Abstract
OBJECTIVE:
To determine the antenatal risk factors associated with neonatal lenticulostriate vasculopathy (LSV).
STUDY DESIGN:
Women in preterm labor were randomized to magnesium sulfate (MgSO4), other tocolytic, or saline control. The surviving babies underwent head ultrasounds (HUS) (weeks of life 1, 2, and 4) and periodic developmental examinations (months 4, 8, 12, and 18).
RESULTS:
Of 140 infants, 17.1% (24) had neonatal intraventricular hemorrhage (IVH), and 10.0% (14) had LSV (half of the latter (7 of 14) had both IVH and LSV). In a regression model in which other risk factors were controlled for, the association between antenatal exposures to tocolytic MgSO4 ≥50 g and LSV were significant (adjusted odds ratio (OR), 8.3; 95% confidence interval (CI), 1.5 to 45.0; p=0.01).
CONCLUSION:
Based on our data and their analyses, we infer that antenatal exposure to high-dosage, tocolytic MgSO4 may be associated with LSV.
INTRODUCTION
A relationship between acquired congenital infections and vascular damage in the thalami and basal ganglia was first described as early as the 1960s, following a rubella epidemic in Philadelphia. On post-mortem examinations of nine infants with congenital rubella syndrome, Rorke and Spiro1 found deposits of amorphous material in the walls of brainstem blood vessels. In 1988, Teele et al.,2 identified a rare mineralizing lenticulostriate vasculopathy (LSV) in the basal ganglia and thalami of 12 neonates among the 4500 cranial sonograms in their review. Eight of these children had congenital infection (rubella, n=2; cytomegalovirus (CMV), n=5; and, syphilis, n=1). Three babies had trisomy 13, and one child had no identifiable, associated pathologic diagnosis. The investigators were able to correlate sonographic abnormalities with neuropathology in four children who had also undergone autopsies. They concluded that basophilic deposits (mineralization) or hypercellularity, such as that seen in vasculitis, were responsible for the echogenicity seen by them in the blood vessel walls of the basal ganglia and thalami during the course of their ultrasound review. Of interest, the basophilic deposits in the autopsy specimens stained for iron, but not for calcium or fibrin.
Others, for example, Hughes et al.,3 have also noted the rarity of finding LSV on routine head ultrasonography. After reviewing their data, the authors reported that the prevalence of mineralizing vasculopathy was 1.8% (25 of 1324 infants). Although four of the babies with LSV had congenital CMV infection, other pathologic associations included the presence of trisomies 21 and 13, immune hydrops, and fetal alcohol syndrome. More recently, Hemachandra et al.,4 in contradistinction to other investigators, shared the opinion that LSV might be more common among preterm babies than had been previously reported. In their retrospective study of infants born at <35 weeks gestation, when using a sophisticated 7.5-MHz transducer for diagnosis, the prevalence of LSV was found to be 4.6% (21 of 453). Infants with mineralizing vasculopathy were less likely to have been exposed to antenatal steroids and antibiotics, were more likely to have lower Apgar scores, and were more likely to have abnormal muscle tone at 6 months of age.
During the course of the Magnesium and Neurologic Endpoints Trial (acronym, MagNET), as specified by its research protocol, we did head ultrasounds (HUS) of enrolled infants in order to look for the presence of neonatal intraventricular hemorrhage (IVH) and other sonographic abnormalities, including LSV. Previously, we have reported an association between higher levels of maternal serum ionized magnesium (iMg) at the time of obstetric delivery and the subsequent occurrence of neonatal IVH.5 Our current report evaluates the risk factors for the occurrence of LSV among infants enrolled in the study.
