Abstract
In this article, we investigated the effect induced by the reintroduction of wild-type p53 (wt-p53) protein on BCNU sensitivity in the ADF glioblastoma line. Using a wt-p53 recombinant adenovirus (Ad-p53), we demonstrated that exogenous wt-p53 expression was able to increase the sensitivity to BCNU in ADF cells. Interestingly, this effect was more evident when Ad-p53 infection was performed after BCNU treatment compared with the opposite sequence. To understand the biological basis of these different behaviors, we analyzed the cell cycle of the differently treated cells. We found that Ad-p53 infection induced a persistent accumulation of cells in the G0/G1 phase while, as expected, BCNU induced a block in the G2-M phase. Ad-p53→BCNU sequence did not significantly mod- ify the cell cycle profile in respect of Ad-p53 infected cells. In contrast, BCNU→Ad-p53 sequence provoked G2-M arrest similar to that observed after treatment with BCNU alone, but prevented the later recovery of the cells through the cell cycle, by driving the cells to apoptotic death. These results demonstrate that the administration sequence is important to increase drug sensitivity. To generalize the phenomenon observed on ADF line, the antiproliferative effect of the two different schedules was analyzed on other glioblastoma lines (A172, CRS-A2, U373MG) with different BCNU sensitivity and p53 status. The data obtained confirm that the wt-p53 gene transfer enhances BCNU sensitivity in glioblastoma cells depending on the administration sequence.
Introduction
Malignant glioblastomas are the most aggressive brain tumors and are considered incurable.1,2 The most important limitations of the chemotherapy are the intrinsic or acquired resistance of tumor cells to anti-cancer drugs and the toxicity of high doses of drug to normal tissues.3 In addition, only few chemotherapeutic agents, such as nitrosureas, are lipid-soluble and can penetrate into the central nervous system.4 For these reasons, the necessity of developing new approaches for the treatment of brain tumors is particularly urgent. Considering that glioblastoma is a disease generated through a process of genetic alterations, including inactivation of tumor suppressor genes,5 molecular therapy represents a potential novel approach for the treatment of these neoplasms.
The p53 tumor suppressor gene is the most commonly altered genetic locus detected in many different types of human malignancy, including brain cancers.5,6,7,8 Inactivation of p53 is an early event in brain tumors, suggesting that p53 is involved in glial tumorigenesis.9,10,11 Furthermore, studies of patients with recurrent tumors have demonstrated that progression of brain cancers from low to high grade is associated with p53 mutations, revealing a strong correlation between a selective growth advantage of tumor and p53 mutations.12,13 Restoration of wt-p53 function in different tumor types has been demonstrated to suppress the transformed phenotype by inducing growth arrest, apoptosis or cell differentiation.14,15 Studies on glioblastomas have shown that overexpression of wt-p53 suppress cell growth, and induces apoptotic cell death in vitro and in vivo.16,17,18,19 These findings have rendered p53 a potentially helpful target for gene therapy of brain tumors. However, one of the main obstacles of gene therapy is the lack of efficient vectors for gene transduction to express high levels of the protein of interest in the large majority of the tumor cells. To overcome this problem, two approaches have been suggested: the use of genes able to induce by-stander effect or the combination of low efficiency gene therapy with conventional treatments. It has been shown that the p53 gene is involved in cellular response to antineoplastic drugs,20,21 and that DNA damage can trigger apoptosis through activation of p53.22,23 Conversely, the absence of functional p53 can be associated with the inability of cells to undergo apoptosis in response to DNA damage24,25 with consequent development of drug resistance. These findings have convinced researchers to develop strategies aimed at the restoration of wt-p53 followed by antineoplastic drugs.26 However, the influence of a de novo expressed exogenous p53 on cellular sensitivity toward irradiation and DNA-damaging agents is still not clear. In some tumors, inactivation of p53 correlates with an increased resistance to radiation and several antineoplastic drugs (ie cisplatin, adriamycin and mitomicin C) and transduction of the wt-p53 gene increases the sensitivity.24,27,28,29,30 In contrast, in other tumors, the expression of exogenous wt-p53 reduces sensitivity,31 as well as the disruption of p53 function increases sensitivity.32,33
The goal of the present study was to determine whether the reintroduction of wt-p53 protein into glioblastoma cells by an adenoviral vector could increase the sensitivity to BCNU, the standard cytotoxic drug for gliomas using low doses of both drug and Ad-p53 infection. In addition, in order to clarify the role of an exogenous wt-p53 protein on drug sensitivity, the effects of different sequences of drug administration and virus infection were also evaluated. We found that expression of exogenous wt-p53 resulted in an increased sensitivity to BCNU. Interestingly, this effect was much more evident when exogenous wt-p53 was provided after the cytotoxic damage indicating, for the first time, that the sequence of drug and gene transfer administration is crucial in improving the treatment efficacy.
