Abstract
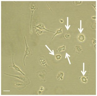
This 3-week protocol produces embryonic-like stem cells from human umbilical cord blood (CBEs) for neural differentiation using a three-step system (cell isolation/expansion/differentiation). The CBE isolation produces a highly purified fraction (CD45−, CD33−, CD7−, CD235a−) of small pluripotent stem cells (2–3 μm in diameter) coexpressing embryonic stem cell markers including Oct4 and Sox2. Initial CBE expansion is performed in high density (5–10 millions per ml) in the presence of extracellular matrix proteins and epidermal growth factor. Subsequent neural differentiation of CBEs requires sequential introduction of morphogenes, retinoic acid, brain-derived neurotrophic factor and cyclic AMP. Described methods emphasize defined media and reagents at all stages of the experiment comparable to protocols described for culturing human embryonic stem cells and cells from other somatic stem cell sources. Neural progenitor and cells generated from CBEs may be used for in vitro drug testing and cell-based assays and potentially for clinical transplantation.
This is a preview of subscription content, access via your institution
Access options
Subscribe to this journal
Receive 12 print issues and online access
265,23 € per year
only 22,10 € per issue
Rent or buy this article
Prices vary by article type
from$1.95
to$39.95
Prices may be subject to local taxes which are calculated during checkout








References
McGuckin, C.P. et al. Production of stem cells with embryonic characteristics from human umbilical cord blood. Cell Prolif. 38, 245–255 (2005).
Kucia, M. et al. Morphological and molecular characterization of novel population of CXCR4+ SSEA-4+ Oct-4+ very small embryonic-like cells purified from human cord blood: preliminary report. Leukemia 21, 297–303 (2007).
McGuckin, C.P. & Forraz, N. Potential for access to embryonic-like cells from human umbilical cord blood. Cell Prolif. 41 (suppl. 1): 31–40 (2008).
Ende, M. & Ende, N. Hematopoietic transplantation by means of fetal (cord) blood. A new method. Va. Med. Mon. 99, 276–280 (1972).
Buzañska, L., Machaj, E.K., Zabłocka, B., Pojda, Z. & Domañska-Janik, K. Human cord blood-derived cells attain neuronal and glial features in vitro. J. Cell Sci. 115, 2131–2138 (2002).
Jurga, M. et al. Neurogenic potential of human umbilical cord blood: neural-like stem cells depend on previous long-term culture conditions. J. Neurosci. Res. 83, 627–637 (2006).
Chen, N. et al. Trophic factor induction of human umbilical cord blood cells in vitro and in vivo. J. Neural. Eng. 4, 130–145 (2007).
Walczak, P. et al. Long-term cultured human umbilical cord neural-like cells transplanted into the striatum of NOD SCID mice. Brain Res. Bull. 74, 155–163 (2007).
Kang, K.S. et al. A 37-year-old spinal cord-injured female patient, transplanted of multipotent stem cells from human UC blood, with improved sensory perception and mobility, both functionally and morphologically: a case study. Cytotherapy 7, 368–373 (2005).
Willing, A.E. et al. Intravenous versus intrastriatal cord blood administration in a rodent model of stroke. J. Neurosci. Res. 73, 296–307 (2003).
McGuckin, C. et al. Embryonic-like stem cells from umbilical cord blood and potential for neural modeling. Acta Neurobiol. Exp. (Wars) 66, 321–329 (2006).
Sanberg, P.R. et al. Umbilical cord blood-derived stem cells and brain repair. Ann. NY Acad. Sci. 1049, 67–83 (2005).
Pan, G. & Thomson, J.A. Nanog and transcriptional networks in embryonic stem cell pluripotency. Cell Res. 17, 42–49 (2007).
Habich, A. et al. Early appearance of stem/progenitor cells with neural-like characteristics in human cord blood mononuclear fraction cultured in vitro. Exp. Hematol. 34, 914–925 (2006).
McGuckin, C.P., Forraz, N., Pettengell, R. & Thompson, A. Thrombopoietin, flt3-ligand and c-kit-ligand modulate HOX gene expression in expanding cord blood CD133 cells. Cell Prolif. 37, 295–306 (2004).
Imreh, M.P. et al. In vitro culture conditions favoring selection of chromosomal abnormalities in human ES cells. J. Cell. Biochem. 99, 508–516 (2006).
Buzañska, L., Jurga, M., Stachowiak, E.K., Stachowiak, M.K. & Domañska-Janik, K. Neural stem-like cell line derived from a nonhematopoietic population of human umbilical cord blood. Stem Cells Dev. 15, 391–406 (2006).
McGuckin, C.P., Basford, C., Hanger, K., Habibollah, S. & Forraz, N. Cord blood revelations: the importance of being a first born girl, big, on time and to a young mother. Early Hum. Dev. 83, 733–741 (2007).
Jurga, M., Buzanska, L., Małecki, M., Habich, A. & Domañska-Janik, K. Function of ID1 protein in human cord blood-derived neural stem-like cells. J. Neurosci. Res. 84, 993–1002 (2006).
Acknowledgements
Our work and the development of these protocols have been supported by: (i) the National Health Service Obstetrics and Gynaecology Directorate, Newcastle Hospitals Trust; (ii) Fondation Jerome LeJeune, Paris; (iii) Novus Sanguis adult stem cells charity, Paris; (iv) The Kuwaiti Government sponsorship of H.A.; and (v) The Blood Transfusion Service of Llubjana, Slovenia sponsorship of M.S.
Author information
Authors and Affiliations
Corresponding author
Rights and permissions
About this article
Cite this article
McGuckin, C., Jurga, M., Ali, H. et al. Culture of embryonic-like stem cells from human umbilical cord blood and onward differentiation to neural cells in vitro. Nat Protoc 3, 1046–1055 (2008). https://doi.org/10.1038/nprot.2008.69
Published:
Issue Date:
DOI: https://doi.org/10.1038/nprot.2008.69
This article is cited by
-
Increased Wnt/β-catenin signaling contributes to autophagy inhibition resulting from a dietary magnesium deficiency in injury-induced osteoarthritis
Arthritis Research & Therapy (2022)
-
Key Success Factors for Regenerative Medicine in Acquired Heart Diseases
Stem Cell Reviews and Reports (2020)
-
Induction of human umbilical cord mesenchymal stem cells into tissue-forming cells in a murine model: implications for pelvic floor reconstruction
Cell and Tissue Research (2018)
-
Prolonged Growth Hormone/Insulin/Insulin-like Growth Factor Nutrient Response Signaling Pathway as a Silent Killer of Stem Cells and a Culprit in Aging
Stem Cell Reviews and Reports (2017)
-
Umbilical cord blood-derived non-hematopoietic stem cells retrieved and expanded on bone marrow-derived extracellular matrix display pluripotent characteristics
Stem Cell Research & Therapy (2016)
Comments
By submitting a comment you agree to abide by our Terms and Community Guidelines. If you find something abusive or that does not comply with our terms or guidelines please flag it as inappropriate.