Abstract
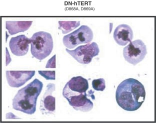
Telomeres play an important role in the proliferation and senescence of normal and malignant cells. To test the role of telomerase in acute myeloid leukemia (AML), we expressed the telomerase reverse transcriptase (hTERT) gene, a dominant-negative hTERT (DN-hTERT) (D868A, D869A) gene, or a gene encoding green fluorescence protein (GFP) in the leukemia cell line K562 and in primary AML cells from different patients, using retroviral vectors. Cells transduced with hTERT exhibited elevated levels of telomerase activity compared to GFP controls, whereas cells expressing DN-hTERT had decreased telomerase activity. K562 populations transduced with DN-hTERT showed reduced clonogenicity, telomere dysfunction and increased numbers of apoptotic cells compared to GFP- or hTERT-transduced cells. Two of four clones transduced with DN-hTERT died after 30 and 53 population doublings, respectively. Transduced AML cells were tested in primary colony-forming unit (CFU) and suspension culture assays. Relative to hTERT- and GFP-transduced controls, AML cells transfected with DN-hTERT produced fewer CFU and showed lower engraftment after transplantation into sublethally irradiated β2-m−/− nonobese diabetic/severe combined immunodeficient mice. We conclude that telomerase is limiting the growth of the leukemic cell line K562 and primary AML progenitor cells. Our data warrant further studies of the therapeutic use of telomerase inhibitors in AML.
This is a preview of subscription content, access via your institution
Access options
Subscribe to this journal
Receive 12 print issues and online access
276,54 € per year
only 23,05 € per issue
Buy this article
- Purchase on SpringerLink
- Instant access to full article PDF
Prices may be subject to local taxes which are calculated during checkout






References
Blackburn EH . Structure and function of telomeres. Nature 1991; 350: 569–572.
Broccoli D, Smogorzewska A, Chong L, de Lange T . Human telomeres contain two distinct Myb-related proteins, TRF1 and TRF2. Nat Genet 1997; 17: 231–235.
Blackburn EH . Telomeres: no end in sight. Cell 1994; 77: 621–623.
de Lange T . Telomere dynamics and genome instability in human cancer. In: Telomeres. New York: Cold Spring Harbor Laboratory Press, 1995, pp 265–293.
Zakian VA . Telomeres: beginning to understand the end. Science 1995; 270: 1601–1607.
Greider CW . Telomere length regulation. Annu Rev Biochem 1996; 65: 337–365.
Blackburn EH . Telomerases. Annu Rev Biochem 1992; 61: 113–129.
Lingner J, Hughes TR, Shevchenko A, Mann M, Lundblad V, Cech TR . Reverse transcriptase motifs in the catalytic subunit of telomerase. Science 1997; 276: 561–567.
McEachern MJ, Krauskopf A, Blackburn EH . Telomeres and their control. Annu Rev Genet 2000; 34: 331–358.
Watson JD . Origin of concatameric T4 DNA. Nat New Biol 1972; 239: 197–201.
Olovnikov AM . A theory of marginotomy. The incomplete copying of template margin in enzymic synthesis of polynucleotides and biological significance of the phenomenon. J Theor Biol 1973; 41: 181–190.
Levy MZ, Allsopp RC, Futcher AB, Greider CW, Harley CB . Telomere end-replication problem and cell aging. J Mol Biol 1992; 225: 951–960.
Harley CB . Telomeres and Aging. In: Telomeres. Cold Spring Harbor, NY: Cold Spring Harbor Laboratory Press, 1995, pp 247–265.
Saretzki G, Sitte N, Merkel U, Wurm RE, von Zglinicki T . Telomere shortening triggers a p53-dependent cell cycle arrest via accumulation of G-rich single stranded DNA fragments. Oncogene 1999; 18: 5148–5158.
Harley CB, Futcher AB, Greider CW . Telomeres shorten during ageing of human fibroblasts. Nature 1990; 345: 458–460.
Wright WE, Shay JW . Telomere positional effects and the regulation of cellular senescence. TIG 1992; 8: 193–197.
Allsopp RC, Vaziri H, Patterson C, Goldstein S, Younglai EV, Futcher AB et al. Telomere length predicts replicative capacity of human fibroblasts. Proc Natl Acad Sci USA 1992; 89: 10114–10118.
von Zglinicki T, Pilger R, Sitte N . Accumulation of single-strand breaks is the major cause of telomere shortening in human fibroblasts. Free Radic Biol Med 2000; 28: 64–74.
