Abstract
The burgeoning use of prenatal ultrasonography has prompted discussion of the feasibility and capabilities of fetal intervention for urologic disorders. On the basis of the capabilities of fetal intervention, three prenatally diagnosed anomalies are of primary interest to urologists: congenital adrenal hyperplasia (CAH), lower urinary tract obstruction (LUTO) and myelomeningocele. Various interventions (surgical or pharmacological) are being developed for fetuses with these diagnoses. For fetuses with CAH or LUTO, successful outcomes have certainly been demonstrated, although no results from prospective randomized trials have been published. In utero treatment of CAH is accomplished through oral administration of glucocorticoids to the expectant mother. However, the long-term effects of this strategy have been insufficiently studied and remain undetermined. In the fetus with a LUTO, prenatal intervention has primarily been accomplished by placement of a vesicoamniotic shunt. Although this technique results in improved perinatal survival according to several systematic reviews of the literature, the data originate from small, heterogeneous populations of patients. By contrast, a randomized controlled trial of fetal myelomeningocele closure resulted in greatly reduced rates of both ventriculoperitoneal shunt placement and hydrocephalus. The future of fetal intervention in urology is contingent upon improved methods of studying the clinical outcomes of such treatments.
Key Points
-
Prenatal ultrasonography has dramatically changed the practice of pediatric urology
-
Congenital adrenal hyperplasia, lower urinary tract obstruction and myelomeningocele are the current focus of fetal urologic intervention
-
Prenatal dexamethasone treatment of fetuses with congenital adrenal hyperplasia has demonstrated success in the few reports available, but this intervention has yet to be studied prospectively
-
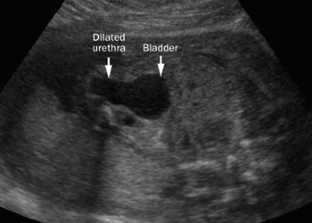
In fetuses with lower urinary tract obstruction, perinatal survival is improved by prenatal vesicoamniotic shunting, but the risk of compromised postnatal renal function remains high
-
A randomized controlled trial has demonstrated clear and objective evidence of a neurological benefit for fetal myelomeningocele closure
-
The scientific methods for studying and reporting fetal intervention in urology must be improved
This is a preview of subscription content, access via your institution
Access options
Subscribe to this journal
Receive 12 print issues and online access
206,07 € per year
only 17,17 € per issue
Rent or buy this article
Prices vary by article type
from$1.95
to$39.95
Prices may be subject to local taxes which are calculated during checkout





Similar content being viewed by others
References
New, M. I. An update of congenital adrenal hyperplasia. Ann. N. Y. Acad. Sci. 1038, 14–43 (2004).
Pang, S. Y. et al. Worldwide experience in newborn screening for classical congenital adrenal hyperplasia due to 21-hydroxylase deficiency. Pediatrics 81, 866–874 (1988).
Speiser, P. W. et al. High frequency of nonclassical steroid 21-hydroxylase deficiency. Am. J. Hum. Genet. 37, 650–667 (1985).
New, M. I. et al. Prenatal diagnosis for congenital adrenal hyperplasia in 532 pregnancies. J. Clin. Endocrinol. Metab. 86, 5651–5657 (2001).
Forest, M. G., David, M. & Morel, Y. Prenatal diagnosis and treatment of 21-hydroxylase deficiency. J. Steroid Biochem. Mol. Biol. 45, 75–82 (1993).
Mercado, A. B., Wilson, R. C., Cheng, K. C., Wei, J. Q. & New, M. I. Prenatal treatment and diagnosis of congenital adrenal hyperplasia owing to steroid 21-hydroxylase deficiency. J. Clin. Endocrinol. Metab. 80, 2014–2020 (1995).
Nimkarn, S. & New, M. I. Prenatal diagnosis and treatment of congenital adrenal hyperplasia due to 21-hydroxylase deficiency. Mol. Cell Endocrinol. 300, 192–196 (2009).
Speiser, P. W. et al. Congenital adrenal hyperplasia due to steroid 21-hydroxylase deficiency: an Endocrine Society clinical practice guideline. J. Clin. Endocrinol. Metab. 95, 4133–4160 (2010).
Braga, L. H. & Pippi Salle, J. L. Congenital adrenal hyperplasia: a critical appraisal of the evolution of feminizing genitoplasty and the controversies surrounding gender reassignment. Eur. J. Pediatr. Surg. 19, 203–210 (2009).
Leslie, J. A., Cain, M. P. & Rink, R. C. Feminizing genital reconstruction in congenital adrenal hyperplasia. Indian J. Urol. 25, 17–26 (2009).
