Abstract
15-Lipoxygenase 2 (15-LOX2), a lipid-peroxidizing enzyme, is mainly expressed in the luminal compartment of the normal human prostate, and is often decreased or lost in prostate cancer. Previous studies from our lab implicate 15-LOX2 as a functional tumor suppressor. To better understand the biological role of 15-LOX2 in vivo, we generated prostate-specific 15-LOX2 transgenic mice using the ARR2PB promoter. Unexpectedly, transgenic expression of 15-LOX2 or 15-LOX2sv-b, a splice variant that lacks arachidonic acid-metabolizing activity, resulted in age-dependent prostatic hyperplasia and enlargement of the prostate. Prostatic hyperplasia induced by both 15-LOX2 and 15-LOX2sv-b was associated with an increase in luminal and Ki-67+ cells; however, 15-LOX2-transgenic prostates also showed a prominent increase in basal cells. Microarray analysis revealed distinct gene expression profiles that could help explain the prostate phenotypes. Strikingly, 15-LOX2, but not 15-LOX2sv-b, transgenic prostate showed upregulation of several well-known stem or progenitor cell molecules including Sca-1, Trop2, p63, Nkx3.1 and Psca. Prostatic hyperplasia caused by both 15-LOX2 and 15-LOX2sv-b did not progress to prostatic intraprostate neoplasia or carcinoma and, mechanistically, prostate lobes (especially those of 15-LOX2 mice) showed a dramatic increase in senescent cells as revealed by increased SA-βgal, p27Kip1 and heterochromatin protein 1γ staining. Collectively, our results suggest that 15-LOX2 expression in mouse prostate leads to hyperplasia and also induces cell senescence, which may, in turn, function as a barrier to tumor development.
Introduction
15-Lipoxygenase-2 (15-LOX2) is a human-specific, non-heme and iron-containing enzyme that preferentially metabolizes arachidonic acid (AA) to 15(S)-hydroxyeicosatetraenoic acid (15(S)-HETE) (Brash et al., 1997). 15-LOX2 has only ∼40% sequence homology to human 15-LOX-1 and 12-LOX but shows 78% sequence homology to the murine ortholog, 8-LOX (Jisaka et al., 2000). 15-LOX2 shows a limited tissue distribution and is primarily expressed in the prostate, lung, skin, cornea and esophagus (Brash et al., 1997). Unlike 15-LOX2, 8-LOX is not expressed in the murine prostate (Jisaka et al., 1997; Shappell et al., 2003; Kim et al., 2005). The preferential expression of 15-LOX2 in differentiated cells suggests that it may be involved in cellular differentiation and/or secretory functions, although its physiological cellular functions remain poorly characterized.
Strong clinical and experimental evidence has implicated 15-LOX2 as a functional tumor suppressor. First, 15-LOX2 expression and enzymatic activity are frequently downregulated or lost in high-grade prostate intraepithelial neoplasia and prostate cancer (PCa) (Shappell et al., 1999; Jack et al., 2000), as well as in cancers of the skin (Shappell et al., 2001), lung (Gonzalez et al., 2004), breast (Jiang et al., 2006), head and neck (Wang et al., 2006) and esophagus (Xu et al., 2003). Second, restoration of 15-LOX2 expression in PCa cells inhibits cell proliferation in vitro and tumor development in vivo (Tang et al., 2002, 2009; Bhatia et al., 2003). Third, exogenous 15(S)-HETE, the main 15-LOX2 metabolite, inhibits proliferation or induces apoptosis in PCa (Tang et al., 2002), colon cancer (Chen et al., 2003) and chronic myelogenous leukemia (Mahipal et al., 2007) cells. Fourth, 15-LOX2 functions as a negative cell-cycle regulator in normal human prostate epithelial cells (Tang et al., 2002). Moreover, it is cell-autonomously induced before normal human prostate cell senescence and its ectopic expression in normal human prostate epithelial and PCa cells promotes senescence (Bhatia et al., 2005). It is of significance that, similar to these tumor-suppressive functions of human 15-LOX2, murine 8-LOX has also been shown to possess antitumorigenic and antiproliferative roles (Kim et al., 2005; Schweiger et al., 2007).
15-LOX2 has at least six splice variants (15-LOX2sv-a to 15-LOX2sv-f), which lack appreciable AA-metabolizing activity (Kilty et al., 1999; Tang et al., 2002, 2007a; Bhatia et al., 2003) but, intriguingly, share many biological functions of 15-LOX2. For instance, 15-LOX2sv-b completely lacks AA-metabolizing activity but, similar to 15-LOX2, could induce cell-cycle arrest in cultured cells (Tang et al., 2002) and inhibits xenograft tumor development (Bhatia et al., 2003), suggesting that 15-LOX2 may possess both enzyme-dependent and -independent biological functions.
Despite our earlier studies implicating 15-LOX2 as a potential tumor suppressor by functioning as an inducer of cell senescence in vitro (Tang et al., 2002, 2007a; Bhatia et al., 2003, 2005), it remains unclear whether 15-LOX2 possesses similar functions in a suitable animal model. Furthermore, little is known about the physiological functions of 15-LOX2 in the prostate. To address these deficiencies, we have generated prostate-specific 15-LOX2 transgenic mice using ARR2PB promoter (Zhang et al., 2000). In this study, we report that transgenic expression of 15-LOX2 in mouse prostate induces distinct gene expression profiles and epithelial cell senescence in vivo, and unexpectedly induces prostatic hyperplasia.
Results
Generation and characterization of 15-LOX2 transgenic mice
To generate transgenic mice, we cloned full-length 15-LOX2 (fl) or 15-LOX2sv-b (svb) cDNA (Tang et al., 2002) under the control of ARR2PB promoter and microinjected the transgene-containing Kpn1 fragment (Figure 1A) into the male pronucleus of FVB/N mice. By PCR genotyping, we identified seven fl and six svb potential founder male mice. F1 mice, generated by crossing the positive transgenic founders that passed on the transgene with nontransgenic females, were used to characterize the transgene expression using western blotting (Figures 1B, C and F), reverse-transcriptase-PCR (not shown) and immunohistochemistry (IHC; Figures 1D and E; Supplementary Figure S1-S2).
Generation and characterization of 15-LOX2 transgenic mice. (A) Schematic diagram of transgene constructs, which contain the ARR2PB promoter, rabbit β-globin second intron sequence, 15-LOX2 or 15-LOX2sv-b cDNA and β-globin–SV40 hybrid polyA tail. The size (bp) of each module and restriction enzyme sites (K, Kpn I; A, Apa I; X, Xba I; S, Sal I; C, Cla I; B, BamH I, E, EcoR I; N, Nhe I) are indicated. (B) Prostatic lobes were dissected from animals of the indicated genotypes and ages (m, month), lyzed in radioimmunoprecipitation assay buffer and used in SDS–PAGE (50 μg lysate per lane). Immunoblotting was performed using the rabbit polyclonal anti-15LOX2, which recognizes most splice variants including 15-LOX2sv-b on western blot. The blots were stripped and reprobed for β-actin. (C) Prostate-specific transgene expression. Urogenital and other organs indicated were isolated from 2.5-month-old fl26 15-LOX2 transgenic mice and protein lysates (50 μg per lane) used in western blotting for 15-LOX2 and GAPDH (loading control). (D, E) Transgene expression in young and old animals. Representative images of whole-mount prostate sections (without AP) made from 2.4 (d) or 16.5 (e) month (m) old wt, fl26 and svb9 mice (n>15 per genotype), stained for HE or 15-LOX2. Images were captured using a Nikon stereomicroscope (Bar=1 mm). The orientation of the whole-mount images was illustrated in D, panel a (U, urethra). (F) Transgene expression in young (2.5 months) and old (14.2 months) prostate lobes of fl26 mice. (G) 15(S)-HETE levels in wt and transgenic VPs measured in the presence of 50 μM AA. Bars represent the mean±s.d of the measurements obtained from five animals per group. *P<0.05 and **P<0.01.
