Abstract
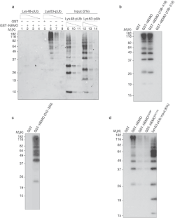
The transcription factor NF-κB is sequestered in the cytoplasm in a complex with IκB1. Almost all NF-κB activation pathways converge on IκB kinase (IKK), which phosphorylates IκB resulting in Lys 48-linked polyubiquitination of IκB and its degradation. This allows migration of NF-κB to the nucleus where it regulates gene expression2. IKK has two catalytic subunits, IKKα and IKKβ, and a regulatory subunit, IKKγ or NEMO. NEMO is essential for NF-κB activation, and NEMO dysfunction in humans is the cause of incontinentia pigmenti and hypohidrotic ectodermal dysplasia and immunodeficiency (HED–ID)3. The recruitment of IKK to occupied cytokine receptors, and its subsequent activation, are dependent on the attachment of Lys 63-linked polyubiquitin chains to signalling intermediates such as receptor-interacting protein (RIP). Here, we show that NEMO binds to Lys 63- but not Lys 48-linked polyubiquitin, and that single point mutations in NEMO that prevent binding to Lys 63-linked polyubiquitin also abrogates the binding of NEMO to RIP in tumour necrosis factor (TNF)-α-stimulated cells, the recruitment of IKK to TNF receptor (TNF-R) 1, and the activation of IKK and NF-κB. RIP is also destabilized in the absence of NEMO binding and undergoes proteasomal degradation in TNF-α-treated cells. These results provide a mechanism for NEMO's critical role in IKK activation, and a key to understanding the link between cytokine-receptor proximal signalling and IKK and NF-κB activation.
This is a preview of subscription content, access via your institution
Access options
Subscribe to this journal
Receive 12 print issues and online access
206,07 € per year
only 17,17 € per issue
Rent or buy this article
Prices vary by article type
from$1.95
to$39.95
Prices may be subject to local taxes which are calculated during checkout





References
Silverman, N. & Maniatis, T. NF-κB signaling pathways in mammalian and insect innate immunity. Genes Dev. 15, 2321–2342 (2001).
Ben-Neriah, Y. Regulatory functions of ubiquitination in the immune system. Nature Immunol. 3, 20–26 (2002).
Courtois, G., Smahi, A. & Israel, A. NEMO–IKKγ: linking NF-κB to human disease. Trends Mol. Med. 7, 427–430 (2001).
Kelliher, M. A. et al. The death domain kinase RIP mediates the TNF-induced NF-κB signal. Immunity 8, 297–303 (1998).
Zhang, S. Q., Kovalenko, A., Cantarella, G. & Wallach, D. Recruitment of the IKK signalosome to the p55 TNF receptor: RIP and A20 bind to NEMO (IKKγ) upon receptor stimulation. Immunity 12, 301–311 (2000).
Legler, D. F., Micheau, O., Doucey, M. A., Tschopp, J. & Bron, C. Recruitment of TNF receptor 1 to lipid rafts is essential for TNFα-mediated NF-κB activation. Immunity 18, 655–664 (2003).
Wertz, I. E. et al. De-ubiquitination and ubiquitin ligase domains of A20 downregulate NF-κB signalling. Nature 430, 694–699 (2004).
Deng, L. et al. Activation of the IκB kinase complex by TRAF6 requires a dimeric ubiquitin-conjugating enzyme complex and a unique polyubiquitin chain. Cell 103, 351–361 (2000).
Ozkaynak, E., Finley, D. & Varshavsky, A. The yeast ubiquitin gene: head-to-tail repeats encoding a polyubiquitin precursor protein. Nature 312, 663–666 (1984).
Hook, S. S., Orian, A., Cowley, S. M. & Eisenman, R. N. Histone deacetylase 6 binds polyubiquitin through its zinc finger (PAZ domain) and copurifies with deubiquitinating enzymes. Proc. Natl Acad. Sci. USA 99, 13425–13430 (2002).
Kanayama, A. et al. TAB2 and TAB3 activate the NF-κB pathway through binding to polyubiquitin chains. Mol Cell 15, 535–548 (2004).
Agou, F. et al. The trimerization domain of NEMO is composed of the interacting C-terminal CC2 and LZ coiled-coil subdomains. J. Biol. Chem. 279, 27861–27869 (2004).
Tegethoff, S., Behlke, J. & Scheidereit, C. Tetrameric oligomerization of IκB kinaseγ (IKKγ) is obligatory for IKK complex activity and NF-κB activation. Mol. Cell Biol. 23, 2029–2041 (2003).
Makris, C., Roberts, J. L. & Karin, M. The carboxyl-terminal region of IκB kinaseγ (IKKγ) is required for full IKK activation. Mol. Cell Biol. 22, 6573–6581 (2002).
Doffinger, R. et al. X-linked anhidrotic ectodermal dysplasia with immunodeficiency is caused by impaired NF-κB signaling. Nature Genet. 27, 277–285 (2001).
Pickart, C. M. & Fushman, D. Polyubiquitin chains: polymeric protein signals. Curr. Opin. Chem. Biol. 8, 610–616 (2004).
Trakshel, G. M. & Maines, M. D. Characterization of glutathione S-transferases in rat kidney. Alteration of composition by cis-platinum. Biochem J 252, 127–136 (1988).
