, 209–215 (1993).
Ding, M., Bruick, R. K. & Yu, Y. Secreted IGFBP5 mediates mTORC1-dependent feedback inhibition of IGF-1 signalling. Nat. Cell Biol. 18, 319–327 (2016).
Lee, W. H., Wang, G. M., Seaman, L. B. & Vannucci, S. J. Coordinate IGF-I and IGFBP5 gene expression in perinatal rat brain after hypoxia-ischemia. J. Cereb. Blood Flow. Metab. 16, 227–236 (1996).
Li, Y. et al. Crosstalk between endothelial cells with a non-canonical EndoMT phenotype and cardiomyocytes/fibroblasts via IGFBP5 aggravates TAC-induced cardiac dysfunction. Eur. J. Pharmacol. 966, 176378 (2024).
Schneider, M. R. et al. Insulin-like growth factor-binding protein-5 inhibits growth and induces differentiation of mouse osteosarcoma cells. Biochem. Biophys. Res. Commun. 288, 435–442 (2001).
Salih, D. A. et al. Insulin-like growth factor-binding protein 5 (Igfbp5) compromises survival, growth, muscle development, and fertility in mice. Proc. Natl Acad. Sci. USA 101, 4314–4319 (2004).
Nguyen, X. X., Renaud, L. & Feghali-Bostwick, C. Identification of impacted pathways and transcriptomic markers as potential mediators of pulmonary fibrosis in transgenic mice expressing human IGFBP5. Int. J. Mol. Sci. 22, https://doi.org/10.3390/ijms222212609 (2021).
Panizzi, P. et al. Impaired infarct healing in atherosclerotic mice with Ly-6C(hi) monocytosis. J. Am. Coll. Cardiol. 55, 1629–1638 (2010).
Schloss, M. J. et al. 2-Arachidonoylglycerol mobilizes myeloid cells and worsens heart function after acute myocardial infarction. Cardiovasc Res 115, 602–613 (2019).
Marinković, G. et al. S100A9 links inflammation and repair in myocardial infarction. Circ. Res. 127, 664–676 (2020).
Zhao, Q. et al. The insulin-like growth factor binding protein-microfibrillar associated protein-sterol regulatory element binding protein axis regulates fibroblast-myofibroblast transition and cardiac fibrosis. Br. J. Pharmacol. 181, 2492–2508 (2024).
Duan, C., Ren, H. & Gao, S. Insulin-like growth factors (IGFs), IGF receptors, and IGF-binding proteins: roles in skeletal muscle growth and differentiation. Gen. Comp. Endocrinol. 167, 344–351 (2010).
Rajaram, S., Baylink, D. J. & Mohan, S. Insulin-like growth factor-binding proteins in serum and other biological fluids: regulation and functions. Endocr. Rev. 18, 801–831 (1997).
Firth, S. M. & Baxter, R. C. Cellular actions of the insulin-like growth factor binding proteins. Endocr. Rev. 23, 824–854 (2002).
Xu, Q. et al. Evidence that IGF binding protein-5 functions as a ligand-independent transcriptional regulator in vascular smooth muscle cells. Circ. Res. 94, E46–E54 (2004).
Ren, J., Samson, W. K. & Sowers, J. R. Insulin-like growth factor I as a cardiac hormone: physiological and pathophysiological implications in heart disease. J. Mol. Cell Cardiol. 31, 2049–2061 (1999).
Poreba, E. & Durzynska, J. Nuclear localization and actions of the insulin-like growth factor 1 (IGF-1) system components: Transcriptional regulation and DNA damage response. Mutat. Res Rev. Mutat. Res. 784, 108307 (2020).
Alessio, N. et al. IGFBP5 is released by senescent cells and is internalized by healthy cells, promoting their senescence through interaction with retinoic receptors. Cell Commun. Signal 22, 122 (2024).
Schedlich, L. J. et al. Nuclear import of insulin-like growth factor-binding protein-3 and -5 is mediated by the importin beta subunit. J. Biol. Chem. 275, 23462–23470 (2000).
Su, Y., Nishimoto, T. & Feghali-Bostwick, C. IGFBP-5 promotes fibrosis independently of its translocation to the nucleus and its interaction with nucleolin and IGF. PLoS ONE 10, e0130546 (2015).
Friberg, L., Werner, S., Eggertsen, G. & Ahnve, S. Growth hormone and insulin-like growth factor-1 in acute myocardial infarction. Eur. Heart J. 21, 1547–1554 (2000).
Hu, W. S. & Hwang, J. M. Association of serum cytokines, human growth hormone, insulin-like growth factor (IGF)-I, IGF-II and IGF-binding protein (IGFBP)-3 with coronary artery disease. Chin. J. Physiol. 55, 267–273 (2012).
Sekuri, C. et al. [Serum level of insulin-like growth factor-1 and insulin-like growth factor binding protein-3 in acute coronary syndromes and relationship with prognosis]. Anadolu Kardiyol Derg 4, 209–212 (2004).
Jackson, R. et al. Paracrine engineering of human cardiac stem cells with insulin-like growth factor 1 enhances myocardial repair. J. Am. Heart Assoc. 4, e002104 (2015).
Heinen, A. et al. IGF1 treatment improves cardiac remodeling after infarction by targeting myeloid cells. Mol. Ther. 27, 46–58 (2019).
