Abstract
Expression of various S100 genes has been associated with clinically aggressive subtypes in a variety of different cancers. We hypothesized that S100A4 would be overexpressed in endometrial carcinoma compared to benign endometrium. Quantitative real-time RT-PCR (qRT-PCR) was used to quantify the mRNA level of S100A4 in benign endometrium (n=19), endometrioid adenocarcinoma (n=87), and non-endometrioid tumors (n=21). Immunohistochemistry was used to verify the results of qRT-PCR and to assess protein localization. Possible mechanisms of S100A4 gene regulation were also examined. S100A4 was overexpressed in the grade 3 endometrioid tumors, uterine papillary serous carcinoma, and uterine malignant mixed müllerian tumor. Expression in grade 1 and grade 2 endometrioid tumors was comparable to that of normal endometrium, which was quite low. Expression was significantly higher in stage III and IV tumors compared with stage I. By immunohistochemistry, S100A4 was expressed in the tumor cell cytoplasm of poorly differentiated tumors, but was not detected in normal endometrial glandular epithelium. In benign endometrium, S100A4 expression was confined to stromal cells. S100A4 was not regulated by estrogen or progesterone, and its expression in tumors was not significantly correlated to estrogen receptor or progesterone receptor content. However, methylation of the S100A4 gene was detected in benign endometrium and grade 1 tumors with low S100A4 expression. In contrast, grade 3 endometrioid tumors with high S100A4 mRNA and protein expression showed no methylation of the gene. These methylation results were verified in endometrial cancer cell lines with differential baseline levels of S100A4 protein. These results suggest that hypomethylation is an important mechanism of regulating the expression of the S100A4 gene. These results support the emerging concept that hypomethylation may play a role in the upregulation of genes during later stages of tumorigenesis.
Main
Endometrial carcinoma is the most common malignant neoplasm of the female genital tract and the fourth most frequently diagnosed cancer in women, following cancers of the breast, lung, and colon.1 On the basis of histological and clinical features, endometrial carcinoma has been classified into two types.2, 3, 4 Type I tumors (approximately 80% of all endometrial carcinomas) are typically low-grade (grade 1 or grade 2) endometrioid adenocarcinoma, most of which are confined to the uterus and have a favorable prognosis. Type II tumors (approximately 20%) are comprised of uterine papillary serous carcinoma, malignant mixed müllerian tumors, and clear cell carcinoma. The nature of high-grade (grade 3) endometrioid adenocarcinoma is more controversial, as a subset may behave more like the Type II tumors. Type II cancers are associated with extra-uterine spread and carry a high mortality rate. Previous studies have documented interesting molecular differences between endometrioid and non-endometrioid endometrial carcinomas.5, 6, 7, 8 Metastatic or recurrent endometrial carcinomas represent a significant treatment problem, as current chemotherapeutic and hormonal strategies are entirely ineffective. Our laboratory has a long-term goal of identifying novel molecular events important in advanced endometrial carcinoma, with the ultimate goal of designing rational, targeted therapies for extra-uterine disease.
S100A4 is a member of a family of S100 genes that encode calcium-binding proteins of the EF-hand type.9, 10 The cellular function of S100A4 protein is not known. In humans, an increase in S100A4 expression has been correlated with aggressiveness and worse prognosis for patients with different types of carcinoma, including colorectal, gallbladder, pancreas, bladder, gastric, breast, non-small cell lung, and prostate cancers.11, 12, 13, 14, 15, 16, 17, 18 The exact mechanism for the metastasis-promoting activity by S100A4 is poorly understood. S100A4 may influence growth regulation, remodeling of the extracellular matrix, angiogenesis, cell detachment, and cell motility.19 Recently, it has been shown that S100A4 promotes cellular motility via direct interaction with myosin-IIA.20
We hypothesized that S100A4 is overexpressed in endometrial carcinoma compared to benign endometrium. In the present study, we quantified the differential expression of S100A4 in benign endometrium and various histotypes of endometrial carcinoma. In addition, we explored possible mechanisms of regulation of this gene in normal endometrium and in endometrial carcinomas.
