Abstract
OBJECTIVES: To determine the incidence, possible etiologies, and neurodevelopmental outcome of premature infants (<35 weeks) with isolated lenticulostriate vasculopathy (LSV).
STUDY DESIGN: In a retrospective case-control design, we reviewed the medical records of all premature infants who were admitted to our neonatal intensive care unit between 1996 and 2000.
RESULTS: The prevalence of LSV was 4.6% (21 of 453). Patients with late LSV (detected after 10 days of age) had less exposure than controls to prenatal steroids [42.8% (6 of 14) vs. 92.8% (13 of 14), respectively; p<0.01], and prenatal antibiotics [42.8% (6 of 14) vs. 85.7% (12 of 14), respectively; p=0.01]. Fifty-seven percent (8 of 14) of patients with late LSV had a low Apgar score vs. 14.2% (2 of 14) of the control group (p=0.01). Patients with LSV also had more muscle tone abnormalities than controls at 6 months of age [33.3% (5 of 15) vs. 5.2% (1 of 19), respectively; p=0.03].
CONCLUSION: Patients with late LSV have less exposure to antenatal steroids and antibiotics, lower Apgar scores, and abnormal muscle tone at 6 months of age.
INTRODUCTION
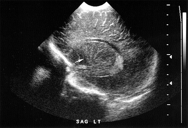
The vasculature supplying the thalamus and basal ganglia is normally indistinct from brain parenchyma on the head ultrasound (HUS) exam of a newborn infant. Recently, however, linear and branching echodensities have been described in the thalami and basal ganglia of a small percentage of infants undergoing HUS examination. This sonographic finding is known as lenticulostriate vasculopathy (LSV, Figure 1). It has been proposed that these bright areas represent a vasculitis of the lenticulostriate branches of the middle cerebral arteries, which occurs in association with a range of perinatal cerebral insults, including infections. LSV has been described with prenatal and postnatal infections,1,2,3,4,5,6 congenital defects,1,2,3,4,6,7,8 infants of diabetic mothers,4,5 and maternal drug exposure3 as well as prematurity.9
The neurologic sequelae of LSV are poorly understood. LSV was associated with an abnormal electroencephalogram in a study of 15 newborn infants,3 and an abnormal neurodevelopmental exam at 18 months of age in another study of 10 preterm infants.9
Our objectives were to study the prevalence and possible etiologies of isolated LSV among premature infants less than 35 weeks' gestational age with otherwise normal HUS, and to determine if LSV predicts neurodevelopmental outcome.
PATIENTS AND METHODS
Inclusion Criteria
The medical records of all premature infants less than 35 weeks' gestational age admitted between June 1996 and December 2000 to the neonatal intensive care unit (NICU) at MetroHealth Medical Center were reviewed. All infants less than 35 weeks' gestational age underwent a routine HUS at 3, 10, 30, and 60 days of age. HUS was performed with an HDI 5000 ultrasound system machine (manufactured by Advanced Technology Laboratories) and a 7.5-MHz transducer through the anterior fontanel. All HUS were interpreted by a pediatric radiologist.
Exclusion Criteria
Patients were excluded from the study if they were >35 weeks' gestational age, had severe congenital abnormalities or had an abnormal HUS with findings other than isolated LSV.
Identification of LSV
Each HUS was reviewed for the presence of LSV by the principal investigator (A. H.). LSV was characterized by the appearance of bright linear echodensities in the area of the lateral striate arteries as seen on sagittal sonographic examination. After a subset of patients with LSV were identified, these infants' HUS were reviewed independently by two other investigators (D. O. and M. M.) for the presence of LSV. LSV was confirmed when all three investigators agreed on its presence on a particular HUS. Each patient with LSV was matched for gender and birth weight (within 10%) with a previously or consecutively admitted premature infant (<35 weeks' gestational age) who had a normal HUS.
Chart Review
Hospital and outpatient medical records were reviewed for prenatal and perinatal history, patient demographics, clinical characteristics, and neurodevelopmental outcome including a Denver developmental assessment.
The study variables included prenatal, perinatal, and postnatal data. The prenatal data consisted of information regarding the presence or absence of multiple gestation, prenatal care, maternal diabetes or hypertension, intrauterine growth retardation, antenatal glucocorticosteroid and antibiotic use, and intrauterine drug exposure. Charts were also reviewed for the presence of chorioamnionitis and the mode of delivery. Postnatal variables included information regarding the presence of apnea, seizures, hypothyroidism, hearing loss, or neonatal infection. Medical records were also reviewed for use of postnatal steroids, days of mechanical ventilation, days of hospitalization, days to achieve full oral intake, abnormal muscle tone, abnormal deep tendon reflexes, and abnormal Denver developmental assessment.
Chorioamnionitis was defined clinically by maternal fever during labor >38.5 °C, uterine tenderness, maternal or fetal tachycardia, and maternal leukocytosis. Apnea was defined as a respiratory pause of >20 seconds by a polysomnogram study. Hearing was assessed with an evoked auditory potential study administered to all infants at the time of hospital discharge. Infection was diagnosed by documented positive blood or urine cultures. Denver developmental assessment was performed on infants at every follow-up appointment in the NICU Developmental Follow-up Clinic, in which all infants were invited to participate.