Lee, T. H., Shank, J., Cusson, N. & Kelliher, M. A. The kinase activity of RIP1 is not required for tumor necrosis factor-α-induced IκB kinase or p38 MAP kinase activation or for the ubiquitination of RIP1 by TRAF2. J. Biol. Chem. 279, 33185–33191 (2004).
Kishida, S., Sanjo, H., Akira, S., Matsumoto, K. & Ninomiya-Tsuji, J. TAK1-binding protein 2 facilitates ubiquitination of TRAF6 and assembly of TRAF6 with IKK in the IL-1 signaling pathway. Genes Cells 10, 447–454 (2005).
Tenno, T. et al. Structural basis for distinct roles of Lys63- and Lys48-linked polyubiquitin chains. Genes Cells 9, 865–875 (2004).
Varadan, R. et al. Solution conformation of Lys63-linked di-ubiquitin chain provides clues to functional diversity of polyubiquitin signaling. J. Biol. Chem. 279, 7055–7063 (2004).
Rothwarf, D. M., Zandi, E., Natoli, G. & Karin, M. IKKγ is an essential regulatory subunit of the IκB kinase complex. Nature 395, 297–300 (1998).
Poyet, J. L. et al. Activation of the IκB kinases by RIP via IKKγ–NEMO-mediated oligomerization. J. Biol. Chem. 275, 37966–37977 (2000).
Lewis, J. et al. Disruption of hsp90 function results in degradation of the death domain kinase, receptor-interacting protein (RIP), and blockage of tumor necrosis factor-induced nuclear factor-κB activation. J. Biol. Chem. 275, 10519–10526 (2000).
Chen, G., Cao, P. & Goeddel, D. V. TNF-induced recruitment and activation of the IKK complex require Cdc37 and Hsp90. Mol. Cell 9, 401–410 (2002).
Thome, M. & Tschopp, J. TCR-induced NF-κB activation: a crucial role for Carma1, Bcl10 and MALT1. Trends Immunol. 24, 419–424 (2003).
Zhou, H. et al. Bcl10 activates the NF-κB pathway through ubiquitination of NEMO. Nature 427, 167–171 (2004).
Kovalenko, A. et al. The tumour suppressor CYLD negatively regulates NF-κB signalling by deubiquitination. Nature 424, 801–805 (2003).
Harhaj, E. W. et al. Somatic mutagenesis studies of NF-κB signaling in human T cells: evidence for an essential role of IKKγ in NF-κB activation by T-cell costimulatory signals and HTLV-I Tax protein. Oncogene 19, 1448–1456 (2000).
Schmidt-Supprian, M. et al. NEMO–IKKγ-deficient mice model incontinentia pigmenti. Mol. Cell 5, 981–992 (2000).
Vojtek, A. B. & Hollenberg, S. M. Ras–Raf interaction: two-hybrid analysis. Methods Enzymol. 255, 331–342 (1995).
Lorick, K. L. et al. RING fingers mediate ubiquitin-conjugating enzyme (E2)-dependent ubiquitination. Proc. Natl Acad. Sci. USA 96, 11364–11369 (1999).
Conze, D. B. et al. Posttranscriptional downregulation of c-IAP2 by the ubiquitin protein ligase c-IAP1 in vivo. Mol. Cell Biol. 25, 3348–3356 (2005).
Lioubin, M. N. et al. p150Ship, a signal transduction molecule with inositol polyphosphate-5-phosphatase activity. Genes Dev. 10, 1084–1095 (1996).
Ea, C. K., Sun, L., Inoue, J. & Chen, Z. J. TIFA activates IκB kinase (IKK) by promoting oligomerization and ubiquitination of TRAF6. Proc. Natl Acad. Sci. USA 101, 15318–15323 (2004).
Acknowledgements
We are grateful to Z. Liu for critical review of this manuscript. S.M.S. is a Kimmel Scholar. This research was supported by the Intramural Research Program of the National Institutes of Health, Center for Cancer Research, National Cancer Institute.
Author information
Authors and Affiliations
Corresponding author
Ethics declarations
Competing interests
The authors declare no competing financial interests.
Supplementary information
Supplementary Information
Supplementary Figures S1, S2 and S3 (PDF 1719 kb)
Rights and permissions
About this article
Cite this article
Wu, CJ., Conze, D., Li, T. et al. Sensing of Lys 63-linked polyubiquitination by NEMO is a key event in NF-κB activation. Nat Cell Biol 8, 398–406 (2006). https://doi.org/10.1038/ncb1384
Received:
Accepted:
Published:
Issue Date:
DOI: https://doi.org/10.1038/ncb1384
This article is cited by
-
Peptidase inhibitor (PI16) impairs bladder cancer metastasis by inhibiting NF-κB activation via disrupting multiple-site ubiquitination of NEMO
Cellular & Molecular Biology Letters (2023)
-
ESCRT-dependent STING degradation inhibits steady-state and cGAMP-induced signalling
Nature Communications (2023)
-
Deubiquitinases in cancer
Nature Reviews Cancer (2023)
-
Protein arginine deiminase 2 (PAD2) modulates the polarization of THP-1 macrophages to the anti-inflammatory M2 phenotype
Journal of Inflammation (2022)
-
ANKRD13a controls early cell-death checkpoint by interacting with RIP1 independent of NF-κB
Cell Death & Differentiation (2022)