MATERIAL AND METHODS
MagNET was undertaken in order to evaluate whether antenatal magnesium sulfate (MgSO4) given to women in preterm labor could prevent death, neonatal IVH, periventricular leukomalacia (PVL), and subsequent cerebral palsy among surviving children. Since women in preterm labor who have advanced cervical dilatation (>4 cm) on admission to Labor and Delivery Units are not usually offered tocolysis, there were four arms in the trial. In the “tocolytic arms,” women in active preterm labor (>24 and <34 completed weeks of gestation), and in whom the cervix was dilated <4 cm, were randomized to either MgSO4 (4 g bolus followed by an infusion of 2 to 3 g of MgSO4 per hour) or to “other” tocolytic (ritodrine, terbutaline, indomethacin, or nifedipine) treatment chosen openly by the attending clinician. In the doubly masked “preventive arms,” women having preterm labor, in which tocolysis was not appropriate, were randomized to either a 4 g intravenous bolus of MgSO4 only (without additional infusion of MgSO4) or to saline control without magnesium. Mothers with pre-eclampsia were excluded from the trial since use of MgSO4 is the universal standard of care in the United States for seizure prophylaxis in pre-eclampsia, thus, they could not be ethically randomized. The Institutional Review Board, University of Chicago, approved the research protocol for MagNET.
On admission, mothers in preterm labor were screened for trial eligibility and informed consent was obtained. To ensure balance in the trial, we used a computerized randomization program written by Information Medical Services, Bethesda, MD under contract to the National Institute for Neurological Disorders and Stroke (NINDS), National Institutes of Health (NIH). Mothers were randomized into stratified blocks of six each based on race, gestational age (≤28 versus >28 weeks), and fetal plurality (twins versus singleton). Triplet gestations and other higher order multiple gestations were excluded.
We prospectively collected relevant information on maternal, obstetric, and neonatal variables. In addition to collecting maternal blood at delivery, we collected umbilical cord venous blood samples for serum ionized magnesium and plasma interleukin-6 (IL-6) levels, obtained bacterial cultures from the chorioamnion space between the placental membranes,6 and did gross and microscopic histopathology on the placentas. Technicians and investigators processing the blood specimens for iMg and IL-6 were masked to health outcomes. A hospital staff pathologist did primary examinations of the umbilical cords and placentas, but a specially trained perinatal pathologist confirmed histologic findings, including funisitis (transmural migration of neutrophils through the walls of umbilical cord blood vessels (a form of hypercellular infiltration)), at secondary review. To ensure absence of bias, each pathologist was masked to the IL-6 concentrations from the placentas being evaluated. The bacteriology, umbilical cord venous plasma IL-6 values, and the placental findings of funisitis and histologic chorioamnionitis in MagNET have been reported previously,7, 8, 9 as have our findings dealing with the relationships between Fetal Inflammatory Response Syndrome (FIRS) and impaired neurological outcomes.10
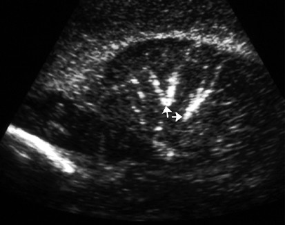
In the neonatal period, surviving children underwent a minimum of three HUS occurring in the first, second, and fourth weeks of life. These prospective studies were interpreted by two pediatric neurosonologists at the University of Chicago Children's Hospital (one of whom was DY). Papile grading of neonatal IVH,11 and diagnosis of PVL and LSV were made by consensus. Any infant deemed to have PVL by sonography also underwent magnetic resonance imaging. LSV was defined as the presence of bright, echogenic, linearly oriented vessels in the basal ganglia and thalamus. Follow-up developmental examinations were conducted at 4, 8, 12, and 18 corrected months of age.