Creighton, S. M. & Farhat, W. A. Early versus late intervention of congenital adrenal hyperplasia. J. Pediatr. Adolesc. Gynecol. 18, 63–69 (2005).
Alizai, N. K., Thomas, D. F., Lilford, R. J., Batchelor, A. G. & Johnson, N. Feminizing genitoplasty for congenital adrenal hyperplasia: what happens at puberty? J. Urol. 161, 1588–1591 (1999).
Creighton, S. M., Minto, C. L. & Steele, S. J. Objective cosmetic and anatomical outcomes at adolescence of feminising surgery for ambiguous genitalia done in childhood. Lancet 358, 124–125 (2001).
Diamond, D. & Yu, R. in Campbell-Walsh Urology 10th edn (eds Wein, A. J., Kavoussi, L. R., Novick, A. C., Partin, A. W. & Peters. C. A.) 3597–3628 (Elsevier Saunders, Philadelphia, 2012).
Seckl, J. R. & Miller, W. L. How safe is long-term prenatal glucocorticoid treatment? JAMA 277, 1077–1079 (1997).
Nimkarn, S. & New, M. I. Prenatal diagnosis and treatment of congenital adrenal hyperplasia. Horm. Res. 67, 53–60 (2007).
Mercè Fernández-Balsells, M. et al. Prenatal dexamethasone use for the prevention of virilization in pregnancies at risk for classical congenital adrenal hyperplasia because of 21-hydroxylase (CYP21A2) deficiency: a systematic review and meta-analyses. Clin. Endocrinol. (Oxf.) 73, 436–444 (2010).
Forest, M. G., Morel, Y. & David, M. Prenatal treatment of congenital adrenal hyperplasia. Trends Endocrinol. Metab. 9, 284–289 (1998).
White, P. C., Mune, T. & Agarwal, A. K. 11 β-Hydroxysteroid dehydrogenase and the syndrome of apparent mineralocorticoid excess. Endocr. Rev. 18, 135–156 (1997).
Miller, W. L. Dexamethasone treatment of congenital adrenal hyperplasia in utero: an experimental therapy of unproven safety. J. Urol. 162, 537–540 (1999).
Simpson, J. & Otano, L. in Obstetrics: Normal and Problem Pregnancies, Prenatal Genetic Diagnosis (eds J. R. Niebyl et al.) 154–183 (Churchill Livingstone, Philadelphia, 2007).
Lajic, S., Wedell, A., Bui, T. H., Ritzén, E. M. & Holst, M. Long-term somatic follow-up of prenatally treated children with congenital adrenal hyperplasia. J. Clin. Endocrinol. Metab. 83, 3872–3880 (1998).
McCullough, L. B., Chervenak, F. A., Brent, R. L. & Hippen, B. A case study in unethical transgressive bioethics: “Letter of concern from bioethicists” about the prenatal administration of dexamethasone. Am. J. Bioeth. 10, 35–45 (2010).
McCullough, L. B., Chervenak, F. A., Brent, R. L. & Hippen, B. The intellectual and moral integrity of bioethics: response to commentaries on “A case study in unethical transgressive bioethics: 'Letter of concern from bioethicists' about the prenatal administration of dexamethasone”. Am. J. Bioeth. 10, W3–W5 (2010).
Elton, C. A prenatal treatment raises questions of medical ethics. TIME Health [online], (2010).
Lo, Y. M. et al. Presence of fetal DNA in maternal plasma and serum. Lancet 350, 485–487 (1997).
Avent, N. D. & Chitty, L. S. Non-invasive diagnosis of fetal sex; utilisation of free fetal DNA in maternal plasma and ultrasound. Prenat. Diagn. 26, 598–603 (2006).
Hill, M. et al. Non-invasive prenatal determination of fetal sex: translating research into clinical practice. Clin. Genet. 80, 68–75 (2011).
Clementi, M. & Stoll, C. The Euroscan study. Ultrasound Obstet. Gynecol. 18, 297–300 (2001).
Grandjean, H., Larroque, D. & Levi, S. The performance of routine ultrasonographic screening of pregnancies in the Eurofetus Study. Am. J. Obstet. Gynecol. 181, 446–454 (1999).
Stefos, T. et al. Routine obstetrical ultrasound at 18–22 weeks: our experience on 7,236 fetuses. J. Matern. Fetal Med. 8, 64–69 (1999).
Nguyen, H. T. et al. The Society for Fetal Urology consensus statement on the evaluation and management of antenatal hydronephrosis. J. Pediatr. Urol. 6, 212–231 (2010).