Stavropoulou, A. et al. IGF-1 expression in infarcted myocardium and MGF E peptide actions in rat cardiomyocytes in vitro. Mol. Med 15, 127–135 (2009).
Qin, W., Cao, L. & Massey, I. Y. Role of PI3K/Akt signaling pathway in cardiac fibrosis. Mol. Cell Biochem. 476, 4045–4059 (2021).
Vega, R. B., Konhilas, J. P., Kelly, D. P. & Leinwand, L. A. Molecular mechanisms underlying cardiac adaptation to exercise. Cell Metab. 25, 1012–1026 (2017).
Abdellatif, M. et al. Fine-tuning cardiac insulin-like growth factor 1 receptor signaling to promote health and longevity. Circulation 145, 1853–1866 (2022).
Hua, J. et al. CircVAPA promotes small cell lung cancer progression by modulating the miR-377-3p and miR-494-3p/IGF1R/AKT axis. Mol. Cancer 21, 123 (2022).
Gu, W., Gong, L., Wu, X. & Yao, X. Hypoxic TAM-derived exosomal miR-155-5p promotes RCC progression through HuR-dependent IGF1R/AKT/PI3K pathway. Cell Death Discov. 7, 147 (2021).
Agarwal, N. K. et al. Smoothened (SMO) regulates insulin-like growth factor 1 receptor (IGF1R) levels and protein kinase B (AKT) localization and signaling. Lab Investig. 102, 401–410 (2022).
Lay, I. S. et al. Exercise training restores IGFIR survival signaling in d-galactose induced-aging rats to suppress cardiac apoptosis. J. Adv. Res. 28, 35–41 (2021).
Yin, P., Xu, Q. & Duan, C. Paradoxical actions of endogenous and exogenous insulin-like growth factor-binding protein-5 revealed by RNA interference analysis. J. Biol. Chem. 279, 32660–32666 (2004).
Acknowledgements
X.L.L. discloses support for the research of this work from National Key Laboratory for Innovation and Transformation of Luobing Theory, General Program of National Natural Science Foundation of China [grant number 82370389 and 81970339], the National High Technology Research and Development Program of China [grant number 2017YFC1700505]. H.F.Z. discloses support for research of this work from General Program of National Natural Science Foundation of China [grant number 82270394], Project from Gusu School [grant number GSRCKY20210204] and Gusu Health Personnel Training Project [grant number GSWS2021042]. R.R.G discloses support for publication of this work from General Program of National Natural Science Foundation of China [grant number 82200425 and 82470278] and Qing Lan Project of Jiangsu. S.G.L discloses support for research of this work from General Program of National Natural Science Foundation of China [grant number 82400458].
Author information
Authors and Affiliations
Contributions
Q.Q.Z conducted the in vitro and in vivo experiments, analyzed data and wrote the manuscript. X.Y.L conducted the in vitro experiments and analyzed data. M.L.C conducted the in vivo experiments and analyzed data. M.S.S performed some of the in vitro experiments and wrote the manuscript. T.Z participated in in vitro experiments. W.M.Y performed some bioinformatic analysis. X.L.L and H.F.Z participated in designing the study. R.R.G participated in the statistical analysis and editing of the manuscript. S.G.L and Y.L.Z (corresponding author) designed and supervised the study and performed manuscript editing.
Corresponding authors
Ethics declarations
Competing interests
The authors declare no competing interests.
Ethics approval
Animal experiments were approved by the Ethics Committee of Nanjing Medical University (No.1903016) and were conducted according to the Guidelines for the Use of Laboratory Animals in Biomedical Research, published by National Institutes of Health. All of the participants gave informed consent prior to the inclusion of people in the study. The investigation conformed to the principles outlined in the Declaration of Helsinki and the study was registered at China Clinical Trial Registry (http://www.chictr.org/cn/).
Peer review
Peer review information
Communications Biology thanks Anne-Marie Galow and the other, anonymous, reviewer(s) for their contribution to the peer review of this work. Primary Handling Editors: Madhumita Basu and Dario Ummarino. A peer review file is available.
Additional information
Publisher’s note Springer Nature remains neutral with regard to jurisdictional claims in published maps and institutional affiliations.
Supplementary information
Rights and permissions
Open Access This article is licensed under a Creative Commons Attribution-NonCommercial-NoDerivatives 4.0 International License, which permits any non-commercial use, sharing, distribution and reproduction in any medium or format, as long as you give appropriate credit to the original author(s) and the source, provide a link to the Creative Commons licence, and indicate if you modified the licensed material. You do not have permission under this licence to share adapted material derived from this article or parts of it. The images or other third party material in this article are included in the article’s Creative Commons licence, unless indicated otherwise in a credit line to the material. If material is not included in the article’s Creative Commons licence and your intended use is not permitted by statutory regulation or exceeds the permitted use, you will need to obtain permission directly from the copyright holder. To view a copy of this licence, visit http://creativecommons.org/licenses/by-nc-nd/4.0/.
About this article
Cite this article
Zhu, Q., Lu, X., Chen, M. et al. IGFBP5 affects cardiomyocyte survival and functional recovery in mice following myocardial ischemia. Commun Biol 7, 1594 (2024). https://doi.org/10.1038/s42003-024-07304-0
Received:
Accepted:
Published:
DOI: https://doi.org/10.1038/s42003-024-07304-0









