Abstract
Activation of the Wnt/β-catenin pathway is a critical step in the development of colorectal cancers. A key mediator of this activation is the recently described oncogene CDK8, which is amplified in a large number of colorectal tumors. CDK8 affects β-catenin activation by interaction of the CDK8 submodule of the mediator complex with β-catenin/TCF transcriptional complex, and by CDK8 interacting with and phosphorylating E2F1, which acts as a repressor of β-catenin/TCF transcriptional activity. The amino-acid residue in E2F1 that CDK8 phosphorylates and how this phosphorylation impacts E2F1 activity in general is not known. Here, we describe that CDK8 phosphorylates serine 375 in E2F1 both in vitro and in cells, and that phosphorylation of this residue is required for E2F1 interaction with CDK8, and that the phosphorylation is dependent on CDK8 kinase activity. The phosphorylation of S375 by CDK8 regulates E2F1 ability to repress transcription of β-catenin/TCF-dependent genes, as well as activation of E2F1-dependent genes. This regulation is due to inactivation of E2F1 transcriptional activation, and not to the interference of E2F1’s ability to bind to E2F1-binding sites in various promoters or to interact with DP1.
Introduction
The dysregulation of the Wnt/β-catenin pathway has a key role in the development of colorectal cancers.1, 2, 3 In normal cells, cytoplasmic levels of β-catenin levels are kept low by adenomatous polyposis (APC) tumor-suppressor protein. The APC protein binds cytoplasmic β-catenin and forms a complex with the protein axin, which then leads to the phosphorylation of β-catenin first by CK1, then GSK3-β, leading to β-catenin ubiquitination by APC protein, and followed by proteosomal degradation.4, 5, 6 Upon activation of the Wnt signaling pathway, GSK3-β-mediated phosphorylation is inhibited, and the destruction complex becomes sequestered to the membrane, the pool of cytoplasmic β-catenin increases, and the cytoplasmic β-catenin migrates to the nucleus, where it interacts with members of the TCF/LEF transcription factor family to activate transcription on Wnt target genes.4, 5, 6 In many colon cancers, the APC protein is inactivated by mutation, resulting in deregulated Wnt signaling pathway and an accumulation in both cytoplasmic and nuclear β-catenin, with a corresponding upregulation in genes involved in cell proliferation.7, 8
When β-catenin/TCF-mediated transcription is upregulated, β-catenin binds and interacts with mediator complex.9 The mediator complex functions as a general transcription factor involved in RNA polymerase II recruitment, stabilization of polymerase complexes at the promoter and transcriptional initiation.10 In addition, the mediator complex also interacts with signal-activated transcription factors, allowing the mediator complex to integrate regulatory signals to help activate or repress transcription.10, 11 Interaction between the mediator complex and β-catenin is through the mediator complex protein Med12, which binds directly to β-catenin.9 The Med12 protein is a key component of the CDK8 submodule of the mediator complex, which can function with the larger mediator complex to regulate RNA polymerase II-mediated transcription or as an individual submodule affecting transcription both positively and negatively.10 The key kinase in this complex is CDK8, a cyclin-dependent kinase whose cyclin cofactor is Cyclin C.12, 13 Recently, CDK8 has been implicated as a potent oncogene that is amplified in colorectal cancers and melanomas, and is involved in regulating β-catenin activity.2, 13, 14, 15
The CDK8 submodule has been implicated in the phosphoacetylation of histone H3,16, 17 as a coregulator of stimulus-specific p53 transcription,18 and as a regulator of transcriptional elongation for the serum response network.19 Potential substrates for CDK8 activity include the carboxy-terminal domain of RNA polymerase II,17, 20 the NOTCH intracellular domain, and the linker regions of SMAD 1/5 and SMAD2/3 complexes. CDK8 activates the transcriptional activity of both the Notch intracellular domain and SMAD complexes by phosphorylation, which directs both complexes to be targeted for degradation.21, 22, 23
An additional target of regulation by CDK8 is the transcriptional regulator E2F1, which CDK8 phosphorylates to relieve the repression mediated by E2F1 on β-catenin/TCF pathway.13, 24 In the cell, E2F1 DNA-binding sites are widespread in the genome, which enables E2F1 to exert control over hundreds of genes involved in cell growth and proliferation as either a transcriptional activator or transcriptional repressor.25, 26 E2F1 also exerts control over β-catenin/TCF-mediated transcription by controlling expression of CTNNBIP1, also known as ICAT (inhibitor of β-catenin and TCF4), which interacts with β-catenin to interfere with its association with TCF, thereby inhibiting β-catenin/TCF-mediated transcription.27, 28, 29
E2F1 is regulated by its association with Rb, which acts as a repressor of E2F1 activity.30, 31 E2F1 is also regulated by other CDKs and cyclins as well. The CDK2/Cyclin A complex associates and phosphorylates the amino-terminal domain of E2F1, thereby disrupting DNA binding,32, 33 while the CDK1/Cyclin A complex can phosphorylate serine 375 (S375) of E2F1 in vitro, promoting association with Rb in vitro,34 but appears to have little effect in vivo.24, 26 Another CDK/cyclin complex, CDK7/Cyclin H, can phosphorylate both serine 403 and threonine 433 in the transcriptional activation domain of E2F1, promoting its rapid degradation.35
The amino-acid residue in E2F1 that is the target for CDK8 phosphorylation has not been identified. Here, we report that S375 in E2F1 is specifically phosphorylated by CDK8, and is critical for the interaction between E2F1 and CDK8 in cells. In addition, we show that phosphorylation of S375 by CDK8 regulates E2F1’s ability to activate or repress transcriptional activity, while not affecting E2F1’s ability to associate with promoters or its DNA-binding partner, DP1.
Results
CDK8 phosphorylates S375 in E2F1
The interaction between CDK8 and E2F1 has been previously reported,24 but the residue that is phosphorylated by CDK8 has yet to be determined. To answer this question, we initially used recombinant GST-CDK8/GST-Cyclin C and recombinant six-histidine-tagged E2F1 to determine if CDK8 could phosphorylate E2F1 in vitro using γ-P33-ATP (Supplementary Figure 1a). Only in the presence of the recombinant GST-CDK8/GST-Cyclin C, was the recombinant E2F1 phosphorylated in a dose-dependent manner. In order to confirm that the phosphorylation of E2F1 by recombinant CDK8 was due to CDK8 and not a contaminating kinase, we immunoprecipitated CDK8 from tetracycline-inducible 293 cells expressing either wild-type CDK8 or a kinase-dead CDK8 mutant (D173A)14 (Supplementary Figure 1b). The recombinant E2F1 was only phosphorylated with wild-type CDK8 immunoprecipitated from cells induced by doxycycline. Immunoprecipitated kinase-dead CDK8 showed no phosphorylation of E2F1, confirming that CDK8 can directly phosphorylate E2F1.
To identify the CDK8 phosphorylation site, peptide mapping was performed on recombinant E2F1 using nano liquid chromatography–mass spectrometry (LC-MS). Recombinant GST-CDK8/Cyclin C was incubated with recombinant E2F1 in the presence or absence of ATP. In the absence of ATP (Figure 1a), no phosphorylation was observed on E2F1. In the presence of ATP, the phophorylated form of peptide A367-R388 was observed, with mass accuracy of 0.6 p.p.m. The site occupancy is higher than 95%. MS/MS fragmentation data (Figure 1b) of this peptide further identified that S375 is the phosphorylation site. As shown in Figure 1b, a series of y ions from y2 to y20 was detected, suggesting an 80-Da modification on S375. With TiO2 enrichment, there were only several minor residues that appeared to be phosphorylated, but each was <5% occupancy (data not shown).
