Summary:
A 48-year-old-man in the first chronic phase of chronic myeloid leukaemia developed a central nervous system complication on day +57 after HLA-identical peripheral blood progenitor cell (PBPC) transplantation. The clinical picture evolved to a reversible pseudobulbar palsy requiring mechanical ventilation. MRI examination disclosed lesions typical of central and extrapontine myelinolysis (CEPM), which disappeared on a repeat examination 20 days later. The patient had received cyclosporine A (CsA) as GVHD prophylaxis and severe hyponatremia was detected 7 days after the first neurological sign. CEPM has been described in alcohol-induced liver disease, following rapidly corrected hyponatremia and associated with CsA in orthotopic liver transplantation. This is the first reported case of CEPM in PBPC transplantation, and CsA seems to have played a role in the development of this very serious complication.
Main
Cyclosporine A (CsA) is frequently used as GVHD prophylaxis in the setting of haematopoietic progenitor cell transplantation (HPCT). Minor to severe CsA-induced neurologic toxicities have been described. Central pontine myelinolysis (CEPM) has been reported after orthotopic liver transplantation (OLT), being attributed to the use of CsA or to the rapid correction of hyponatremia. We report a case of CEPM occurring after peripheral blood progenitor cell (PBPC) transplantation for chronic myeloid leukaemia (CML), and emphasize the possible implication of CsA in this complication and the favourable outcome in our patient. To our knowledge this is the first reported case of CEPM after HPCT.
Case report
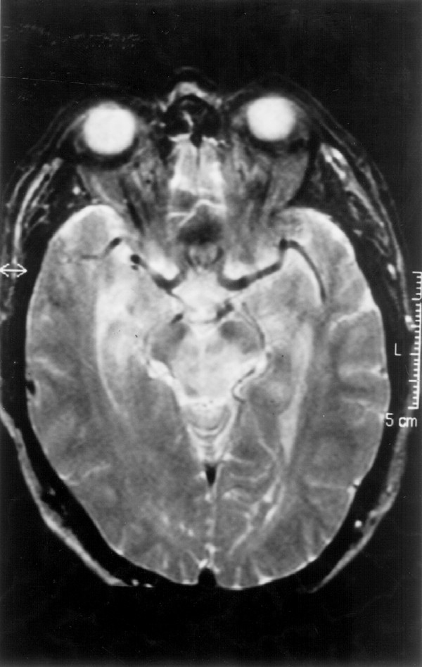
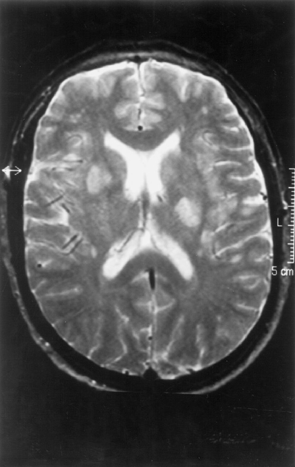
A 48-year-old man was diagnosed of Ph+, bcr/abl/ CML in the first chronic phase in April 1998. After therapy with hydroxyurea, an allogeneic transplantation was carried out in October 1998 using his HLA-identical sister's G-CSF-mobilised PBPC after CD34/ positive selection. Conditioning included high-dose cyclophosphamide and fractionated total body irradiation, and CsA (300 mg/day) was given for GVHD prophylaxis. Streptococcus sanguis sepsis developed on day +9 and was successfully treated with piperazilin-tazobactam. Platelet (>25×109/l) and neutrophil (>0.5×109/l) recovery were documented, respectively, on days /11 and /15. Neither symptoms nor signs of GVHD were noted during the post-transplant period. On day +37 fever reappeared; blood and urine cultures were negative and amphotericin was started. A thoraco-abdominal CT scan, a hepatosplenic ultrasound exam and a CT scan of the paranasal sinuses were normal. The creatinine plasma levels increased up to 261 μmol/l prompting discontinuation of amphotericine; CsA was tapered and ultimately discontinued on day +54, leading to a rapid and definitive normalisation of renal function by day +57. Hypertension developed and was sequentially treated with nifedipine, captopril and IV labetolol without adequate control. On day +57, speech tremor and weakness were noted; the sodium level was normal (139 mmol/l). On day +60, diplopia appeared; a cranial CT scan was normal and the CSF was acellular with a normal glucose and protein content; serum sodium levels were normal (137 mmol/l). On day +64 the fever disappeared but bradipsychia developed, the conscience level diminished, and dysarthria and left supranuclear facial paresis were evident; hyponatremia (123 mmol/l) with normal renal function was recorded. That day, an MRI examination (Figures 1 and 2) disclosed multiple lesions in the basal ganglia on both sides, in the right putamen, the left globus pallidus and right subthalamic region extending to the mesencephalic peduncles, pons and middle cerebellar left peduncle; lesions were also seen in the subcortical and deep white matter bifrontal lobes and the left external capsule presenting as high-intensity areas in T2-weighted images, with moderate low intensity in T1-weighted images, and without mass effect; all these multiple supra-infratentorial lesions strongly suggested CEPM. The patient's condition