Materials and methods
Human Normal Endometrial Biopsies, Tumor Samples, and Cell Lines
This study was approved by the University of Texas MD Anderson Cancer Center Institutional Review Board (LAB01-718). Fresh frozen endometrial carcinoma specimens (n=108) and benign endometrial tissues (n=19) were obtained as residual tissues from hysterectomy surgical specimens submitted to the Department of Pathology, MD Anderson Cancer Center. A gynecological pathologist (RR Broaddus) microscopically reviewed H&E-stained slides to confirm surgical stage, tumor grade, and histotype, based on the criteria established by the International Federation of Gynecology and Obstetrics.21
Gene expression was analyzed in human endometrial biopsies from two different clinical trials involving hormonal therapy. In the first group, described previously,7 healthy, postmenopausal women received Premarin (Wyeth Research), 0.625 mg/day p.o., for 3 months. In the second group, healthy, premenopausal women received depot medroxyprogesterone acetate (depot MPA; Pharmacia & Upjohn), 150 mg i.m. For both groups, baseline (pre-treatment) and 3 month post-treatment endometrial biopsies were obtained, and a portion of each biopsy was frozen. For the depot MPA group, both the baseline and post-treatment endometrial biopsies were timed to be conducted on days 8 or 9 after the commencement of the menstrual cycle, such that the endometrium was in the proliferative phase. This was verified by microscopic examination of the portion of the endometrial biopsy that was formalin-fixed and paraffin-embedded.
The human endometrial adenocarcinoma cell lines HEC-1A, HEC-1B, and KLE were obtained from the American Type Culture Collection (ATCC, Rockville, MD, USA). Ishikawa cells were kindly provided by Changping Zou, PhD, University of Arizona. HEC-1B and Ishikawa cells were cultured in MEM with 10% FBS. HEC-1A and KLE cells were cultured in McCoy's 5a medium with 10% FBS and DMEM/F-12 with 10% FBS, respectively. All cells were maintained at 37°C in a humidified atmosphere of 5% CO2.
RNA Isolation and Quantitative Real-Time RT-PCR
RNA was isolated from frozen tissue samples using TRIzol (Invitrogen, Carlsbad, CA, USA), followed by an additional purification step using the RNeasy kit (Qiagen, Valencia, CA, USA) following the manufacturer's recommendations.
Quantitative real-time RT-PCR (qRT-PCR) was performed utilizing the 7700 Sequence Detector (Applied Biosystems, Foster City, CA, USA) as previously described.22 Probe-based real-time quantitative assays for S100A4, estrogen receptor α (ER-α), estrogen receptor β (ER-β), progesterone receptor (PR), and 18S rRNA were developed using Primer Express software (Applied Biosystems) based on sequences from GenBank. The assays were developed and all qRT-PCR reactions were run at the Quantitative Genomics Core Laboratory (UT-Houston Medical School, Houston, TX, USA). The primer and probe sequences, accession number, and pertinent information for each assay are listed in Table 1. Each qRT-PCR experiment was performed in duplicate using assay-specific sDNAs (synthetic amplicon oligonucleotides, Biosource, Camarillo, CA, USA) serially diluted in 10-fold decrements to obtain a standard curve covering a 5-log range in template concentration. A linear relationship between the threshold cycle (Ct) and the log of the starting sDNA copy number was always established (correlation coefficient >0.99) and used to construct a standard curve. The copy number for each transcript assayed was interpolated from the standard curve using the ABI SDS software. The final transcript values were normalized to those determined for 18S rRNA in a 1/500 dilution of the total RNA and are presented as molecules of transcript/molecules of 18S rRNA.
Immunohistochemistry
Formalin-fixed, paraffin-embedded blocks of endometrial cancer and normal endometrium were retrieved from the archives of the Department of Pathology at MD Anderson Cancer Center. After initial deparaffinization, endogenous peroxidase activity was blocked with 0.3% H2O2. Deparaffinized sections were microwaved in 10 mmol/l citrate buffer (pH 6.0). The slides were then incubated for 1 h at room temperature using rabbit polyclonal anti-human S100A4 (1:50; DAKO, Carpinteria, CA, USA), followed by biotinylated goat anti-rabbit IgG (Vector Laboratories, Burlingame, CA, USA) for 30 min, and finally with ABComplex (Vector Laboratories, Burlingame, CA, USA). For S100A4, the bound complex was visualized with 0.125% Amino-ethyl carbazole (AEC, Sigma, St Louis, MO, USA), 0.003% (v/v) H2O2. The sections were then counterstained in Mayer's hematoxylin. For negative controls, the primary antibody was replaced with PBS.
Western Blot Analysis
Endometrial cancer cell line lysates were prepared in ice-cold lysis buffer (50 mmol/l Tris (pH 8.0), 100 mmol/l NaCl, 0.1% SDS, 1% NP-40, 0.5 mM EDTA) containing the protease inhibitor cocktail Complete (Roche, Mannheim, Germany). Proteins (20 μg) were boiled for 5 min and then run on 15% SDS-PAGE gels. Samples were then blotted onto a nitrocellulose membrane (Bio-Rad, Hercules, CA, USA), blocked in 5% skim milk in PBS, and probed with rabbit anti-human S100A4 antibody (1:200 dilution, DAKO, Carpinteria, CA, USA) or mouse anti-human β-actin antibody (1:1500 dilution, Sigma Chemicals, St Louis, MO, USA), followed by anti-rabbit or anti-mouse IgG secondary antibodies (Amersham Bioscience, Piscataway, NJ, USA). The Enhanced Chemiluminescence kit (Amersham Bioscience, Piscataway, NJ, USA) was used for detection.