Statistical Analysis
Continuous variables were evaluated using the t-test. Dichotomous variables were evaluated using Pearson's χ-square with Mantel Haenzel χ-square for odds ratios and confidence intervals. All data are expressed as mean±SD. Student's t-test was used for comparison of continuous variables and χ-square for evaluation of categorical variables. Fisher's exact test was used to examine small subsets of the data.
RESULTS
During the study period, there were 627 premature infants (<35 weeks' gestational age) who were admitted to the NICU at MetroHealth Medical Center. Four hundred fifty-three patients met our inclusion criteria, and 1320 HUS generated by these patients were reviewed. The prevalence of LSV in these premature infants with otherwise normal HUS was 4.6% (21 of 453). LSV was detected on at least one HUS exam on each patient, usually on sagittal views, but often times also on coronal views.
As cases and controls were matched, the average birth weight in patients with LSV was 1042 grams (±267) versus 1043 grams (±269) for controls. The average gestational age for LSV patients was 28.7 weeks (±2.8) versus 29.2 weeks (±2.7) for controls.
No associations were found between LSV and antenatal glucocorticoids or antibiotics, maternal chorioamnionitis, TORCH infection, in utero drug exposure, multiple gestation, or intrauterine growth retardation. Infants with LSV did not have significantly different NICU outcomes, as measured by days of mechanical ventilation, postnatal infection, and NICU length of stay.
LSV was first noted in 33% (7 of 21) of the cases within the first 10 days of life, whereas in the rest of the study population (67%; 14/21), it was first detected after 10 days of age. This finding led to an interesting analysis of differences between these two groups of cases. Baseline characteristics of patients with early LSV and late LSV versus their controls are illustrated in Table 1. Infants who develop LSV early were more mature than the infants in the late LSV group. Cases who develop LSV in the first 10 days of life had no significant differences from their matched controls. However, there were statistically significant differences between patients with late LSV and their matched controls: These infants were less likely to have received antenatal steroids (OR=0.057, p<0.001) or antibiotics (OR=0.12, p<0.01), and were more likely to have a low 1-minute Apgar score (OR=8.0, p<0.01).
Seventy-one percent (15 of 21) of all LSV patients and 90% (19 of 21) of the control group had a neurodevelopmental follow-up exam available for our study. Patients were followed for 6.2±6 months in the LSV group and 6.9±12 months in the control group. Patients with LSV exhibited a higher rate of abnormal muscle tone on their follow-up physical exam (Table 2). On the Denver development assessment evaluation, there was no difference between LSV and non–LSV patients [80% (12 of 15) of LSV patients had a normal exam versus 89.5% (17 of 19) of the non–LSV patients]. When stratified by early or late LSV occurrence, there were no significant differences in neurodevelopmental outcome.
DISCUSSION
We have shown in our study that LSV that occurs after 10 days of age is associated with a low 1-minute Apgar score and is inversely related to antenatal steroid and antibiotic administration. We have also shown that LSV, as an isolated finding, may be predictive of an abnormal tone at 6 months in premature infants less than 35 weeks' gestational age.
In our study, the prevalence of isolated LSV was 4.6% in premature infants less than 35 weeks' gestational age. Since LSV was first described by Teele et al.,1 the reported incidence of LSV has varied between 1.8% and 5.8%.2,3,4 Our results are difficult to compare with others because we enrolled only premature infants without congenital abnormalities, whereas previous studies examined both premature and term infants, as well as patients with severe congenital abnormalities. Our study also differs in that we excluded patients with an abnormal HUS beyond LSV. Therefore, some patients with TORCH infections were excluded on the basis of periventricular calcifications or dilated ventricles. This study also had the benefit of improved imaging techniques: We used the newer 7.5-MHz transducers, whereas some previous studies were conducted with older transducers. Subtle LSV changes might have been missed with the older ultrasound technology.
Several investigators1,10,11 have described abnormalities consistent with vasculitis on microscopic examination of the basal ganglia and thalami from autopsies of patients with LSV, whereas others did not find any evidence of vascular or perivascular abnormalities in their patients with LSV.2 In our study, patients with late LSV were less likely to have had antenatal exposure to steroids than their controls, suggesting that steroids may have played a role in preventing the development of LSV. This is consistent with the hypothesis that LSV is the result of an inflammatory process (vasculitis) as suggested by some investigators.1,10,11 Patients with late LSV were also less likely to have antenatal exposure to antibiotics than their matched controls, suggesting that antenatal antibiotic treatment may have prevented the transmission of a perinatal infection and protected against the development of LSV.
The timing of LSV occurrence may be indicative of its etiology. Infants who developed LSV after 10 days of age had lower 1-minute Apgar scores in comparison to their controls, suggesting that late LSV may be the marker of a perinatal insult to the developing brain. The incidence of LSV during the first 10 days of life raises the possibility that LSV can begin to develop in utero. Estroff et al.12 used transvaginal sonography at 31 weeks' gestation to demonstrate the presence of LSV in a fetus with CMV infection. Early-onset LSV is probably a reflection of an in utero cerebral insult.