Counter CM, Gupta J, Harley CB, Leber B, Bacchetti S . Telomerase activity in normal leukocytes and in hematologic malignancies. Blood 1995; 85: 2315–2320.
Ohyashiki JH, Ohyashiki K, Iwama H, Hayashi S, Toyama K, Shay JW . Clinical implications of telomerase activity levels in acute leukemia. Clin Cancer Res 1997; 3: 619–625.
Engelhardt M, Mackenzie K, Drullinsky P, Silver RT, Moore MAS . Telomerase activity and telomere length in acute and chronic leukemia, pre and post-ex vivo culture. Cancer Res 2000; 60: 610–617.
Sawyers CL, Denny CT, Witte ON . Leukemia and the disruption of normal hematopoiesis. Cell 1991; 64: 337–350.
Haase D, Feuring-Buske M, Konemann S, Fonatsch C, Troff C, Verbeek W et al. Evidence for malignant transformation in acute myeloid leukemia at the level of early hematopoietic stem cells by cytogenetic analysis of CD34+ subpopulations. Blood 1995; 86: 2906–2912.
Fialkow PJ, Martin PJ, Najfeld V, Penfold GK, Jacobson RJ, Hansen JA . Evidence for a multistep pathogenesis of chronic myelogenous leukemia. Blood 1981; 58: 158–163.
Sutherland HJ, Blair A, Zapf RW . Characterization of a hierarchy in human acute myeloid leukemia progenitor cells. Blood 1996; 87: 4754–4761.
Bonnet D, Dick JE . Human acute myeloid leukemia is organized as a hierarchy that originates from a primitive hematopoietic cell. Nat Med 1997; 3: 730–736.
Lapidot T, Sirard C, Vormoor J, Murdoch B, Hoang T, Caceres-Cortes J et al. A cell initiating human acute myeloid leukaemia after transplantation into SCID mice. Nature 1994; 367: 645–648.
Sabbath KD, Ball ED, Larcom P, Davis RB, Griffin JD . Heterogeneity of clonogenic cells in acute myeloblastic leukemia. J Clin Invest 1985; 75: 746–753.
Blair A, Hogge DE, Ailles LE, Lansdorp PM, Sutherland HJ . Lack of expression of Thy-1 (CD90) on acute myeloid leukaemia cells with long-term proliferative ability in vitro and in vivo. Blood 1997; 89: 3104–3112.
Hahn WC, Stewart SA, Brooks MW, York SG, Eaton E, Kurachi A et al. Inhibition of telomerase limits the growth of human cancer cells. Nat Med 1999; 5: 1164–1170.
Zhang X, Mar V, Zhou W, Harrington L, Robinson MO . Telomere shortening and apoptosis in telomerase-inhibited human tumor cells. Genes Dev 1999; 13: 2388–2399.
Hawley RG, Lieu FHL, Fong AZC, Hawley TS . Versatile retroviral vectors for potential use in gene therapy. Gene Therapy 1994; 1: 136–138.
Miller AD, Garcia JV, von Suhr N, Lynch CM, Wilson C, Eiden MV . Construction and properties of retrovirus packaging cells based on gibbon ape leukemia virus. J Virol 1991; 65: 2220–2224.
Lansdorp PM, Dragowska W . Long-term erythropoiesis from constant numbers of CD34+ cells in serum-free cultures initiated with highly purified progenitor cells from human bone marrow. J Exp Med 1992; 175: 1501–1509.
Blair A, Hogge DE, Sutherland HJ . Most acute myeloid leukaemia progenitor cells with long-term proliferative ability in vitro and in vivo have the phenotype CD34+/CD71−/HLA-DR−. Blood 1998; 92: 4325–4335.
Verlinden SF, van Es HH, van Bekkum DW . Serial bone marrow sampling for long-term follow up of human hematopoiesis in NOD/SCID mice. Exp Hematol 1998; 26: 627–630.
Kim NW, Wu F . Advances in quantification and characterization of telomerase activity by the telomeric repeat amplification protocol (TRAP). Nucleic Acids Res 1997; 25: 2595–2597.
Rufer N, Dragowska W, Thornbury G, Roosnek E, Lansdorp PM . Telomere length dynamics in human lymphocyte subpopulations measured by flow cytometry. Nat Biotechnol 1998; 16: 743–747.
Gisselsson D, Jonson T, Petersen A, Strombeck B, Dal Cin P, Hoglund M, Mitelman F, Mertens F, Mandahl N . Telomere dysfunction triggers extensive DNA fragmentation and evolution of complex chromosome abnormalities in human malignant tumors. Proc Natl Acad Sci USA 2001; 98: 12683–12688.