S100A4 Methylation Assays
Samples of genomic DNA isolated from endometrial cancer cell lines and formalin-fixed, paraffin-embedded tissue sections of endometrial carcinoma were modified by sodium bisulfite as described by Herman et al.23 Benign endometrial glandular epithelial cells were isolated from paraffin-embedded tissue sections using laser-capture microdissection (Leica Microsystems, Bannockburn, IL, USA). Endometrial cancer cells in paraffin-embedded sections were manually dissected from adjacent stroma using a 2.0 mm biopsy punch (Fray Products Corp., Buffalo, NY, USA). The methylation status of S100A4 was determined by methylation-specific PCR as described by Herman et al,23 which takes advantage of DNA sequence differences between methylated and unmethylated alleles after bisulfite modification. The sequence differences of bisulfite-treated DNA were detected by PCR using primers specific for either the methylated or unmethylated DNA sequences. Primer sequences for S100A4 were kindly provided by Dr Michael Goggins and Dr Norihiro Sato, Johns Hopkins University24, 25 (S100A4-M forward, 5′-TATACGTTGTTGTTATAGTACG-3′ and S100A4-M reverse, 5′-ACT TCCTACTCCCGAATACG-3′; S100A4-U forward, 5′-ATATGTTGTTGTTATAGT ATGTG-3′ and S100A4-U reverse, 5′-CTTCCTACTCCCAAATACAC-3′).
To determine if S100A4 methylation and expression could be manipulated in vitro, KLE cells were exposed continuously to 1 μM 5-Aza-2′-deoxycytidine (5Aza-dC; Sigma, St Louis, MO, USA) for 4 days. RNA and DNA were then collected for qRT-PCR and methylation-specific PCR.
Statistical Analysis
Statistical differences were calculated using the Mann–Whitney U-test and ANOVA test. The Tukey test was performed for multiple comparisons. Correlation between two variables was evaluated by the Spearman rank correlation test. For analyses comparing baseline to 3 month post-treatment results, the paired sample t-test was used. Differences were considered significant if P<0.05.
Results
Overexpression of S100A4 in Endometrial Cancer
Using qRT-PCR, we quantified the transcript levels of S100A4 in a series of endometrial endometrioid adenocarcinomas (n=87), uterine papillary serous carcinoma (n=10), uterine malignant mixed müllerian tumor (n=11), and benign endometrial tissues (n=19). S100A4 message was significantly higher in the grade 3 endometrioid tumors, uterine papillary serous carcinomas, and uterine malignant mixed müllerian tumors compared with endometrioid tumors grades 1 and 2 and benign endometrium (Figure 1a). Interestingly, S100A4 expression in the grades 1 and 2 tumors was not significantly elevated compared with benign endometrium (Figure 1a), implying a selective overexpression in the more poorly differentiated, high-grade tumors. S100A4 expression was significantly higher in stage III and IV tumors compared with stage I tumors (Figure 1b).
qRT-PCR analysis of S100A4 in benign endometrium and endometrial carcinoma. S100A4 transcripts were measured by qRT-PCR in normal, benign endometrium (NE; n=19) and various histotypes of endometrial carcinoma (n=108). Final transcript data were normalized to 18S rRNA and are presented as the molecules of transcript/molecules of 18S rRNA. Values shown are mean±s.e. (a) S100A4 was overexpressed in grade 3 endometrial endometrioid adenocarcinoma (EEC), uterine papillary serous carcinoma (UPSC), and malignant mixed müllerian tumor (MMMT) compared with grade 1 and 2 endometrial endometrioid adenocarcinoma and benign endometrium (*P<0.01). (b) S100A4 was significantly overexpressed in stage III and IV tumors compared with stage I tumors (*P<0.01).