The significance of these echodensities on HUS is not yet understood. Although the findings are markers for pathology that may cause neurologic impairment (such as infection or congenital syndromes), LSV may be an independent risk factor for neurologic sequelae. In a follow-up study of 10 preterm infants with LSV at 18 month of age, Channanvanakij et al.9 found that patients with LSV had lower mental development scores and behavioral evaluation results on the Bayley Scales of Infant Development in comparison to their control group. In our study, infants with LSV had abnormal tone in comparison to their matched controls at a mean age of 6 months. However, the Denver developmental assessment test demonstrated no differences between the LSV and non–LSV patients. Because it is difficult to interpret the Denver Developmental scores at 6 months of age, further studies of patients with LSV at school age, including a complete neurological exam and a battery of psychological tests, are needed to determine more long-term outcomes of patients with LSV. Imaging studies such as MRI-MRA of LSV lesions may also help to better define these hyperechoic lesions.
One weakness of our study is that the initial selection of our patients was done by one investigator, and this selection was further evaluated by two other investigators. There is a potential error with our selection process, as cases underdiagnosed by the initial single investigator might not have been selected for further detailed review by the two other investigators. Another weakness of our study is that most patients who were discharged home within the first month of life did not have the 60-day HUS to screen for late LSV.
The detection of LSV on a HUS in premature infants should raise a concern regarding the possible presence of a perinatal insult to the developing brain, such as infection or asphyxia. Future neurodevelopmental studies of patients with LSV beyond early childhood are needed to better understand the full impact of this sonographic central nervous system finding.
References
Teele RL, Hernanz-Schulman M, Sotrel A . Echogenic vasculature in the basal ganglia of neonates: a sonographic sign of vasculopathy. Radiology 1988; 169: 423–7.
Hughes P, Weinberger E, Shaw DW . Linear areas of echogenicity in the thalami and basal ganglia of neonates: an expanded association. Radiology 1991; 179: 103–5.
Hahn JS, Ogino MT, Shew SB, Bejar R . Linear echodensities of the basal ganglia in newborn infants: etiological and electroencephalographic findings. Ann Neurol 1990; 28(3): 452
Wang HS, Kuo MF, Chang TC . Sonograhic lenticulostriate vasculopathy in infants: some associations and a hypothesis. Am J Neuroradiol 1995; 16(1): 97–102.
Weber K, Riebel T, Nasir R . Hyperechoic lesions in the basal ganglia: an incidental sonographic finding in neonates and children. Pediatr Radiol 1992; 22: 182–6.
Ben-Ami T, Yousefzadeh D, Backus M, Reichman B, Kessler A, Hammerman-Rozenberg C . Lenticulostriate vasculopathy in infants with infections of the central nervous system sonographic and Doppler findings. Pediatr Radiol 1990; 20(8): 575–9.
Kao S, Abu-Yousef M . Case 10: mineralizing (lenticulostriate) vasculopathy. J Ultrasound Med 2000; 19(5): 362
De Vries LS, Beek FJ, Stoutenbeck P . Lenticulostriate vasculopathy in twin-to-twin transfusion syndrome: sonographic and CT findings. Pediatr Radiol 1995; 25(Suppl 1): S41–2.
Channanvanakij S, Rogers CG, Luppino C, Broyles SR, Hickman J, Perlman JM . Linear hyperechogenicity within the basal ganglia and thalamus of preterm infants. Pediatr Neurol 2000; 23(2): 129–33.
Volpe J . Viral, protozoan and related intracranial infections. Neurology of the Newborn, 3rd ed. Philadelphia: Saunders. 1997; 677
Rorke LB, Spiro AJ . Cerebral lesions in congenital rubella syndrome. J Pediatr 1967; 70: 243–55.
Estroff JA, Parad RB, Teele RL, Benacerraf BR . Echogenic vessels in the fetal thalami and basal ganglia associated with cytomegalovirus infection. J Ultrasound Med 1992; 11: 686–8.
Author information
Affiliations
Rights and permissions
About this article
Cite this article
Hemachandra, A., Oravec, D., Collin, M. et al. Early and Late Postnatal Identification of Isolated Lenticulostriate Vasculopathy in Preterm Infants: Associated Findings. J Perinatol 23, 20–23 (2003). https://doi.org/10.1038/sj.jp.7210861
Published:
Issue Date:
DOI: https://doi.org/10.1038/sj.jp.7210861
Further reading
-
Lenticulostriate vasculopathy in preterm infants: a new classification, clinical associations and neurodevelopmental outcome
Journal of Perinatology (2018)
-
Risk factors and associated diseases among preterm infants with isolated lenticulostriate vasculopathy
Journal of Perinatology (2016)
-
Diffuse basal ganglia or thalamus hyperechogenicity in preterm infants
Journal of Perinatology (2006)
-
Antenatal Risk Factors Associated with the Development of Lenticulostriate Vasculopathy (LSV) in Neonates
Journal of Perinatology (2005)
-
Identification of Isolated Lenticulostriate Vasculopathy in Preterm Infants
Journal of Perinatology (2004)