To avoid potential effects of transgene insertion on the prostate phenotype (Kasper et al., 1998; Masumori et al., 2001; Majumder et al., 2003), three fl lines, that is, fl2 (highest expresser), fl26 (high expresser) and fl15 (low expresser) (Figure 1B; Supplementary Figure S1), and three svb lines, that is, svb9 (high expresser), svb10 (low expresser) and svb16 (lowest expresser) (Figure 1B; Supplementary Figure S2), were expanded. All transgenic animals were fertile and overall similar to wild-type (wt) animals in external appearances. The only noticeable change in transgenic animals (compared with age-matched controls) was the increased bladder size and age-associated bladder obstruction (not shown). Western blotting (Figures 1B, C and F) and IHC on either whole-mount prostate (Figures 1D-E) or microdissected lobes (Supplementary Figure S1-S2) revealed that the transgene was expressed, in descending orders, in ventral prostate (VP), lateral prostate (LP) and dorsal prostate, with the anterior prostate (AP) being mostly negative. Genitourinary organs and several other organs examined were negative for transgene expression (Figure 1C). Overall, the expression patterns of transgenes 15-LOX2 or 15-LOX2sv-b were very similar to those of other transgenes driven by various probasin promoters (that is, −426/+28 rPB, LPB and ARR2PB) in several strains of mice (Kasper et al., 1998; Masumori et al., 2001; Majumder et al., 2003). It should be noted that, although fl26 animals showed strong and homogeneous 15-LOX2 expression in IHC (Figures 1Dd and Ed) and western blot (Figure 1B), svb9 prostates frequently exhibited lower and heterogeneous 15-LOX2sv-b staining (Figure 1B, Figures 1Df and Ef). This ‘difference’ in transgene expression levels is most likely related to the fact that the polyclonal anti-15-LOX2 antibody used preferentially recognizes 15-LOX2 (that is, full length) and does not recognize its splice variants very well under harsh denaturing conditions (such as western blotting and paraffin-embedded IHC), although it does recognize equally well the undenatured proteins of 15-LOX2 splice variants in immunofluorescence staining (Bhatia et al., 2003, 2005; see Figure 6F, below).
15-LOX2 expression levels in the fl transgenic lines correlated well with the 15(S)-HETE-producing activities (Figure 1G; Supplementary Tables S1 and S2). However, the svb9 and wt prostate lobes showed similar levels of 15(S)-HETE (Figure 1G; Supplementary Tables S1 and S2), thus corroborating that 15-LOX2sv-b lacks enzymatic activity (Bhatia et al., 2003). No significant differences in 12(S)-HETE or PGE2 levels were observed between transgenic and wt prostates (Supplementary Table S2; data not shown). Importantly, 8(S)-HETE and 9(S)-HODE, the main AA and LA metabolites of murine 8-LOX, respectively, were undetectable in wt, as well as in transgenic prostates (not shown), consistent with earlier reports that 8-LOX, although inducible by phorbol esters in the mouse epidermis, was not expressed in mouse prostate (Jisaka et al., 1997; Shappell et al., 2003; Kim et al., 2005). Fully consistent with activity measurement, the polyclonal anti-15-LOX2 antibody we used, which recognizes 15-LOX2 and its splice variants (Tang et al., 2002; Bhatia et al., 2003), as well as murine 8-LOX (Kim et al., 2005), never detected 8-LOX in wt mouse prostates (for example, Figures 1B, D, and E). Altogether, these results suggest that we have successfully established mouse prostate-specific expression of human 15-LOX2 or 15-LOX2sv-b.
For all subsequent studies, fl26 and svb9 transgenic lines were generally used, which expressed similar levels of protein (for example, see Figure 6F, below).
Transgenic expression of 15-LOX2, in particular 15-LOX2sv-b, leads to enlarged VP associated with increased branching morphogenesis
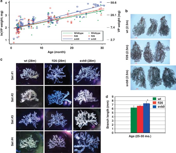
The human prostate is an organ that continues to grow with age, and 15-LOX2 expression in the human prostate shows an age-related increase (Bhatia et al., 2005). To determine whether 15-LOX2 expression affected the overall prostate development, we microdissected the VP (highest transgene expression), and, for comparison, the AP (no transgene expression) from wt (n=91), fl26 (n=68) and svb9 (n=74) animals at 2–30 months. We also plotted the log wet weights (in mg) of prostate lobes as a function of age and performed linear regression analysis. To our surprise, transgene expression seemed to have accelerated the VP ‘growth’, such that at any given age, transgenic VPs seemed heavier (Figure 2a) and larger (Figure 2b) than wt VPs. This was particularly evident with svb9 VPs (P<0.0005). On the contrary, APs harvested from the same cohort of animals did not show any significant difference (not shown). When branching morphogenesis of microdissected VPs from 25- to 30-month-old animals was carried out, the VPs of fl26 and svb9, in particular, showed more complex branching patterns (Figure 2c), significantly longer branches (Figure 2d) and more branching points and branch tips (not shown) than age-matched wt VPs. Similar patterns of differences were also observed in comparisons among younger (that is, ∼6 months) animals (not shown).
15-LOX2 or 15-LOXsv-b expression results in the enlargement of mouse prostates. (a) Graph showing wet VP weights (mg; right) or ln (weight) of wt (n=91), fl26 (n=68) and svb9 (n=74) mice as a function of animal age. (b) Representative images (>5 for each genotype) of microdissected VP lobes of 2.5-month-old wt, fl26, svb9 mice showing increased prostate size in transgenic mice (scale bar=1 mm). (c) Branching morphogenesis of representative VP lobes (four for each genotype) microdissected from wt and transgenic mice depicting the differences in the length of branches and the complexity of branching pattern. (d) Branch lengths of microdissected VPs from old (25–30 months of age) wt or transgenic animals (n=5 per genotype). *P<0.05.
Transgenic prostates exhibit age-related epithelial cell hyperplasia in association with increases in proliferative (Ki-67+) cells
To determine the potential cellular mechanisms underlying the transgene-induced VP enlargement, we conducted thorough IHC analysis in both microdissected (Figure 3) and whole-mount (Supplementary Figure S3) VP lobes. Surprisingly (considering the potential tumor-suppressive functions of 15-LOX2), we observed widespread hyperplasia that correlated with transgene expression levels (Figures 3b and c). svb9 VPs also exhibited hyperplasia (Figure 3d). Hyperplasia was observed in the VPs of animals as young as 6–10 weeks of age (Supplementary Figure S3A). The VPs in older (for example, 15 months of age) transgenic animals showed extensive hyperplasia involving >50% of the acini (Supplementary Figure S3B). Hyperplastic areas showed crowded cells, stratified nuclei and formation of intraluminal tufts, although true cribriform structures were rarely seen (Figures 3b–d; Supplementary Figure S3). Hyperplastic epithelial cells were long with abundant cytoplasm, and many contained prominent secretory material. In some areas of hyperplasia, cells showed nuclear atypia, with nuclear enlargement and prominent nucleoli. On the basis of these findings, two pathologists (DK and DGT) independently classified the primary lesions in transgenic VPs as atypical epithelial hyperplasia with lack of evidence of prostate intraepithelial neoplasia (PIN) lesions, as defined by the Bar Harbor Classification System (Shappell et al., 2004). Transgenic LPs, as expected, manifested less dramatic, though still obvious, hyperplastic changes compared with transgenic VPs (not shown).