Results
Effect of BCNU treatment
To use an experimental tumor line suitable for the evaluation of gene- and chemo-therapy combination, the ADF glioblastoma line, the most resistant to BCNU, was selected from a panel of seven glioblastoma lines (LI, ADF, DF, CRS-A2, U87MG, U373MG, A172) tested for the sensitivity to BCNU. Figure 1 shows the survival curve of ADF cells exposed for 24 h to different doses of BCNU ranging from 5 to 100 μM. The analysis of the shape of the elicited survival curve indicates that the survival response is characterized by an initial threshold, where at doses ranging from 5 to 20 μM BCNU no decrease of survival is observed. The initial threshold is followed by an exponential decrease in cell survival until the dose of 75 μM. Survival reaches a plateau when all sensitive cells are sterilized and subsequent increments in drug concentration fail to augment the killing effect. Thus, about 20% of cells are unaffected even by high concentrations of BCNU, suggesting the presence of resistant cells.
Survival curve of ADF cells exposed for 24 h to different doses of BCNU ranging from 5 to 100 μM. To evaluate cell colony-forming ability, cell suspensions from different samples were seeded into Petri dishes for 10 days and then colonies were stained and counted. Surviving fractions were calculated as the ratio of absolute survival of the treated sample/survival of control sample. Data are representative of four experiments with similar results. Values are means (bars, s.e.) of triplicate samples.
For the combination experiments the dose of 30 μM of BCNU, which reduces cell survival of about 20%, was chosen.
p53 status
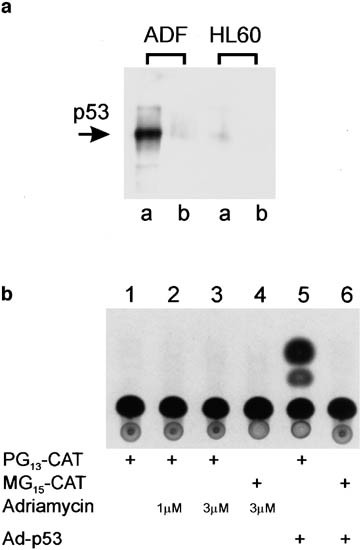
Since drug resistance is frequently associated with inactivation of p53 protein through mutations or interactions with viral or cellular proteins, the p53 status in ADF cell line in terms of protein configuration, gene sequence and transcriptional activity was examined. To evaluate the protein configuration, immunoprecipitation analysis was performed. Cells were immunoprecipitated with mAbs PAb 1620 and PAb 240 which, by this assay, selectively recognize the wild-type and the mutant forms of p53 protein, respectively.34 Figure 2a shows the Western blot analysis of immunoprecipitated p53 protein with mAbs PAb 1620 (a) and PAb 240 (b) in ADF and HL60 cells. HL60 cells, lacking in the endogenous p53 protein,35 were used as negative control. It is evident that only PAb 1620 immunoprecipitated p53 protein from ADF cells, demonstrating that p53 protein is expressed in wild-type conformation. To analyze if the wt-p53 protein configuration was associated with a wild-type gene, sequence analysis of exons 4–9 was performed. The data obtained show that the p53 gene is wild-type (data not shown). Since a wild-type configuration and sequence do not guarantee an intact p53 pathway, the p53 transcriptional activity over a p53-specific promoter was evaluated by CAT assay after genotoxic damage using two different adriamycin doses. Figure 2b shows that the activity of the PG13-CAT reporter gene is undetectable both in control and adriamycin-treated cells, while transcription activity is evident after overexpression of an exogenous wt-p53 protein. These data clearly demonstrate that endogenous p53 was devoid of transcriptional activity in spite of the wild-type configuration and sequence.
(a) Western blot analysis of immunoprecipitated p53 protein from ADF and HL60 cells. p53 protein was immunoprecipitated from cell lysates with mAbs PAb 1620 (lane a), which recognizes only the wild-type conformation of p53 and PAb 240 (lane b), which recognizes only the mutant form. p53 was immune-reacted with anti-p53 mAb Pab 1801. HL60 cells were used as negative control. (b) Activities of the PG13-CAT and MG15-CAT reporters in ADF cells with or without adriamycin treatment, or after Ad-p53 infection at MOI 10.
Effects of Ad-p53 infection
In order to establish the concentration of Ad-p53 to use for combination experiments, three different MOI of Ad-p53 were used and their effect evaluated in terms of inhibition of cell proliferation. Figure 3a shows the inhibition of cell proliferation of ADF cells exposed to different concentrations of Ad-p53 ranging from MOI 10 to 50. Ad-p53 infection causes a MOI-dependent inhibition of cell proliferation, being the reduction about 30, 50 and 90% at the MOI of 10, 20 and 50, respectively. The cells infected with the control dl70.3 vector at MOI 50 show a growth behavior comparable to that of uninfected cells. Ad-p53 MOIs that reduce cell proliferation less than 50% were also assessed in terms of cell survival. Figure 3b shows the survival curve of ADF cells exposed to increasing concentrations of Ad-p53 ranging from MOI 5 to 20. The curve reveals a surviving fraction of about 100% until MOI 10, whereas Ad-p53 at MOI 20 shows a decrease in cell survival of about 35%. The cells infected with dl70.3 vector result in a survival fraction similar to that observed in uninfected cells (data not shown). The MOI 10, able to affect cellular proliferation but lacking in cytotoxicity, was chosen for the combination experiments. Since, after infection adenoviral DNA remains in an episomal form, the expression of exogenous gene by adenoviral gene transfer is restricted to a limited period of time. Therefore, the levels of p53 expression were evaluated at different days after infection with MOI 10 of Ad-p53 by Western blot analysis. Figure 4a shows that the expression of p53 protein increases 1 day after the infection with the highest value at day 4 after infection. The densitometric analysis reveals that the amount of the newly expressed p53 protein is seven- and five-fold higher than the expression of the endogenous wt-p53 protein at day 4 and 7 after infection, respectively. The level of p53 protein expression after infection with dl70.3 was superimposable to that of uninfected ADF cells (data not shown).