STATISTICAL ANALYSIS
Data analyses in this study were performed primarily at the NINDS, NIH, Bethesda, MD. We used χ2, Student's t-test, the Fisher exact test, and multivariable logistic regression, where appropriate (Stata statistical software [5.0], 1997. College Station, TX: Stata Corporation; or LogXact [4.0], 1996. Cambridge, MA: CYTEL Software Corporation). All tests of statistical significance were two-sided, with significance being defined as α<0.05. The sample size determinations for the trial were based on anticipated reductions in the occurrence of neonatal IVH following the use of antenatal, intravenous MgSO4.12
RESULTS
From October, 1995 through January, 1997, we screened 194 women in preterm labor for participation in MagNET; 157 were found to be eligible, and 149 gave informed consent. Based on their cervical dilatation, as discussed above, participating mothers were randomized to either the “tocolytic” or the “prevention” arms of the trial. These 149 women gave birth to 165 babies (133 singletons and 16 pairs of twins). After randomization, the women in each treatment arm were found to be similar in maternal age, race, parity, gestational length, fetal plurality, and absence or presence of preterm premature rupture of the membranes (see the official report of MagNET for more detailed information about these variables).13 In the “tocolytic” arms, there were 46 maternal randomizations (37 singletons+nine pairs of twins=55 babies) to MgSO4, and 46 randomizations (41 singletons+five pairs of twins=51 total babies) to “other” tocolytics. In the preventive arms, there were 29 maternal randomizations (28 singletons+one pair of twins=30 total babies) to prophylactic magnesium, and 28 randomizations (27 singletons+one pair of twins=29 total babies) to saline control.
Among 140 infants in the study for whom both LSV and IVH data were available, we diagnosed LSV in 10.0% (14 of 140). Neonatal IVH was found in 17.1% (24 of 140) of infants (Grade I, n=19; Grade II, n=0; Grade III, n=5; and Grade IV, n=0). Among the 14 babies who had LSV, 50% (seven of 14) also had neonatal IVH (Grade I, n=5; Grade III, n=2) (two-sided Fisher's exact test, p=0.002). One child was found to have PVL. (Figure 1 is the photograph of an HUS image from a baby in MagNET, who developed mineralizing vasculopathy. Figure 2 is a Doppler image showing that blood flow is not impeded through the striate vessels, thus the hyperechogenicity occurs in the walls of blood vessels and not in their lumina.) There were no statistically significant differences by univariate analysis in the maternal and demographic variables among babies who had LSV as compared to babies who did not (Table 1). None of the babies were found to have clinical evidence for congenital infections (rubella, CMV, or syphilis), although the presence of funisitis in some of these children (see below) could reflect the presence of an infectious or inflammatory condition. Only one baby with LSV had major congenital anomalies (esophageal atresia with a distal tracheo-esophageal fistula, ventricular septal defect, and 13 left ribs), and none of the babies with LSV had chromosomal abnormalities.
Color Doppler energy in sagittal imaging of the same baby. The thalamostriate vessels, although highly echogenic, are not occluded since blood flow is demonstrated. Yellow shading illustrates higher velocity, midstream flow in the central lumen, whereas the red shading represents the slower flow velocity at the periphery of the lumen (note arrows in northeast quadrant image).
Among 22 obstetrical variables that we evaluated (Table 2), only Apgar1 <7 (p=0.01), noncephalic presentation of a singleton or sibling A of twins (p=0.04), and total MgSO4 exposure ≥50 g (p<0.048) significantly predicted occurrence of LSV on univariate analysis. The decision to dichotomize magnesium exposure at 50 g was based on our previous reports14, 15 that showed increased mortality following exposure to high doses of MgSO4. Two other variables were marginally significant in predicting LSV occurrence: extremely low birth weight (ELBW, <1500 g) ((p=0.09) and funisitis (p=0.07). There was a highly significant association (p<0.001) between being a twin and exposure to ≥50 g of MgSO4.
To control for possible confounding among the variables that were at least marginally associated with occurrence of LSV by univariate analysis (p<0.10), we performed several multivariate logistic regressions. In a trivariable regression evaluating the relationships among ELBW, funisitis, and exposure to ≥50 g magnesium, only the latter was found to be significant. Funisitis showed a trend towards significance (Table 3). In addition, because there was such a strong association between MgSO4 exposure and twin gestations, we did multivariate regressions controlling for twins. Two such regressions were necessary because no placental pathology had been performed in the one twin having LSV. Thus, it was necessary to impute either a “0” (funisitis absent) or a “1” (funisitis present), the only two possibilities, in these regressions. In both analyses, MgSO4 exposure ≥50 g was significant (adjusted (adj) odds ratio (OR) 4.2, 95% confidence interval (CI) 1.2 to 14.7, p=0.03; adj OR 4.4, 95% CI 1.3 to 15.6, p=0.02; respectively).
