Abstract
We discovered a novel oncogene in a T-cell lymphoma cell line, multiple copies in T-cell lymphoma-1 (MCT-1), that has been shown to decrease cell-doubling time, shorten the duration of G1 transit time and/or G1-S transition, and transform NIH3T3 fibroblasts. We subsequently demonstrated that there were significantly increased levels of MCT-1 protein in a subset of primary diffuse large B-cell lymphomas. Levels of MCT-1 protein were shown to be increased after exposure to DNA damaging agents. This increase did not require new protein synthesis, suggesting that post-translational mechanisms were involved. Phosphorylation is one potential mechanism by which the activity of molecules involved in cell cycle/survival is rapidly modulated. The RAS/mitogen-activated/extracellular-regulated kinase (MEK)/extracellular signal-regulated kinases (ERK) pathway plays a prominent role in the regulation of cell growth and proliferation through phosphorylation-dependent regulation of several substrates. The MCT-1 protein is predicted to have numerous putative phosphorylation sites. Using a combination of genetic and pharmacological approaches, we established that phosphorylation of MCT-1 protein by p44/p42 mitogen-activated protein kinases is critical for stabilization of MCT-1 protein and for its ability to promote cell proliferation. Our data suggests that targeting the RAS/MEK/ERK signal transduction cascade may provide a potential therapeutic approach in lymphomas and related malignancies that exhibit high levels of MCT-1 protein.
Introduction
Multiple copies in T-cell lymphoma-1 (MCT-1) is a lymphoma oncogene that has been mapped to chromosome Xq22–24 (Prosniak et al., 1998). This region, Xq22–24 is amplified in a subset of primary B-cell NHLs (Werner et al., 1997; Scarpa et al., 1999) suggesting that increased copy number of a gene(s) located in this region confer a growth advantage to a subset of human lymphomas. In fact, constitutive expression of MCT-1 results in a strong proliferative signal and is associated with deregulation of the G1/S phase checkpoint (Dierov et al., 1999). There are currently several lines of evidence supporting the role of MCT-1 in lymphomagenesis including the presence of elevated levels of MCT-1 protein in primary diffuse large B-cell lymphomas, and the role of MCT-1 in stimulating cell proliferation, suppressing apoptosis, overriding cell-cycle checkpoints and enhancing G1 cyclin/cdk kinase activity (Prosniak et al., 1998; Dierov et al., 1999; Shi et al., 2003; Hsu et al., 2005; Levenson et al., 2005).
We have previously determined that MCT-1 protein levels remained constant in proliferating cells as they progressed through the cell cycle (Herbert et al., 2001). This suggested that the activity of MCT-1 and its ability to shorten the G1/S transition was not related to its steady-state protein level. Phosphorylation is one potential mechanism by which the activity of growth/survival regulatory molecules is rapidly modulated (Wilkinson and Millar, 2000). The MCT-1 protein is predicted to have numerous putative phosphorylation sites including, a p44/p42 mitogen-activated protein kinases (MAPK) and a cyclinB/cdc2 kinase substrate site (Prosniak et al., 1998). It has been suggested that the MAPK pathway is activated in response to a number of stress stimuli including γ-IR that is comparable to physiologic growth stimulation. In addition, extracellular signal-regulated kinases (ERKs) have been implicated in DNA damage-induced apoptosis (reviewed by Dent et al., 2003). In this report, we examine whether the putative phosphorylation sites on MCT-1 are biologically relevant and involved in regulating its activity. We demonstrate that MCT-1 is phosphorylated in vitro by both cdc2 and p44/42 MAPK. However, only the MAPK phosphorylation site is required in vivo for the proliferative activity of MCT-1. Furthermore, we show that the stability of MCT-1 protein induced following DNA damage is dependent on phosphorylation of the p44/p42 MAPK substrate site. Our data supports the role of the mitogen-activated/extracellular-regulated kinase (MEK)/ERK signaling pathway in modulating the activity of MCT-1.