Transgenic VPs show epithelial hyperplasia. (a) H&E and 15-LOX2 staining of wt VPs. (b–d) The VPs of fl2 (b, highest expresser) and fl26 (c, high expresser) show prominent epithelial hyperplasia that correlated with transgene expression levels. The VPs of svb9 (d) also show epithelial hyperplasia. The ages in months (m) and the original magnifications of microphotographs are indicated. Circled areas in the 40x images are enlarged in the corresponding 200x and 400x images. (e) Ki-67+ acini or ducts as % of the total acini and ducts counted. Whole-mount VP sections stained for Ki-67 were used to quantify the acini and ducts that contained Ki-67+ cells (total numbers of acini or ducts counted: n=168 for wt (15 m), 202 for fl26 (15 m), 215 for svb9 (15 m), 196 for wt (2.5 m), 189 for fl26 (2.5 m), 195 for svb9 (2.5 m)). Data were collected from serial whole-mount sections of three VPs (*P<0.05).
Consistent with hyperplastic phenotypes, we observed significantly increased numbers of Ki-67+ acini or ducts in 2.5-month-old transgenic VPs (Figure 3e), which also had increased numbers of Ki-67+ cells per acinus or duct, especially in svb9 VP (wt, 1.81±0.014; fl26, 2.3±0.5; svb9, 4.45±0.2). At 15 months, transgenic VPs still had higher Ki-67+ acini or ducts compared with age-matched wt animals (Figure 3e). In contrast to increased Ki-67+ proliferative cells, transgenic VPs did not show significant changes in apoptosis, as assessed by caspase-3 staining (not shown).
15-LOX2-induced prostatic hyperplasia is accompanied by increased basal cells
Prostatic hyperplasia induced by both 15-LOX2 and 15-LOX2svb9 was characterized by significantly increased numbers of luminal cells that stained positive for androgen receptor (AR; Supplementary Figure S3) and cytokeratin (CK) 8 (Supplementary Figure S4). These changes phenotypically resemble the hyperplastic, PIN and neoplastic lesions in the human prostate in which the majority of cells are luminal (Abate-Shen and Shen, 2000). IHC staining for CD45 (pan-leukocyte marker) and α-smooth muscle actin did not reveal significant differences between transgenic vs. wt VPs and between fl26 vs. svb9 VPs (not shown).
Distinctly, however, the hyperplastic lesions (glands) in fl26 VPs also showed apparent ‘basal-cell hyperplasia’, characterized by increased numbers of CK5-positive and p63-positive (Signoretti et al., 2000) cells, which were observed in young (2.5 months of age; Figure 4a) and intensified in older (15 months of age; Figure 4b) animals. Western blotting analysis of both 2.5- and 15-month-old mice also revealed increased CK5 and p63 protein levels in fl26 VPs compared with age-matched svb9 and wt animals (Figure 4c). In comparison with fl26 VPs, svb9 VPs showed a much less prominent ‘basal-cell hyperplasia’ phenotype, (Figures 4a–c) although the young svb9 VPs did show slightly increased CK5 protein levels (Figure 4c).
Increased basal cells in 15-LOX2 transgenic prostates. (a, b) Representative IHC images of serial tissue sections of 2.5 (a)- and 15 (b)-month-old wt and transgenic VPs stained for 15-LOX2, CK5 and p63. Original magnifications: x400. (c) Microdissected VPs were analyzed by immunoblotting for 15-LOX2, CK5 and p63. Actin was used as loading control for CK5 and lamin A/C was used as loading control for nuclear p63. The relative ratios of CK5:actin and p63:lamin were estimated by densitometry and by setting the corresponding wt values to 1.0.
Prominent induction of cell senescence in young 15-LOX2-hyperplastic VPs
Despite extensive epithelial hyperplasia in transgenic VPs, no progression to PIN and carcinoma was noticed in >500 animals analyzed, with the longest surviving animals being ∼30 months of age. Moreover, the fl26 prostate lobes generally displayed more severe hyperplasia compared with svb9 VPs, but the svb9 VPs showed more prominent organ ‘hypertrophy’ (Figure 2). These two observations suggest that certain cell-intrinsic mechanism(s) activated by transgene expression, especially in fl26 VPs, might have led to the observed results. One such mechanism could be induction of cell senescence (Bhatia et al., 2005; Tang et al., 2007a). We stained the whole-mount cryosections of young (2.5–3 months of age) and old (15 months of age) wt and transgenic VPs for senescence-associated β-galactosidase (SA-βgal). As shown in Figure 5A, the 2.5-month-old fl26 VPs showed stronger SA-βgal staining compared with both wt and svb9 VPs. A strong correlation between transgene expression and SA-βgal staining was observed in the epithelial glands (Figure 5B). At 15 months of age, wt VPs, as expected, showed some SA-βgal staining, whereas both fl26 and svb9 VPs showed comparable SA-βgal staining, which was overall stronger than that in wt VPs (Supplementary Figure S5A).
Transgenic expression of 15-LOX2 leads to early induction of senescence. (A) Fresh whole-mount cryosections of wt and transgenic VPs at 2.5 months were stained for SA-βGal. Shown are images (40 × , upper panels; 400 × , lower panels) representative of 3–5 animals analyzed from each genotype or age group. (B) SA-βgal staining correlates with the transgene expression. The encircled area in fl26 (2.5 m) in (A) was enlarged to show matched SA-βgal and 15-LOX2 staining. A good correlation can be seen between SA-βgal positivity and transgene expression. The two arrows indicate the glands that show weak staining for 15-LOX2 and correspondingly the lack of SA-βgal staining. (C, D) Whole-mount paraffin sections of wt and transgenic VPs at 2.5 months were used in IHC analysis of p27 (C) or HP1-γ (D). Representative images (400 × ) are presented. (E) Allred method determination of relative p27 levels (as Allred index) in the VPs of wt and transgenic animals at ∼3 months (n=5). (F) Western blotting analysis of p27 and HP1γ protein levels in the VPs of wt and transgenic animals. Lamin A/C was used as loading control. The relative ratios of p27:lamin and HP1-γ:lamin were shown by setting the corresponding wt values to 1.0.
In a prostate-specific Akt transgenic mouse model (Majumder et al., 2003, 2008), progression of PIN to PCa was blocked by senescence induction associated with the upregulation of p27kip1 (p27), a cyclin-dependent kinase inhibitor involved in cell-cycle arrest and senescence, and heterochromatin protein (HP) 1γ, a heterochromatin-associated protein concentrated in senescent cells. We observed that the p27 (Figure 5C) and HP1γ (Figure 5D) expression patterns resembled that of SA-βgal, that is, both proteins were significantly upregulated in 2.5-month-old fl26 VPs compared with wt and svb9 VPs. Semiquantification of p27 levels by the Allred method (Allred et al., 1998) in whole-mount VPs showed a significant increase in p27 nuclear staining in 2.5-month-old fl26 VPs (Figure 5E), as further confirmed by western blotting (Figure 5F). Both p27 and HP1γ protein levels in 15-month-old transgenic VPs only showed slight increases over those in wt VPs (Supplementary Figure S5B-E), perhaps because of the the increased ‘background’ levels of p27 and HP1γ in older wt VPs, similar to SA-βgal staining (Supplementary Figure S5A).