S375 is the residue in E2F1 phosphorylated by CDK8. (a) MS spectrum of the phosphorylated peptide containing S375 (A367-R388). The site occupancy is >95% and the mass accuracy is 0.6 p.p.m. Recombinant E2F1 of 2 mM was incubated in the presence or absence of 50 mM ATP with 200 mM recombinant CDK8, and then subjected to LC-MS analysis. (b) MS/MS spectrum of phsophorylated peptide A367-R388. S375 is identified to be the phosphorylation site.
Serine 375 lies in the transcriptional activation domain of E2F1, and in a homologous region identified in the transcriptional activation domain of Drosophila E2F1 that binds Drosophila CDK8.24, 36 To further confirm that serine 375 in E2F1 is the target of CDK8 phosphorylation, we mutated serine 375 to alanine in E2F1 (S375A E2F1), and expressed the mutant recombinant protein for use in a kinase assay (Supplementary Figure 2a). Using both the wild-type E2F1 and the mutant E2F1 in a kinase assay, recombinant GST-CDK8/GST-Cyclin C phosphorylated only the wild-type E2F1, but not the S375A E2F1 mutant. To confirm this, we immunoprecipitated CDK8 from two different cell lines that have different expression levels of CDK8, HEK-293 and HCT116 cells (Supplementary Figure 2b). Phosphorylation was only observed when the immunoprecipitated CDK8 was incubated with wild-type E2F1 in both cell lines, while there was only slight phosphorylation when the immunoprecipitated CDK8 was incubated with the S375A mutant E2F1, indicating that S375 was the primary target of phosphorylation by CDK8.
S375 in E2F1 is necessary for E2F1/CDK8 interaction
Previous reports have indicated that CDK8 and E2F1 interact, and that CDK8 phosphorylates E2F1 in cells.24 To confirm that CDK8 can bind E2F1 and phosphorylate serine 375 in E2F1 in cells, we transfected either control plasmid, MYC-tagged wild-type E2F1 or MYC-tagged S375A E2F1 expression vectors into either HCT116 or HEK-293 cells. After transfecting the cells, an immunoprecipitation (IP) kinase assay was performed, where we immunoprecipitated CDK8 using a monoclonal anti-CDK8 antibody and Protein G beads (Figure 2a). After the IP, we performed a kinase assay using γ-P33-ATP on the IP beads, and then eluted the bound proteins from IP complex. We then performed a second IP with rabbit anti-MYC-tag antibody and Protein A beads. After the second IP, the complexes were run on an SDS–polyacrylamide gel electrophoresis (PAGE) gel and visualized (Figure 2a). In addition to the CDK8 IP, we also performed a reciprocal IP with the anti-MYC-tag antibody to ensure that CDK8 was interacting with the transfected E2F1 proteins.
CDK8 fails to phosphorylate and interact with S375A E2F1 in cells. (a) Wild-type and S375A mutant MYC-tagged E2F1 was transfeceted into either 293 or HCT116 cells, and then 24 h later, CDK8 was immunoprecipitated from the cells, and a kinase assay was performed in kinase buffer with 5 μM γ-P33-ATP. Proteins were eluted from the immunocomplex, and then re-immunoprecipitated with an anti-MYC tag rabbit polyclonal antibody and Protein A beads, and then resolved on 10% SDS–PAGE gel. (b) MYC-tagged wild-type, S375A or S375D E2F1 was transfected into 293 cells for 24 h, and then CDK8 or E2F1 immunoprecipitated using anti-CDK8 or anti-E2F1 antibodies as described in Materials and methods. After IP, immunoprecipitated complexes were resolved on 10% SDS–PAGE gel, and western blotted for the presence of CDK8, E2F1 or phospho-S375 E2F1.
The transfected wild-type E2F1 protein was phosphorylated by CDK8, both in the load from the kinase assay and in the second IP. In addition, the CDK8 IP indicated that the transfected wild-type E2F1 bound to CDK8, and the reciprocal immunoprecipitation with the MYC-tagged antibody confirmed the interaction. Similar to what was observed in Supplementary Figure 2, S375A E2F1 was not phosphorylated by CDK8 (Figure 2a). This was owing to the lack of interaction between CDK8 and S375A E2F1 as observed in both the CDK8 and the MYC-tagged IP. In both IPs, CDK8 and S375A E2F1 failed to interact, indicating that the serine 375 residue not only is the target for CDK8 phosphorylation but is also necessary for the interaction between CDK8 and E2F1.
For further confirmation that S375 is necessary for E2F1 interaction with CDK8, we transfected control plasmid, MYC-tagged E2F1, MYC-tagged S375A E2F1 or MYC-tagged S375D E2F1 expression plasmids in the presence or absence of CDK8 expression plasmid into HEK-293 cells, and performed reciprocal IPs using anti-CDK8 and anti-E2F1 antibodies (Figure 2b). IP with an anti-E2F1 antibody demonstrated that CDK8 interacted with both wild-type and S375D E2F1, which mimics phosphorylated S375 E2F1. As with the results in Figure 2a, CDK8 failed to interact with S375A E2F1 when the E2F1 was immunoprecipitated. When the reciprocal CDK8 IP was performed with an anti-CDK8 antibody, S375A E2F1 failed to interact with CDK8, while wild-type E2F1 and S375D E2F1 interacted with CDK8. Further analysis of the immunoprecipitates with an anti-phospho-S375 E2F1 antibody (characterized in Supplementary Figure 3) showed that CDK8 bound phospho-S375 E2F1. In addition, the anti-phospho-S375 E2F1 antibody failed to recognize S375D E2F1 both in the cell lysate and in the IP (Figure 2b and Supplementary Figures 3b and c).
CDK8 phosphorylates S375 in E2F1 in cells, which correlates with β-catenin/TCF and E2F1 activity
Given the phosphorylation of S375 in E2F1 by CDK8 in vitro and in vivo, we used the phospho-S375 E2F1 antibody to determine the phosphorylation state of S375 when CDK8 had been ablated or overexpressed in cell lines, and if the phosphorylation state of S375 in E2F1 had an effect on β-catenin/TCF or E2F1 activity. We first used two different short-hairpin RNAs (shRNAs) to CDK8 in SW480 and HCT116 cells, both which have a high expression level of CDK8, to deplete CDK8 from cells to see if there was an effect on S375 phosphorylation (Figure 3a). When both cells lines are treated with CDK8 shRNAs, there was a depletion of CDK8, which is not associated with the control shRNA (Figure 3a). In the CDK8 shRNA-treated cells, CDK8 depletion led to a decrease in the levels of phospho-S375 E2F1 when compared with control shRNA-treated or -untreated cells. The effect on phosphorylation detected by the anti-phospho-S375 E2F1 was specific, and can be competed away when the western blot was performed in the presence of a blocking peptide containing phospho-S375, but not by a control peptide (Supplementary Figure 3d). In addition, similar to previously published results,14, 24 there was a decrease in both the MYC and CD44 levels in both cell lines when compared with untreated or control shRNA-treated cells (Figure 3a). Interestingly, CDK8 depletion by shRNA led to an increase in the levels of E2F1 target genes p73 and CNNTBIP1, as compared with untreated or control shRNA-treated cells (Figure 3a).
