Abstract
Tuberculosis is an uncommon infectious complication after stem cell transplantation. We report a patient who presented with a brain mass, 3 months after pulmonary tuberculosis had been diagnosed and while he was receiving triple antituberculous therapy. He had extensive chronic GVHD. The diagnosis was made after biopsy of the lesion. The cerebral mass was excised, antituberculous treatment was maintained and the patient made a complete neurologic recovery. Six months later, he died of gram-negative septic shock. Mycobacterial infections should be considered in allograft recipients with chronic GVHD and solid lesions in the brain. Bone Marrow Transplantation (2000) 25, 567–569.
Main
Tuberculosis remains a major problem in the world today. It is estimated that one third of the world population is infected with Mycobacterium tuberculosis, with more than eight million new cases and nearly three million deaths occurring each year.1 Tuberculosis is directly responsible for 7% of all deaths world-wide, and the global pandemic is likely to worsen as a result of the spread of drug-resistant organisms and the ongoing human immune-deficiency virus (HIV) epidemic.2 Stem cell transplant recipients have severely impaired cell-mediated immunity as a result of their underlying disease, pre-transplant chemotherapy and radiation, graft-versus-host disease (GVHD) and its treatment. Considering mycobacteria epidemiology characteristics and the severe immune-suppression after stem cell transplantation, a high incidence of mycobacterial infections would be expected. However, this infection is uncommon, even in endemic areas, and the literature is relatively sparse concerning this subject.34
Case report
A 47-year-old male with chronic myeloid leukaemia in first chronic phase underwent allogeneic PBPC transplantation, with an unmanipulated graft, in August 1995. He had no known personal or family history of tuberculosis. Previous PPD skin test was unknown. Conditioning consisted of busulfan and cyclophosphamide (BuCy2) and GVHD prophylaxis was cyclosporine plus methotrexate. He developed grade 3 cutaneous acute GVHD, treated with prednisone, with partial response. It evolved to a chronic extensive form with mucocutaneous, ocular and hepatic involvement, that required chronic immune suppression with steroids and cyclosporin.
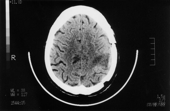
In February 1997, after two severe infectious episodes (Figure 1), he was readmitted with a 2-week history of fever, non-productive cough, exertional dyspnea and weight loss. White blood count was 3.3 × 109/l, the absolute lymphocyte count was 472/mm3 and absolute neutrophil count was above 1.0 × 109/l. A chest X-ray and a CT scan revealed bilateral alveolar infiltrates. Broncho-alveolar lavage (BAL) disclosed Mycobacterium tuberculosis. Drug-sensivity testing did not show criteria of a multidrug-resistant strain. Treatment with isoniazide, rifampin and pyrazinamide was begun. Fever disappeared in a few days and his general condition improved. In May 1997, he presented with headache, dysarthria, papilledema, and signs of a third cranial nerve palsy. CT scan of the brain revealed a large lesion, involving the right temporal lobe (Figure 2). Cultures (blood, sputum, CSF) were negative. Serology tests for toxoplasmosis were negative. Biopsy of the brain lesion disclosed an extensive infiltrate by acid-fast bacilli, later identified by PCR as Mycobacterium tuberculosis. Drug-sensivity testing was not feasible because cultures were inadvertently contaminated. The mass was excised, antituberculous treatment was maintained and immune suppression was continued. Despite neurosurgical sequelae seen on a CT scan of the brain performed 1 month later (Figure 3), neurological recovery was complete. In November 1997 the patient died of septic shock caused by E. coli infection. All throughout the post-transplant period he remained in molecular remission with full donor chimera.