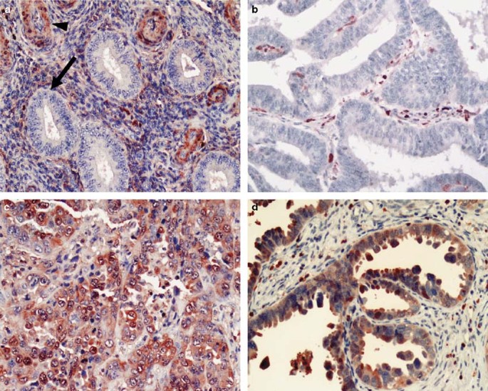
Immunohistochemistry was performed to qualitatively confirm the results of qRT-PCR, and to characterize the localization of S100A4 protein in normal endometrium and endometrial cancer tissues. In all normal endometrial tissues, there was weak S100A4 expression limited to the cytoplasm of cells of mesenchymal origin, such as endometrial stromal cells, lymphocytes, and vascular structures. Glandular epithelial cells of benign endometrium did not express S100A4 (Figure 2a). Thus, it appears that the low-level expression of S100A4 detected in normal endometrium in the qPT-PCR assay (Figure 1a) is due mainly to expression in stromal cells. Tumor cells in grade 1 tumors showed no S100A4 staining (Figure 2b), but immunohistochemical expression was high in grade 3 tumors (Figure 2c), uterine papillary serous carcinoma (Figure 2d), and uterine malignant mixed müllerian tumor (data not shown).
Immunohistochemical analysis of S100A4 protein expression. The immunohistochemical expression of S100A4 is demonstrated in benign endometrium (a), grade 1 endometrioid adenocarcinoma (b), grade 3 endometrioid adenocarcinoma (c), and uterine papillary serous carcinoma (d). S100A4 expression was absent in normal endometrial glandular epithelial cells (arrow), but present in stromal cells and vascular structures (arrowhead) (a). Similar to benign endometrium, well-differentiated grade 1 tumor cells did not express S100A4 (b). In contrast, S100A4 was strongly expressed in tumor cell cytoplasm for grade 3 tumors (c) and uterine papillary serous carcinoma (d). S100A4 protein was also strongly expressed in malignant mixed müllerian tumors (data not shown). All photomicrographs × 200.
S100A4 Expression in Relationship to Exogenous Hormones and Steroid Hormone Receptors
To determine if S100A4 was induced by either estrogen or progesterone, transcript expression was analyzed from baseline and 3 month post-treatment endometrial biopsies from women receiving either Premarin (n=9) or depot MPA (n=5). In a previous study examining the effect of Premarin on the endometrial tissue expression of retinoic acid metabolizing enzymes, retinoid receptors, and retinoic acid biomarker genes, we demonstrated that Premarin caused a 2- to 4-fold induction of RALDH2, RARα, CRABP2, and tTG. These changes in gene expression were significantly greater than the tissue expression at baseline, before Premarin treatment.26 Similarly, we have previously reported that Premarin treatment significantly induced the endometrial tissue expression of the novel estrogen-regulated gene, EIG121.7 In contrast, Premarin and depot MPA caused only slight differences in the endometrial tissue expression of S100A4 compared with baseline; these differences were not statistically significant (Figure 3). Similarly, S100A4 expression does not show differential expression in the estrogen-dominant proliferative phase endometrium compared with the progesterone-dominant secretory endometrium (data not shown). Therefore, in the endometrium, S100A4 does not appear to be significantly regulated by estrogen or progesterone.
qRT-PCR analysis of S100A4 in benign endometrium before and after exposure to estrogen or progesterone. Baseline and 3 month post-treatment endometrial biopsies were obtained from women receiving Premarin (a) or depot MPA (b). S100A4 expression was quantified using qRT-PCR. S100A4 expression was not significantly altered by Premarin (P=0.187) or depot MPA (P=0.329). Final transcript data were normalized to 18S rRNA and are presented as the molecules of transcript/molecules of 18S rRNA. Values shown are mean±s.e.
Historically, decreased estrogen receptor and progesterone receptor have been closely associated with higher endometrioid tumor grade.4, 27 Because elevated S100A4 was only present in grade 3 tumors (Figure 1), we next wanted to determine if there was an association between increased S100A4 transcript levels and decreased steroid hormone receptor expression. As expected, in the endometrioid tumors, the expression of ER-α and PR were positively and significantly correlated with each other (Table 2). However, S100A4 expression was not strongly correlated to the expression of any of the hormone receptors examined (Table 2). Therefore, for endometrial carcinoma, it appears that expression of S100A4 is independent of ER-α, ER-β, or PR expression.