CDK8 phosphorylates residue S375 in E2F1 in cells, which correlates with CDK8 effects on β-catenin/TCF and E2F1 activity. (a) SW480 and HCT116 cells were treated with shRNA as described in Materials and methods, lysed and then western blotted for CDK8, E2F1 (total), phospho-S375 E2F1, MYC, CD44, p73, CTNNBIP1 and actin. (b) HEK-293 and HCT116 cell lines with tetracycline-inducible expression of either CDK8 or CDK KD mutant were lysed after a 24 h induction with doxcycline, and western blotted as above in (a).
We then generated cell lines placing either CDK8 or D173A CDK8,14 under the control of a tetracycline-inducible promoter in either HEK-293 cells, which have a low level of CDK8 activity, or HCT116 cells to see the effect of overexpressing wild-type or kinase-dead CDK8 on S375 phosphorylation (Figure 3b). In the absence of doxcycline, there was no detectable phosphorylation of residue S375 in E2F1 in any of the HEK-293 or HCT116 cell lines (Figure 3b). With the addition of doxcycline, the HEK-293 control cell line and the HEK-293 cell line expressing CDK8 KD lacked S375 phosphorylation, whereas doxcycline treatment of the HEK-293 cell line expressing CDK8 led to S375 E2F1 phosphorylation detected by the anti-phospho-S375 E2F1 antibody (Figure 3b and Supplementary Figure 3e). The expression of CDK8 in this cell line also led to an increased level in β-catenin-dependent genes MYC and CD44, similar to what has been previously reported,14, 24 as well as a decrease in two E2F1-dependent genes, p73 and CTNNBIP1 (Figure 3b). Expression of CDK8 KD mutant in HEK-293 cells did not increase expression of β-catenin-dependent genes or to a decrease in the levels of E2F1-dependent genes (Figure 3b).
When wild-type CDK8 is induced by doxcycline in the HCT116 cell line, an increase in phospho-S375 E2F1 was observed, along with an increase in MYC levels, but the levels of E2F1 target genes remained low, similar to control HCT116 cells, or non-induced cells (Figure 3b). When CDK8 KD was induced by doxcycline, there was a decrease in phospho-S375 E2F1 as determined by the phospho-S375 E2F1 antibody, as well as a decrease in β-catenin target genes MYC and CD44. In contrast, when CDK8 KD is induced, there was an increase in the levels of p73 and CTNNBIP1 (Figure 3b and Supplementary Figure 3e). The results of both the shRNA and CDK8 and CDK8 KD expression studies indicate that phosphorylation of S375 in E2F1, expression of β-catenin/TCF-dependent genes as well as the repression of E2F1-dependent genes was dependent on the expression of kinase-active CDK8.
S375 regulates E2F1 transcriptional activity
Owing to the effect CDK8 phosphorylation of S375 in E2F1 had on the expression of E2F1 target genes, as well as the lack of interaction of the S375A mutant of E2F1 had with CDK8, we investigated if mutating serine 375 to alanine (A) or aspartic acid (D), which mimics phosphorylation, could have an effect on transcription regulated by E2F1. We initially used mutants to see if they modulated β-catenin-mediated transcription, as wild-type E2F1 had been reported to repress β-catenin-mediated transcription.24 Using either a SW480 cell line engineered to have a β-catenin/TCF-dependent luciferase gene to measure effects on β-catenin-mediated transcription or HCT116 cells co-transfected with TOPFLASH reporter plasmid, we transfected expression plasmids for either wild-type E2F1, S375A E2F1 or S375D E2F1 (Figure 4a), and confirmed the expression of wild-type E2F1 or the mutant E2F1s (Supplementary Figure 4). Both wild-type E2F1 and the S375A mutant proteins depressed β-catenin-mediated transcription in a manner similar to what has been reported for wild-type E2F1. The S375D mutant of E2F1 had no effect on β-catenin-mediated transcription, suggesting that phosphorylation of S375 can inhibit the ability of E2F1 to repress β-catenin-mediated transcription (Figure 4a).
S375 is necessary for E2F1-mediated effects on transcription. (a) Wild-type or mutant (S375A or S375D) E2F1 expression plasmid was transfected into either SW480-TCF Luc or HCT116 cells with pTOPFLASH reporter plasmid for 48 h, and then assayed for luciferase activity. (b) Either wild-type or S375A E2F1 expression plasmid was transfected with increasing amounts of CDK8 expression plasmid into either SW480 TCF Luc cells or HCT116 cells with TOPFLASH reporter plasmid for 48 h, and then assayed for luciferase activity. (c) Expression plasmids for either wild-type otr mutant (S375A or S375D) E2F1 were transfected into either HCT116 or SKUT-1 cells for 24 h, and then RNA was isolated. RT–qPCR was performed using primer/probe sets for MYC and CD44. (d) Assay was performed as described above, except that primer/probe sets for p107, PCNA, TP73 and CTNNBIP1 were used.
Overexpression of CDK8 has been demonstrated to overcome the effects of E2F1 on β-catenin-mediated transcription.24 To see if CDK8 overexpression could affect the transcriptional repression demonstrated by both wild-type E2F1 and the S375A mutant of E2F1, we transfected either wild-type or mutant E2F1 and increasing amounts of CDK8 into either SW480 TCF Luc cells or HCT116 cells co-transfected with TOPFLASH reporter plasmids. In both cell lines, increasing amounts of CDK8 reversed the repressive effects of E2F1 on β-catenin-mediated transcription (Figure 4b). The S375A E2F1 mutant was not affected by increasing amounts of CDK8 in either cell line, indicating that the S375 residue was critical for CDK8 regulation of E2F1 with respect to β-catenin-mediated transcription (Figure 4b).
To confirm the effects of E2F1 and its mutants observed in the luciferase reporter system, we transfected either wild-type E2F1, S375A E2F1 or S375D E2F1 expression vectors into HCT116 cells or SKUT-1 cells, which have a low level amount of Rb protein.37 In addition, either CDK8 or kinase-dead CDK8 (CDK8-KD) was co-transfected with wild-type E2F1 or S375A E2F1. In both cases, RNA was isolated 24 h post transfection, and reverse transcriptase quantitative PCR (RT–qPCR) was performed with the isolated RNA, with expression of E2F1 and CDK8 being confirmed in RT–qPCR and western blotting (Supplementary Figure 5a). With respect to β-catenin-sensitive genes, both wild-type and S375A mutant E2F1 could repress β-catenin-mediated transcription of MYC and CD44 in both HCT116 cells and, to a lesser degree, SKUT-1 cells (Figure 4c), while the S375D mutant of E2F1 had no effect on expression of either gene, indicating S375 phosphorylation may have a role in the regulation of β-catenin-mediated gene expression (Figure 4c). Co-expression of CDK8 with E2F1 could overcome the effect of wild-type E2F1 on both MYC and CD44 expression, but not the effect of the S375A mutant of E2F1. Both the wild-type and S375A mutant E2F1 were not affected by co-expression of CDK8-KD, indicating that the effects seen were dependent on CDK8 kinase activity, as well as the presence of S375 in E2F1 (Figure 4c).