The above observations suggest that 15-LOX2 induces an early and persistent senescence response, whereas 15-LOX2sv-b seems to induce a late senescence response in the mouse prostate that involves upregulation of p27 and HP1γ. Subsequently, we carried out a pilot correlation study in human PCa (n=8) serial sections stained for 15-LOX2, p27 and HP1γ. The results revealed that all three molecules were coexpressed in benign prostatic glands with a good correlation, that is, those glands that showed strong 15-LOX2 staining also showed distinct nuclear localization of p27 and HP1γ (Supplementary Figure S6A and C). In contrast, PCa cells generally showed weak or no 15-LOX2 staining with reduced and predominantly cytoplasmic labeling of p27 and reduced HP1γ (Supplementary Figure S6B and D).
Microarray analysis reveals distinct gene expression profiles that help explain the phenotypes in transgenic prostates
We carried out microarray analysis to compare global gene expression profiles in young (y; 2.5–3.0 months of age) wt, fl26 and svb9 VPs and old (o; 14–15 months of age) wt VPs using Agilent's mouse whole-genome oligoarrays (Agilent, Santa Clara, CA, USA). We included the old wt VPs because 15-LOX2 expression correlates with age in the human prostate (Bhatia et al., 2005). When a 1.5-fold-change cutoff was applied, fl26y(vs)wty comparison revealed 587 upregulated and 105 downregulated genes in the young fl26 VPs, of which 252 upregulated and 47 downregulated genes, respectively, were found to be statistically significant (P<0.05) (Figures 6a and b; Supplementary Tables S3-S4). In contrast, svb9y(vs)wty comparison only showed 51 upregulated and 28 downregulated genes in svb9y VPs, of which very few genes showed a P<0.05 (Figures 6a and b; Supplementary Tables S5-S6). On the other hand, 16 genes were commonly upregulated and 19 genes were commonly downregulated in fl26y and svb9y VPs (Figures 6a and b; Supplementary Table S7). Interestingly, we observed a significant number of genes commonly upregulated or downregulated between the wto(vs)wty and fl26y(vs)wty comparisons, as well as between the wto(vs)wty and svb9y(vs)wty comparisons (Figures 6a and b; Supplementary Table S7).
Microarray analysis of gene expression in transgenic VPs. (a, b) Venn diagram presentations of commonly up and downregulated genes. Comparisons were made among those genes that showed ⩾1.5 fold changes of either upregulation (left) or downregulation (right) in the three hybridization groups, that is, fl26-y vs wt-y, svb9-y vs wt-y and wt-o vs wt-y. (c) qPCR analysis of four randomly picked genes upregulated in microarray. Shown are relative mRNA levels and bars represent mean±s.d of three independent measurements. (d) qPCR analysis showing epithelial-specific expression of genes analyzed in (c). Epithelial glands from respective genotypes (at 6 months) were microdissected by laser capture microdissection, and qPCR analysis was carried out using RNA isolated from epithelial glands. Shown are relative mRNA levels, and bars represent mean±s.d. of 3–4 independent measurements. (e) Serial whole-mount paraffin sections of wt and transgenic VPs at 2.5 months were used in IHC analysis of 15-LOX2 (upper) and Rb1cc1 (lower). Representative images (100 × ) of multiple animals analyzed (n>5 per group) are presented. (f) Serial whole-mount cryosections of wt and transgenic VPs at 6 months were used in immunofluorescence staining of 15-LOX2 (upper) and clusterin (middle). Lower panel shows a merge with DAPI. Representative images (200 × ) of multiple animals analyzed (n>3 per group) are presented. Note that a more uniform expression of 15-LOX2 can be seen in svb9 animals in cryosections (upper panel in f) compared with those in paraffin sections (upper panel in e).
Among the genes upregulated in fl26y prostates were p63 and CK5 (Table 1), the protein levels of which were also upregulated as revealed in our earlier IHC and western blotting analyses (Figures 4a–c). The upregulation of several other randomly picked molecules including Rb1cc1, clusterin, calcitonin and Nupr1 that were upregulated in fl26y VPs in microarray (Table 1; Supplementary Table S3) was also confirmed by quantitative reverse-transcriptase–PCR (qPCR) and/or IHC analyses (Figures 6c–f). Importantly, qPCR analysis of RNA prepared from epithelial glands isolated by laser capture microdissection (LCM) confirmed the epithelial-specific differences in gene expression levels between 6-month-old wt and transgenic VPs (Figure 6d). Interestingly, two of the four molecules examined, that is, clusterin and Nupr1, also showed some upregulation in svb9y VPs (Figures 6c, d and f), in contrast to microarray data (Supplementary Table S5).
Gene ontology analysis of the upregulated genes revealed interesting differential gene expression patterns (Table 1; Supplementary Table S3) that could help explain the prostate phenotypes in transgenic animals. First, both CK5 and p63 were upregulated in fl26y (Table 1), corroborating the ‘basal cell hyperplasia’ phenotype in fl26 VPs (Figure 4). In addition, at least five other well-established (prostate) stem or progenitor cell markers (Lawson and Witte, 2007; Tang et al., 2007b), including Sca-1 (Lawson and Witte, 2007), Trop2 (Goldstein et al., 2008), Klf4 (Okita et al., 2008), Psca (Tran et al., 2002) and Nkx3.1 (Wang et al., 2009), were also upregulated, preferentially in fl26y VPs compared with svb9y. Second, fl26y VPs also upregulated several cell-cycle proteins, such as cyclin D2 and Pcna (proliferating cell nuclear antigen), as well as positive regulators of proliferation such as K-ras, MAPK and PI3K pathway molecules (Table 1). Very few of these molecules were upregulated in svb9y VPs, suggesting that 15-LOX2 and 15-LOX2sv-b promotes cell proliferation in mouse prostate (Figure 3e) through different molecular mechanisms. Third, the fl26y(vs)wty comparison revealed prominent upregulation of angiogenin molecules (that is, angiogenin 1–4) (Table 1), which were also upregulated in some other prostate-restricted transgenic models (Dillner et al., 2003; Kindblom et al., 2003; Majumder et al., 2003), and have been recently implicated in PCa development and progression through regulating angiogenesis and proliferation (Katona et al., 2005; Yoshioka et al., 2006; Ibaragi et al., 2009). Interestingly, all four angiogenin molecules were significantly upregulated in wto(vs)wty but none were upregulated in svb9y(vs)wty VPs (Supplementary Table S5 and S7). Finally, in addition to these distinct gene expression profiles, many genes were commonly up or downregulated in fl26y(vs)wty, svb9y(vs)wty and wto(vs)wty comparisons (Supplementary Table S7; data not shown).
Discussion
This project was undertaken to probe the in vivo biological activities of the functional tumor suppressor 15-LOX2, the expression of which is reduced or lost in PCa. Through generation and characterization of prostate-specific 15-LOX2 transgenic mice, we report several surprising and interesting findings (Figure 7). Expression of 15-LOX2 in mouse prostate unexpectedly leads to prostatic hyperplasia associated with increased cell proliferation and increased numbers of both luminal and basal cells. Expression of 15-LOX2sv-b, a splice variant that lacks AA-metabolizing activity, results in a moderate epithelial hyperplasia but apparent prostate enlargement, which is associated with increased cell proliferation and luminal cells only (Figure 7). Prostatic hyperplasia induced by both 15-LOX2 and 15-LOX2sv-b does not progress to PIN or carcinoma, likely because of the induction of cell senescence.