(a) Inhibition of cell proliferation of ADF cells infected with different concentrations of Ad-p53 ranging from MOI 10 to 50 or dl70.3 at MOI 50. Analysis was performed 4 (white bars) and 6 (gray bars) days after infection. (b) Survival curve of ADF cells infected with different concentrations of Ad-p53 ranging from MOI 5 to 20. To evaluate cell colony-forming ability, cell suspensions from different samples were seeded into Petri dishes for 10 days and then colonies were stained and counted. Surviving fractions were calculated as the ratio of absolute survival of the treated sample/survival of control sample. Data are representative of four experiments with similar results. Values are means (bars, s.e.) of triplicate samples.
To assess whether the exogenous p53 was located in the nucleus and to evaluate if Ad-p53 was able to infect a large number of cells, indirect immunofluorescence of p53 protein was performed. Figure 4b shows that Ad-p53 infection induces high levels of p53 nuclear expression as compared with cells infected with control vector in which the endogenous p53 is not detectable. Furthermore, after Ad-p53 infection more than 90% of cells are positive for p53 expression (data not shown). Finally, the transcriptional activity of the exogenous wt-p53 protein was evaluated on the PG13-CAT construct. As shown in Figure 2b, MOI 10 of Ad-p53 are sufficient to restore p53 transcriptional activity, being the CAT activity of infected cells 50-fold higher than the activity of a similar reporter containing the mutated p53 DNA binding site.
Effect of BCNU before and after Ad-p53 infection
To investigate whether the reintroduction of exogenous wt-p53 protein can enhance the effect of BCNU on ADF cell line, cell proliferation of uninfected and infected cells was evaluated after BCNU treatment. The dose of 30 μM of BCNU and MOI 10 of Ad-p53 previously analyzed, were chosen for combination studies. ADF cells were exposed to BCNU before or after Ad-p53 infection as indicated in Figure 5a and described in Materials and methods. As reported in Figure 5b, Ad-p53 infected cells show a decrease in cell proliferation of about 25%, while BCNU at the dose of 30 μM causes a 30% inhibition of cell proliferation. The decrease of cell proliferation observed after these treatments is evident at day 2 after the end of treatment, but is not significant at day 6. Ad-p53 infected cells are more sensitive to BCNU exposure with respect to uninfected cells and this sensitization is closely related to the sequence of administration. Cells treated with Ad-p53→BCNU sequence show an inhibition of cell proliferation of about 50%. On the contrary, the BCNU→Ad-p53 sequence inhibits cell proliferation of about 80%. The marked difference in growth inhibition elicited by the two administration sequences is evident 1 day after the end of treatment and is also maintained to the same extent until day 6 of culture, thus suggesting that the tumor cell population is unable to recover the damage induced by BCNU and that the restored p53 function potentiates the BCNU effect. The efficacy of BCNU→Ad-p53 sequence is confirmed by the analysis of the surviving cells. BCNU treated and Ad-p53-infected cells showed cell survival of about 80% and 95%, respectively, while ADF cells treated with BCNU→Ad-p53 sequence showed a surviving fraction of about 38%.
Scheme of BCNU treatment performed on ADF cells after (Ad-p53→BCNU) or before (BCNU→Ad-p53) Ad-p53 infection. (b) Effect of BCNU treatment on cell proliferation of Ad-p53 infected and uninfected ADF cells. The following schedules were used: control (♦); Ad-p53 infection (▾); BCNU treatment (▪); Ad-p53→BCNU treatment (×); BCNU→Ad-p53 treatment (•). Data are representative of three experiments with similar results; values are means (bars, s.e.) of triplicate samples. When not shown, the s.e. is smaller than the symbols.
The behavior of dl70.3-infected cells was superimposable with that of control cells, while cells infected with dl70.3 vector exposed to BCNU show a superimposable cell growth and survival to that observed in uninfected cells treated with BCNU (data not shown).