The effects observed with CDK8 overexpression, as well as shRNA depletion of CDK8 (Figures 3a and b), suggest that CDK8 phosphorylation of E2F1 may have a more general impact on E2F1 transcriptional activity (Figure 4c). We performed RT–qPCR on several genes (p107, PCNA, TP73 and CTNNBIP1) that are E2F1 responsive (Figure 4d). In HCT116 cells, overexpression of wild-type E2F1 or S375A mutant of E2F1 led to an increase in the expression of p107, PCNA, TP73 and CTNNBIP1, which are all E2F1-dependent genes. In the case of the S375D mutant E2F1, overexpression of this mutant failed to increase activation of all four genes in HCT116 cells (Figure 4d). In the SKUT-1 cells, the results mirrored the results of the HCT116 cells, except that p107 was repressed with expression of either wild-type or S375A E2F1, similar to what was observed for cells that lack Rb.38 There was no effect observed with the S375D mutant E2F1, indicating that phosphorylation of S375 could be a key regulatory mechanism for transcriptional activation or repression mediated by E2F1. As with the β-catenin-sensitive genes, CDK8 overexpression was able to inhibit the effects of E2F1 on p107, PCNA, TP73 or CTNNBIP1 activation or repression in both cell lines, but had no effect on the S375A mutant E2F1-mediated activation or repression of all four genes in both cell lines (Figure 4d). In addition, overexpression of CDK8-KD had no effect on the activation or repression observed on all four genes when wild-type or S375A E2F1 was overexpressed in either cell line, indicating that the activity of E2F1 was regulated by CDK8 kinase activity, and the target of CDK8 activity was residue S375 in E2F1 (Figure 4d).
Depletion of CDK8 by shRNA has been reported to lead to changes in cell cycle.14 Similar to CDK8 depletion, overexpression of wild-type or non-phosphorylated mutant S375A E2F1 led to decreased G1 levels in HCT116 cells transfected with expression plasmids for the two proteins (Supplementary Figure 6). There was also an increase in size and width of the G2/M peak for either wild-type or S375A E2F1, indicating possible hyperploidy, which was also observed with CDK8 depletion by shRNA.14 The S375D mutant of E2F1 was similar to control or non-treated cells, and there was no change in the G2/M peak, indicating that mimicking S375 phosphorylation of E2F1 potentially inactivates E2F1 activity in the cell (Supplementary Figure 6).
CDK8 and S375 phosphorylation does not affect E2F1 DNA-binding activity
A possible mechanism for CDK8 regulation of E2F1 is that CDK8 phosphorylation of S375 alters E2F1 ability to bind DNA. To assess this possibility, we performed chromatin IP (CHIP) assays for both E2F1 and CDK8 in the presence or absence of CDK8 shRNAs used in Figure 3a (Figures 5a and b). In untreated or control shRNA-treated SW480 or HCT116 cells, both CDK8 and E2F1 bound to either the E2F1-binding element in the MYC promoter (E-MYC) or to the E2F1-binding elements in E2F1-responsive genes CCNE and TP73. When CDK8 was depleted by shRNA in either cell line, there was a reduction in the amount of CDK8 bound to any of the promoters. Interestingly, in the absence of CDK8, there was a slight increase in the amount of E2F1 associated with the promoters (Figures 5a and b).
CDK8 and S375 phosphorylation affect E2F1 promoter binding. (a, b) shRNA depletion of CDK8 affects E2F1 promoter binding. SW480 cells (a) or HCT116 cells (b) were treated with control or CDK8 shRNA as described in Materials and methods, and then a CHIP assay was performed as described above. (c) Mutation of S375 in E2F1 effects E2F1-promoter binding. Expression plasmids for either wild-type or mutant (S375A or S375D) E2F1 were transfected into SW480 cells for 16 h, and then assayed in CHIP assay described in Materials and methods. All data are expressed as mean±s.d. (n=3).
Given the effect of depleting CDK8 had on E2F1 promoter association, we tried to determine if phosphorylation of S375 could alter E2F1 promoter binding. We transfected expression vector expressing wild-type E2F1, S375A E2F1 or S375D E2F1 into SW480 cells, and then performed a CHIP assay using an anti-Flag tag antibody, which recognizes the protein expressed by the transfected plasmid (expression of protein is shown in Supplementary Figure 7). The expression of wild-type E2F1 led to binding to E2F1 DNA-binding sites in the promoters for MYC, CCNE, p107 and TP73 to similar levels (Figure 5c). When the S375A mutant of E2F1 was expressed, there was small increase in promoter occupancy by the mutant. The S375D E2F1 mutant, which mimics S375 phosphorylation, showed a similar level in binding to E2F1-binding sites in the promoters of the genes mentioned above to wild-type E2F1 (Figure 5c). These results indicate that CDK8 phosphorylation did not affect E2F1 promoter binding, suggesting that phosphorylation by CDK8 can alter E2F1’s ability to transactivate or repress gene expression when it is associated with the promoter, but not E2F1’s ability to bind to DNA.
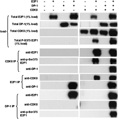
Another potential mechanism by which CDK8 could disrupt E2F1 activity is by inhibiting the interaction with DP1, its DNA-binding partner.33, 39 Interestingly, CDK8 did not alter the ability of DP1 to bind to E2F1, as determined by IP, unlike what has been reported for CDK2/Cyclin A complexes and CDK533, 40 (Figure 6). CDK8, E2F1 or DP1 expression plasmids were transfected alone or in combination into either HEK-293 cells (Figure 6) or HCT116 cells (Supplementary Figure 8a). CDK8, DP1 or E2F1 antibodies were then used to immunoprecipitate protein complexes from the transfected cells, and then the immumocomplexes were run on a SDS–PAGE gel and western blotted as indicated (Figure 6 and Supplementary Figure 8a). E2F1 and phospho-S375 E2F1 immunoprecipitated with CDK8 only when E2F1 and CDK8 were co-expressed. DP1 only interacted with CDK8 in the presence of E2F1, and similarly, phospho-S375 E2F1 was only present and capable of interacting with DP-1 when CDK8 was co-expressed with DP1 and E2F1 (Figure 6). Similar results were obtained when antibodies to either E2F1 or DP1 were used to generate immunocomplexes for analysis (Figure 6 and Supplementary Figure 7a).
CDK8 does not disrupt E2F1–DP-1 interaction. Wild-type E2F1 and DP-1 expression plasmids were transfected into HEK-293 cells in the presence or absence of CDK8 expression plasmid for 24 h. The cells were then lysed, and IP using anti-CDK8, anti-E2F1 and anti-DP-1 antibodies were performed overnight as described in Materials and methods. The immunprecipitates were reusupended in SDS–PAGE sample buffer, subjected to SDS–PAGE gel elecrophoresis and western blotted, using antibodies shown. The load for CDK8, E2F1, DP-1 and phospho-S375 E2F1 was western blotted, and is also shown.
