Abstract
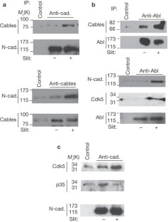
Binding of the secreted axon guidance cue Slit to its Robo receptor results in inactivation of the neural, calcium-dependent cell–cell adhesion molecule N-cadherin, providing a rapid epigenetic mechanism for integrating guidance and adhesion information. This requires the formation of a multimolecular complex containing Robo, Abl tyrosine kinase and N-cadherin. Here we show that on binding of Slit to Robo, the adaptor protein Cables is recruited to Robo-associated Abl and forms a multimeric complex by binding directly to N-cadherin-associated β-catenin. Complex formation results in Abl-mediated phosphorylation of β-catenin on tyrosine 489, leading to a decrease in its affinity for N-cadherin, loss of N-cadherin function, and targeting of phospho-Y489-β-catenin to the nucleus. Nuclear β-catenin combines with the transcription factor Tcf/Lef and activates transcription. Thus, Slit-induced formation of the Robo–N-cadherin complex results in a rapid loss of cadherin-mediated adhesion and has more lasting effects on gene transcription.
This is a preview of subscription content, access via your institution
Access options
Subscribe to this journal
Receive 12 print issues and online access
214,86 € per year
only 17,91 € per issue
Buy this article
- Purchase on SpringerLink
- Instant access to full article PDF
Prices may be subject to local taxes which are calculated during checkout








Similar content being viewed by others
References
Faissner, A. & Steindler, D. Boundaries and inhibitory molecules in developing neural tissues. Glia 13, 233–254 (1995).
Margolis, R. U. & Margolis, R. K. Chondroitin sulfate proteoglycans as mediators of axon growth and pathfinding. Cell Tissue Res. 290, 343–348 (1997).
Brose, K. et al. Slit proteins bind Robo receptors and have an evolutionarily conserved role in repulsive axon guidance. Cell 96, 795–806 (1999).
Balsamo, J., Ernst, H., Zanin, M. K. B., Hoffman, S. & Lilien, J. The interaction of the retina cell surface N-acetylgalactosaminylphosphotransferase with an endogenous proteoglycan ligand results in inhibition of cadherin-mediated adhesion. J. Cell Biol. 129, 1391–1403 (1995).
Balsamo, J. et al. Regulated binding of PTP1B-like phosphatase to N-cadherin: control of cadherin-mediated adhesion by dephosphorylation of β-catenin. J. Cell Biol. 134, 801–813 (1996).
Li, H., Leung, T.-C., Hoffman, S., Balsamo, J. & Lilien, J. Coordinate regulation of cadherin and integrin function by the chondroitin sulfate proteoglycan neurocan. J. Cell Biol. 149, 1275–1288 (2000).
Rhee, J. et al. Activation of the repulsive receptor Roundabout inhibits N-cadherin-mediated cell adhesion. Nature Cell Biol. 4, 798–805 (2002).
Lilien, J., Balsamo, J., Arregui, C. & Xu, G. Turn-off, drop-out: Functional state switching of cadherins. Dev. Dyn. 224, 18–29 (2002).
Arregui, C., Pathre, P., Lilien, J. & Balsamo, J. The nonreceptor tyrosine kinase fer mediates cross-talk between N-cadherin and β1-integrins. J. Cell Biol. 149, 1263–1274 (2000).
Brose, K. & Tessier-Lavigne, M. Slit proteins: key regulators of axon guidance, axonal branching, and cell migration. Curr. Opin. Neurobiol. 10, 95–102 (2000).
Kidd, T. et al. Roundabout controls axon crossing of the CNS midline and defines a novel subfamily of evolutionarily conserved guidance receptors. Cell 92, 205–215 (1998).
Ringstedt, T. et al. Slit inhibition of retinal axon growth and its role in retinal axon pathfinding and innervation patterns in the diencephalon. J. Neurosci. 20, 4983–4991 (2000).
Jin, Z. et al. Irx4-mediated regulation of Slit1 expression contributes to the definition of early axonal paths inside the retina. Development 130, 1037–1048 (2003).
Thompson, H., Camand, O., Barker, D. & Erskine, L. Slit proteins regulate distinct aspects of retinal ganglion cell axon guidance within the dorsal and ventral retina. J. Neurosci. 26, 8082–8091 (2006).
Bashaw, G. J., Kidd, T., Murray, D., Pawson, T. & Goodman, C. S. Repulsive axon guidance: Abelson and Enabled play opposing roles downstream of the roundabout receptor. Cell 101, 703–715 (2000).
Zukerberg, L. R. et al. Cables links cdk5 and c-Abl and facilitates cdk5 tyrosine phosphorylation, kinase upregulation, and neurite outgrowth. Neuron 26, 633–646 (2000).
Tsai, L.-H., Dalalle, I., Caviness, V. S. Jr, Chae, T. & Harlow, E. p35 is a neural-specific regulatory subunit of cyclin-dependent kinase 5. Nature 371, 419–423 (1994).
Lew, J. et al. A brain-specific activator of cyclin-dependent kinase 5. Nature 371, 423–426 (1994).
Patrick, G. N. et al. Conversion of p35 to p25 deregulates Cdk5 activity and promotes neurodegeneration. Nature 402, 615–622 (1999).
Kwon, Y. T., Gupta, A., Zhou, Y., Nikolic, M. & Tsai, L.-H. Regulation of N-cadherin-mediated adhesion by the p35-Cdk5 kinase. Curr. Biol. 10, 363–372 (2000).
