Abstract
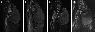
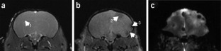
Many of the 5,500 threatened species of vertebrates found worldwide are highly protected and generally unavailable for scientific investigation. Here we describe a noninvasive protocol to visualize the structure and size of brain in postmortem specimens. We demonstrate its utility by examining four endangered species of kiwi (Apteryx spp.). Frozen specimens are thawed and imaged using MRI, revealing internal details of brain structure. External brain morphology and an estimate of brain volume can be reliably obtained by creating 3D models. This method has facilitated a comparison of brain structure in the different kiwi species, one of which is on the brink of extinction. This new approach has the potential to extend our knowledge of brain structure to species that have until now been outside the reach of anatomical investigation.
This is a preview of subscription content
Access options
Subscribe to Journal
Get full journal access for 1 year
$119.00
only $9.92 per issue
All prices are NET prices.
VAT will be added later in the checkout.
Tax calculation will be finalised during checkout.
Buy article
Get time limited or full article access on ReadCube.
$32.00
All prices are NET prices.






References
Corfield, J.R., Wild, J.M., Hauber, M.E., Parsons, S. & Kubke, M.F. Evolution of brain size in the Palaeognath lineage, with an emphasis on New Zealand ratites. Brain Behav. Evol. 71, 87–99 (2007).
Boire, D. & Baron, G. Allometric comparison of brain and main brain subdivisions in birds. J. Hirnforsch. 35, 49–66 (1994).
Iwaniuk, A.N. & Nelson, J.E. A comparative analysis of relative brain size in waterfowl (Anseriformes). Brain Behav. Evol. 57, 87–97 (2001).
Iwaniuk, A.N., Nelson, J.E., James, H.E. & Olson, S.L. A comparative test of the correlated evolution of flightlessness and relative brain size in birds. J. Zool. 263, 317–327 (2004).
Iwaniuk, A.N., Dean, K.M. & Nelson, J.E. Interspecific allometry of the brain and brain regions in parrots (psittaciformes): comparisons with other birds and primates. Brain Behav. Evol. 65, 40–59 (2005).
Clayton, N.S. Memory and the hippocampus in food-storing birds: a comparative approach. Neuropharmacology 37, 441–452 (1998).
Brenowitz, E.A. & Arnold, A.P. Interspecific comparisons of the size of neural song control regions and song complexity in duetting birds: evolutionary implications. J. Neurosci. 6, 2875–2879 (1986).
Brenowitz, E.A. Comparative approaches to the avian song system. J. Neurobiol. 33, 517–531 (1997).
Lefebvre, L., Nicolakakis, N. & Boire, D. Tools and brains in birds. Behaviour 139, 939–973 (2002).
Lefebvre, L., Whittle, P., Lascaris, E. & Finkelstein, A. Feeding innovations and forebrain size in birds. Anim. Behav. 53, 549–560 (1997).
Iwaniuk, A.N., Clayton, D.H. & Wylie, D.R. Echolocation, vocal learning, auditory localization and the relative size of the avian auditory midbrain nucleus (MLd). Behav. Brain Res. 167, 305–317 (2006).
Devoogd, T.J., Krebs, J.R., Healy, S.D. & Purvis, A. Relations between song repertoire size and the volume of brain nuclei related to song—comparative evolutionary analyses amongst oscine birds. Proc. Biol. Sci. 254, 75–82 (1993).
Owens, I.P. & Bennett, P.M. Ecological basis of extinction risk in birds: habitat loss versus human persecution and introduced predators. Proc. Natl. Acad. Sci. USA 97, 12144–12148 (2000).
Robinson, F.N. & Curtis, H.S. The vocal displays of the Lyrebirds (Menuridae). Emu 96, 258–275 (1996).
Huber, L., Rechberger, S. & Taborsky, M. Social learning affects object exploration and manipulation in keas, Nestor notabilis. Anim. Behav. 62, 945–954 (2001).
Ashwell, K.W. & Scofield, R.P. Big birds and their brains: paleoneurology of the New Zealand moa. Brain Behav. Evol. 71, 151–166 (2007).
Clendenon, J.L., Phillips, C.L., Sandoval, R.M., Fang, S. & Dunn, K.W. Voxx: a PC-based, near real-time volume rendering system for biological microscopy. Am. J. Physiol. Cell Physiol. 282, C213–C218 (2002).
Ebinger, P. Domestication and plasticity of brain organization in mallards (Anas-Platyrhynchos). Brain Behav. Evol. 45, 286–300 (1995).
Acknowledgements
We thank N. Duggan for assistance in producing brain photographs and M.E. Hauber for his contribution to the original funding and for useful comments during the development of this project. We are grateful to the staff of the Centre for Advanced MRI, in particular S. Winsor, S. Park and B. Pontré and also to the Biomedical Imaging Research Unit at the University of Auckland. We are also indebted to the New Zealand Department of Conservation for their support during this project, particularly C. Gardner and P. Graham for their invaluable assistance in obtaining kiwi specimens. This work was funded by the School of Biological Sciences PBRF Fund and by the Royal Society of New Zealand Marsden Fund.
Author information
Authors and Affiliations
Corresponding author
Ethics declarations
Competing interests
Brett Cowan provides consulting advice to Siemens Medical Systems (manufacturer of the clinical scanner used in the paper) in the area of cardiovascular clinical MRI through Auckland UniServices Limited, the commercial arm of the University of Auckland. This is in an area that is completely removed from the subject matter of the paper.
Rights and permissions
About this article
Cite this article
Corfield, J., Wild, J., Cowan, B. et al. MRI of postmortem specimens of endangered species for comparative brain anatomy. Nat Protoc 3, 597–605 (2008). https://doi.org/10.1038/nprot.2008.17
Published:
Issue Date:
DOI: https://doi.org/10.1038/nprot.2008.17
Further reading
-
Holistic description of new deep sea megafauna (Cephalopoda: Cirrata) using a minimally invasive approach
BMC Biology (2021)
-
A combined MR and CT study for precise quantitative analysis of the avian brain
Scientific Reports (2015)
-
Application of magnetic resonance imaging in zoology
Zoomorphology (2011)
Comments
By submitting a comment you agree to abide by our Terms and Community Guidelines. If you find something abusive or that does not comply with our terms or guidelines please flag it as inappropriate.