As funisitis appeared to be associated with LSV and represents an inflammatory or infectious risk factor possibly separate from magnesium exposure, we explored its role in relation to magnesium (Table 4). Of the 14 babies who had LSV, umbilical cord histology was known for 13; among these, five had funisitis and eight did not. Of those who had funisitis, only one child had been exposed to MgSO4 (4 g). Thus, for this subgroup, the mean exposure to MgSO4 was 0.8 g, and the median exposure was 0 g. Among the eight children who did not have funisitis, all but one had been exposed to magnesium; in this subgroup, the mean exposure to MgSO4 was 152 g, and the median exposure was 52 g. Thus, infants with LSV, but without funisitis, were significantly more likely to have received MgSO4 as compared to babies with both LSV and funisitis (Mann–Whitney U-test, p=0.02). Confirming the preceding, the median umbilical cord vein (iMg) level at delivery was 0.69 mmol/l among the eight babies with LSV, but without funisitis, as compared to a level of 0.44 mmol/l among the five babies with both LSV and funisitis (Mann–Whitney U-test, p=0.03).
Since funisitis and MgSO4 appeared to be independent predictors of LSV, we analyzed separately the subset of infants in MagNET who did not have funisitis (n=98). Among total magnesium exposure, low Apgar,1 birth weight <1000 g, and nonvertex presentation, only exposure to MgSO4 ≥50 g remained statistically significant (adj OR 8.3, 95% CI 1.5 to 45.0, p=0.01) (Table 5) in multivariable logistic regressions. Lastly, to help solidify the belief that mineralizing vasculopathy is a lesion that primarily occurs during gestation, rather than as a result of postnatal events, we did additional analyses involving neonatal variables (Table 6). Among these, patent ductus arteriosus (p=0.07) and need for ventilator usage (p=0.08) were marginally significant. However, in a multivariable logistic regression that included ELBW, funisitis, patent ductus arteriosus, ventilator usage, and total MgSO4 ≥50 g, only the latter remained significant. Thus, the etiology of LSV is, in fact, more likely to be a consequence of exposure to antenatal, not postnatal, risk factors.
DISCUSSION
In our secondary, but multivariate logistic regression analyses of numerous risk factors, exposures to ≥50 g of MgSO4 were found to be significantly associated with the LSV. Although much of the previous literature on this subject implicates inflammation, often in the form of rarely-occurring congenital infection as an important risk factor for this lesion, our study does not duplicate those reports. However, in our data set, the statistical trend for the variable, histologic funisitis, a possible surrogate for congenital inflammation, is consistent with a doubling for the risk of developing LSV (although not a statistically significant one in these analyses). Nonetheless, because the numbers involved are small (funisitis was identified histologically in five of the 14 LSV cases), a Type II statistical error should not be ruled out as a possible explanation for the absence of significance in regard to funisitis being an independent predictor of LSV.
Of interest, the prevalence of LSV (10%) among MagNET babies was substantially higher than what is generally reported in the medical literature, even among very preterm infants. The prevalence of LSV was found to be 0.2–0.4% in retrospective studies that used radiology reports to determine the diagnosis.2, 3 In other retrospective studies in which investigators reviewed the actual sonographic images of infants in order to determine the presence of LSV, instead of reviewing the written reports only, the prevalence was found to range higher—from 2 to 6%.16, 17 A prospective study by Makhoul et al.18 found LSV in 2.4% (21 of 857) of infants, but the population was heterogeneous, including both term and preterm deliveries. In studies limited to preterm infants whose images were reviewed, the prevalence was found to be approximately 5%.3, 19 As it happens, the higher prevalence of LSV in MagNET may result from the fact that the data were collected prospectively and that the lead neurosonographer for the study (DY) had previous experience in properly diagnosing LSV.20 In addition, if MgSO4 does, in fact, pose a special risk for the development of LSV, then the high prevalence of LSV in this study may actually result from the exposure to magnesium. We are not aware of any previous research evaluating the risk of LSV in light of tocolytic MgSO4 exposure.