Results
MCT-1 is phosphorylated in vitro
We analysed the amino-acid sequence of MCT-1 using a web-based domain search. Using the NetPhos 2.0 server (http://www.cbs.dtu.dk/services/NetPhos/) we obtained a total of four high probability putative phosphorylation sites. When combining these results with those from another web-based server (http://scansite.mit.edu) we were able to identify the potential kinases that would phosphorylate the predicted residues (Figure 1). We focused on the cdc2 kinase and the MAP kinase sites and examined their impact in vivo on cell growth and cell-cycle regulation. Using a glutathione S-transferas (GST)-tagged expression system, we demonstrated in an in vitro kinase assay that MCT-1 was phosphorylated by both p44/42 MAPK and cdc2 kinase (Figure 2b and c). In order to firmly establish that immunoprecipitated MAPK or CDC2 kinases were responsible for phosphorylating MCT-1 and not associated kinases in the immune complex, we also carried out in vitro kinase assays using purified recombinant kinases. Furthermore, we also included the T81A and S118A mutants in the in vitro kinase assays. The T81A mutant (MAP kinase phosphorylation site) failed to show any in vitro phosphorylation when we used a recombinant p42 MAPK (Figure 2d). Similarly, the S118A mutant (CDC2 phosphorylation site) was not phosphorylated by recombinant CDC2 protein (Figure 2e). The wtMCT-1 protein was phosphorylated by both recombinant kinases in the in vitro kinase assays.
In vitro kinase assay. (a) GST-MCT-1 expression in an IPTG inducible system. GST-MCT-1, but not GST alone is in vitro phosphorylated by MAPK (b) and cdc2 kinase (c). The fusion protein runs at approximately 50 kDa. (d) The wtMCT-1 but T81A mutant does not get phosphorylated by recombinant MAPK in the same system. (e) S118A mutant fails to get phosphorylated by recombinant CDC2 kinase, while the wtMCT-1 get phosphorylated. In both (d and e) the top panel represents the autoradiographed gel showing in vitro kinase and the lower panel shows loading control with coomassie stained bands.
MAP kinase site mutation abolishes the proliferative signal of MCT-1
Human dermal fibroblasts (HDFs) and NIH 3T3 cells stably transfected with either wtMCT-1, T81A, S118A or empty vector (pLXSN) were examined using a proliferation assay. A growth curve was determined over 14 days for both the cell lines expressing MCT-1 and T81A with vector transfected cells serving as control. The T81A cell line showed a significant reduction in growth over the wtMCT-1 expressing cell line (Figures 3a and b). The cdc2 point mutant S118A did not cause any alteration of growth when compared to the wtMCT-1 expressing protein. An intact MAPK phosphorylation site is required for the proliferative activity of MCT-1.
Growth assay of wtMCT-1 and T81A. Growth curve showing that the T81A mutant has much slower growth as compared to wtMCT-1 or S118A mutant in HDFs (a) as well as NIH3T3 cells (b). More than 80% cells were viable as evidenced by Trypan blue staining. (c) Comparison of protein levels between wtMCT-1 and T81A reveals that the mutant is present in lesser amount that the wt protein in HDF cells. (d) In NIH3T3 cells this level is even lower at the level of the wt protein. The lower panel shows that when these two are expressed in vitro, the protein levels are comparable.
Stability of MCT-1 mutant
To further investigate the effect of T81A mutation on MCT-1 protein, we examined the level of MCT-1 expression in stably transfected HDFs and NIH 3T3 cell lines under steady-state conditions. We demonstrated that the levels of V5-tagged T81A are much lower than that of V5-tagged wtMCT-1 (Figure 3c and d). As this could be due to either stability of the protein or decreased translation, we did an in vitro translation assay using 35S-methionine to label the generated protein. We found that the levels of wtMCT-1 and T81A were comparable in vitro (Figure 3d). The decrease in the level of T81A is likely due to instability of the protein in vivo, secondary to loss of the p44/p42 MAPK phosphorylation site.
Stabilization of MCT-1 is phosphorylation dependent
To further investigate the role of MEK/ERK signaling in stabilizing MCT-1 protein, we decided to investigate the effect of MEK inhibitors on MCT-1 protein level after exposure to ionizing radiation. We looked at the effect of MEK inhibitors on stability of MCT-1 in the Burkitt's lymphoma cell line Daudi stably expressing V5-tagged MCT-1. After exposure to DNA damaging radiation (10 Gy), cells were grown for indicated periods of time in the presence or absence of MEK inhibitors. We observed that there was a decrease in MCT-1 protein as early as 30 min after DNA damaging radiation and in the presence of MEK inhibitors (Figure 4a) which was more pronounced at 24 h post-irradiation (Figure 4b). The stability of many proteins involved in regulation of cell proliferation is dependent on the phosphorylation state of the protein (Sears et al., 2000; Vazquez et al., 2000; Chen et al., 2002). The above data suggested that stabilization of MCT-1 protein is dependent on phosphorylation of the p44/p42 MAPK site.