Discussion
Central nervous system infections after stem cell transplantation are rare, comprising 5% to 8% of the total of infectious complications.5 Pathogens are mainly fungi (Aspergillus and Candida albicans) and parasites (Toxoplasma).5 Mycobacterial infections are common in people with impaired cell-mediated immunity, and the incidence has been increasing particularly in urban regions, primarily due to the epidemics of HIV infection.1
In the marrow transplant population, despite their severe immune suppression, there is a low incidence of mycobacterial infections that contrasts with the experience reported in other immune suppressed patients (AIDS and renal transplant recipients). This may be due, at least partly, to the more prolonged duration of immune-suppression in AIDS patients and recipients of solid organ transplants, compared to the usual BMT patient.3 Marrow allograft recipients generally require about 12 months to recover adequate immune function documented by normal lymphocyte numbers, T helper/suppressor ratio, skin tests reactivity, in vitro mitogen responses and serum immunoglobulin levels. Chronic GVHD delays immune recovery6 and continuous treatment further worsens immune suppression. Moreover, some authors have suggested that infusion of PBPC in an allogeneic setting could affect post-transplant immune reconstitution as well as the extent and severity of GVHD.7 Review of the literature reveals a mycobacterial infection incidence of between 0.5 and 3%, occurring mainly in recipients of T cell-depleted allogeneic grafts or those who developed chronic extensive GVHD.345891011 CNS involvement is very rare and to our knowledge this is the first case of a CNS tuberculoma reported in this setting. Cerebral tuberculomas typically present as slowly enlarging mass lesions and are diagnosed as brain tumours before surgical exploration.1 Only a minority of patients with extra- pulmonary tuberculosis have co-existing active pulmonary disease.1
At our unit, the incidence of mycobacterial infections is 0.9% (three out of 310 stem cell transplant recipients). In all cases the infection occurred after allogeneic transplantation, the isolated pathogen was Mycobacterium tuberculosis and it presented with primary pulmonary involvement.
In the case reported here, the patient had severe immune deficiency with recurrent infections, due to extensive chronic GVHD and aggravated by prolonged immunosuppression. The unusual feature in this case, is that CNS tuberculosis progressed in spite of treatment with isoniazid, rifampin and pyrazinamide, all of which can cross the blood–brain barrier and achieve therapeutic levels. However, this treatment was not effective in preventing progression of the CNS tuberculosis. In fact, most authors suggest that whenever intracranial tuberculomas are strongly suspected, a trial of chemotherapy is recommended and surgery is seldom required.1 The appearance of neurological signs in this patient who was already receiving antituberculous treatment, prompted us to undertake surgical exploration and biopsy, which were diagnostic. It may be argued that a multi-resistant strain could have been present in the CNS focus, although a favourable response had been achieved in treating the pulmonary disease.
In conclusion, this case demonstrates that mycobacterial infections should be considered in the differential diagnosis of an unexplained cerebral mass in BMT recipients, even in patients receiving antituberculous treatment.
References
Limon HB . Infections due to Mycobacteria. In: Dale DC (ed) Scientific American Medicine. University of Washington Medical Center: Seattle 1995 pp1–25
Snider D, La Montagne J . The neglected global tuberculosis problem: a report of the 1992 World Congress on Tuberculosis J Infect Dis 1994 169: 1189–1203
Roy V, Weisdorf D . Mycobacterial infections following bone marrow transplantation: a retrospective review of a 20 year experience Blood 1997 19: 460–470
Martino C, Martinez C, Domingo Albás A . Tuberculosis in bone marrow transplant recipients: report of two cases and review of the literature Bone Marrow Transplant 1996 18: 809–812
Openshaw H, Slatkin N . Neurological complications after hematopoietic cell transplantation. In: Thomas ED, Blume KG, Forman SJ (eds) Hematopoietic Cell Transplantation Blackwell Scientific Publications: Oxford 1998 pp659–673
Parkman R, Weinberg K . Immunological reconstitution following hematopoietic stem cell transplantation. In: Thomas ED, Blume KG, Forman SJ (eds) Hematopoietic Stem Cell Transplantation Blackwell Scientific Publications: Oxford 1998 pp 704–711
Shenoy S, Mohanakumar T . Immune reconstitution following allogeneic peripheral blood stem cell transplants Bone Marrow Transplant 1999 23: 335–346
Hoyle C, Goldman J . Life-threatening infections occurring more than 3 months after BMT Bone Marrow Transplant 1994 14: 247–252
Novari R, Sullivan K . Mycobacterial infections in marrow transplant recipients Transplantation 1983 36: 509–513
Kurzrock R, Zandler A . Mycobacterial pulmonary infections after allogeneic bone marrow transplantation Am J Med 1984 77: 35–40
Rouleau M, Lenick A . Long term persistence of transferred PPD-reactive T cells after allogeneic bone marrow transplantation Transplantation 1993 55: 72–76
Author information
Affiliations
Rights and permissions
About this article
Cite this article
Campos, A., Vaz, C., Campilho, F. et al. Central nervous system (CNS) tuberculosis following allogeneic stem cell transplantation. Bone Marrow Transplant 25, 567–569 (2000). https://doi.org/10.1038/sj.bmt.1702163
Received:
Accepted:
Published:
Issue Date:
DOI: https://doi.org/10.1038/sj.bmt.1702163
Keywords
- stem cell transplantation
- graft-versus-host disease
- tuberculosis