worsened on day +65, with dysphagia, tachypnea and increased respiratory effort with normal O2 saturation; this picture, attributed to pseudobulbar palsy, prompted the initiation of mechanical ventilation for 4 days. After extubation the patient continued afebrile, his blood pressure was normal, and the neurological signs and symptoms gradually disappeared. A repeat MRI on day +84 was normal. Blood counts at discharge on day +88 showed Hb 9.6 g/dl, WBC 4.0×109/l (55% segmented neutrophils, 8% eosinophils, 1% basophils, 28% lymphocytes and 8% monocytes), platelets 88×109/l, and normal sodium and creatinine levels. CsA was not reintroduced. The patient remains free of symptoms attributable to CEPM and in molecular remission of CML 28 months after allogeneic haematopoietic transplantation. Figure 3 displays a time-course chart with the main clinical and laboratory features of this case.
Discussion
CsA is the most widely used immunosuppressive agent in haematopoietic stem cell transplantation (HSCT) and solid organ transplantation. Several minor neurotoxic effects of this drug have been described, the most frequent being postural tremor. Rarely, severe neurological complications are observed, 1 which tend to occur during the first month of CsA therapy and include seizures, visual hallucinations and cortical blindness; also ocular flutter,2 parkinsonism,3 cortical dysarthria or speech apraxia,4 akinetic mutism5 and leukoencephalopathy6 have been described. Neurologic complications attributed to CsA in allogeneic HSCT appear in 9% patients; seizures, confusion and lethargy, occurring in the setting of metabolic abnormalities, sepsis and/or infectious encephalitis are frequent manifestations.7
Most of the reported cases of CsA neurotoxicity in HSCT are attributed to a functional rather than a structural cause since MRI and pathology studies are noncontributory,3 and recovery is the rule.8 CsA-induced neurotoxicity after solid organ transplantation usually involves the cerebral cortex and MRI studies suggest a vascular ischemic pathogenetic mechanism6,9 or are similar to those seen in hypertensive encephalopathy;10 all the 46 Mayo Clinic patients with CsA neurotoxicity after OLT recovered after drug withholding.11
CEPM is a rare syndrome generally linked to hyponatremia and frequently presenting with pyramidal tract and pseudobulbar signs; the MRI picture is diagnostic but the exact pathogenetic mechanism is unclear; alcoholism is often associated, and the disorder has also been described in rapidly corrected hyponatremia12 and also with normal sodium levels.13
Hyponatremia is a potentially overwhelming disorder that produces brain oedema and increased intracranial pressure, but there is no general risk of brain myelinolysis although excessive correction of hyponatremia can be followed by brain demyelinating lesions (CEPM).14
In the last years, myelinolysis arising in OLT has been seen with variable frequency (1% in the 386 patient Mayo Clinic series,15 15% in a Canadian series of 44 cases,16 and 15 cases in a series of 50 autopsies from Boston17). Hyponatremia or its treatment has been implicated in several cases18 and CsA in others.5,16,17,19,20 Although in some of these cases CsA levels had wide fluctuations, most were within therapeutic ranges. Recovery of the neurological picture, although slow, is the norm.
To our knowledge, this is the first reported case of CEPM in the setting of HSCT. Our patient experienced the first neurological symptoms and signs, speech tremor and weakness, 3 days after discontinuation of CsA therapy when sodium serum levels were normal; the duration of CsA neurological toxicity is said to persist for up to 7 days after discontinuation of the drug.8 Hyponatremia was detected 7 days later, when the diagnostic MRI was done, and shortly before pseudobulbar palsy supervened. Hence, we suggest that CsA may have played a significant role, rather than the hyponatremia, in the pathogenesis of CEPM in this case. We also want to emphasise the favourable evolution of this life-threatening complication in this particular case.