Cell cycle perturbations and apoptosis
In an effort to elucidate the mechanism by which the two administration sequences cause different effects on ADF cells, the cell cycle distribution was analyzed. Figure 6 reveals that infection with Ad-p53 infection induces accumulation of cells in the G0/G1 phase, evident at days 2 and 3 after infection. This accumulation was concomitant with a decrease in the percentage of cells in the S phase. As expected, BCNU treatment induces G2-M phase accumulation already detectable 1 day after treatment and recovered 3 days after treatment. The cells treated with Ad-p53→BCNU sequence show a cell cycle distribution similar to that observed after Ad-p53 infection alone, but the block in the G0/G1 phase is less consistent. In addition, the G2-M block elicited by BCNU is not evident. On the contrary, the BCNU→Ad-p53 sequence causes G2-M phase accumulation, with an increased depletion of the S phase, at the same time and with a similar extent to those observed after BCNU treatment. Daily analysis to evaluate progression through cell cycle demonstrated that the most effective sequence prevents the cells from progressing through the cell cycle. Indeed, the simultaneous analysis of the apoptosis demonstrated that a large fraction of cell population (35%) belongs to a sub-G1 peak at day 3 after the end of treatment. In contrast, the cells treated with BCNU or infected with Ad-p53, or treated with the Ad-p53→BCNU sequence, did not show any relevant sub-G1 peak. Apoptotic death was confirmed by morphological analysis of cytocentrifuge preparations performed 2 days after the end of treatment. As shown in Figure 7, no apoptotic cells are observed in control- and BCNU-treated cells, while the morphological feature characteristic of apoptosis is evident when treating the cells with BCNU→Ad-p53 sequence. The cell cycle distribution of dl70.3 infected cells was superimposable with that of control cells, while cells infected with dl70.3 vector exposed to BCNU show a cell cycle distribution superimposable with that of uninfected cells treated with BCNU (data not shown).
Percentage of ADF cells in the different phases of cell cycle and in the sub-G1 peak measured by flow cytometry. Cell cycle distribution and sub-G1 peak were analyzed at days 1, 2 and 3 after the end of treatment. The following schedules were employed: Ad-p53 infection, BCNU treatment, Ad-p53→BCNU and BCNU→Ad-p53.
Phase-contrast and Hoechst staining microphotographs of ADF control cells (a), BCNU treated cells (b), and BCNU→Ad-p53 treated cells (c). Two days after the end of treatment cells were fixed in 4% formaldehyde and stained with Hoechst dye. Note chromatin condensation and chromatin granules in BCNU→Ad-p53 sequence (c).
Effect of BCNU before and after Ad-p53 infection in glioblastoma lines
In order to confirm whether the BCNU→Ad-p53 sequence is more effective than the opposite sequence in other glioblastoma lines, A172, CRS-A2 and U373MG with different sensitivity to BCNU with respect to the ADF line, were employed. Moreover, as also reported by other authors,18 the U373MG line displays a mutation at the hot spot codon 273, while A172 and the CRS-A2 line showed a p53 wt (data not shown). All three lines exposed at doses ranging from 5 to 100 μM BCNU showed a greater sensitivity than the ADF line. In particular, the IC50value was 25 μM for A172 and CRS-A2 lines and 30 μM for U373MG line. Moreover, at a dose of 100 μM BCNU, all U373MG and CRS-A2 cells died. The same killing effect was observed at the dose of 75 μM for A172 cells.
The dose of 20 μM BCNU and MOI 10 of Ad-p53 were employed for combination experiments. Figure 8 shows the inhibition of cell proliferation of the three lines not infected or Ad-p53 infected exposed to BCNU. 10 MOI Ad-p53 infection decreases cell proliferation of the A172 and the CRS-A2 lines by about 15–20% (Figure 8a and b), while 10 MOI Ad-p53 infection reduces cell proliferation of U373MG by about 25–35% (Figure 8c). BCNU administered as a single agent reduces cell proliferation of A172 and CRS-A2 (Figure 8a and b) to a similar extent, the maximum effect was observed at day 6 of growth with a decrease of about 45%. The U373MG line is less sensitive to BCNU, in fact the reduction of cell proliferation, at nadir, is about 30% (Figure 8c).
Effect of BCNU treatment on cell proliferation of Ad-p53 infected and uninfected A172 (a), CRS-A2 (b) and U373MG (c) cells. The following schedules were used: control (♦); Ad-p53 infection (▴); BCNU treatment (▪); Ad-p53→BCNU treatment (X); BCNU→Ad-p53 treatment (•). Data are representative of three experiments with similar results; values are means (bars, s.e.) of triplicate samples. When not shown, the s.e. is smaller than the symbols.
The combination experiments were performed according to the schedules reported in Figure 5a. The efficacy of the combination is strictly sequence-dependent for all three lines. In fact, Ad-p53→BCNU sequence decreases cell proliferation to the same extent that BCNU does, on the contrary, as already observed for the ADF line, the opposite sequence (BCNU→Ad-p53) reduces cell proliferation by about 80% for A172 and CRS-A2 and about 90% for U373MG cells. Cells infected with dl 70.3 vector show a growth curve similar to that of the control cells, while cells infected with dl70.3 vector exposed to BCNU show a growth curve superimposable with that of uninfected cells treated with BCNU (data not shown).