Röth A, Yssel H, Pène J, Chavez EA, Schertzer M, Lansdorp PM et al. Telomerase levels control the life span of human T lymphocytes. Blood 2003; 102: 849–857.
Maser RS, DePinho RA . Connecting chromosomes, crisis, and cancer. Science 2002; 297: 565–569.
Tauchi T, Nakajima A, Sashida G, Shimamoto T, Ohyashiki JH, Abe K et al. Inhibition of human telomerase enhances the effect of the tyrosine kinase inhibitor, imatinib, in BCR-ABL-positive leukemia cells. Clin Cancer Res 2002; 8: 3341–3347.
O'Hagan RC, Chang S, Maser RS, Mohan R, Artandi SE, Chin L et al. Telomere dysfunction provokes regional amplification and deletion in cancer genomes. Cancer Cell 2002; 2: 149–155.
Ailles LE, Humphries RK, Thomas TE, Hogge DE . Retroviral marking of acute myelogenous leukemia progenitors that initiate long-term culture and growth in immunodeficient mice. Exp Hematol 1999; 27: 1609–1620.
Roddie PH, Paterson T, Turner ML . Gene transfer to primary acute myeloid leukaemia blasts and myeloid leukaemia cell lines. Cytokines Cell Mol Ther 2000; 6: 127–134.
Hughes PF, Thacker JD, Hogge D, Sutherland HJ, Thomas TE, Lansdorp PM et al. Retroviral gene transfer to primitive normal and leukemic hematopoietic cells using clinically applicable procedures. J Clin Invest 1992; 89: 1817–1824.
Kuhr T, Dougherty GJ, Klingemann HG . Transfer of the tumor necrosis factor alpha gene into hematopoietic progenitor cells as a model for site-specific cytokine delivery after marrow transplantation. Blood 1994; 84: 2966–2970.
Dilloo D, Bacon K, Holden W, Zhong W, Burdach S, Zlotnik A et al. Combined chemokine and cytokine gene transfer enhances antitumor immunity. Nat Med 1996; 2: 1090.
Lieu FH, Hawley TS, Fong AZ, Hawley RG . Transmissibility of murine stem cell virus-based retroviral vectors carrying both interleukin-12 cDNAs and a third gene: implications for immune gene therapy. Cancer Gene Ther 1997; 4: 167–175.
Miyoshi H, Smith KA, Mosier DE, Verma IM, Torbett BE . Transduction of human CD34+ cells that mediate long-term engraftment of NOD/SCID mice by HIV vectors. Science 1999; 283: 682–686.
Xu D, Gruber A, Peterson C, Pisa P . Telomerase activity and the expression of telomerase components in acute myelogenous leukaemia. Br J Haematol 1998; 102: 1367–1375.
Li B, Yang J, Andrews C, Chen YX, Toofanfard P, Huang RW et al. Telomerase activity in preleukemia and acute myelogenous leukemia. Leuk Lymphoma 2000; 36: 579–587.
Verstovsek S, Kantarjian H, Manshouri T, Cortes J, Faderl S, Giles FJ et al. Increased telomerase activity is associated with shorter survival in patients with chronic phase chronic myeloid leukemia. Cancer 2003; 97: 1248–1252.
Yuan Z, Mei HD . Inhibition of telomerase activity with hTERT antisense increases the effect of CDDP-induced apoptosis in myeloid leukemia. Hematol J 2002; 3: 201–205.
Nakajima A, Tauchi T, Sashida G, Sumi M, Abe K, Yamamoto K et al. Telomerase inhibition enhances apoptosis in human acute leukemia cells: possibility of antitelomerase therapy. Leukemia 2003; 17: 560–567.
Acknowledgements
This work was supported by Grants AI29524 from the National Institutes of Health and by a grant from the National Cancer Institute of Canada with funds from the Terry Fox Run. AR is funded by a grant from the Deutsche Forschungsgemeinschaft. We thank Dr Robert Weinberg (MIT, Boston, MA, USA) for hTERT cDNA and Dr Lea Harrington (Toronto) for DN-hTERT (D868A, D869A) cDNA. Dr Keith Humphries and Mike Schertzer (Vancouver) are thanked for help with the construction of the retroviral vectors and Irma Vulto for telomere length measurements.
Author information
Authors and Affiliations
Rights and permissions
About this article
Cite this article
Röth, A., Vercauteren, S., Sutherland, H. et al. Telomerase is limiting the growth of acute myeloid leukemia cells. Leukemia 17, 2410–2417 (2003). https://doi.org/10.1038/sj.leu.2403177
Received:
Accepted:
Published:
Issue Date:
DOI: https://doi.org/10.1038/sj.leu.2403177