Krishnan, A., de Souza, A., Konijeti, R. & Baskin, L. S. The anatomy and embryology of posterior urethral valves. J. Urol. 175, 1214–1220 (2006).
Biard, J. M. et al. Long-term outcomes in children treated by prenatal vesicoamniotic shunting for lower urinary tract obstruction. Obstet. Gynecol. 106, 503–508 (2005).
Freedman, A. L. et al. Fetal therapy for obstructive uropathy: diagnosis specific outcomes [corrected]. J. Urol. 156, 720–723 (1996).
González, R., De Filippo, R., Jednak, R. & Barthold, J. S. Urethral atresia: long-term outcome in 6 children who survived the neonatal period. J. Urol. 165, 2241–2244 (2001).
Reuss, A., Wladimiroff, J. W., Stewart, P. A. & Scholtmeijer, R. J. Non-invasive management of fetal obstructive uropathy. Lancet 2, 949–951 (1988).
Caldamone, A. & Woodard, J. in Campbell-Walsh Urology 10th edn (eds Wein, A. J., Kavoussi, L. R., Novick, A. C., Partin, A. W. & Peters. C. A.) 3310–3324 (Elsevier Saunders, Philadelphia, 2012).
Reinberg, Y., Chelimsky, G. & Gonzalez, R. Urethral atresia and the prune belly syndrome. Report of 6 cases. Br. J. Urol. 72, 112–114 (1993).
Robyr, R. et al. Correlation between ultrasound and anatomical findings in fetuses with lower urinary tract obstruction in the first half of pregnancy. Ultrasound Obstet. Gynecol. 25, 478–482 (2005).
Bernardes, L. S. et al. Keyhole sign: how specific is it for the diagnosis of posterior urethral valves? Ultrasound Obstet. Gynecol. 34, 419–423 (2009).
Abbott, J. F., Levine, D. & Wapner, R. Posterior urethral valves: inaccuracy of prenatal diagnosis. Fetal Diagn. Ther. 13, 179–183 (1998).
Harrison, M. R., Nakayama, D. K., Noall, R. & de Lorimier, A. A. Correction of congenital hydronephrosis in utero II. Decompression reverses the effects of obstruction on the fetal lung and urinary tract. J. Pediatr. Surg. 17, 965–974 (1982).
Glick, P. L., Harrison, M. R., Noall, R. A. & Villa, R. L. Correction of congenital hydronephrosis in utero III. Early mid-trimester ureteral obstruction produces renal dysplasia. J. Pediatr. Surg. 18, 681–687 (1983).
Harrison, M. R., Ross, N., Noall, R. & de Lorimier, A. A. Correction of congenital hydronephrosis in utero. I. The model: fetal urethral obstruction produces hydronephrosis and pulmonary hypoplasia in fetal lambs. J. Pediatr. Surg. 18, 247–256 (1983).
Clark, T. J. et al. Prenatal bladder drainage in the management of fetal lower urinary tract obstruction: a systematic review and meta-analysis. Obstet. Gynecol. 102, 367–382 (2003).
Morris, R. K., Malin, G. L., Khan, K. S. & Kilby, M. D. Systematic review of the effectiveness of antenatal intervention for the treatment of congenital lower urinary tract obstruction. BJOG 117, 382–390 (2010).
Glick, P. L., Harrison, M. R., Adzick, N. S., Noall, R. A. & Villa, R. L. Correction of congenital hydronephrosis in utero IV: in utero decompression prevents renal dysplasia. J. Pediatr. Surg. 19, 649–657 (1984).
Welsh, A., Agarwal, S., Kumar, S., Smith, R. P. & Fisk, N. M. Fetal cystoscopy in the management of fetal obstructive uropathy: experience in a single European centre. Prenat. Diagn. 23, 1033–1041 (2003).
Clifton, M. S., Harrison, M. R., Ball, R. & Lee, H. Fetoscopic transuterine release of posterior urethral valves: a new technique. Fetal Diagn. Ther. 23, 89–94 (2008).
Crombleholme, T. M. et al. Early experience with open fetal surgery for congenital hydronephrosis. J. Pediatr. Surg. 23, 1114–1121 (1988).
Holmes, N., Harrison, M. R. & Baskin, L. S. Fetal surgery for posterior urethral valves: long-term postnatal outcomes. Pediatrics 108, E7 (2001).
Crombleholme, T. M. et al. Fetal intervention in obstructive uropathy: prognostic indicators and efficacy of intervention. Am. J. Obstet. Gynecol. 162, 1239–1244 (1990).
Wu, S. & Johnson, M. P. Fetal lower urinary tract obstruction. Clin. Perinatol. 36, 377–390 (2009).