Schematic depicting possible mechanisms of action of 15-LOX2 and 15-LOX2sv-b. 15-LOX2 possesses AA- and LA-metabolizing activity to produce 15(S)-HETE and 13(S)-HODE, respectively, and may also possess, to a much lesser extent (depicted by thinner arrows), AA/LA metabolism-independent functions, which together induce ∼600 upregulated and ∼100 downregulated genes (by ⩾1.5-fold) in mouse VPs. These changes in gene expression result in two cellular outcomes, that is, prominent hyperplasia (with increase in numbers of both luminal and basal cells) associated with enhanced proliferation caused by 13(S)-HODE and early induction of senescence induced by 15(S)-HETE, which may cancel each other out, resulting in minor prostate enlargement. In contrast, 15-LOX2sv-b lacks AA- and LA-metabolizing activities and only causes alterations of a total of ∼80 genes, among which 16 upregulated and 19 downregulated genes are commonly shared with fl26 VPs. 15-LOX2sv-b expression mainly increases luminal cells without early induction of cell senescence, resulting in hyperplasia and pronounced prostate ‘hypertrophy’. Persistent presence of senescence in 15-LOX2 transgenic prostate and late induction of senescence in 15-LOX2sv-b transgenic prostate may both constitute a barrier to hyperplasia-to-tumor progression.
Prostatic hyperplasia induced by 15-LOX2 or 15-LOX2sv-b: distinct organ phenotypes and cellular basis
15-LOX2 reduces proliferation, induces senescence and inhibits xenograft tumor development when ectopically expressed in PCa cells. Therefore, it came as a surprise to us that transgenic expression of 15-LOX2 and enzymatically inactive 15-LOX2sv-b in particular, resulted in enlargement of mouse prostate, which, histologically, is characterized by epithelial hyperplasia. The fl VPs consistently display more severe hyperplastic lesions than age-matched svb VPs. One possible explanation is that, compared with svb VPs, fl VPs show significantly increased numbers of not only luminal cells but also basal cells that stain positive for CK5 and p63 (Figure 7). This basal-cell hyperplasia is associated with gene expression changes in CK5, p63, Nkx3.1 and Sca-1, as well as with a novel prostate stem cell marker Trop2 (Goldstein et al., 2008), suggesting that 15-LOX2 expression results in increases in both basal cells and perhaps p63+/Sca-1+/Trop2+ stem or progenitor cells in the basal layer, the latter of which in turn could give rise to more luminal cells. Consequently, increased cellularity in both basal and luminal compartments contributes to the more prominent hyperplasia phenotype observed in fl VPs (Figure 7).
Why is basal-cell hyperplasia only observed in fl transgenic VPs and how could we reconcile the seeming contradiction of tumor-suppressive effects of 15-LOX2/15(S)-HETE in vitro (Tang et al., 2007a) vs increased proliferation and hyperplasia in fl VPs? One explanation could be related to the unique biochemical properties of 15-LOX2, which metabolizes predominantly AA to generate 15(S)-HETE, but can also metabolize LA to produce some 13(S)-HODE (Kilty et al., 1999). Indeed, in fl transgenic VPs, we have observed significantly higher levels of not only 15(S)-HETE (Supplementary Table S1) but also 13(S)-HODE (Supplementary Table S2), suggesting that 15-LOX2 in mouse prostate produces a significant amount of 13(S)-HODE from LA, available from the chow. This increase in 13(S)-HODE could potentially explain the severe hyperplasia in fl VPs, as 13(S)-HODE, the principal metabolite of 15-LOX1, possesses protumorigenic functions in PCa cells (Spindler et al., 1997), and transgenic expression of 15-LOX1 in mouse prostate results in hyperplasia and PIN by overproduction of 13(S)-HODE (Kelavkar et al., 2006). As 15-LOX2 in our transgenic model is directed to the luminal cell compartment by ARR2PB promoter, presumably, the luminal cell-derived 13(S)-HODE exerts an effect on basal (stem or progenitor) cells to promote their proliferation (Figure 7). svb9 VPs, on the other hand, do not show increased levels of 13(S)-HODE (Supplementary Table S2) and thus lack the basal-cell hyperplasia phenotype. How 15-LOX2sv-b induces prostatic hyperplasia remains presently unclear.
Distinct and shared gene expression profiles and molecular mechanisms for 15-LOX2 and 15-LOX2sv-b
Genome-wide cDNA microarray analysis has revealed nearly 600 upregulated and 100 downregulated genes in fl26 VPs, but only ∼50 upregulated and 28 downregulated genes in svb9 VPs, compared with age-matched young wt VPs (Figure 7). The significantly more upregulated genes in fl26 VPs are almost certainly related to the ability of 15-LOX2 to produce 15(S)-HETE and 13(S)-HODE (Figure 7). On the other hand, it is remarkable that 16 of the 51 genes upregulated and 19 of the 28 genes downregulated in the young svb9 VPs are shared with the fl26 VPs, suggesting strongly that, as we proposed earlier (Bhatia et al., 2003), 15-LOX2 possesses AA/LA metabolism-independent biological functions (Figure 7).
Among the genes upregulated in fl26 VPs, many are positive cell-cycle molecules (for example, cyclin D2, Pcna) or positive regulators of cell proliferation (for example, K-ras, Mapk and Pik3) and, strikingly, are also upregulated in two other transgenic prostate models, that is, Akt transgenic mouse model (Majumder et al., 2003) and PB-PRL (Dillner et al., 2003; Kindblom et al., 2003), both of which also manifest conspicuous hyperplastic lesions (Supplementary Table S8). For example, Akt transgenic mouse model VPs, mainly characterized by PIN lesions (Majumder et al., 2003), and fl26 VPs share ∼15% identical (for example, Ang 2, Ang, 3, Trop2, Psca, Fgfbp1, Saa1 and Saa2) and ∼40% similar upregulated genes (Supplementary Table S8). Similarly, PB-PRL VPs, which show stromal hyperplasia with mild epithelial hyperplasia (Dillner et al., 2003; Kindblom et al., 2003), share ∼13% identical and ∼30% similar upregulated genes with fl26 VPs (Supplementary Table S8). Among the 17 identical genes are Ang 4, clusterin and several ECM proteins, including vimentin, col3a1 and laminin (Supplementary Table S8). These similarities suggest that transgenic expression of 15-LOX2 may cause not only epithelial hyperplasia but also some stromal alterations. By comparison, svb9 VPs show many fewer changes in gene expression and the majority of the up and downregulated genes in fl26 VPs are not observed in svb9 VPs (Figure 7). On the other hand, increased levels of Clu and Nupr1 in svb9y VPs observed by qPCR suggest that interanimal variability commonly associated with animal studies might have masked the differential expression of at least some genes in svb9 animals when analyzed by microarray.
15-LOX2 expression elicits early and persistent cell senescence in vivo: potential barrier to tumor development
How do we explain that although fl26 VPs exhibit more severe hyperplasia than svb9 VPs, the latter seem bigger and show more conspicuous organ ‘hypertrophy’? A possible explanation could be that 15-LOX2, both in vitro (Bhatia et al., 2005) and in vivo (this study), seems to be a stronger inducer of cell senescence than 15-LOX2sv-b. Hence, 2- to 3-month-old fl26 VPs already show prevalent senescence, which persists throughout adulthood; in contrast, increased senescence is observed only in old svb9 VPs. Consequently, despite the fact that 15-LOX2 induces prominent cell proliferation and hyperplasia, early induction of senescence presumably cancels out the proliferation-induced increases in both luminal and basal cells. As a result, 15-LOX2 only causes mild prostate enlargement compared with 15-LOX2 svb9 (Figure 7).