Methylation Status of S100A4
The mechanism responsible for the regulation of S100A4 gene expression is largely unknown. Previous studies suggested a possible role of DNA methylation in the control of tissue-specific expression of S100A4.28 The S100A4 promoter does not contain CpG islands, and CpG sites throughout the gene are sparsely distributed.28, 29 DNA methylation-dependent repression of several other genes lacking CpG-rich promoters has been previously described.30, 31 There is a correlation between hypomethylation of the CpG sites in the first intron of S100A4 and gene activation in human lymphoma,32 colon cancer cell lines,32, 33 and pancreatic cancer cell lines and primary pancreatic ductal adenocarcinomas.24, 25 Based on those previous findings, we analyzed the methylation status in the first intron of S100A4 using methylation-specific PCR. We detected methylated DNA in normal endometrial epithelial cells and grade 1 tumor cells with low S100A4 expression (Figure 4). In contrast, grade 3 tumors with high S100A4 expression showed no methylation of the gene (Figure 4). These results suggest that hypomethylation of the S100A4 gene in grade 3 endometrioid tumors is associated with increased expression of S100A4. To confirm these findings, we next analyzed endogenous S100A4 expression by qRT-PCR and Western blot and methylation status in several different endometrial carcinoma cell lines. S100A4 protein was expressed at different levels in the four cell lines tested, and there was a good concordance between S100A4 mRNA and protein levels (Figure 5a and b). Because the KLE cells had very low endogenous expression of S100A4 mRNA and protein, we examined the S100A4 methylation status of these cells. At baseline, KLE cells demonstrate methylation of the S100A4 gene (Figure 5c), similar to that seen in benign endometrium and grade 1 endometrioid tumors. Methylation of S100A4 is not present in HEC-1A cells, which have high endogenous levels of S100A4 mRNA and protein (Figure 5c). Treatment of the KLE cell line with 5-Aza-dC, an inhibitor of eukaryotic DNA methyltransferase, resulted in demethylation of S100A4 and concomitant S100A4 expression (Figure 5d and e). Thus, these results provide evidence that in the endometrium, DNA methylation is an important mechanism for regulating S100A4 expression.
Methylation analysis of the S100A4 gene. MSP was used to detect unmethylated (U) and methylated (M) DNA from the first intron of the S100A4 gene in normal endometrial epithelial cells, grade 1 endometrioid tumors, and grade 3 endometrioid tumors (n=5 for each group). Methylated S100A4 DNA was detected in 5/5 normal endometrial epithelial samples and 4/5 grade 1 tumors. No methylated S100A4 DNA was detected in the grade 3 tumors (0/5).
Correlation of S100A4 expression with DNA methylation in human endometrial cancer cell lines. Basal expression of S100A4 in EC cell lines by qRT-PCR (a) and Western blot (b). HEC-1A and HEC-1B cells had significantly higher S100A4 gene expression than Ishikawa and KLE cells (*P<0.001). (c, d) Methylation-specific PCR analysis of S100A4 gene methylation. At baseline, KLE cells have methylated S100A4 DNA (c), which corresponds to the very low S100A4 transcript and protein expressed by these cells. S100A4 is unmethylated in HEC-1A cells (c), which has high endogenous S100A4 expression. Following 5-Aza-dC treatment, very little methylated S100A4 DNA is detected in KLE (d), and the transcript expression is significantly increased (e). For qRT-PCR experiments, the final transcript data were normalized to 18S rRNA levels and are presented as the molecules of transcript/molecules of 18S rRNA. Values shown are mean±s.e. (*P<0.05).
Discussion
Loss of steroid receptors and steroid hormone dependency has been a traditional indicator of aggressive disease in so-called ‘hormone-dependent’ cancers such as breast cancer and endometrial cancer.4, 27, 34 Although previous studies suggested a correlation between S100A4 protein expression and loss of ER in breast carcinoma,35 we did not observe a strong inverse correlation between S100A4 expression and expression of the steroid hormone receptors ER-α, ER-β, and PR for endometrial cancer (Table 2). Furthermore, endometrial S100A4 transcript levels were not significantly altered by either Premarin or depot MPA treatment (Figure 3). Interestingly, the expression level of S100A4 in the grade 3 endometrioid tumors, uterine papillary serous carcinomas, and malignant mixed müllerian tumors was comparable to the expression of ER-α and PR in benign endometrium (data not shown). Therefore, in the higher-grade, poorly differentiated tumors, S100A4 is abundantly expressed.