Kesavapany, S. et al. p35/cdk5 binds and phosphorylates β-catenin and regulates β-catenin/presenilin-1 interaction. Eur. J. Neurosci. 13, 241–247 (2001).
Stein, E. & Tessier-Lavigne, M. Hierarchical organization of guidance receptors: Silencing of netrin attraction by Slit through a Robo–DCC receptor complex. Science 291, 1928–1938 (2001).
Wu, J. J., Afar, D. E., Phan, H., Witte, O. N. & Lam, K. S. Recognition of multiple substrate motifs by the c-ABL protein tyrosine kinase. Comb. Chem. High Throughput Screen 5, 83–91 (2002).
Xu, G., Arregui, C., Lilien, J. & Balsamo, J. PTP1B modulates the association of β-catenin with N-cadherin through binding to an adjacent and partially overlapping target site. J. Biol. Chem. 277, 49989–49997 (2002).
Xu, G. et al. Continuous association of cadherin with β-catenin requires phosphorylation of PTP1B by Fer. J. Cell Sci. 117, 3207–3219 (2004).
Lilien, J. & Balsamo, J. Rapid reversible changes in cadherin function regulated by tyrosine phosphorylation of β-catenin. Curr. Opin. Cell Biol. 17, 459–465 (2005).
Roura, S., Miravet, S., Piedra, J., de Herreros, A. G. & Dunach, M. Regulation of E-cadherin/catenin association by tyrosine phosphorylation. J. Biol. Chem. 274, 36734–36740 (1999).
Miravet, S. et al. Tyrosine phosphorylation of plakoglobin causes contrary effects on its association with desmosomes and adherens junction components and modulates β-catenin-mediated transcription. Mol. Cell. Biol. 23, 7391–7402 (2003).
Huber, A. H. & Weis, W. I. The structure of the β-catenin/E-cadherin complex and the molecular basis of diverse ligand recognition by β-catenin. Cell 105, 391–402 (2001).
Gao, C. Y., Stepp, M. A., Fariss, R. & Zelenka, P. Cdk5 regulates activation and localization of Src during corneal epithelial wound closure. J. Cell Sci. 117, 4089–4098 (2004).
Hsouna, A., Kim, Y. S. & VanBerkum, M. F. Abelson tyrosine kinase is required to transduce midline repulsive cues. J. Neurobiol. 57, 15–30 (2003).
Piedra, J. et al. p120 catenin-associated Fer and Fyn tyrosine kinases regulate β-catenin Tyr-142 phosphorylation and β-catenin–α-catenin interaction. Mol. Cell Biol. 23, 2287–2297 (2003).
Brembeck, F. H. et al. Essential role of BCL9-2 in the switch between β-catenin's adhesive and transcriptional functions. Genes Dev. 18, 2225–2230 (2004).
Brembeck, F. H., Rosario, M. & Birchmeier, W. Balancing cell adhesion and Wnt signaling, the key role of β-catenin. Curr. Opin. Genet. Dev. 16, 51–59 (2006).
Monga, S. P. et al. Hepatocyte growth factor induces Wnt-independent nuclear translocation of β-catenin after Met-β-catenin dissociation in hepatocytes. Cancer Res. 62, 2064–2071 (2002).
Sampietro, J. et al. Crystal structure of a β-catenin/BCL9/Tcf4 complex. Mol. Cell 24, 293–300 (2006).
Hoffmans, R. & Basler, K. BCL9-2 binds Arm/β-catenin in a Tyr142-independent manner and requires Pygopus for its function in Wg/Wnt signaling. Mech. Dev. 124, 59–67 (2007).
Kikuchi, A., Kishida, S. & Yamamoto, H. Regulation of Wnt signaling by protein-protein interaction and post-translational modifications. Exp. Mol. Med. 28, 1–10 (2006).
Behrens, J. & Lustig, B. The Wnt connection to tumorigenesis. Int. J. Dev. Biol. 8, 477–487 (2004).
Gottardi, C. J. & Gumbiner, B. M. Distinct molecular forms of β-catenin are targeted to adhesive or transcriptional complexes. J. Cell Biol. 167, 339–349 (2004).
Acknowledgements
We thank D. Willard for expert technical assistance. This work was supported by a grant from the NIH (EY13363).
Author information
Authors and Affiliations
Contributions
J.R. performed the experiments revealing the involvement of Cables, Cdk5 and p35. L.Z. provided Cables and Cdk5 cDNAs and all siRNA constructs. T.B. prepared stable cell lines expressing siRNAs and performed the transcriptional analyses. J.B. and J.L. provided intellectual guidance, resources, support and many critical experiments (J.B.).
Corresponding author
Ethics declarations
Competing interests
The authors declare no competing financial interests.
Supplementary information
Supplementary Information
Supplementary Figures 1, 2, 3, 4, 7 and Supplementary Data (PDF 569 kb)
Rights and permissions
About this article
Cite this article
Rhee, J., Buchan, T., Zukerberg, L. et al. Cables links Robo-bound Abl kinase to N-cadherin-bound β-catenin to mediate Slit-induced modulation of adhesion and transcription. Nat Cell Biol 9, 883–892 (2007). https://doi.org/10.1038/ncb1614
Received:
Accepted:
Published:
Issue Date:
DOI: https://doi.org/10.1038/ncb1614