Deprest, J. A. et al. The making of fetal surgery. Prenat. Diagn. 30, 653–667 (2010).
Johnson, M. P. et al. Sequential urinalysis improves evaluation of fetal renal function in obstructive uropathy. Am. J. Obstet. Gynecol. 173, 59–65 (1995).
Nicolini, U. et al. Further predictors of renal dysplasia in fetal obstructive uropathy: bladder pressure and biochemistry of 'fresh' urine. Prenat. Diagn. 11, 159–166 (1991).
Nicolaides, K. H., Cheng, H. H., Snijders, R. J. & Moniz, C. F. Fetal urine biochemistry in the assessment of obstructive uropathy. Am. J. Obstet. Gynecol. 166, 932–937 (1992).
Evans, M. I. et al. Sequential invasive assessment of fetal renal function and the intrauterine treatment of fetal obstructive uropathies. Obstet. Gynecol. 77, 545–550 (1991).
Quintero, R. A. et al. In-utero percutaneous cystoscopy in the management of fetal lower obstructive uropathy. Lancet 346, 537–540 (1995).
Elder, J. S., Duckett, J. W. Jr & Snyder, H. M. Intervention for fetal obstructive uropathy: has it been effective? Lancet 2, 1007–1010 (1987).
Manning, F. A., Harrison, M. R. & Rodeck, C. Catheter shunts for fetal hydronephrosis and hydrocephalus. Report of the International Fetal Surgery Registry. N. Engl. J. Med. 315, 336–340 (1986).
Johnson, M. P. et al. In utero surgical treatment of fetal obstructive uropathy: a new comprehensive approach to identify appropriate candidates for vesicoamniotic shunt therapy. Am. J. Obstet. Gynecol. 170, 1770–1779 (1994).
McLorie, G., Farhat, W., Khoury, A., Geary, D. & Ryan, G. Outcome analysis of vesicoamniotic shunting in a comprehensive population. J. Urol. 166, 1036–1040 (2001).
Kousidis, G. et al. The long-term outcome of prenatally detected posterior urethral valves: a 10 to 23-year follow-up study. BJU Int. 102, 1020–1024 (2008).
Ylinen, E., Ala-Houhala, M. & Wikström, S. Prognostic factors of posterior urethral valves and the role of antenatal detection. Pediatr. Nephrol. 19, 874–879 (2004).
El-Ghoneimi, A. et al. Outcome of posterior urethral valves: to what extent is it improved by prenatal diagnosis? J. Urol. 162, 849–853 (1999).
Hutton, K. A., Thomas, D. F. & Davies, B. W. Prenatally detected posterior urethral valves: qualitative assessment of second trimester scans and prediction of outcome. J. Urol. 158, 1022–1025 (1997).
Mahony, B. S., Callen, P. W. & Filly, R. A. Fetal urethral obstruction: US evaluation. Radiology 157, 221–224 (1985).
Pluto Collaborative Study Group et al. PLUTO trial protocol: percutaneous shunting for lower urinary tract obstruction randomised controlled trial. BJOG 114, 904–905, e1–e4 (2007).
Ruano, R. et al. Fetal cystoscopy for severe lower urinary tract obstruction initial experience of a single center. Prenat. Diagn. 30, 30–39 (2010).
Quintero, R. A. et al. Percutaneous fetal cystoscopy and endoscopic fulguration of posterior urethral valves. Am. J. Obstet. Gynecol. 172, 206–209 (1995).
Morris, R. K., Ruano, R. & Kilby, M. D. Effectiveness of fetal cystoscopy as a diagnostic and therapeutic intervention for lower urinary tract obstruction: a systematic review. Ultrasound Obstet. Gynecol. 37, 629–637 (2011).
Fichter, M. A. et al. Fetal spina bifida repair current trends and prospects of intrauterine neurosurgery. Fetal Diagn. Ther. 23, 271–286 (2008).
Centers for Disease Control and Prevention (CDC). Racial/ethnic differences in the birth prevalence of spina bifida—United States 1995–2005. MMWR Morb. Mortal. Wkly Rep. 57, 1409–1413 (2009). Has an erratum.
Centers for Disease Control and Prevention (CDC). Racial/ethnic differences in the birth prevalence of spina bifida—United States 1995–2005 [erratum]. MMWR Morb. Mortal. Wkly Rep. 58, 61 (2009).
Prevention of neural tube defects: results of the Medical Research Council Vitamin Study. MRC Vitamin Study Research Group. Lancet 338, 131–137 (1991).
Recommendations for the use of folic acid to reduce the number of cases of spina bifida and other neural tube defects. MMWR Recomm. Rep. 41, 1–7 (1992).