A particularly striking finding from this study was the expression pattern of S100A4 protein in benign endometrium compared with various histotypes of endometrioid carcinoma. S100A4 was not expressed in the glandular epithelial cells of normal endometrium, but instead was present in cells of mesenchymal origin such as stromal cells, lymphocytes, and vascular structures (Figure 2). Similarly, S100A4 was not expressed in tumor epithelial cells of grade 1 carcinomas. However, S100A4 was overexpressed in the tumor cell cytoplasm of grade 3 endometrioid carcinomas, uterine papillary serous carcinoma, and malignant mixed müllerian tumors (Figure 2). Such a differential expression pattern in benign endometrium (stromal cells only) compared with high-grade endometrial carcinoma (tumor epithelial cells) is suggestive of an epithelial-to-mesenchymal transition in gene expression pattern. Epithelial-to-mesenchymal transition has recently been recognized as a putative molecular mechanism underlying carcinoma invasion and metastasis.36, 37, 38 During the process of epithelial-to-mesenchymal transition, epithelial cells actively downregulate cell–cell adhesion systems, lose their polarity, and acquire a mesenchymal phenotype with reduced intercellular interactions and increased migratory capacity.36 The precise role of S100A4 is unknown, but there are several lines of evidence that S100A4 is a key mediator of EMT, not simply a ‘bystander’. For example, in both cultured epithelial cells and a transgenic mouse model of metastatic breast cancer, S100A4 expression was activated during EMT; antisense oligonucleotides suppressed S100A4 expression and epithelial transformation.39, 40 Furthermore, recently it was shown that for colon carcinoma cell lines S100A4 was a direct target of the Wnt/β-catenin pathway. Specific knockdown of S100A4 in this system significantly reduced the migratory ability of these cells in vitro.41
Recently, several transcription factors that are molecular mediators of epithelial-to-mesenchymal transition, such as Twist, ZEB1, and HOXA10, have been shown to be expressed in endometrial carcinoma.8, 42, 43
Of particular interest is that ZEB1 has an expression pattern in endometrial carcinoma quite similar to that for S100A4. None of these transcription factors has been shown previously to directly regulate S100A4 expression. Therefore, we investigated the possibility of epigenetic regulation of S100A4 expression via methylation. In agreement with previous studies examining the role of DNA methylation in S100A4 gene expression in colon and pancreatic cancers,25, 32, 33 we found that overexpression of S100A4 was associated with hypomethylation within the first intron of the S100A4 gene in the high-grade endometrioid endometrial cancers (Figure 4). Increased expression of S100A4 in KLE cells following 5Aza-dC treatment (Figure 5d and e) further supports the hypothesis that DNA hypomethylation induces S100A4 gene expression in endometrial cancer. A hallmark of cancer is a paradoxical aberration of DNA methylation patterns, with a global loss of DNA methylation that coexists with regional hypermethylation of certain genes.44 It has been proposed that hypermethylation and hypomethylation in cancer are independent processes, which target different programs at different stages in tumorigenesis.45 Hypermethylation and silencing of genes that regulate proliferation are proposed to be critical for deregulated growth early in carcinogenesis, while hypomethylation and activation of other genes may be more important for metastasis.45, 46 The importance of hypermethylation and inactivation of tumor suppressor genes is well documented in various cancers, but the role of DNA hypomethylation in more advanced cancers and metastasis has been less studied and is still hypothetical. Accumulating data from the last several years have led to the hypothesis that hypomethylation plays a role in activating certain genes required for metastasis and invasion of a few cancer types other than endometrial cancer.15, 24, 47 Results from our study in endometrial cancer add further evidence in favor of the idea that aberrant DNA hypomethylation contributes to the phenotype of more poorly differentiated carcinomas.
References
Jemal A, Murray T, Ward E, et al. Cancer statistics, 2005. CA Cancer J Clin 2005;55:10–30.
Bokhman JV . Two pathogenetic types of endometrial carcinoma. Gynecol Oncol 1983;15:10–17.
Sherman ME, Bur ME, Kurman RJ . p53 in endometrial cancer and its putative precursors: evidence for diverse pathways of tumorigenesis. Hum Pathol 1995;26:1268–1274.
Lax SF . Molecular genetic pathways in various types of endometrial carcinoma: from a phenotypical to a molecular-based classification. Virchows Arch 2004;444:213–223.
Risinger JI, Maxwell GL, Chandramouli GV, et al. Microarray analysis reveals distinct gene expression profiles among different histologic types of endometrial cancer. Cancer Res 2003;63:6–11.
Maxwell GL, Chandramouli GV, Dainty L, et al. Microarray analysis of endometrial carcinomas and mixed mullerian tumors reveals distinct gene expression profiles associated with different histologic types of uterine cancer. Clin Cancer Res 2005;11:4056–4066.
Deng L, Broaddus RR, McCampbell A, et al. Identification of a novel estrogen-regulated gene, EIG121, induced by hormone replacement therapy and differentially expressed in type I and type II endometrial cancer. Clin Cancer Res 2005;11:8258–8264.