Protein levels of MCT-1 after DNA damage in the presence or absence of MEK inhibitors. (a) Daudi cells expressing MCT-1 were irradiated with 10 Gy of X-ray. Cells were incubated for 30 min with or without MEK inhibitors as shown. α-V5 antibody detects overexpressed MCT-1 in these cells. The first lane is nonirradiated Daudi MCT-1 cells used as control. Daudi cells with empty vector in the last lane demonstrates specificity of V5 antibody. Lower panel shows the same blot probed with α-GAPDH antibody to verify equal loading. (b) Daudi cells expressing MCT-1 were treated as described above. Cells were incubated for 24 h without or with MEK inhibitors as shown. The α-phospho-p44/42 antibody shows decrease in MAPK phosphorylation as expected with these inhibitors. Equal loading is shown with the α-GAPDH antibody. (c) NIH 3T3 cells expressing V5-MCT-1 were irradiated with 10 Gy X-ray and harvested at 0 and 4 h after treatment with MEK inhibitors as shown. MCT-1 protein was immunoprecipitated with α-V5 antibody and blotted with α-pThr antibody. The lower panel is the same blot stripped and reprobed with α-V5 antibody. (d) NIH 3T3 cells expressing V5-MCT-1 and V5-T81A were irradiated with 10 Gy X-ray as before and harvested at 0, 2 and 4 h. Blots were probed after immunoprecipitating with α-V5 antibody as shown.
In order to specifically address the issue of whether MCT-1 is phosphorylated at the threonine site, we used both MEK inhibitors and MCT-1 MAPK mutants to examine levels of phosphothreonine MCT-1. As NIH 3T3 cells have a higher expression level of MCT-1 than the Daudi cells, we used these cell lines for this set of experiments. We exposed stably MCT-1 expressing NIH 3T3 cells to 10 Gy of X-irradiation. Subsequently, cells were allowed to grow for 4 h with or without MEK inhibitors and then were harvested. Proteins were extracted, and MCT-1 protein were immunoprecipitated with α-V5 antibody and run on a 15% gel. The gel was immunoblotted with α-phosphothreonine (α-pThr) antibody. We observed that in the absence of MEK inhibitors, the levels of pThr-MCT-1 increased slightly in cells expressing MCT-1 after DNA damaging radiation (Figure 4c). Cells that were grown in the presence of MEK inhibitors showed a substantial decrease in the levels of pThr-MCT-1. Thus, the phosphorylation of MCT-1 is an important factor in the stability of the protein; the MEK inhibitors PD98059 and U0126 reduced the levels of MCT-1 protein after exposure to irradiation.
Using the T81A mutant we were able to establish that this site is important for stability. We employed wtMCT-1 and T81A expressing stable 3T3 cells and exposed them to 10 Gy of X-irradiation. Cells were harvested at 2 and 4 h after irradiation. As observed previously, the levels of both wtMCT and pThr-MCT-1 increased gradually over a period of 4 h in response to DNA damaging radiation. The mutant cell line, showed a gradual decrease in both MCT-1 and pThr-MCT-1 (Figure 4d). In 4D the relative levels of pThr and MCT-1 are (left to right) 1.8, 1.9, 2.3, 0.4, 0.1 and 0 and 0.6, 0.6, 0.9, 0.2, 0 and 0 respectively. These results are consistent with those obtained with the MEK inhibitors (Figure 4c). The significance of the comparable intensity of pThr-MCT-1 band between wtMCT-1 and T81A at time 0 is unknown at present, but it suggests that other threonine residues unrelated to the MAPK site are phosphorylated in MCT-1.