Although magnesium has been found to protect against brain damage in certain experimental settings via diminished neuronal apoptosis,21 diminished neuronal loss with imposed ischemia,22 and reduced oxidative neuronal damage,23 other studies have not identified such a benefit.24, 25, 26, 27 Indeed, we have previously shown that in this cohort of babies, higher magnesium exposure levels found in mothers at the time of their delivery are associated with increased risk for subsequent brain damage (neonatal IVH)5 in their babies.
The precise neurological implications for newborns who have LSV are not well established. Some clinicians claim that there are no recognizable neurological morbidities when such infants are followed long term.28 Others claim that babies with LSV are at increased risk for having fine motor, cognitive, and behavioral developmental disorders,19 and hypertonia.5 It is likely that the prognosis in babies with LSV is driven by comorbidities. For example, Wang et al.16 suggest that the prognosis is good except in those babies who had chromosomal disorders or inborn errors of metabolism. Similar comments about guarded prognosis would almost certainly pertain to congenital infections, meningitis, and untreated hypothyroidism. However, the prognosis for infants with LSV who have no other recognized, predisposing factors remains unsettled and requires additional study. This is particularly true if magnesium contributes to LSV, as we hypothesize here, in the absence of other risk factors.
Three principal reasons may explain the association of magnesium with LSV seen in our data set. First, magnesium may have a direct effect on causing either cellular infiltration or calcium deposition in the blood vessel walls of the thalamus and basal ganglia. Magnesium is known to have effects on cerebral vasculature by causing vasodilation or diminishing vasoconstriction, most likely working through thromboxane or other prostaglandin pathways,29, 30, 31 although it is not reported to cause inflammation or calcific deposition in vessels. Second, magnesium could modify the effect of another biological mechanism that promotes the occurrence of LSV. For example, magnesium could enhance the effects of relatively low serum thyroid values32 or an unmeasured brain damage promoting molecule such as tumor necrosis factor alpha.33 Third, the association of magnesium with LSV could be silently confounded by another variable or risk factor not assessed in this cohort.
In regard to the limitations of our study, it is a secondary analysis, albeit taken from a database extracted from a prospective clinical trial. Strengths include: (a) the availability of (iMg) levels, which reduces the likelihood of misclassification, and (b) the large amount of information on potential confounders that was collected prospectively. Naturally, our findings concerning LSV, need to be confirmed or refuted by the work of other colleagues or by us in other data sets. Nonetheless, as opposed to its proper usage as a seizure prophylactic in pre-eclampsia,34 there is no evidence basis for the use of MgSO4 as a tocolytic. Furthermore, there is ever mounting proof that the use of magnesium for tocolysis is associated with severe, adverse health outcomes in babies,35 including, perhaps, the consequences that may be associated with the occurrence of LSV.
References
Rorke LB, Spiro AJ . Cerebral lesions in congenital rubella syndrome. J Pediatr 1967;70:243–255.
Teele RL, Hernanz-Schulman M, Sotrel A . Echogenic vasculature in the basal ganglia of neonates: a sonographic sign of vasculopathy. Radiology 1988;169:423–427.
Hughes P, Weinberger E, Shaw DW . Linear areas of echogenicity in the thalami and basal ganglia of neonates: an expanded association. Work in progress. Radiology 1991;179:103–105.
Hemachandra AH, Oravec D, Collin M, Tafari N, Mhanna MJ . Early and late postnatal identification of isolated lenticulostriate vasculopathy in preterm infants: associated findings. J Perinatol 2003;23:20–23.
Mittendorf R, Dambrosia J, Dammann O, et al. Association between maternal serum ionized magnesium levels at delivery and neonatal intraventricular hemorrhage. J Pediatr 2002;140:540–546.