How 15-LOX2 elicits cell senescence at the molecular level is presently unclear. As 15(S)-HETE can function as a ligand for PPARγ to induce gene transcription (Chen et al., 2003; Subbarayan et al., 2006), we are tempted to speculate that 15-LOX2, partially localized in the nucleus (Bhatia et al., 2003) and perhaps by intranuclear production of 15(S)-HETE, preferentially activates a set of genes such as Rb1cc1 (Table 1; Figures 6c–e) in fl26 VPs. Rb1cc1 can in turn induce Rb1 (Chano et al., 2002; Ikebuchi et al., 2009) and p21 by physically interacting with p53 (Melkoumian et al., 2005), all of which are important factors of senescence. Microarray analysis also identifies a subset of genes commonly up and downregulated in fl26 and svb9 VPs (Figure 7), some of which might be involved in 15-LOX2-induced but largely responsible for 15-LOX2sv-b-caused cell senescence.
As cell senescence is a strong suppressor of progression from hyperplastic lesions to overt tumor development (Braig et al., 2005; Chen et al., 2005; Majumder et al., 2008), we hypothesize that 15-LOX2-elicited cell senescence functions as a barrier to hyperplasia-to-tumor progression in our transgenic animals. This hypothesis is strongly buttressed by the fact that the 15(S)-HETE-elicited senescence seems to predominate over the 13(S)-HODE-promoted hyperplasia in ultimately preventing progression of hyperplasia to PIN or tumor (Figure 7). We are currently examining this hypothesis by crossing fl26 mice with Hi-Myc mice (Ellwood-Yen et al., 2003), which develop invasive adenocarcinoma in the prostate.
Materials and methods
Generation of prostate-specific 15-LOX2 transgenic mice
Transgene constructs (see Figure 1A) were prepared by placing 15-LOX2 and 15LOX2sv-b cDNA (Tang et al., 2002) under the control of ARR2PB promoter (Zhang et al., 2000), intervened by the rabbit β-globin second intron sequence that increases transgene expression and followed by β-globin–SV40 hybrid polyA sequences (Chen et al., 2009). The ∼4.2 kb Kpn I fragments containing transgenes were gel purified and microinjected into the male pronucleus of FVB or N mice. Male founder mice were identified by PCR genotyping of tail-clip DNA using primers C (sense, 5′-ACTACCTCCCAAAGAACTTCCCC-3′) and D (antisense, 5′-TTCAATGCCGATGCCTGTG-3′) or using primers F2 (sense, 5′-GGTCATCATCCTGCCTTTC-3′, in the β-globin intron) and R1 (antisense, 5′-CGATGCTGACAGACACTTTG-3′, in the transgene cDNA). PCR of β-actin was used as control. All procedures involving the usage of animals were approved by the Institutional Animal Care and Use Committee .
Prostate microdissection and branching morphogenesis of VP
Detailed procedure was described elsewhere (Sugimura et al., 1986). Briefly, the prostate was removed along with the urogenital tract. The organs were placed immediately in ice-cold Hank's buffered salt solution and microdissected under a dissection microscope. One of the two VP lobes was then incubated in 1% collagenase in Hank's buffered salt solution on a Maximov depression slide for 10 min and branches were separated using fine forceps. From the branched VP, branch tips were counted and branch lengths were measured.
From a separate group of wt and transgenic mice, the wet weights of both lobes of the VP and AP (as control) were collected at different ages, starting from 2 to 30 months. Weights (in mg) were plotted as a function of animal age and regression analysis was carried out to test the significance of differences in the weights of prostatic lobes between transgenic and wt mice.
Microarray analysis
Basic procedures for microarray experiments were recently described (Bhatia et al., 2008). In brief, VP lobes were removed and submerged in 50 μl of RNAlater at 4 °C for 1–2 days, RNAlater was then removed and the prostate lobes were frozen at −80 °C until processed. VP lobes from six mice of the same genotype were combined to reduce interanimal variability. The combined frozen VP lobes were crushed in a BioPulverizer (Biospec Products, Inc., Bartlesville, OK, USA). RNA was isolated using an RNA miniprep kit for VPs of 2.5- to 3-month-old (young) animals (17–29 mg) and a midiprep kit for VPs of 14- 16-month-old (old) animals, (38–64 mg) according to the manufacturer's instructions, using syringe homogenization. RNA was quantified using the Nanodrop ND-1000 and RNA integrity analyzed by an Agilent Bioanalyzer. Microarray experiments were carried out using 44K whole-mouse-genome oligoarrays from Agilent (G4122A). RNA from young (y) and old (o) wt and young transgenic (fl26 & svb9) VPs was hybridized onto dual channel arrays in wt old vs. wt young, fl26 young vs. wt young, and svb young vs. wt young combinations in biological replicates.
The array data were subjected to LOWESS normalization and the normalized data were used for calculating fold changes of up and downregulated genes in each individual comparison. A paired t-test was carried out for each comparison to obtain P-values. Venn Diagram analysis was carried out by using a Venn Diagram analysis module from an ArrayTrack microarray analysis suite developed by (food and drug administration) FDA's NCTR (Fang et al., 2009). Gene ontology analysis was carried out using WebGestalt (WEB-based GEne SeT AnaLysis Toolkit) developed and maintained by the bioinformatics resource center at Vanderbilt. All microarray data have been deposited in the NCBI GEO database (accession # GSE158; http://www.ncbi.nlm.nih.gov/geo/query/acc.cgi?token=xvmphckuguyoqrm&acc=GSE15827).
Accession codes
Abbreviations
- 15-LOX2:
-
15-lipoxygenase 2
- 15(S)-HETE:
-
15(S)-hydroxyeicosatetraenoic acid
- AA:
-
arachidonic acid
- AP:
-
anterior prostate
- CK5:
-
cytokeratin 5
- DP:
-
dorsal prostate
- ECM:
-
extracellular matrix
- HP1-γ:
-
heterochromatin protein-1 γ
- LP:
-
lateral prostate
- NHP:
-
normal human prostate epithelial cells
- PCa:
-
prostate cancer
- PPARs:
-
peroxisome proliferator-activated receptors
- SA-βgal:
-
senescence associated β-galactosidase
- VP:
-
ventral prostate
- wt:
-
wild type
References
Abate-Shen C, Shen MM . (2000). Molecular genetics of prostate cancer. Genes Dev 14: 2410–2434.
Allred DC, Harvey JM, Berardo M, Clark GM . (1998). Prognostic and predictive factors in breast cancer by immunohistochemical analysis. Mod Pathol 11: 155–168.
Bhatia B, Jiang M, Suraneni M, Patrawala L, Badeaux M, Schneider-Broussard R et al. (2008). Critical and distinct roles of p16 and telomerase in regulating the proliferative life span of normal human prostate epithelial progenitor cells. J Biol Chem 283: 27957–27972.
Bhatia B, Maldonado CJ, Tang S, Chandra D, Klein RD, Chopra D et al. (2003). Subcellular localization and tumor-suppressive functions of 15-lipoxygenase 2 (15-LOX2) and its splice variants. J Biol Chem 278: 25091–25100.