Spoelstra NS, Manning NG, Higashi Y, et al. The transcription factor ZEB1 is aberrantly expressed in aggressive uterine cancers. Cancer Res 2006;66:3893–3902.
Donato R . Intracellular and extracellular roles of S100 proteins. Microsc Res Tech 2003;60:540–551.
Marenholz I, Heizmann CW, Fritz G . S100 proteins in mouse and man: from evolution to function and pathology (including an update of the nomenclature). Biochem Biophys Res Commun 2004;322:1111–1122.
Gongoll S, Peters G, Mengel M, et al. Prognostic significance of calcium-binding protein S100A4 in colorectal cancer. Gastroenterology 2002;123:1478–1484.
Nakamura T, Ajiki T, Murao S, et al. Prognostic significance of S100A4 expression in gallbladder cancer. Int J Oncol 2002;20:937–941.
Sato N, Fukushima N, Maitra A, et al. Gene expression profiling identifies genes associated with invasive intraductal papillary mucinous neoplasms of the pancreas. Am J Pathol 2004;164:903–914.
Davies BR, O’Donnell M, Durkan GC, et al. Expression of S100A4 protein is associated with metastasis and reduced survival in human bladder cancer. J Pathol 2002;196:292–299.
Cho YG, Nam SW, Kim TY, et al. Overexpression of S100A4 is closely related to the aggressiveness of gastric cancer. APMIS 2003;111:539–545.
Albertazzi E, Cajone F, Leone BE, et al. Expression of metastasis-associated genes h-mts1 (S100A4) and nm23 in carcinoma of breast is related to disease progression. DNA Cell Biol 1998;17:335–342.
Kimura K, Endo Y, Yonemura Y, et al. Clinical significance of S100A4 and E-cadherin-related adhesion molecules in non-small cell lung cancer. Int J Oncol 2000;16:1125–1131.
Gupta S, Hussain T, MacLennan GT, et al. Differential expression of S100A2 and S100A4 during progression of human prostate adenocarcinoma. J Clin Oncol 2003;21:106–112.
Mazzucchelli L . Protein S100A4: too long overlooked by pathologists? Am J Pathol 2002;160:7–13.
Li ZH, Bresnick AR . The S100A4 metastasis factor regulates cellular motility via a direct interaction with myosin-IIA. Cancer Res 2006;66:5173–5180.
FIGO IFoGaO. Announcements. Gynecol Oncol 1989;35:125–127.
Callaerts-Vegh Z, Evans KL, Shipley GL, et al. Effects of different beta adrenoceptor ligands in mice with permanent occlusion of the left anterior descending coronary artery. Br J Pharmacol 2003;138:1505–1516.
Herman JG, Graff JR, Myohanen S, et al. Methylation-specific PCR: a novel PCR assay for methylation status of CpG islands. Proc Natl Acad Sci USA 1996;93:9821–9826.
Sato N, Maitra A, Fukushima N, et al. Frequent hypomethylation of multiple genes overexpressed in pancreatic ductal adenocarcinoma. Cancer Res 2003;63:4158–4166.
Rosty C, Ueki T, Argani P, et al. Overexpression of S100A4 in pancreatic ductal adenocarcinomas is associated with poor differentiation and DNA hypomethylation. Am J Pathol 2002;160:45–50.
Deng L, Shipley GL, Loose-Mitchell DS, et al. Coordinate regulation of the production and signaling of retinoic acid by estrogen in the human endometrium. J Clin Endocrinol Metab 2003;88:2157–2163.
Prat J . Prognostic parameters of endometrial carcinoma. Hum Pathol 2004;35:649–662.
Tulchinsky E, Ford HL, Kramerov D, et al. Transcriptional analysis of the mts1 gene with specific reference to 5′ flanking sequences. Proc Natl Acad Sci USA 1992;89:9146–9150.
Engelkamp D, Schafer BW, Mattei MG, et al. Six S100 genes are clustered on human chromosome 1q21: identification of two genes coding for the two previously unreported calcium-binding proteins S100D and S100E. Proc Natl Acad Sci USA 1993;90:6547–6551.
Yisraeli J, Adelstein RS, Melloul D, et al. Muscle-specific activation of a methylated chimeric actin gene. Cell 1986;46:409–416.
Yisraeli J, Frank D, Razin A, et al. Effect of in vitro DNA methylation on beta-globin gene expression. Proc Natl Acad Sci USA 1988;85:4638–4642.
Tulchinsky E, Grigorian M, Tkatch T, et al. Transcriptional regulation of the mts1 gene in human lymphoma cells: the role of DNA-methylation. Biochim Biophys Acta 1995;1261:243–248.