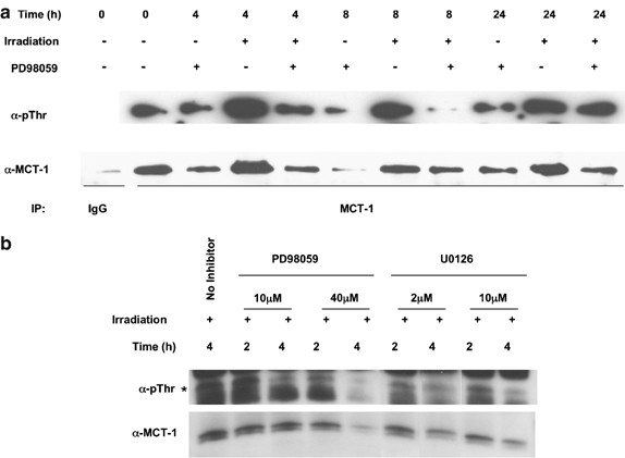
We also examined the Jurkat human T-cell leukemia line that expresses high level of endogenous MCT-1 in order to corroborate our previous findings in cells with forced expression of MCT-1 protein. Cells were subjected to 10 Gy of irradiation and incubated for 4, 8 and 24 h with or without MEK inhibitor (Figure 5a). Proteins were extracted and MCT-1 protein was immunoprecipitated using a rabbit-polyclonal MCT-1 antibody as previously described. Cells that were irradiated, but not exposed to MEK inhibitors, showed the highest level of endogenous MCT-1 and pThr-MCT-1. Exposure to MEK inhibitor resulted in a marked reduction in the levels of both MCT-1 and pThr-MCT-1. This reduction was not significant in the nonirradiated cells. These results were not transient, as cells treated with PD98059 continued to sustain a reduction in MCT-1 protein as long as 24 h postirradiation.
Modulation of endogenous levels of MCT-1 after DNA damage in Jurkat cells in the presence or absence of MEK inhibitors. (a) Jurkat cells, which express high levels endogenous MCT-1, were irradiated with 10 Gy of X-rays as described before with or without MEK inhibitors. Cells were harvested at times indicated and MCT-1 protein was immunoprecipitated with α-MCT-1 antibody and blotted with α-pThr antibody and α-MCT-1 antibody to check MCT-1 levels. The first lane is IP with IgG as control. (b) Reduction in the levels of phosphothreonine and MCT-1 is time and dose dependent. Jurkat cells were irradiated as before and treated with MEK inhibitors as shown. Cells were harvested at the indicated time points and immunoprecipitated with α-MCT-1 antibody. Western blotting was first performed using α-pThr antibody (the specific band is indicated with an asterisk) and then with α-MCT-1 antibody on the same blot.
The effect of two MEK inhibitors on MCT-1 protein following irradiation is also time and concentration dependent. Jurkat cells were exposed to 10 Gy of irradiation, treated with two different concentrations of MEK inhibitors and then harvested at either 2 or 4 h after treatment. We observed the strongest reduction in MCT-1 and pThr-MCT-1 at the 4 h time point with the higher concentration of MEK inhibitors (Figure 5b).
Discussion
It has previously been established that MCT-1 shortens the G1 phase of the cell cycle and also reduces cell-doubling time (Prosniak et al., 1998; Dierov et al., 1999). MCT-1 levels remain constant during the cell cycle in proliferating cells (Herbert et al., 2001), suggesting that the activity of the protein is restricted by alternative mechanism(s). The MCT-1 protein is predicted to have a number of kinase substrate sites. Phosphorylation has been shown to be involved in the regulation of many cellular processes, including protein–protein interactions, protein stability, kinase activity and protein localization. Precise functional mapping of these kinase sites was performed through site-directed mutagenesis in order to determine the domains responsible for the biological activity of MCT-1. MCT-1 was shown to be phosphorylated in vitro by both CDC2 and p44/p42 MAP kinases. The MAPK mutant (T81A) and the CDC2 mutant (S118A) were not phosphorylated by recombinant MAPK and CDC2 kinases, respectively.
The RAS/MEK/ERK signal transduction cascade plays a prominent role in the regulation of cell growth and proliferation and is intimately involved in transducing signals from growth factor receptors and cytokine receptors following ligand binding (Lewis et al., 1998; Cobb, 1999; Pearson et al., 2001; Shapiro, 2002; Chang et al., 2003). These CDC2 and MAPK phosphorylation sites were mutated through site-directed mutagenesis and were expressed in both HDF and NIH 3T3 cell lines in order to examine the impact on cell growth in vivo. A growth curve was determined over 14 days with the p42/44 MAPK mutant showing a significant reduction in cell growth compared to the wild-type MCT-1 in both human and murine fibroblasts. Interestingly, the CDC2 mutants maintained full biological activity. Importantly, we demonstrated the high degree of conservation for the threonine phosphorylation site using NCBIs HomoloGene Finder (http://www.ncbi.nlm.nih.gov/entrez/query.fcgi?db=homologene) supporting the biological importance of this kinase site (Table 1). The requirement of this threonine site for growth activity and high degree of conservation strongly support the functional importance of the p44/p42 MAPK substrate site.