Hubbard, W. K. Food standards: amendment of standards of identity for enriched grain products to require addition of folic acid. Federal Register [online], (1996).
Tedstone, A. et al. Fortification of selected foodstuffs with folic acid in the UK: consumer research carried out to inform policy recommendations. J. Public Health (Oxf.) 30, 23–29 (2008).
Honein, M. A., Paulozzi, L. J., Mathews, T. J., Erickson, J. D. & Wong, L. Y. Impact of folic acid fortification of the US food supply on the occurrence of neural tube defects. JAMA 285, 2981–2986 (2001).
Williams, L. J. et al. Prevalence of spina bifida and anencephaly during the transition to mandatory folic acid fortification in the United States. Teratology 66, 33–39 (2002).
Boulet, S. L. et al. Trends in the postfortification prevalence of spina bifida and anencephaly in the United States. Birth Defects Res. A Clin. Mol. Teratol. 82, 527–532 (2008).
Heffez, D. S., Aryanpur, J., Hutchins, G. M. & Freeman, J. M. The paralysis associated with myelomeningocele: clinical and experimental data implicating a preventable spinal cord injury. Neurosurgery 26, 987–992 (1990).
Tulipan, N. et al. The effect of intrauterine myelomeningocele repair on the incidence of shunt-dependent hydrocephalus. Pediatr. Neurosurg. 38, 27–33 (2003).
Bruner, J. P. et al. Fetal surgery for myelomeningocele and the incidence of shunt-dependent hydrocephalus. JAMA 282, 1819–1825 (1999).
Johnson, M. P. et al. Fetal myelomeningocele repair: short-term clinical outcomes. Am. J. Obstet. Gynecol. 189, 482–487 (2003).
Management of Myelomeningocele Study [online], (2010).
Adzick, N. S. et al. A randomized trial of prenatal versus postnatal repair of myelomeningocele. N. Engl. J. Med. 364, 993–1004 (2011).
Holmes, N. M., Nguyen, H. T., Harrison, M. R., Farmer, D. L. & Baskin, L. S. Fetal intervention for myelomeningocele: effect on postnatal bladder function. J. Urol. 166, 2383–2386 (2001).
Holzbeierlein, J. et al. The urodynamic profile of myelodysplasia in childhood with spinal closure during gestation. J. Urol. 164, 1336–1339 (2000).
Koh, C. J., DeFilippo, R. E., Borer, J. G., Khoshbin, S. & Bauer, S. B. Bladder and external urethral sphincter function after prenatal closure of myelomeningocele. J. Urol. 176, 2232–2236 (2006).
Clayton, D. B. et al. Long-term urological impact of fetal myelomeningocele closure. J. Urol. 186, 1581–1585 (2011).
Carr, M. Continence in patients undergoing fetal repair of their myelomeningocele [abstract 124]. AAP Section on Urology (2008).
Boulet, S. L. et al. Trends in the postfortification prevalence of spina bifida and anencephaly in the United States. Birth Defects Res. A Clin. Mol. Teratol. 82, 527–532 (2008).
De Wals, P. et al. Spina bifida before and after folic acid fortification in Canada. Birth Defects Res. A Clin. Mol. Teratol. 82, 622–629 (2008).
Bower, C., D'Antoine, H. & Stanley, F. J. Neural tube defects in Australia: trends in encephaloceles and other neural tube defects before and after promotion of folic acid supplementation and voluntary food fortification. Birth Defects Res. A Clin. Mol. Teratol. 85, 269–273 (2009).
Amarin, Z. O. & Obeidat, A. Z. Effect of folic acid fortification on the incidence of neural tube defects. Paediatr. Perinat. Epidemiol. 24, 349–351 (2010).
Author information
Authors and Affiliations
Contributions
D. Clayton researched data for the article, substantially contributed to the discussion of its content, wrote and reviewed and edited the manuscript before submission. J. W. Brock III substantially contributed to the discussion of the articles' content and reviewed and edited the manuscript before submission.
Corresponding author
Ethics declarations
Competing interests
The authors declare no competing financial interests.
Rights and permissions
About this article
Cite this article
Clayton, D., Brock, J. In utero intervention for urologic diseases. Nat Rev Urol 9, 207–217 (2012). https://doi.org/10.1038/nrurol.2012.9
Published:
Issue Date:
DOI: https://doi.org/10.1038/nrurol.2012.9
This article is cited by
-
Posterior Urethral Valves
Current Bladder Dysfunction Reports (2015)
-
Fetal therapy for the treatment of congenital bladder neck obstruction
Nature Reviews Urology (2014)