Hillier SL, Martius J, Krohn M, Kiviat N, Holmes KK, Eschenbach DA . A case–control study of chorioamnionic infection and histologic chorioamnionitis in prematurity. N Engl J Med 1988;319:972–978.
Mittendorf R, Roizen N, Moawad AH, Khoshnood B, Lee KS . Association between cerebral palsy and coagulase-negative staphylococci. Lancet 1999;354:1875–1876.
Mittendorf R, Covert R, Kohn J, Roizen N, Khoshnood B, Lee KS . The association of coagulase-negative staphylococci isolated from the chorioamnion at delivery and subsequent development of cerebral palsy. J Perinatol 2001;21:3–8.
Naccasha N, Hinson R, Montag A, Ismail M, Bentz L, Mittendorf R . Association between funisitis and elevated interleukin-6 in cord blood. Obstet Gynecol 2001;97:220–224.
Mittendorf R, Montag AG, MacMillan W, et al. Components of the systemic fetal inflammatory response syndrome as predictors of impaired neurologic outcomes in children. Am J Obstet Gynecol 2003;188:1438–1446.
Papile LA, Burstein J, Burstein R, Koffler H . Incidence and evolution of subependymal and intraventricular hemorrhage: a study of infants with birth weights less than 1,500 gm. J Pediatr 1978;92:529–534.
Kuban KC, Leviton A, Pagano M, Fenton T, Strassfeld R, Wolff M . Maternal toxemia is associated with reduced incidence of germinal matrix hemorrhage in premature babies. J Child Neurol 1992;7:70–76.
Mittendorf R, Dambrosia J, Pryde PG, et al. Association between use of antenatal magnesium sulfate in preterm labor and adverse health outcomes in children. Am J Obstet Gynecol 2002;186:1111–1118.
Mittendorf R, Pryde P, Khoshnood B, Lee KS . If tocolytic magnesium is associated with total pediatric mortality, what is its impact? Obstet Gynecol 1998;92:308–311.
Scudiero R, Khoshnood B, Pryde PG, Lee KS, Mittendorf R . Perinatal death and tocolytic magnesium sulfate. Obstet Gynecol 2000;96:178–182.
Wang HS, Kuo MF, Chang TC . Sonographic lenticulostriate vasculopathy in infants: some associations and a hypothesis. Am J Neuroradiol 1995;16:97–102.
Shefer-Kaufman N, Mimouni FB, Stavorovsky Z, Meyer JJ, Dollberg S . Incidence and clinical significance of echogenic vasculature in the basal ganglia of newborns. Am J Perinatol 1999;16:315–319.
Makhoul IR, Eisenstein I, Sujov P, et al. Neonatal lenticulostriate vasculopathy: further characterisation. Arch Dis Child Fetal Neonatal Ed 2003;88:F410–4.
Chamnanvanakij S, Rogers CG, Luppino C, Broyles SR, Hickman J, Perlman JM . Linear hyperechogenicity within the basal ganglia and thalamus of preterm infants. Pediatr Neurol 2000;23:129–133.
Ben-Ami T, Yousefzadeh D, Backus M, Reichman B, Kessler A, Hammerman-Rozenberg C . Lenticulostriate vasculopathy in infants with infections of the central nervous system sonographic and Doppler findings. Pediatr Radiol 1990;20:575–579.
Turkyilmaz C, Turkyilmaz Z, Atalay Y, Soylemezoglu F, Celasun B . Magnesium pre-treatment reduces neuronal apoptosis in newborn rats in hypoxia-ischemia. Brain Res 2002;15:955:133–137.
Sameshima H, Ikenoue T . Long-term magnesium sulfate treatment as protection against hypoxic-ischemic brain injury in seven-day-old rats. Am J Obstet Gynecol 2001;184:185–190.
Maulik D, Qayyum I, Powell SR, Karantza M, Mishra OP, Delivoria-Papadopoulos M . Post-hypoxic magnesium decreases nuclear oxidative damage in the fetal guinea pig brain. Brain Res 2001;890:130–136.
