Juvenile myelomonocytic leukemia (JMML) is a chronic and aggressive myeloid leukemia in children. Patients show hepatosplenomegaly, and leukocytosis associated with monocytosis that can infiltrate the spleen, liver and lungs. About 80% of patients with JMML have a genetic abnormality in their leukemia cells, including mutations of NF1, NRAS, KRAS, CBL or PTPN11.1 Occasionally JMML cases have been reported to be associated with clinical and laboratory findings compatible with autoimmune disease.2 We and Niemela et al.3 recently proposed a novel disease entity known as RALD (RAS-associated autoimmune-lymphoproliferative syndrome (ALPS)-like disease).3, 4 RALD shows ALPS-like clinical phenotypes associated with acquired RAS mutation at certain levels of hematopoietic stem cell differentiation involving the T, B and myeloid lineages. Given the shared genetic features of common abnormality of the RAS-MAPK signaling pathway but distinct prognostic features, an important question arises as to whether RALD and JMML can be discriminated by their clinical and biological characteristics.
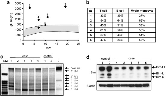
In the present work, we collected and analyzed the clinical and laboratory characteristics of six Japanese patients fulfilling the clinical and laboratory criteria of JMML associated with RAS mutation and followed for more than 3 years without hematopoietic stem cell transplantation (HSCT).5, 6, 7, 8 They are phenotypically distinct from patients with Cardio-Facio-Cutaneous syndrome or Noonan syndrome. Although they fulfilled the diagnostic criteria of JMML at the initial presentation, including granulocyte-macrophage colony-stimulating factor (GM-CSF) hyper-sensitivity of bone marrow progenitors (Table 1 and Supplementary Table 1), no disease progression or recurrence was seen after regression of the disease. The follow-up periods were between 3 and 19 years. Physical examination of these patients identified one case with persistent hepatosplenomegaly (Case 6, Supplementary Table 2). Laboratory data of these six patients exhibited normal white blood cell counts, except for one case (Case 4) with persistent monocytosis (Supplementary Table 2). T/B ratio of lymphocyte population showed increased B cell population of more than 40% in all the cases. Interestingly, four of six cases showed hyper-γ-globulinemia (Figure 1a, and Table 2) and five of the six cases showed positivity for autoimmune antibodies (Table 2), mainly that for antinuclear antibody. Cases 3 and 6 presented persistent autoimmune thrombocytopenia. Case 6 also presented anemia. Thus, this patient was very likely to have had Evans syndrome. Case 2 fulfilled the diagnostic criteria for systemic lupus erythematosus. These observations were compatible with the findings in RALD. So we investigated whether these six patients continued to carry RAS mutation in their hematopoietic systems many years after disease regression.
(a) Serum immunoglobulin G (IgG) levels of each case; the age-dependent normal value of serum IgG is shaded. (b) RAS-mutated allele frequency analyzed by sequencing after TA cloning. (c) The TCRβ DJ recombination of each case is shown by the PCR method. J: A Jurkat cell showing monoclonal cell growth. (d) Western blotting analysis of Bim expression. The expression of β-actin is shown as an internal control.
Direct DNA sequencing of PCR products of the RAS gene using peripheral blood mononuclear cells was performed. Surprisingly, all of the six patients showed persistent RAS mutation-positive clones, even after 3 to 19 years of follow-up after the initial diagnosis of JMML. Then we performed direct DNA sequencing of PCR products of the RAS gene in isolated T cells, B cells and myelomonocytic cells. Sequencing electropherograms showed the presence of mutated RAS alleles in all of these hematopoietic lineages (Supplementary Figure 1). To further quantitate mutated alleles in each lineage, we subcloned PCR-amplified RAS genes from T cells, B cells and myelomonocytic cells into TA cloning vector and counted the colonies that carried a mutated RAS allele. The frequency of mutated RAS alleles was between about 26 and 63% in each hematopoietic cell lineage (Figure 1b). To rule out the possibility that the mutant RAS allele was epigenetically silenced during the long survival period, we tested mRNA expression from the mutant RAS allele using peripheral blood T lymphocytes. Analysis of the reverse transcription (RT) PCR product revealed that the mutant allele was expressed as much as the wild-type allele (Supplementary Figure 2).