Nakamura N, Takenaga K . Hypomethylation of the metastasis-associated S100A4 gene correlates with gene activation in human colon adenocarcinoma cell lines. Clin Exp Metastasis 1998;16:471–479.
Clarke RB, Anderson E, Howell A . Steroid receptors in human breast cancer. Trends Endocrinol Metab 2004;15:316–323.
Pedersen KB, Nesland JM, Fodstad O, et al. Expression of S100A4, E-cadherin, alpha- and beta-catenin in breast cancer biopsies. Br J Cancer 2002;87:1281–1286.
Thiery JP . Epithelial–mesenchymal transitions in tumour progression. Nat Rev Cancer 2002;2:442–454.
Kang Y, Massague J . Epithelial–mesenchymal transitions: twist in development and metastasis. Cell 2004;118:277–279.
Gotzmann J, Mikula M, Eger A, et al. Molecular aspects of epithelial cell plasticity: implications for local tumor invasion and metastasis. Mutat Res 2004;566:9–20.
Okada H, Danoff TM, Kalluri R, et al. Early role of Fsp1 in epithelial–mesenchymal transformation. Am J Physiol 1997;273:F563–F574.
Xue C, Plieth D, Venkov C, et al. The gatekeeper effect of epithelial–mesenchymal transition regulates the frequency of breast cancer metastasis. Cancer Res 2003;63:3386–3394.
Stein U, Arlt F, Walther W, et al. The metastasis-associated gene S100A4 is a novel target of beta-catenin/T-cell factor signaling in colon cancer. Gastroenterology 2006;131:1486–1500.
Kyo S, Sakaguchi J, Ohno S, et al. High Twist expression is involved in infiltrative endometrial cancer and affects patient survival. Hum Pathol 2006;37:431–438.
Yoshida H, Broaddus R, Cheng W, et al. Deregulation of the HOXA10 homeobox gene in endometrial carcinoma: role in epithelial–mesenchymal transition. Cancer Res 2006;66:889–897.
Das PM, Singal R . DNA methylation and cancer. J Clin Oncol 2004;22:4632–4642.
Szyf M, Pakneshan P, Rabbani SA . DNA demethylation and cancer: therapeutic implications. Cancer Lett 2004;211:133–143.
Swanton C, Nicke B, Downward J . RNA interference, DNA methylation, and gene silencing: a bright future for cancer therapy? Lancet Oncol 2004;5:653–654.
Pakneshan P, Szyf M, Farias-Eisner R, et al. Reversal of the hypomethylation status of urokinase (uPA) promoter blocks breast cancer growth and metastasis. J Biol Chem 2004;279:31735–31744.
Acknowledgements
We thank Dr Michael Goggins and Dr Norihiro Sato, Johns Hopkins University, for generously providing the primer sequences for S100A4 MSP, Dr Jean-Pierre Issa and Dr Yanis Boumber, MD Anderson Cancer Center, for help in the S100A4 methylation-specific PCR assay, and Dr Karen Lu (MD Anderson Cancer Center) and Dr James Pickar (Wyeth Research, Philadelphia, Pennsylavania) for providing endometrial RNA samples from hormone-treated women. This work was presented in part as a platform presentation during the 2006 United States and Canadian Academy of Pathology Annual Meeting.
Grant Support: NIH 1P50CA098258-01 (SPORE in Uterine Cancer), NIH N01-CN-05127 (Endometrial Chemoprevention Trial), and Schissler Foundation Graduate Student Fellowship in Cancer Research.
Author information
Affiliations
Corresponding author
Rights and permissions
About this article
Cite this article
Xie, R., Loose, D., Shipley, G. et al. Hypomethylation-induced expression of S100A4 in endometrial carcinoma. Mod Pathol 20, 1045–1054 (2007). https://doi.org/10.1038/modpathol.3800940
Received:
Accepted:
Published:
Issue Date:
DOI: https://doi.org/10.1038/modpathol.3800940
Keywords
- endometrial cancer
- S100A gene family
- S100A4
- methylation
Further reading
-
Nicotine attenuates global genomic DNA methylation by influencing DNMTs gene expression in human endometrial stromal cells
Genes and Environment (2020)
-
High expression of S100A4 and endoglin is associated with metastatic disease in head and neck squamous cell carcinoma
Clinical & Experimental Metastasis (2014)
-
S100A4 interacts with p53 in the nucleus and promotes p53 degradation
Oncogene (2013)
-
S100A4 calcium-binding protein is key player in tumor progression and metastasis: preclinical and clinical evidence
Cancer and Metastasis Reviews (2012)
-
Epigenetic regulation of S100 protein expression
Clinical Epigenetics (2011)