Previously, we have shown that the MCT-1 protein level is stabilized in response to DNA damage (Herbert et al., 2001). We specifically addressed the issue of whether MCT-1 is phosphorylated at the threonine site after exposure to a DNA damaging agent through the use of both MEK inhibitors and MCT-1 MAPK mutants to examine levels of phosphothreonine MCT-1. Our data presented here supports the role of p44/p42 MAPK in phosphorylation and subsequent stabilization of MCT-1 in response to DNA damage. ERKs have been implicated in DNA damage-induced apoptosis (reviewed by Dent et al., 2003). Disrupting the p44/p42 MAPK substrate site decreased MCT-1 protein levels in addition to loss of its proliferative signal. Under basal conditions, MCT-1 activity is modulated through MAPK-dependent phosphorylation, a process that stabilizes MCT-1 protein and protects it from degradation. In response to DNA damage, MCT-1 is induced and protein level increases. However, in the absence of p44/p42 MAPK phosphorylation of MCT-1, the MCT-1 protein level decreases after exposure to ionizing radiation. Importantly, this was demonstrated in Jurkat T-cells exhibiting high levels of endogenous MCT-1 protein. The activation of ERK in response to DNA damage has been shown to be an ATM-dependent process (Tang et al., 2002). The p44/p42 MAPK phosphorylation cascade is then initiated by the activation of Ras or other signals and followed by the sequential activation of Raf1, MEK and p44/p42 MAPK (reviewed by Yang et al., 2003). MAPK signaling may either protect or enhance radiation sensitivity depending upon the cell type. The p44/p42 MAPK pathway is constitutively activated in many non-Hodgkins lymphoma cell lines (Jazirehi et al., 2004).
We have previously shown that MCT-1 confers resistance to apoptosis (Shi et al., 2003) and this stabilization of MCT-1 by phosphorylation after DNA damage could be one mechanism by which MCT-1 protects cells against DNA damage induced cell death. Finally, given that we have demonstrated previously that levels of MCT-1 protein are increased in many non-Hodgkins lymphoma cell lines and primary NHLs, we propose that the elevated levels of MCT-1 protein may be due to enhanced MAPK activity. In conclusion, we present novel evidence of the role that the RAS/MEK/ERK signal transduction cascade plays in regulating the stability and activity of the MCT-1 protein. Furthermore, our data suggest that targeting the RAS/MEK/ERK signaling pathway may be a useful therapeutic approach in lymphomas and related malignancies that exhibit high levels of MCT-1 protein.
Materials and methods
Cell culture and irradiation
HDF were a gift from Dr Kathleen Rundell of Northwestern University (Chicago, IL, USA). The HDF and NIH 3T3 cells were grown in Dulbecco's modified Eagle's medium (DMEM) with 10% fetal bovine serum (FBS). Two lymphoid cell lines, Daudi (B cell) and Jurkat (T cell) were grown in Rosewell's Park Memorial Institute media containing 10% FBS and 2 mM glutamine. All cell culture reagents were obtained from Invitrogen (Carlsbad, CA, USA). The MEK inhibitors used were PD98059 at 40 μ M or U0126 at 10 μ M concentration unless otherwise indicated and both were obtained from Calbiochem (San Diego, CA, USA). Cells were irradiated with 10 Gy of X-rays and harvested at time points indicated using a Pantak Seifert X-ray machine (General Electric) at 250 kV and 13 mA.
Site-directed mutagenesis, cloning and creation of stable cell lines
We used a site-directed mutagenesis approach to change the consensus sequence of the targeted substrate sites. Site-directed mutagenesis was performed using QuikChange site-directed mutagenesis kit (Stratagene, La Jolla, CA, USA) as per the manufacturers protocols. The wtMCT-1 cloned in pLXSN (Mountain View, CA, USA) was used as a template for generating the point mutants T81A and S118A. For the MAP kinase site we changed the threonine to an alanine. We named this MCT-1-T81A, indicating that the 81st amino acid has been changed from T to A. We also created a cdc2 consensus site mutant MCT-1-S118A. In the text these mutants are referred to as T81A and S118A. Using these point mutants we stably transfected immortalized HDF, as well as NIH 3T3 cells, using G418 as a selectable marker. The wtMCT-1 and the two mutations were also cloned in pET-28C (Novagen, San Diego, CA, USA). The constructs were named His-MCT-1, His-T81A and His-S118A. These were used in pET expression system (Novagen, San Diego, CA, USA) for purification of His-tagged proteins for use in kinase assay.