We had a chance to analyze GM-CSF hyper-sensitivity in case 2. In this patient, 67% of CFU-GM colonies in the bone marrow carried NRAS G13D mutation. Intriguingly, the colonies showed no GM-CSF hyper-sensitivity, even though NRAS G13D mutation was present and expressed (Supplementary Table 3 and Supplementary Figure 3). To analyze whether these RAS-mutated cells had a neoplastic feature, we investigated the clonality of peripheral T cells in cases with RAS mutation by evaluating the status of T-cell receptor β rearrangement. As was expected, a polyclonal but no monoclonal or oligoclonal band was obtained, indicating that cells proliferated polyclonally in spite of the presence of RAS mutation (Figure 1c). Bim is the protein that accelerates apoptosis, and reduced expression of Bim was a characteristic biochemical feature in RALD.3, 4 We investigated the expression of Bim using activated T cells from these individuals and found that all of the T-cell clones established from these five cases showed reduced expression of Bim protein (Figure 1d). All these findings were compatible with those we identified in RALD previously.
It has previously been recommended that HCST be performed in most patients with JMML. JMML with somatic PTPN11 mutation reportedly show unfavorable prognosis.9, 10 Although most of the JMML with RAS mutations also show an aggressive clinical course, a few of them achieve spontaneous remission. Matsuda et al.6 retrospectively analyzed natural history of 8 N- or KRAS-mutated JMML cases who did not receive HSCT in 75 cases collected in the registry of the MDS Committee of the Japanese Society of Pediatric Hematology. Four of these patients died due to disease progression, while the remaining four patients remained alive without disease progression. They also suggested G12S N- or KRAS-mutated JMML demonstrates a milder clinical course.5 Flotho et al.11 reported six cases of RAS-mutated JMML who survived without HSCT in 216 cases collected in the EWOG-MDS registry, and all six patients in their group had substitutions other than G12S. Then, we tested whether there is any difference of RAS-GTPase activity depending on the mutation type and found G12S substitution of KRAS is less deleterious for RAS-GTPase activity than G to D or V substitution (Supplementary Figure 4). Thus, further study will help to demonstrate genotype and phenotype relations in JMML cases with various RAS gene mutation.
In the largest retrospective series of JMML patients, 65% of patients exhibited hyper-γ-globulinemia, and 14–22% of patients exhibited autoimmunity.12 Four of the six patients evaluated in the present study exhibited hyper-γ-globulinemia and five of the six patients exhibited autoimmunity. These findings resemble RALD. Niemela et al.3 reported that some of their RALD cases displayed hyperleukocytosis during their clinical courses, which is compatible with JMML.
Our study demonstrates the persistent presence of RAS mutation-positive clones in a substantial proportion of circulating lymphocytes and myeloid cells many years after the diagnosis of JMML. Once in remission these patients are free from the hematological findings of JMML but carry the autoimmune phenotype. We believe there is a distinct subgroup of patients with JMML who survive without HSCT, and proposed current diagnostic criteria for JMML is not sufficient to rule out those who may survive long or spontaneously resolve without HSCT. Thus the indication of HSCT as an initial treatment modality for JMML should be revised carefully for at least some cases of RAS-mutated JMML, as some of these cases are clinically similar to RALD. Further study is needed to identify the molecular mechanism for clinical heterogeneity of JMML with RAS mutation, either the aggressive type or that with spontaneous regression, the latter of which might overlap with RALD.
Details of experimental procedure are provided in Supplemental data Materials and methods.
References
- 1
Loh ML . Recent advances in the pathogenesis and treatment of juvenile myelomonocytic leukaemia. Br J haematol 2011; 152: 677–687.
- 2
Kitahara M, Koike K, Kurokawa Y, Sawai N, Mori T, Nakazawa K et al. Lupus nephritis in juvenile myelomonocytic leukemia. Clin Nephrol 1999; 51: 314–318.
- 3
Niemela JE, Lu L, Fleisher TA, Davis J, Caminha I, Natter M et al. Somatic KRAS mutations associated with a human nonmalignant syndrome of autoimmunity and abnormal leukocyte homeostasis. Blood 2011; 117: 2883–2886.