Discussion
A number of previous studies have shown that the restoration of wt-p53 may increase or decrease drug sensitivity,27,28,29,30,31,32,33 indicating that p53 status may influence the response of human cancers to chemotherapy in cell- and drug-specific manners. It has also been demonstrated that p53 might have a dual function including either its classical role as ‘guardian of the genome’ where the induction of cell cycle arrest tends to protect genomic integrity, or alternatively, a much more destructive role in which p53 drives the cells to apoptotic death.16,17,18
In order to clarify the role played by an exogenous wt-p53 protein on drug sensitivity of glioblastoma cells, we evaluated the efficacy of different sequences of drug administration and p53 gene therapy. The possibility that Ad-p53 infection can differently affect drug sensitivity of glioblastoma depending on the sequence of infection and drug administration is related to the fact that the proliferative status of cells is an important factor in the response to antineoplastic agents.36 Indeed, non-proliferating cells are generally more resistant to those drugs that require DNA synthesis to provoke DNA damage. Thus, it would be possible that p53-induced G0/G1 arrest rather than restoring drug sensitivity might prevent the damage provoked by a subsequent drug administration because a reduced percentage of the cells synthesizes DNA.
The choice of glioblastoma was related to the poor response to conventional therapy and to frequent alteration of the p53 gene in this tumor histotype. The ADF glioblastoma line, showing resistance to BCNU and loss of wt-p53 function was a good candidate for our chemo- and gene-therapy approaches. BCNU was chosen because it is the standard cytotoxic drug for gliomas and the effect of p53 status on the response of these tumors to BCNU, surprisingly, has not yet been studied. Since high concentrations of p53 are difficult to reach in patients by the vectors available so far, and high doses of BCNU cannot be used in vivo for their side-effects, we evaluated the efficacy of low concentration of p53 infection and low doses of BCNU. The effects of the different treatments alone or in combination were evaluated by assessing the inhibition of cell proliferation, cell cycle perturbation and apoptosis. We have used several glioblastoma lines with different sensitivity to BCNU and p53 status to define a favorable sequence of treatment for glioblastoma cells. Ad-p53 infection and BCNU treatment per se, at the concentration and time employed, induced a slight inhibition of cell proliferation and survival and differently modified cell cycle distribution. In particular, Ad-p53-infected cells showed a persistent S phase depletion and G0/G1 accumulation without induction of apoptosis, thus suggesting that the reduced cell proliferation observed after Ad-p53 infection might be attributed simply to an overall increase in the duplication time of cell population. This result is in agreement with those of other authors showing that the levels of p53 expression that inhibit proliferation may not be sufficient by themselves to induce cell death.17 BCNU treatment triggered a low level of apoptosis but, more relevant, induced the characteristic block in the G2-M phase of the cell cycle that was recovered during the days following the treatment as shown by the cell cycle repopulation. This behavior is frequently observed after treatment with drugs that induce DNA damage and it is generally accepted that the chemoresistance resides in the ability of the cells to overcome G2-M block repopulating cell cycle phases.36 The Ad-p53→BCNU sequence produced a greater inhibitory effect on cell proliferation than did Ad-p53 or BCNU alone but did not induce apoptosis. The percentage of cells in the different phases of the cell cycle was similar to that observed after Ad-p53 infection alone and the block in the G0/G1 phase was less consistent. Moreover, the BCNU-induced block in the G2-M phase was not evident, suggesting that the arrest in the G0/G1 phase of the cell cycle elicited by Ad-p53 infection might prevent the block in G2-M induced by BCNU and might reduce apoptosis. Since, from a clinical point of view apoptotic death is the final outcome that can define the success of therapy, data still do not support the hypothesis that previous expression of an exogenous wt-p53 protein can sensitize glioblastoma cells to BCNU. Interestingly, the sequence BCNU→Ad-p53 was able to significantly increase the number of apoptotic cells. The analyses of proliferation and survival clearly indicated that the tumor cells, which can recover from the cytotoxic effect induced by BCNU treatment alone, are impaired in this activity when Ad-p53 infection is performed at the time when BCNU has already induced a DNA damage. Thus, diversely from what is commonly believed, these results suggest that it is not only the restoration of wt-p53 function per se which modulates drug sensitivity, but rather that p53 activity can be pharmacologically used together with conventional chemotherapy to modulate drug resistance. Indeed, together with the effects on cell proliferation and survival, the BCNU→Ad-p53 sequence induced a complex cellular response comprising perturbation of the cell cycle and programmed cell death. In particular, we observed arrest in the G2-M phase and prevention of the cells from progression through the cell cycle. In addition, a fraction of cells unable to repopulate the cell cycle died by apoptosis. Our results might be interpreted according to previous studies showing that wt-p53 can induce apoptosis by forcing exit from the G2 checkpoint induced by treatment with γ-ray37 or etoposide.38 These results indicate that wt-p53 can override the drug-induced G2 block, resulting in an important increase in the lethal effect of the drug. In this view we think that it might be relevant to consider the p53-based gene therapy as a pharmacological approach. It is, indeed, possible that the apoptotic action determined by p53 in the BCNU→Ad-p53 sequence is not due to a physiological function of wt-p53 protein, but rather depends on the fact that the G2 checkpoint is targeted by a double hit (ie BCNU-induced damage plus inappropriate p53 activation). Interestingly, this is the first evidence indicating that the sequence of BCNU treatment and wt-p53 gene therapy is an important factor for the success of the treatment. The importance of the administration sequence is also confirmed by the results obtained employing three other glioblastoma lines (A172, CRS-A2 and U373MG) which show an increased sensitivity to BCNU in respect of the ADF line. In addition the effect of the administration sequence is independent of p53 status. In fact U373MG cells, with mutated p53, exposed to BCNU→Adp53 sequence show a significant decrease in cell proliferation with respect to the cell inhibition observed when treating the population with the opposite sequence.