Bhatia B, Tang S, Yang P, Doll A, Aumueller G, Newman RA et al. (2005). Cell-autonomous induction of functional tumor suppressor 15-lipoxygenase 2 (15-LOX2) contributes to replicative senescence of human prostate progenitor cells. Oncogene 24: 3583–3595.
Braig M, Lee S, Loddenkemper C, Rudolph C, Peters AH, Schlegelberger B et al. (2005). Oncogene-induced senescence as an initial barrier in lymphoma development. Nature 436: 660–665.
Brash AR, Boeglin WE, Chang MS . (1997). Discovery of a second 15S-lipoxygenase in humans. Proc Natl Acad Sci USA 94: 6148–6152.
Chano T, Ikegawa S, Kontani K, Okabe H, Baldini N, Saeki Y . (2002). Identification of RB1CC1, a novel human gene that can induce RB1 in various human cells. Oncogene 21: 1295–1298.
Chen GG, Xu H, Lee JF, Subramaniam M, Leung KL, Wang SH et al. (2003). 15-hydroxy-eicosatetraenoic acid arrests growth of colorectal cancer cells via a peroxisome proliferator-activated receptor gamma-dependent pathway. Int J Cancer 107: 837–843.
Chen X, Schneider-Broussard R, Hollowell D, McArthur M, Jeter C, Benavides F et al. (2009). Abnormal differentiation, hyperplasia and embryonic/perinatal lethality in BK5-T/t transgenic mice. Differentiation 77: 324–334.
Chen Z, Trotman LC, Shaffer D, Lin HK, Dotan ZA, Niki M et al. (2005). Crucial role of p53-dependent cellular senescence in suppression of Pten-deficient tumorigenesis. Nature 436: 725–730.
Dillner K, Kindblom J, Flores-Morales A, Shao R, Tornell J, Norstedt G et al. (2003). Gene expression analysis of prostate hyperplasia in mice overexpressing the prolactin gene specifically in the prostate. Endocrinology 144: 4955–4966.
Ellwood-Yen K, Graeber TG, Wongvipat J, Iruela-Arispe ML, Zhang J, Matusik R et al. (2003). Myc-driven murine prostate cancer shares molecular features with human prostate tumors. Cancer Cell 4: 223–238.
Fang H, Harris SC, Su Z, Chen M, Qian F, Shi L et al. (2009). ArrayTrack: an FDA and public genomic tool. Methods Mol Biol 563: 379–398.
Goldstein AS, Lawson DA, Cheng D, Sun W, Garraway IP, Witte ON . (2008). Trop2 identifies a subpopulation of murine and human prostate basal cells with stem cell characteristics. Proc Natl Acad Sci USA 105: 20882–20887.
Gonzalez AL, Roberts RL, Massion PP, Olson SJ, Shyr Y, Shappell SB . (2004). 15-Lipoxygenase-2 expression in benign and neoplastic lung: an immunohistochemical study and correlation with tumor grade and proliferation. Hum Pathol 35: 840–849.
Ibaragi S, Yoshioka N, Kishikawa H, Hu JK, Sadow PM, Li M et al. (2009). Angiogenin-stimulated rRNA transcription is essential for initiation and survival of AKT-induced prostate intraepithelial neoplasia. Mol Cancer Res 7: 415–424.
Ikebuchi K, Chano T, Ochi Y, Tameno H, Shimada T, Hisa Y et al. (2009). RB1CC1 activates the promoter and expression of RB1 in human cancer. Int J Cancer 125: 861–867.
Jack GS, Brash AR, Olson SJ, Manning S, Coffey CS, Smith Jr JA et al. (2000). Reduced 15-lipoxygenase-2 immunostaining in prostate adenocarcinoma: correlation with grade and expression in high-grade prostatic intraepithelial neoplasia. Hum Pathol 31: 1146–1154.
Jiang WG, Watkins G, Douglas-Jones A, Mansel RE . (2006). Reduction of isoforms of 15-lipoxygenase (15-LOX)-1 and 15-LOX-2 in human breast cancer. Prostaglandins Leukot Essent Fatty Acids 74: 235–245.
Jisaka M, Kim RB, Boeglin WE, Brash AR . (2000). Identification of amino acid determinants of the positional specificity of mouse 8S-lipoxygenase and human 15S-lipoxygenase-2. J Biol Chem 275: 1287–1293.
Jisaka M, Kim RB, Boeglin WE, Nanney LB, Brash AR . (1997). Molecular cloning and functional expression of a phorbol ester-inducible 8S-lipoxygenase from mouse skin. J Biol Chem 272: 24410–24416.
Kasper S, Sheppard PC, Yan Y, Pettigrew N, Borowsky AD, Prins GS et al. (1998). Development, progression, and androgen-dependence of prostate tumors in probasin-large T antigen transgenic mice: a model for prostate cancer. Lab Invest 78: i–xv.
Katona TM, Neubauer BL, Iversen PW, Zhang S, Baldridge LA, Cheng L . (2005). Elevated expression of angiogenin in prostate cancer and its precursors. Clin Cancer Res 11: 8358–8363.
Kelavkar UP, Parwani AV, Shappell SB, Martin WD . (2006). Conditional expression of human 15-lipoxygenase-1 in mouse prostate induces prostatic intraepithelial neoplasia: the FLiMP mouse model. Neoplasia 8: 510–522.
Kilty I, Logan A, Vickers PJ . (1999). Differential characteristics of human 15-lipoxygenase isozymes and a novel splice variant of 15S-lipoxygenase. Eur J Biochem 266: 83–93.
Kim E, Rundhaug JE, Benavides F, Yang P, Newman RA, Fischer SM . (2005). An antitumorigenic role for murine 8S-lipoxygenase in skin carcinogenesis. Oncogene 24: 1174–1187.
Kindblom J, Dillner K, Sahlin L, Robertson F, Ormandy C, Tornell J et al. (2003). Prostate hyperplasia in a transgenic mouse with prostate-specific expression of prolactin. Endocrinology 144: 2269–2278.
Lawson DA, Witte ON . (2007). Stem cells in prostate cancer initiation and progression. J Clin Invest 117: 2044–2050.
Mahipal SV, Subhashini J, Reddy MC, Reddy MM, Anilkumar K, Roy KR et al. (2007). Effect of 15-lipoxygenase metabolites, 15-(S)-HPETE and 15-(S)-HETE on chronic myelogenous leukemia cell line K-562: reactive oxygen species (ROS) mediate caspase-dependent apoptosis. Biochem Pharmacol 74: 202–214.
Majumder PK, Grisanzio C, O′Connell F, Barry M, Brito JM, Xu Q et al. (2008). A prostatic intraepithelial neoplasia-dependent p27 Kip1 checkpoint induces senescence and inhibits cell proliferation and cancer progression. Cancer Cell 14: 146–155.
Majumder PK, Yeh JJ, George DJ, Febbo PG, Kum J, Xue Q et al. (2003). Prostate intraepithelial neoplasia induced by prostate restricted Akt activation: the MPAKT model. Proc Natl Acad Sci USA 100: 7841–7846.
Masumori N, Thomas TZ, Chaurand P, Case T, Paul M, Kasper S et al. (2001). A probasin-large T antigen transgenic mouse line develops prostate adenocarcinoma and neuroendocrine carcinoma with metastatic potential. Cancer Res 61: 2239–2249.
Melkoumian ZK, Peng X, Gan B, Wu X, Guan JL . (2005). Mechanism of cell cycle regulation by FIP200 in human breast cancer cells. Cancer Res 65: 6676–6684.