- 4
Takagi M, Shinoda K, Piao J, Mitsuiki N, Takagi M, Matsuda K et al. Autoimmune lymphoproliferative syndrome-like disease with somatic KRAS mutation. Blood 2011; 117: 2887–2890.
- 5
Matsuda K, Shimada A, Yoshida N, Ogawa A, Watanabe A, Yajima S et al. Spontaneous improvement of hematologic abnormalities in patients having juvenile myelomonocytic leukemia with specific RAS mutations. Blood 2007; 109: 5477–5480.
- 6
Matsuda K, Yoshida N, Miura S, Nakazawa Y, Sakashita K, Hyakuna N et al. Long-term haematological improvement after non-intensive or no chemotherapy in juvenile myelomonocytic leukaemia and poor correlation with adult myelodysplasia spliceosome-related mutations. Br J haematol 2012; 157: 647–650.
- 7
Imamura M, Imai C, Takachi T, Nemoto T, Tanaka A, Uchiyama M . Juvenile myelomonocytic leukemia with less aggressive clinical course and KRAS mutation. Pediatr Blood Cancer 2008; 51: 569.
- 8
Doisaki S, Muramatsu H, Shimada A, Takahashi Y, Mori-Ezaki M, Sato M et al. Somatic mosaicism for oncogenic NRAS mutations in juvenile myelomonocytic leukemia. Blood 2012; 120: 1485–1488.
- 9
Yoshida N, Yagasaki H, Xu Y, Matsuda K, Yoshimi A, Takahashi Y et al. Correlation of clinical features with the mutational status of GM-CSF signaling pathway-related genes in juvenile myelomonocytic leukemia. Pediatr Res 2009; 65: 334–340.
- 10
Park HD, Lee SH, Sung KW, Koo HH, Jung NG, Cho B et al. Gene mutations in the Ras pathway and the prognostic implication in Korean patients with juvenile myelomonocytic leukemia. Ann Hematol 2012; 91: 511–517.
- 11
Flotho C, Kratz CP, Bergstrasser E, Hasle H, Stary J, Trebo M et al. Genotype-phenotype correlation in cases of juvenile myelomonocytic leukemia with clonal RAS mutations. Blood 2008; 111: 966–967.
- 12
Niemeyer CM, Arico M, Basso G, Biondi A, Cantu Rajnoldi A, Creutzig U et al. Chronic myelomonocytic leukemia in childhood: a retrospective analysis of 110 cases. European Working Group on Myelodysplastic Syndromes in Childhood (EWOG-MDS). Blood 1997; 89: 3534–3543.
Acknowledgements
We thank Shino Limonov for technical support. This work was supported by a Grant-in-Aid from the Ministry of Education, Science and Culture of Japan (No. 20390302 to SM) and by Grants-in-Aid for Cancer Research from the Ministry of Health, Labor and Welfare of Japan (Nos. 20-4 and 19-9 to SM and MT).
Author information
Affiliations
Corresponding author
Ethics declarations
Competing interests
The authors declare no conflict of interest.
Additional information
Supplementary Information accompanies this paper on the Leukemia website
Supplementary information
Rights and permissions
About this article
Cite this article
Takagi, M., Piao, J., Lin, L. et al. Autoimmunity and persistent RAS-mutated clones long after the spontaneous regression of JMML. Leukemia 27, 1926–1928 (2013). https://doi.org/10.1038/leu.2013.82
Published:
Issue Date:
Further reading
-
Clinical Spectrum of Ras-Associated Autoimmune Leukoproliferative Disorder (RALD)
Journal of Clinical Immunology (2021)
-
After 95 years, it's time to eRASe JMML
Blood Reviews (2020)
-
Juvenile myelomonocytic leukemia – A bona fide RASopathy syndrome
Best Practice & Research Clinical Haematology (2020)
-
Juvenile myelomonocytic leukemia: who’s the driver at the wheel?
Blood (2019)
-
Gene mutations do not operate in a vacuum: the increasing importance of epigenetics in juvenile myelomonocytic leukemia
Epigenetics (2019)