Milani H, Lepri ER, Giordani F, Favero-Filho LA . Magnesium chloride alone or in combination with diazepam fails to prevent hippocampal damage following transient forebrain ischemia. Braz J Med Biol Res 1999;32:1285–1293.
Greenwood K, Cox P, Mehmet H, et al. Magnesium sulfate treatment after transient hypoxia-ischemia in the newborn piglet does not protect against cerebral damage. Pediatr Res 2000;48:346–350.
Sameshima H, Ota A, Ikenoue T . Pretreatment with magnesium sulfate protects against hypoxic-ischemic brain injury but postasphyxial treatment worsens brain damage in seven-day-old rats. Am J Obstet Gynecol 1999;180:725–730.
Leviton A, Paneth N, Susser M, et al. Maternal receipt of magnesium sulfate does not seem to reduce the risk of neonatal white matter damage. Pediatrics 1997;99:E2.
Weber K, Riebel T, Nasir R . Hyperechoic lesions in the basal ganglia: an incidental sonographic finding in neonates and infants. Pediatr Radiol 1992;22:182–186.
Walsh SW, Romney AD, Wang Y, Walsh MD . Magnesium sulfate attenuates peroxide-induced vasoconstriction in the human placenta. Am J Obstet Gynecol 1998;178:7–12.
David R, Leitch IM, Read MA, Boura AL, Walters WA . Actions of magnesium, nifedipine and clonidine on the fetal vasculature of the human placenta. Aust N Z J Obstet Gynaecol 1996;36:267–271.
Perales AJ, Torregrosa G, Salom JB, et al. In vivo and in vitro effects of magnesium sulfate in the cerebrovascular bed of the goat. Am J Obstet Gynecol 1991;165:1534–1538.
Simsek G, Andican G, Karakoc Y, Yigit G, Hatemi H, Candan G . Calcium, magnesium, and zinc status in experimental hypothyroidism. Biol Trace Elem Res 1997;60:205–213.
Dammann O, Leviton A . Maternal intrauterine infection, cytokines, and brain damage in the preterm newborn. Pediatr Res 1997;42:1–8.
Mittendorf R, Pryde PG, Roizen N . Second overview of relationships between antenatal pharmacologic magnesium sulfate and neurologic outcomes in children. J Perinat Med 2004;32:201–210.
Crowther CA, Hiller JE, Doyle LW . Magnesium sulphate for preventing preterm birth in threatened preterm labor. Cochrane Database of Systematic Reviews. March 2003.
Acknowledgements
Funding for the Magnesium and Neurologic Endpoints Trial (acronym, MagNET) at the University of Chicago was provided by the United Cerebral Palsy (UCP) Research and Educational Foundation, Washington, DC. James Dambrosia, PhD, Chief, Biostatistics Branch, National Institute of Neurological Disorders and Stroke (NINDS), National Institutes of Health (NIH), Bethesda, MD, the statistician for MagNET, served as consultant on certain of the analyses in this study.
Author information
Affiliations
Rights and permissions
About this article
Cite this article
Mittendorf, R., Kuban, K., Pryde, P. et al. Antenatal Risk Factors Associated with the Development of Lenticulostriate Vasculopathy (LSV) in Neonates. J Perinatol 25, 101–107 (2005). https://doi.org/10.1038/sj.jp.7211212
Published:
Issue Date:
DOI: https://doi.org/10.1038/sj.jp.7211212
Further reading
-
Lenticulostriate vasculopathy in preterm infants: a new classification, clinical associations and neurodevelopmental outcome
Journal of Perinatology (2018)
-
Risk factors and associated diseases among preterm infants with isolated lenticulostriate vasculopathy
Journal of Perinatology (2016)
-
Brain lesions in newborns exposed to high-dose magnesium sulfate during preterm labor
Journal of Perinatology (2006)
-
Diffuse basal ganglia or thalamus hyperechogenicity in preterm infants
Journal of Perinatology (2006)
-
Selecting neonates with congenital cytomegalovirus infection for ganciclovir therapy
European Journal of Pediatrics (2006)