Okita K, Nakagawa M, Hyenjong H, Ichisaka T, Yamanaka S . (2008). Generation of mouse induced pluripotent stem cells without viral vectors. Science 322: 949–953.
Schweiger D, Furstenberger G, Krieg P . (2007). Inducible expression of 15-lipoxygenase-2 and 8-lipoxygenase inhibits cell growth via common signaling pathways. J Lipid Res 48: 553–564.
Shappell SB, Boeglin WE, Olson SJ, Kasper S, Brash AR . (1999). 15-lipoxygenase-2 (15-LOX-2) is expressed in benign prostatic epithelium and reduced in prostate adenocarcinoma. Am J Pathol 155: 235–245.
Shappell SB, Keeney DS, Zhang J, Page R, Olson SJ, Brash AR . (2001). 15-Lipoxygenase-2 expression in benign and neoplastic sebaceous glands and other cutaneous adnexa. J Invest Dermatol 117: 36–43.
Shappell SB, Olson SJ, Hannah SE, Manning S, Roberts RL, Masumori N. . (2003). Elevated expression of 12/15-lipoxygenase and cyclooxygenase-2 in a transgenic mouse model of prostate carcinoma. Cancer Res 63: 2256–2267.
Shappell SB, Thomas GV, Roberts RL, Herbert R, Ittmann MM, Rubin MA et al. (2004). Prostate pathology of genetically engineered mice: definitions and classification. the consensus report from the bar harbor meeting of the mouse models of human cancer consortium prostate pathology committee. Cancer Res 64: 2270–2305.
Signoretti S, Waltregny D, Dilks J, Isaac B, Lin D, Garraway L et al. (2000). p63 is a prostate basal cell marker and is required for prostate development. Am J Pathol 157: 1769–1775.
Spindler SA, Sarkar FH, Sakr WA, Blackburn ML, Bull AW, LaGattuta M et al. (1997). Production of 13-hydroxyoctadecadienoic acid (13-HODE) by prostate tumors and cell lines. Biochem Biophys Res Commun 239: 775–781.
Subbarayan V, Krieg P, Hsi LC, Kim J, Yang P, Sabichi AL et al. (2006). 15-Lipoxygenase-2 gene regulation by its product 15-(S)-hydroxyeicosatetraenoic acid through a negative feedback mechanism that involves peroxisome proliferator-activated receptor gamma. Oncogene 25: 6015–6025.
Sugimura Y, Cunha GR, Donjacour AA . (1986). Morphogenesis of ductal networks in the mouse prostate. Biol Reprod 34: 961–971.
Tang DG, Bhatia B, Tang S, Schneider-Broussard R . (2007a). 15-lipoxygenase 2 (15-LOX2) is a functional tumor suppressor that regulates human prostate epithelial cell differentiation, senescence, and growth (size). Prostaglandins Other Lipid Mediat 82: 135–146.
Tang DG, Patrawala L, Calhoun T, Bhatia B, Choy G, Schneider-Broussard R et al. (2007b). Prostate cancer stem/progenitor cells: identification, characterization, and implications. Mol Carcinog 46: 1–14.
Tang S, Bhatia B, Maldonado CJ, Yang P, Newman RA, Liu J et al. (2002). Evidence that arachidonate 15-lipoxygenase 2 is a negative cell cycle regulator in normal prostate epithelial cells. J Biol Chem 277: 16189–16201.
Tang Y, Wang MT, Chen Y, Yang D, Che M, Honn KV et al. (2009). Downregulation of vascular endothelial growth factor and induction of tumor dormancy by 15-lipoxygenase-2 in prostate cancer. Int J Cancer 124: 1545–1551.
Tran CP, Lin C, Yamashiro J, Reiter RE . (2002). Prostate stem cell antigen is a marker of late intermediate prostate epithelial cells. Mol Cancer Res 1: 113–121.
Wang D, Chen S, Feng Y, Yang Q, Campbell BH, Tang X et al. (2006). Reduced expression of 15-lipoxygenase 2 in human head and neck carcinomas. Tumour Biol 27: 261–273.
Wang X, Kruithof-de Julio M, Economides KD, Walker D, Yu H, Halili MV et al. (2009). A luminal epithelial stem cell that is a cell of origin for prostate cancer. Nature 461: 495–500.
Xu XC, Shappell SB, Liang Z, Song S, Menter D, Subbarayan V et al. (2003). Reduced 15S-lipoxygenase-2 expression in esophageal cancer specimens and cells and upregulation in vitro by the cyclooxygenase-2 inhibitor, NS398. Neoplasia 5: 121–127.
Yoshioka N, Wang L, Kishimoto K, Tsuji T, Hu GF . (2006). A therapeutic target for prostate cancer based on angiogenin-stimulated angiogenesis and cancer cell proliferation. Proc Natl Acad Sci USA 103: 14519–14524.
Zhang J, Thomas TZ, Kasper S, Matusik RJ . (2000). A small composite probasin promoter confers high levels of prostate-specific gene expression through regulation by androgens and glucocorticoids in vitro and in vivo. Endocrinology 141: 4698–4710.
Acknowledgements
We thank Dr R Matusik (Vanderbilt University) for providing the ARR2PB promoter, D Holowell for transgenic studies, Dr H Thames and K Lin for assistance in statistics, the Histology Core for help in IHC, Animal Facility Core for animal-related experiments, Molecular Biology Core, especially J Repass, for assistance in qPCR analysis, C Perez for assistance in LCM, S Gaddis, L Shen and S Tsavachidis for assistance in microarray analysis, Drs S Fischer and C Jeter for critically reading the paper and other members of the Tang lab for support and helpful discussions. This work was supported in part by grants from NIH (R01-AG023374, R01-ES015888 and R21-ES015893-01A1), American Cancer Society (RSG MGO-105961), Department of Defense (W81XWH-07-1-0616 and W81XWH-08-1-0472) and Elsa Pardee Foundation (DGT) and by two Center Grants (CCSG-5 P30 CA016672 and ES07784).
Author information
Affiliations
Corresponding author
Ethics declarations
Competing interests
The authors declare no conflict of interest.
Additional information
Supplementary Information accompanies the paper on the oncogene website
Supplementary information
Rights and permissions
About this article
Cite this article
Suraneni, M., Schneider-Broussard, R., Moore, J. et al. Transgenic expression of 15-lipoxygenase 2 (15-LOX2) in mouse prostate leads to hyperplasia and cell senescence. Oncogene 29, 4261–4275 (2010). https://doi.org/10.1038/onc.2010.197
Received:
Revised:
Accepted:
Published:
Issue Date:
DOI: https://doi.org/10.1038/onc.2010.197
Keywords
- 15-lipoxygenase 2
- prostate
- hyperplasia
- senescence
- tumor suppression
- stem cells
Further reading
-
miR-18a promotes glioblastoma development by down-regulating ALOXE3-mediated ferroptotic and anti-migration activities
Oncogenesis (2021)
-
LRIG1 is a pleiotropic androgen receptor-regulated feedback tumor suppressor in prostate cancer
Nature Communications (2019)
-
Stylosin and some of its synthetic derivatives induce apoptosis in prostate cancer cells as 15-lipoxygenase enzyme inhibitors
Naunyn-Schmiedeberg's Archives of Pharmacology (2019)
-
Cell mates: paracrine and stromal targets for prostate cancer therapy
Nature Reviews Urology (2013)
-
Cyclooxygenases and lipoxygenases in cancer
Cancer and Metastasis Reviews (2011)