The data reported here suggest that in situations in which sustained expression of wt-p53 cannot be achieved or in which the levels of expression are insufficient to induce apoptosis significantly, wt-p53 can be used as a therapeutic agent in combination with conventional antineoplastic drug, showing a much more destructive role than the single treatments by driving significant numbers of cells to apoptosis. Our results identify a new way of using the p53 gene, which can have several important implications aiming at expressing an exogenous wt-p53 as a pharmacological treatment to force the block of the G2-M checkpoint. These findings might open the way of developing new approaches to glioblastoma tumor treatments that combine chemotherapy followed by wt-p53 gene therapy.
Materials and methods
Glioblastoma cells and culture conditions
The ADF line was established in our laboratory from surgical specimens of a glioblastoma multiform.39 The cell line A172 was obtained from the American Type Culture Collection (Rockville, MD, USA). The cell lines CRS-A2 was provided generously by Dr M Paggi (Regina Elena Cancer Institute, Rome, Italy)40 while the cell line U373MG was kindly provided by Dr D Saggioro (Institute of Oncology, University of Padova, Italy). The glioblastoma cell lines were maintained in RPMI-1640 medium supplemented with 10% fetal calf serum, L- glutamine and antibiotics, in humidified atmosphere with 5% CO2 at 37°C.
p53 infection conditions
E1-deleted, replication-deficient recombinant adenovirus (AdJL16) carrying human wild-type p53 under control of the human cytomegalovirus promoter (Ad-p53) and the correlated empty adenovirus (dl70.3) kindly provided by S Bacchetti and F Graham (MacMaster University, Ontario, Canada), respectively, were used.41 Viral titers were determined by plaque formation assay following infection of 293 cells. Experimental infection of the cells was carried out by diluting viral stock to certain concentrations, adding viral solutions to cell suspension and incubating at 37°C for 1 h with brief agitation every 10 min. The cells were then plated on culture dishes. The multiplicity of infection (MOI) was defined as the ratio of total number of plaque forming units used in a particular infection per total number of cancer cells to be infected.
Analysis of p53 protein
The p53 configuration was determined by performing immunoprecipitation experiments as previously reported with minor modifications.42 Briefly, cell lysates were incubated with anti-p53 monoclonal antibody (mAb) PAb 1620, (Ab-5; Oncogene Science, Uniondale, NY, USA) or PAb 240 (Ab-3; Oncogene Science). Immunocomplexes were precipitated with Immunopure Plus protein A, when using PAb 1620 (Pierce Europe, Oud Beijerland, The Netherlands), or Immunopure Plus protein G, when using PAb 240 (Pierce Europe), washed four times with lysis buffer and analyzed on SDS-PAGE. Immonublotting for p53 expression was performed using the mouse anti-p53 mAb PAb 1801. p53 protein was detected by both Western blot and indirect immunofluorescence. For Western blot, exponentially growing cells were infected with Ad-p53 at MOI 10. At different time-points after tumor cell infection, equal amounts of total cellular proteins were electrophoresed through 12% SDS-PAGE and analyzed as described above. Indirect immunofluorescence was performed 2 days after infection with Ad-p53 or dl70.3 at MOI 10, as previously described.42
CAT assay
The plasmids PG13-CAT and MG15-CAT,15 were generous gifts from B Vogelstein (John Hopkins Oncology Center, Baltimore, MD, USA). CAT assay was performed on cells 12 h after adriamycin (ADR) treatment (1 or 3 μM) or 24 h after Ad-p53 infection. Transfection of cells was carried out by electroporation in the presence of 15 μg of CAT reporter genes and 4 μg of β-galactosidase expression vector PEQ176 to measure transfection efficiency. Protein was extract for β-galactosidase (β-gal) and CAT assays 48 h after transfection by three cycles of rapid freezing and thawing and the protein concentration was quantified using the bicinchoninic acid protein assay reagent (BCA, Pierce Chemical, Rockford, IL, USA). The β-gal assay was carried out according to the published procedure.43 Duplicate β-gal assays were normalized based on protein amount loaded at each point. CAT activity in equal numbers of β-gal units from different transfection was measured by using 14C- chloramphenicol and acetyl coenzima A.44 Acetylated chloramphenicol was separated from non-acetylated chloramphenicol by thin-layer chromatography and quantified after autoradiography by means of slide scanner (Bio-Rad, Milano, Italy).