Phosphorylation of E2F1 by CDK2/Cyclin A also leads to increased turnover of E2F1 in the cell.33 To see if phosphorylation of S375 in E2F1 leads to increased E2F1 turnover, we transfected wild-type or mutant E2F1 expression plasmids into SW480 cells, and after 24 h, treated with cycloheximide (Supplementary Figure 8b). Neither the S375A nor S375D mutation to E2F1 altered the turnover of E2F1 when compared with wild-type E2F1, indicating that phosphorylation of S375 did not lead to increased turnover of E2F1. This suggests that CDK8 phosphorylation of S375 in E2F1 regulates E2F1’s transactivation activity, preventing E2F1 ability to activate or repress gene expression. Phosphorylation of S375 appears not to affect neither E2F1 stability, ability to bind to DP1 nor the ability of E2F1 to bind DNA.
Discussion
CDK8 has been identified as an oncogene that is necessary for the activation of β-catenin/TCF activity in colorectal cancers.2, 14 The exact mechanism how CDK8 regulates β-catenin activity is not fully understood. Unlike CDK8 activity in melanoma cells, CDK8’s kinase activity is required for its function in the β-catenin pathway.14, 15 Potentially, CDK8 influences β-catenin-mediated transcription through Med12, which has been shown to directly interact with CDK8 as part of the Mediator CDK8 submodule, and β-catenin.9, 41 Depletion of either Med12 or CDK8 by RNA interference causes a decrease of β-catenin activity.9, 14 In addition, Med12 is necessary for activating CDK8’s kinase activity in the CDK8 mediator submodule.41
Though CDK8 can impact β-catenin-mediated transcription, its oncogenic effects could only be partially inhibited by a dominant-negative TCF.14, 19 In addition to positively regulating β-catenin-mediated transcription, the CDK8 submodule of the mediator complex can act as a positive regulator of the serum response network by increasing RNA polymerase transcriptional elongation owing to increased RNA polymerase carboxy-terminal domain phosphorylation at specific activated promoters that are regulated by serum response factor, such as FOS, EGR1, EGR2 and EGR3.19
Another potential regulatory target for CDK8 is E2F1, which has been shown to interact with and is phosphorylated by CDK8.24 E2F1 can function as repressor of β-catenin transcriptional activity, and along with CDK8, E2F1 has been shown to localize to the MYC promoter, which is a transcriptional target of β-catenin.24 In addition, there are large number of potential E2F1 DNA-binding sites throughout the genome.25 The majority of potential E2F1 sites deviate from the consensus E2F1 DNA-binding sequence, suggesting that E2F1 may be recruited to a set of target promoters through cooperative interaction with other factors.25 One such site is the MYC promoter, where the E2F1 DNA-binding site is in proximity of the transcriptional start site of the MYC promoter, which is similar to what is observed in ∼50% E2F1-binding sites in the genome.24, 25 Given E2F1’s repressive effects on β-catenin-mediated transcription, E2F1 may bind to a β-catenin/TCF target promoter, and block polymerase access to the transcription start site. Phosphorylation of E2F1 by CDK8 may act to relieve the repression by allowing polymerase access to the transcription start site, and in addition, help promote transcription mediated by β-catenin/TCF by the CDK8 submodule interaction with β-catenin.9, 24
E2F1 can also impact β-catenin/TCF-mediated transcription by its regulation of CTNNBIP1, or ICAT, which has been recently shown to be a target of E2F1 transcriptional activation.29 CTNNBIP1 functions as an inhibitor of β-catenin association with TCF by blocking the binding of TCF to β-catenin to form the β-catenin/TCF complex.27, 28 This inhibition of β-catenin and TCF binding leads to a decrease in β-catenin/TCF-mediated transcription in cells and in Xenopus embryos.27 Recent results from Wu et al.29 have shown that E2F1 directly binds to the CTNNBIP1 promoter, and controls its expression. In addition, overexpression of E2F1 or silencing E2F1 by siRNA leads to a change in CTNNBIP1 expression, which effects β-catenin activity.29 CDK8 phosphorylation of E2F1 also affects the level of CTNNBIP1 expressed in cells, as well as other E2F1-dependent genes (Figure 4d), suggesting that CDK8 phosphorylation of E2F1 may control E2F1 transactivation activity. This is also suggested by the effect of CDK8 on E2F1 DNA-binding activity or E2F1–DP1 interaction (Figures 5 and 6). Unlike CDK2/Cyclin A or CDK5,33, 39 CDK8 does not interfere with E2F1–DP-1 interaction. By interfering with E2F1’s interaction with DP1, both CDK2/Cyclin A and CDK5 reduce the ability of E2F1 to bind to DNA, as judged by electophoretic mobility shift assays.33, 39 In the presence of E2F1, CDK8 can interact with DP1, which it does not do in the absence of E2F1 (Figure 6). In addition, CDK8 does not significantly affect E2F1’s ability to bind to DNA, as judged by CHIP assay (Figures 5a–c).
The residue in E2F1 phosphorylated by CDK8, S375, has been previously reported to be phosphorylated in vitro by another cyclin-dependent kinase, CDK1 in complex with Cyclin A34 Though phosphorylated S375 could be detected in cell lysates, mutant Cyclin A alleles do not suppress dE2f1RNAi phenotypes in Drosophila, indicating that Cyclin A may not regulate E2F1.24, 25, 34, 41 An additional feature reported for E2F1 phosphorylated on S375 is increased binding to pRb.26, 34 As both CDK8 and RB1 are located in a region of chromosome 13 that show amplification in colon cancers,2, 14 the two proteins may work in tandem, where CDK8 phosphorylates E2F1 on S375, which then allows Rb to bind to E2F1, preventing E2F1 from repressing the β-catenin/TCF target promoter in colorectal cancers.
The association between CDK8 and E2F1 is dependent on the presence of S375, as mutating the serine to alanine decreases the interaction between the two proteins. By mutating the serine 375 to alanine in E2F1, the ability of CDK8 to alleviate the repression of β-catenin-mediated transcription by E2F1 is abolished (Figures 4a–c), while mutating the residue to aspartic acid mimics the effects of CDK8 on β-catenin-mediated transcription. Mutation of S375 in E2F1 does not significantly alter E2F1’s ability to bind to DNA (Figure 5c). In addition, phosphorylation of S375 does not alter E2F1’s ability to interact with DP1 (Figure 6). This suggests that the mechanism by which CDK8 exerts control over E2F1 is by regulating E2F1’s ability to transactivate or repress gene expression, rather than regulating the ability of E2F1 to bind to E2F1 DNA-binding sites in various promoters.
The phosphorylation of S375 in E2F1 by CDK8 may be a general mechanism to regulate E2F1 activity, as mutation of serine 375 to aspartic acid causes a loss of activation of E2F1 target genes, such as PCNA, TP73 and CTNNBIP1, in both HCT116 cells and Rb null cells, SKUT-1. This is mirrored by the overexpression of wild-type CDK8, but not a kinase-dead mutant of CDK8, which prevents activation of E2F1 target genes by wild-type E2F1 in both cell lines. Overexpression of the S375A mutant of E2F1 causes a loss of sensitivity to CDK8 overexpression in both cell backgrounds, as well as increased activation of E2F1 target genes. These results are similar to genetic evidence in Drosophila, where the expression level of dE2F1-related alleles was increased in dCdk8- larvae and in Drosophila SL2 cells when CDK8 was depleted by CDK8 RNA interference.24
Amplification of CDK8 may be a novel way for cells to overcome regulation by E2F1, allowing cells to prevent expression of E2F1 target genes that regulate cell cycle control or that are pro-apoptotic. By abrogating E2F1 activity, CDK8 appears to promote increased cell proliferation at least in colorectal cancers. Phosphorylation by CDK8 could potentially function as a mechanism to regulate E2F1 activity. Based on the data presented above, CDK8 regulation of E2F1 appears to be a general mechanism to achieve control over E2F1-mediated activation or repression of transcription. Potentially, targeting CDK8 for inhibition, at least in tumors that overexpress or amplify CDK8, could help restore E2F1 activity in these tumors, promoting inhibition or regression of tumor growth.