References
Walker RW, Brochstein JA . Neurologic complications of immunosuppressive agents. Neurol Clin 1988; 6: 261–278.
Apsner R, Schulenburg A, Steinhoff N et al. Cyclosporin A-induced ocular flutter after marrow transplantation. Bone Marrow Transplant 1997; 20: 255–256.
Wasserstein PH, Honig LS . Parkinsonism during cyclosporine treatment. Bone Marrow Transplant 1996; 18: 649–650.
Bronster DJ, Boccagni P, O'Rourke M et al. Loss of speech after orthotopic liver transplantation. Transp Int 1995; 8: 234–237.
Bird Gl, Meadows J, Goka J et al. Cyclosporin-associated akinetic mutism and extrapyramidal syndrome after liver transplantation. J Neurol Neurosurg Psychiatry 1990; 53: 1068–1071.
Lanzino G, Cloft H, Hemstreet MK et al. Reversible posterior leukoencephalopathy following organ transplantation. Description of two cases. Clin Neurol Neurosurg 1997; 99: 222–226.
Woo M, Przepiorka D, Ippoliti C et al. Toxicities of tacrolimus and cyclosporin A after allogeneic blood stem cell transplantation. Bone Marrow Transplant 1997; 20: 1099–1101.
Reece DE, Frei-Lahr DA, Shepherd JD et al. Neurologic complications in allogeneic bone marrow transplant patients receiving cyclosporin. Bone Marrow Transplant 1991; 8: 393–401.
Jansen O, Krieger D, Krieger S et al. Cortical hyperintensity on proton density-weighted images: an MR sign of cyclosporine-related encephalopathy. Am J Neuroradiol 1996; 17: 337–344.
Schwartz RB, Bravo SM, Klufas RA et al. Cyclosporine neurotoxicity and its relationship to hypertensive encephalopathy: CT and MR findings in 16 cases. Am J Roentgenol 1995; 165: 627–631.
Wijdicks EF, Wiesner RH . Krom neurotoxicity in liver transplant recipients with cyclosporine immunosuppression. Neurology 1995; 45: 1962–1964.
Ellis SJ . Severe hyponatremia: complications and treatment. QJM 1995; 88: 905–909.
Mast H, Gordon PH, Mohr JP et al. Central pontine myelinolysis: clinical syndrome with normal serum sodium. Eu J Med Res 1995; 1: 168–170.
Soupart A, Decaux G . Therapeutic recommendations for management of severe hyponatremia: current concepts on pathogenesis and prevention of neurologic complications. Clin Nephorol 1996; 46: 149–169.
Wijdicks EF, Blue PR, Steers JL et al. Central pontine myelinolysis with stupor alone after orthotopic liver transplantation. Liver Transp Surg 1996; 2: 14–16.
Fryer JP, Fortier MV, Metrakos P et al. Central pontine myelinolysis and cyclosporine neurotoxicity following liver transplantation. Transplantation 1996; 61: 658–661.
Blanco R, De Girolami U, Jenkins RL et al. Neuropathology of liver transplantation. Clin Neuropathol 1995; 14: 109–117.
Abbasoglu O, Goldstein RM, Vodapally MS et al. Liver transplantation in hyponatremic patients with emphasis on central pontine myelinolysis. Clin Transplant 1998; 12: 263–269.
Murdoch M, Chang M, McVicar J . Central pontine myelinolysis after liver transplantation: a case report. Transpl Int 1995; 8: 399–402.
Kabeer MH, Filo RS, Milgrom ML et al. Central pontine myelinolysis following orthotopic liver transplant: association with cyclosporine toxicity. Postgraduate Med J 1995; 71: 239–241.
Author information
Affiliations
Rights and permissions
About this article
Cite this article
Boqué, C., Petit, J., Aguilera, C. et al. Central and extrapontine myelinolysis following allogeneic peripheral haematopoietic progenitor cell transplantation. Favourable outcome in a patient with chronic myeloid leukaemia. Bone Marrow Transplant 31, 61–64 (2003). https://doi.org/10.1038/sj.bmt.1703781
Received:
Accepted:
Published:
Issue Date:
DOI: https://doi.org/10.1038/sj.bmt.1703781
Keywords
- CML
- PBPC transplantation
- haematopoietic progenitor cell transplantation
- CsA complications
- central and extrapontine myelinolysis