BCNU treatment of infected and uninfected cells
1,3-Bis-nitrosurea (BCNU, Bristol-Myers, Syracuse, NY, USA) supplied for clinical use was dissolved in 10% ethanol at a concentration of 25 mM. The drug was stored at −80°C and adjusted with culture media to the final concentrations at the time of cell treatment. BCNU was administered for 24 h. Ad-p53 infection on ADF, A172, CRS-A2, U373MG cells was performed 24 h before (Ad-p53→BCNU) or after (BCNU→Ad-p53) BCNU treatment as reported in the scheme of Figure 5a. In particular, for Ad-p53→BCNU sequence, cells in suspension were infected for 1 h with Ad-p53, plated on dishes (day −2), and 24 h later exposed to BCNU (day −1). At the end of treatment (day 0) the cells were harvested, counted and replated. For BCNU→Ad-p53 sequence, cells were seeded (day −2) and 24 h later treated with BCNU (day −1), then harvested, infected for 1 h with Ad-p53 and replated (day 0). Experiments using dl70.3 empty vector instead of Ad-p53 were also performed as control. The antiproliferative effect was evaluated daily, based on cell number, as assessed by a Coulter counter (model ZM; Kontron Instruments, Luton, UK), and viability by trypan blue exclusion, starting from the end of treatment (day 0). To evaluate cell colony-forming ability, cell suspensions from different samples were seeded into 60-mm Petri dishes for 10 days. Colonies were stained with 2% methylene blue in 95% ethanol and counted (one colony >50 cells). Surviving fractions were calculated as the ratio of absolute survival of the treated sample per survival of control sample. All experiments were repeated four times in triplicate.
Cell cycle analysis and apoptosis
Cell percentages in the different phases of the cell cycle were estimated as previously described.42
Apoptosis was detected by flow cytometry and by morphological examination. Flow cytometric analysis of permeabilized PI-stained cells was performed as previously reported.42 Cytocentrifuge preparations were stained with Hoechst 33258 dye (Sigma, Milan, Italy) and cover-slipped. Cell morphology was evaluated by fluorescence microscopy.
References
Maxwell M et al. Coexpression of platelet-derived growth factor (PDGF) and PDGF-receptor genes by primary human astrocytomas may contribute to their development and maintenance J Clin Invest 1990 86: 131–140
Ammirati M, Galicch JH, Arbit E, Liao Y . Re-operation in the treatment of recurrent intracranial malignant gliomas Neurosurgery 1987 21: 607–614
Tannock IF . Experimental chemotherapy and concepts related to the cell cycle Int J Radiat Biol 1986 49: 335–355
Brandes AA, Fiorentino MV . The role of chemotherapy in recurrent malignant gliomas: an overview Cancer Invest 1996 14: 551–559
Ohgaki H et al. Mutations of the p53 tumor suppressor gene in neoplasms of the human nervous system Mol Carcinog 1993 8: 74–80
Frankel RH, Bayona W, Koslow M, Newcomb EW . P53 mutations in human malignant gliomas: comparison of loss of heterozygosity with mutation frequency Cancer Res 1992 52: 1427–1433
Hollstein M, Sidransky D, Vogelstein B, Harris CC . P53 mutations in human cancers Science 1991 253: 49–53
Levine AJ, Momand J, Finlay CA . The p53 tumour suppressor gene Nature 1991 351: 453–455
Fults D et al. P53 mutation and loss of heterozygosity on chromosomes 17 and 10 during human astrocytoma progression Cancer Res 1992 52: 674–679
Malkin D . P53 and the Li–Fraumeni syndrome Cancer Genet Cytogenet 1993 66: 83–92
Louis DN . The p53 gene and protein in human brain tumors J Neuropathol Exp Neurol 1994 53: 11–21
Hayashi Y, Yamashita J, Yamaguchi K . Timing and role of p53 gene mutation in the recurrence of glioma Biochem Biophys Res Comm 1991 180: 1145–1150
Sidranski D et al. Clonal expansion of p53 mutant cells is associated with brain tumour progression Nature 1992 355: 846–847
Gottlied TM, Oren M . P53 in growth control and neoplasia Biochim Biophys Acta 1996 1287: 77–102
Soddu S et al. Interference with p53 protein inhibits hematopoietic and muscle differentiation J Cell Biol 1996 134: 11–12
Mercer WE et al. Negative growth regulation in a glioblastoma tumor cell line that conditionally expresses human wild-type p53 Proc Natl Acad Sci USA 1990 87: 6166–6170
Köck H et al. Adenovirus-mediated p53 gene transfer suppresses growth of human glioblastoma cells in vitro and in vivo Int J Cancer 1996 67: 808–815
Gomez-Manzano C et al. Adenovirus-mediated transfer of the p53 gene produces rapid and generalized death of human glioma cells via apoptosis Cancer Res 1996 56: 694–699
Merzak A et al. Human wild-type p53 inhibits cell proliferation and elicits dramatic morphological changes in human glioma cell lines in vitro J Neurol Sci 1994 127: 125–133
Kuerbitz SJ, Plunkett BS, Walsh WV, Kastan MB . Wild-type p53 is a cell cycle checkpoint determinant following irradiation Proc Natl Acad Sci USA 1992 89: 7491–7495
Fan S et al. P53 gene mutations are associated with decreased sensitivity of human lymphoma cells to DNA-damaging agents Cancer Res 1994 54: 5824–5830