Materials and methods
Plasmids
Expression plasmids for CDK8 and E2F1 (pCMV6 CDK8 and pCMV6 E2F1) were purchased from Origene (Rockville, MD, USA). Mutants for CDK8 (pCMV 6 CDK8 D173A) and E2F1 (pCMV6 E2F1 S375A and pCMV6E2F1S375D) were generated by site-directed mutagenesis, performed by Genewiz Inc. (Piscataway, NJ, USA). pTL-E2F1 Luc was purchased from Panomics (Santa Clara, CA, USA). pRL-SV40 was purchased from Promega (Madison, WI, USA).
Cell lines
SKUT-1 and HEK-293 cells were obtained from ATCC (Manassas, VA, USA) and grown in Dulbecco’s modified Eagle’s medium plus 10% fetal bovine serum (Invitrogen, Carlsbad, CA, USA). HCT116 cells were from ATCC and grown in RPMI 1640 plus 10% fetal bovine serum. CDK8 and CDK8 kinase-dead tetracycline-inducible cell lines were made using Invitrogen’s T-Rex system. CDK8 from pCMVCDK8 and CDK8 D173A from pCMVCDK8 KD plasmids were digested with SgFI (Promega), blunted with Klenow and then digested with XhoI (New England Biolabs, Ipswich, MA, USA). The fragments were then cloned into pCDNA 4/TOa digested with BamHI, blunted with Klenow and then digested with XhoI (New England Biolabs). A tatal of 293 cells were transfected with a 6:1 ratio of pCDNA6/TR (tet-repressor) and pCDNA4/TO based CDK8 or CDK8 KD plasmids with Lipofectamine 2000 (Invitrogen). Cells were selected with 3.5 μg/ml Blasticidin (Invivogen, San Diego, CA, USA) and 300 μg/ml Zeocin (Invitrogen) in Dulbecco’s modified Eagle’s medium plus 10% Tetracycline-free fetal bovine serum (Clontech, Mountain View, CA, USA). SW480 TCF Luc cells were generated by transfecting SW480 cells with pGL4.15 (Promega) with 3 × TCF-binding site derived from pTopFlash (Millipore, Billerica, MA) cloned in between the XhoI and HindII sites in the plasmid and pRL-SV40 (Promega) for control of basal transcription. Cells were selected in 200 μg/ml G418 (Invitrogen) and 100 μg/ml Hygromycin (Invitrogen).
Luciferase assays
SW480 TCF Luc cells were transfected with pCMV6, pCMV6 E2F1, pCMV6 E2F1 S375A and pCMV6 E2F1 S375D with Lipofectamine 2000, and incubated for 48 h at 37 °C. Cells were then rinsed with phosphate-buffered saline, and then lysed with Promega passive lysis buffer, and assayed using Promega dual luciferase (firefly luciferase/Renilla luciferase) kit. In some experiments, pCMV6 CDK8 and pCMV CDK8 D173A were co-transfected with the E2F1 plasmids. HCT116 cells were transfected as above along with TopFlash plasmid (Millipore) and pRL-SV40 (Promega). SKUT-1 cells were transfected as above with pTF-E2F1 Luc and pRL-SV40 as well as E2F1 and CDK8 plasmids.
Antibodies
Anti-Myc tag and CD-44 antibodies was purchased from Cell Signaling Technology (Danvers, MA, USA). Anti-E2F1 (total) and CNNTBIP1/ICAT were obtained from Sigma/Aldrich (St Louis, MO, USA). anti-CDK8 and p73 antibodies were from BD Bioscience (San Diego, CA, USA). Anti-Myc antibody was purchased from Roche Biochemicals (Indianapolis, IN, USA).
The anti-phospho S375 E2F1 antibody was generated by SDX (Dover, DE, USA). A phospho-peptide encompassing serine 375 from E2F1 (NH2-RAPVDEDRL(pS)PLVAADSC) coupled to Complete Freund’s adjuvant was inoculated into rabbits after an initial prebleeding. After four boosting cycles with peptide and Incomplete freund’s adjuvant, the serum from the rabbits was tested by enzyme-linked immunosorbent assay for reaction to the immunization peptide compared with a non-phosphorylated control peptide (NH2-RAPVDEDRLSPLVAADSC) from the same region of E2F1 as the phospho peptide. After two additional boosting cycles, the rabbits were exsanguinated, and the serum was affinity purified. The serum was first passed through a column containing the control peptide coupled to sepharose resin. The flow through was then applied to a column containing the phosphopeptide coupled to sepharose. The antibody was eluted using 0.1 M glycine at pH 2.5. After elution, the antibody had a 1/10th volume of 1 M Tris–HCl, pH 8.5 added to neutralize the solution. The titer of the purified antibody was measured by enzyme-linked immunosorbent assay to both the phospho and control peptides.
IP assays
Co-IP of CDK8 and E2F1 and IP kinase assays were performed as described in Morris et al.24 Cells were treated as indicated, and then lysed in IP buffer (50 mM Tris–HCl, pH 8.0, 150 mM NaCl, 0.1 mM ethylenediaminetetraacetic acid, 10% glycerol, 0.1% NP-40, protease inhibitor tablets (Roche, Indinapolis, IN, USA) and 1 mM dithiothreitol) by sonication, incubated on ice for 15 min, then centrifuged at 12 000 g for 20 min. Lysates were then incubated with 30 μl of either protein A or G Dyna-beads (Invitrogen) precoated with antibodies indicated. The complexes were incubated by rotating overnight at 4 °C. After rotation, the beads were washed 5 times in IP buffer, and then resuspended in SDS sample buffer and run on a 10% polyacrylamide gel and western blotted.
Kinase assays
Kinase assays using bacterial-produced recombinant E2F1, 100–200 nM recombinant E2F1 protein (either wild-type or S375A mutant) from Genescript (Piscataway, NJ, USA) were incubated in kinase buffer (50 mM Tris, pH 7.4, 50 mM NaCl, 10 mM MgCl2, 1 mM MnCl2, 10% glycerol, 5 mM dithiothreitol and protease inhibitors (Roche)) with either CDK8 or kinase-dead (D173A) CDK8 immunoprecipitated from cells using either anti-CDK8 antibody (Santa Cruz Biotechnology, Santa Cruz, CA, USA) or anti-Myc epitope antibody (Cell Signaling Technologies) as described above, except after washing, the beads were resuspended in IP buffer. Total reaction volume was 25 μl. For recombinant CDK8/Cyclin C protein, 25 nM GST-CDK8/Cyclin C (Carna Bioscience, Natick, MA, USA) was incubated with 100–200 nM recombinant E2F1 (wild type and S375A) in 20 μl of Kinase buffer. All kinase assays were performed with 20 μCi [γ-P33]-ATP (Perkin-Elmer, Waltham, MA, USA). Samples were run on 10% SDS–PAGE gels, dried and then exposed to Hyperfilm ECL X-ray film (GE Bioscience, Piscataway, NJ, USA).
IP-kinase assays
IP-kinase assays were performed by immunoprecipitating CDK8 as described above for IPs. After washing the complexes, the beads were then incubated in 25-μl Kinase buffer described above in the presence of 20 μCi [γ-P33]-ATP at room temperature for 30 min. The reaction was then terminated, and the proteins eluted with 0.3% sarkosyl in IP buffer. The elutants were 10-fold diluted in IP buffer, and then incubated with 30 μl protein A beads precoated with either anti-MYC tag antibody or goat anti-rabbit IgG. The IP was rotated at 4 °C for 2 h, and then washed four times with IP buffer. The beads were then resuspended in SDS–PAGE sample buffer, and run on 10% polyacrylamide gel. The gel was then dried, and then exposed to Hyperfilm ECL X-ray film (GE Bioscience).
RNA isolation and RT–PCR
RNA from HCT116 and SKUT-1 cells was isolated using Qiagen (Valencia, CA, USA) RNAEasy mini kit according to the manufactuer directions. RT–PCR was performed using One Step RT–PCR kit from Applied Biosystems (Carlsbad, CA, USA) using 20 ng RNA per well. Primer and Probe sets were purchased from Applied Biosystems. The reactions were run on an Applied Biosystems 7900HT.
shRNA
Plasmids for shRNA to CDK8 was obtained from Open Biosystems (Huntsville, AL, USA). Lentivirus was produced according to manufacturer’s directions. Infections using the lentivirus containing the shRNA were performed according to vendor’s protocols.
CHIP assay
CHIP assays were performed using the MagnaEZ CHIP assay kit from Millipore using anti-HA (Sigma, St Louis, MO, USA), anti-CDK8 (BD Pharmigen, San Diego, CA, USA), anti-E2F1 (Abcam, Cambridge, MA, USA) or anti-Flag tag (Sigma) antibodies. Quantitative PCR was performed using Fast SYBR-Green kit from Applied Biosystems, using primers for E2F1-binding sites in MYC, CCNE, TAp73 and p107 genes. ACYLOCOA gene promoter was used as a control.
Fluorescence-activated cell sorting
Cells were fixed with cold methanol, and then stained with propidium iodide (BD, San Jose, CA, USA) according to manufacturer’s directions, and then analyzed on a BD Facs Caliber flow cytometer.
LC-MS analysis
Kinase assays for LC-MS analysis were performed using recombinant 200 nM GST-CDK8/Cyclin C and 2 μM recombinant E2F1 (wild-type and S375A mutant) in the presence or absence of 50 μM ATP. Samples were reduced by incubating with 10 mM dithiothreitol at 60 °C for 30 min, and then alkylated by 20 mM indoacetamide under dark at room temperature for 45 min. One molar NH4HCO3 was diluted in the sample to make its final concentration to 100 mM. Sequencing grade trypsin (Promega) was added at 1: 25 w/w ratio to each sample for digestion and was incubated at 37 °C o/n. The samples were diluted for LC-MS analysis. Phosphopeptide enrichment was performed by TiO2 tips (GL Sciences, Tokyo, Japan) following the manufacture’s protocol. The sample was cleaned up using C18 Ziptip (Millipore) following manufacture’s protocol.
Peptide mixtures were analyzed by nano LC-ESI MS/MS in data-dependent acquisition mode. Chromatography was performed using a nano 2D HPLC system (Ekisigent, Dublin, CA, USA). The peptide samples were loaded by autosampler onto a C18 trap column (0.3 × 50 mm, Dionex, Sunnyvale, CA, USA) with 5% solvent B (0.1% formic acid in 97% ACN) at 10 μl/min for 5 min. Then the peptides were separated by a nanobore picofrit column (C18, 75 μm × 150 mm, 100 Å, New Objective, Woburn, MA, USA) using a 120-min gradient from 5 to 95% B at a flow rate of 350 nl/min, where solvent A was 0.1% formic acid with 3% ACN in high-pressure liquid chromatography grade water. Eluted sample was analyzed by LTQ-Orbitrap mass spectrometer (Thermo, Waltham, MA, USA) equipped with a nano-electrospray ion source (Picoview PV500, New Objective).
References
Walther A, Kohnstone E, Swanton C, Midgley R, Tomlinson I, Kerr D . Genetic prognostic and predictive markers in colorectal cancer. Nat Rev Cancer 2009; 9: 489–499.
Firestein R, Hahn WC . Revving the throttle on an oncogene: CDK8 takes the driver seat. Cancer Res 2009; 69: 7899–7901.
Firestein R, Shima K, Nosho K, Irahara N, Baba Y, Bojarski E et al. CDK8 expression in 470 colorectal cancers in relation to β-catenin activation, other molecular alterations, and patient survival. Int J Cancer 2009; 126: 2863–2873.
Moon RT, Kohn AD, DeFerrari GV, Kykas A . Wnt and β-catenin signaling and therapies. Nat Rev Genet 2004; 5: 689–699.
Clevers H . Wnt/β-catenin signaling in development and disease. Cell 2006; 127: 469–480.
Gordon MD, Nusse R . Wnt signaling: multiple pathways, multiple receptors, and multiple transcription factors. J Biol Chem 2006; 281: 22429–22433.
Verma U, Surrabbi RM, Schmaltieg A, Becerra C, Gaynor RB . Small interfering RNAs directed against β-catenin inhibit the in vitro and in vivo growth of colon cancer cells. Clin Cancer Res 2003; 9: 1291–1300.
Agarwal A, Das K, Lerner N, Sathe S, Ciecek M, Casey G et al. AKT/IκB kinase pathway promotes angiogenic/metastatic gene expression in colorectal cancer by activating nuclear factor-κB and β-catenin. Oncogene 2005; 24: 1021–1031.
Kim S, Xu X, Hecht A, Boyer TG . Mediator is a transducer of Wnt/β-catenin signaling. J Biol Chem 2006; 281: 14066–14075.
Taatjes D . The human mediator complex: a versatile, genome-wide regulator of transcription. Trends Biochem Sci 2010; 35: 315–322.
Woychick NA, Hampsey M . The RNA polymerase II machinery: structure illuminates function. Cell 2002; 108: 453–463.
Galbraith MD, Donner AJ, Espinosa JM . CDK8 a positive regulator of transcription. Transcription 2010; 1: 4–12.
Xu W, Ji J-Y . Dysregulation of CDK8 and Cyclin C in tumorgenesis. J Genet Genomics 2011; 38: 439–452.
Firestein R, Bass AJ, Kim SY, Dunn IF, Silver SJ, Guney I et al. CDK8 is a colorectal cancer oncogene that regulates β-catenin activity. Nature 2008; 455: 547–551.
Kapoor A, Goldberg MS, Cumberland LK, Ratnakumar K, Segura MF, Emanuel PO et al. The histone variant macroH2A suppresses melanoma progression through regulation of CDK8. Nature 2010; 468: 1105–1109.
Meyer KD, Donner AJ, Knuessel MT, York AG, Espinosa JM, Taatjes DJ . Cooperative activity of CDK8 and GCNL5 within mediator directs tandem phosphoacetylation of histone H3. EMBO J 2008; 27: 1447–1457.