Shaw P et al. Induction of apoptosis by wild-type p53 in a human colon tumor derived cell line Proc Natl Acad Sci. USA 1992 89: 4495–4499
Yonsh-Roach E et al. Wild-type p53 induces apoptosis of myeloid leukemic cells that is inhibited by interleukin 6 Nature 1991 352: 345–347
Lowe SW et al. P53 is required for radiation-induced apoptosis in mouse thymocites Nature 1993 362: 847–850
Donehower LA et al. Mice deficient for p53 are develomentally normal but suseptible to spontaneous tumours Nature 1992 356: 215–218
Ozturk M, Ponchel F, Pulsleux A . P53 as a potential target in cancer therapy Bone Marrow Transplant 1992 9: 164–170
Gjerset RA et al. Use of wild-type p53 to achieve complete treatment sensitization of tumor cells expressing endogenous mutant p53 Mol Carcinog 1995 14: 275–285
Blagosklonny MV, El-Deiry WS . In vitro evaluation of a p53-expressing adenovirus as an anti-cancer drug Int J Cancer 1996 67: 386–392
Clarke AR et al. Thymocyte apoptosis induced by p53-dependent and independent pathways Nature 1993 362: 849–852
Lowe SW, Ruley HE, Jacks T, Housman DE . P53-dependent apoptosis modulates the cytotoxicity of anticancer agents Cell 1993 74: 957–967
Parsels LA et al. Prevention of fluorodeoxyuridine-induced cytotoxicity and DNA damage in HT29 colon carcinoma cells by conditional expression of wild-type p53 phenotype Mol Pharmacol 1997 52: 600–605
Brachman DG et al. P53 mutation does not correlate with radiosensitivity in head and neck cancer cell lines Cancer Res 1993 53: 3666–3669
Fan S et al. Disruption of p53 function sensitizes breast cancer MCF-7 cells to cisplatin and pentoxifylline Cancer Res 1995 55: 1649–1654
Gannon JV, Greaves R, Iggo R, Lane DP . Activating mutations in p53 produce a common conformational effect. A monoclonal antibody specific for the mutant form EMBO J 1990 9: 1595–1602
Wolf D, Rotter V . Major deletions in the gene encoding the p53 tumor antigen cause lack of p53 expression in HL60 cells Proc Natl Acad Sci. USA 1985 82: 790–794
Tannock IF . Cell kinetics and chemotherapy: a critical review Cancer Treat Rep 1978 62: 1117–1133
Guillouf C et al. P53 involvement in control of G2 exit of the cell cycle: role in DNA damage-induced apoptosis Oncogene 1995 10: 2263–2270
Skladanowski A, Larsen AK . Expression of wild-type p53 increases etoposide cytotoxicity in M1 myeloid leukemia cells by facilitated G2 to M transition: implications for gene therapy Cancer Res 1997 57: 818–823
Fabrizi C et al. Interferon gamma up-regulates alpha 2 macroglobulin expression in human astrocytoma cells J Neuroimmunol 1994 53: 31–37
Paggi MG et al. Defective human retinoblastoma protein identified by lack of interaction with the E1A oncoprotein Cancer Res 1994 54: 1098–1104
Bacchetti S, Graham FL . Inhibition of cell proliferation by an adenovirus vector expressing the human wild-type p53 protein Int J Cancer 1993 3: 781–788
Del Bufalo D et al. Lonidamine induces apoptosis in drug-resistant cells independently of the p53 gene J Clin Invest 1996 98: 1165–1173
Eustice DC et al. A sensitive method for the detection of beta-galactosidase in transfected mammalian cells Biotechniques 1991 11: 739–740
Gorman CM, Moffat LF, Howard BH . Recombinant genomes which express chloramphenicol in mammalian cells Mol Cell Biol 1982 2: 1044–1051
Acknowledgements
We thank S Bacchetti and F Graham for generous gift of recombinant adenovirus and B Vogelstein for providing the PG13-CAT and MG15-CAT vectors. We are grateful to Mrs Simona Righi for typing this manuscript. AB is a recipient of fellowships from AIRC. AR is a recipient of fellowships from FIRC. This work was supported by Italian Association for Cancer Research, Ministero della Sanità and Italy-USA Program.
Author information
Affiliations
Rights and permissions
About this article
Cite this article
Biroccio, A., Del Bufalo, D., Ricca, A. et al. Increase of BCNU sensitivity by wt-p53 gene therapy in glioblastoma lines depends on the administration schedule. Gene Ther 6, 1064–1072 (1999). https://doi.org/10.1038/sj.gt.3300935
Received:
Accepted:
Published:
Issue Date:
DOI: https://doi.org/10.1038/sj.gt.3300935
Keywords
- BCNU
- wt-p53
- gene therapy
- glioblastoma
Further reading
-
p53-dependent regulation of Mcl-1 contributes to synergistic cell death by ionizing radiation and the Bcl-2/Bcl-XL inhibitor ABT-737
Apoptosis (2012)
-
Multifactorial anticancer effects of digalloyl-resveratrol encompass apoptosis, cell-cycle arrest, and inhibition of lymphendothelial gap formation in vitro
British Journal of Cancer (2010)
-
Drugs targeting the mitochondrial pore act as citotoxic and cytostatic agents in temozolomide-resistant glioma cells
Journal of Translational Medicine (2009)
-
Combined effects of adenovirus-mediated wild-type p53 transduction, temozolomide and poly (ADP-ribose) polymerase inhibitor in mismatch repair deficient and non-proliferating tumor cells
Cell Death & Differentiation (2001)