Knuesel MT, Meyer KD, Donner AJ, Espinosa JM, Taatjes DJ . The human CDK8 subcomplex is a histone kinase that requires Med12 for activity and can function independently of mediator. Mol Cell Biol 2009; 29: 650–661.
Donner AJ, Szostek S, Hoover JM, Espinosa JM . CDK8 is a stimulus-specific positive coregulator of p53 target genes. Mol Cell 2007; 27: 121–133.
Donner AJ, Ebmeier CC, Taatjes DJ, Espinosa JM . CDK8 is a positive regulator of transcriptional elongation within the serum response network. Nat Struct Mol Biol 2010; 17: 194–202.
Rickert P, Corden JL, Lees E . CyclinC/CDK8 and cyclin H/CDK7/p36 are biochemically distinct CTD kinases. Oncogene 1999; 18: 1093–1102.
Fryer CJ, White B, Jones KA . Mastermind recruits CycC:CDK8 to phosphorylate the Notch ICD and coordinate activation with turnover. Mol Cell 2004; 16: 509–520.
Alacron C, Zaromytidou A-I, Xi Q, Gao S, Yu J, Fujisawa S et al. Nuclear CDKs drive smad transcriptional activation and turnover in BMP and TGF-β pathways. Cell 2009; 139: 757–769.
Gao S, Alacon C, Sapkota G, Rahman S, Chen P-Y, Goerner N et al. Ubiquitin ligase Nedd4L targets activated Smad2/3 to limit TGF-β signaling. Mol Cell 2009; 36: 457–468.
Morris EJ, Ji J-Y, Yang F, DiStefano L, Herr A, Moon NS et al. E2F1 represses β-catenin transcription and is antagonized by pRB and CDK8. Nature 2008; 455: 552–556.
Bieda M, Xu X, Singer MA, Green R, Farnham PJ . Unbiased location analysis of E2F1-binding sites suggests a widespread role for E2F1 in the human genome. Genome Res 2006; 16: 595–605.
Ji J-Y, Dyson NJ . Interplay between cyclin-dependent kinases and E2F-dependent transcription. In: Enders GH, (ed.) Cell Cycle Deregulation in Cancer. Springer Science, New York, NY, 2010, pp 23–41.
Tago K, Nakamura T, Nishita M, Hyodo J, Nagai S, Murata Y et al. Inhibition of Wnt signaling by ICAT, a novel β-catenin-interacting protein. Genes Dev 2000; 14: 1741–1749.
Graham T, Clemente WK, Kimelman D, Wu W . The crystal structure of β-catenin/ICAT complex reveals the inhibitory mechanism of ICAT. Mol Cell 2002; 10: 563–571.
Wu Z, Zheng S, Li Z, Tan J, Yu Q . E2F1 suppresses Wnt/β-catenin activity through transactivation of β-catenin interacting protein ICAT. Oncogene 2011; 30: 3979–3984.
Helin K . Regulation of cell proliferation by E2F transcription factors. Curr Opin Genet Dev 1998; 8: 28–35.
Mundle SD, Saberwal G . Evolving intricacies and implications of E2F1 regulation. Faseb J 2003; 17: 569–574.
Krek W, Ewen ME, Shirodkar S, Arany Z, Kaelin WG, Livingstone DM . Negative regulation of the growth-promoting transcription factor E2F1 by a stably bound cyclin 1-dependent protein kinase. Cell 1994; 78: 161–172.
Xu M, Sheppard K-A, Peng C-Y, Yee AS, Piwnica-Worms H . Cyclin A/CDK2 binds directly to E2F1 and inhibits the DNA-binding activity of E2F1/DP-1 by phosphorylation. Mol Cell Biol 1994; 14: 8420–8431.
Peeper DS, Keblusek P, Helin K, Toebes M, van der Eb AJ, Zantema A . Phosphorylation of a specific CDK site in E2f1 affects its electrophoretic mobility and promotes pRB-binding in vitro. Oncogene 1995; 10: 39–48.
Vandel L, Kouzarides T . Residues phosphorylated by TFIIH are required for E2F-1 degradation during S-phase. EMBO J 1999; 18: 4280–4291.
Ohantani K, Nevins JR . Functional properties of a Drosophilia Homolog of the E2F1 gene. Mol Cell Biol 1994; 14: 1603–1612.
Nair JS, Ho AL, Tse AN, Coward J, Cheema H, Ambrosini G et al. Aurora B kinase regulates postmitotic endoduplication checkpoint via phosphorylation of the retinoblastoma protein at serine 780. Mol Biol Cell 2009; 20: 2218–2228.
Hurford RK, Cobrinik D, Lee MY, Dyson N . pRb and p107/p130 are required for the regulated expression of different sets of E2F responsive genes. Genes Dev 1997; 11: 1447–1463.
Bandara LR, Buck VM, Zamanian M, Johnson LH, LaThangue NB . Functional synergy between DP-1 and E2F1in the cell cycle regulating transcription factor E2F/DRTF. EMBO J 1993; 12: 4317–4324.
Zhang J, Li H, Yabut O, Fitzpatrick H, D’Arcangelo G, Herrup K . CDK5 suppresses the neuronal cell cycle by disrupting the E2F1-DP1 complex. J Neurosci 2010; 30: 5219–5228.
Knuesel MT, Meyer KD, Bernecky C, Taatjes DJ . The human CDK8 subcomplex is a molecular switch that controls mediator coactivator function. Genes Dev 2009; 23: 439–451.
DePhoure N, Zhou C, Villen J, Beausoleil SA, Bakalarski CE, Elledge SJ, Gygi SP . A quantitative atlas of mitotic phosphorylation. Proc Natl Acad Sci USA 2008; 105: 10762–10767.
Acknowledgements
We would like to thank Erick Morris for his help and advice. In addition, we would also like to thank Ahmed Samatar, Cynthia Dugan and Yan Wang for their critical reading of this manuscript. In addition, we would like to thank Carlo Toniatti for his help and support.
Author information
Affiliations
Corresponding author
Ethics declarations
Competing interests
The authors declare no conflict of interest.
Additional information
Supplementary Information accompanies the paper on the Oncogene website
Supplementary information
Rights and permissions
About this article
Cite this article
Zhao, J., Ramos, R. & Demma, M. CDK8 regulates E2F1 transcriptional activity through S375 phosphorylation. Oncogene 32, 3520–3530 (2013). https://doi.org/10.1038/onc.2012.364
Received:
Revised:
Accepted:
Published:
Issue Date:
DOI: https://doi.org/10.1038/onc.2012.364
Keywords
- CDK8
- E2F1
- tumor suppressor
- phosphorylation
- transcriptional regulation
Further reading
-
Targeting transcription cycles in cancer
Nature Reviews Cancer (2022)
-
Interplay between cofactors and transcription factors in hematopoiesis and hematological malignancies
Signal Transduction and Targeted Therapy (2021)
-
MicroRNA-770 affects proliferation and cell cycle transition by directly targeting CDK8 in glioma
Cancer Cell International (2018)
-
Aberrant expression of CDK8 regulates the malignant phenotype and associated with poor prognosis in human laryngeal squamous cell carcinoma
European Archives of Oto-Rhino-Laryngology (2017)
-
Regulation of metabolism by the Mediator complex
Biophysics Reports (2016)