Growth assay
Stably transfected normal HDF and NIH 3T3 cells were used for this assay. Cells were stably transfected with either wtMCT-1, T81A, S118A or empty vector using Nucleofector kit according to the manufacturers' directions (Amaxa, Cologne, Germany). Cells were seeded at equal density and grown in DMEM containing 5% FBS. Cells were then harvested at indicated days and viable cells were counted using Trypan blue exclusion. Growth curve was plotted using Microsoft Excel. Statistical analysis was performed using InStat3 (GraphPad Software Inc., San Diego, CA, USA). All assays were carried out at least three times in independent experiments.
Sodium dodecyl sulfate–polyacrylamide gel electrophoresis and Western blotting
Cells were harvested and lysed using M-PER reagent (Pierce, Rockford, IL, USA) with Halt-protease inhibitor cocktail (Pierce, Rockford, IL, USA) and phosphatase inhibitors (Sigma, St Louis, MO, USA). Protein quantification was carried out using a modified Bradford reagent, Coomassie Plus (Pierce, Rockford, IL, USA). Equal amounts of proteins were run on 15% gel and then transferred to Immobilon P membrane (Millipore, Billerica, MA, USA). The membrane was subsequently blocked with 5% bovine serum albumin in Tris-buffered saline containing 0.05% Tween-20 (TBST). Membranes were probed with antibodies using the following dilutions: α-V5 antibody (Invitrogen, Carlsbad, CA, USA) at 1:5000, α-pThr antibody (Chemicon, Temecula, CA, USA) at 1:1000, α-glyceraldehyde-3-phosphate dehydrogenase (GAPDH) antibody (Abcam, Cambridge, MA, USA) at 1:5000 α-phsopho-p44/42 antibody (Cell Signaling Technology, Danvers, MA, USA) at 1:1000 or with rabbit α-MCT-1 antiserum (Research Genetics Inc., Huntsville, AL, USA) at 1:1000 dilutions with appropriate HRP-conjugated secondary antibodies. The blots were developed using SuperSignal West Pico Chemiluminiscent substrate (Pierce, Rockford, IL, USA) and exposed to X-ray films (Kodak, Rochester, NY, USA). SuperSignal West Femto Chemiluminiscent substrate (Pierce, Rockford, IL, USA) was used for generating the Western in Figure 4d. All Western and IP experiments were independently repeated at least three times.
Immunoprecipitation
Cells were harvested and protein was extracted using a NP-40 lysis buffer (20 mM Tris-HCl, pH8.0, 100 mM NaCl, 1 mM ethylenediamine-N,N,N′,N′-tetraacetic acid and 0.5% NP-40) containing protease and phosphatase inhibitors. 150 μg of protein was immunoprecipitated overnight using α-V5 antibody or α-MCT-1 antibody and protein A/G beads (Sigma, St Louis, MO, USA). The beads were washed with the lysis buffer, heated at 95°C with loading buffer and run on 15% gel and blotted as described above.
In vitro kinase assay
In vitro kinase assay was performed by using 10 μg of recombinant GST-MCT-1 protein, immunoprecipitated p44/42 MAPK or cyclinB1 (cdc2) and γ32P dATP (6000 Ci/mmol) in a kinase buffer (25 mM Tris-HCl, pH 7.4, 10 mM MgCl2). In vitro kinase reaction was run on a 15% sodium dodecyl sulfate–polyacrylamide gel electrophoresis (SDS–PAGE), dried and exposed to X-ray film overnight. In vitro kinase assays with recombinant kinase were carried out as follows: 0.5 μg of purified His-MCT-1, His-T81A and His-S118A was incubated with 200 units of recombinant p42 MAP kinase or CDC2 kinase (New England Biolabs, Ipswich, MA, USA), Kinase reaction buffer, phosphatase inhibitors, 10 μ M cold ATP and 10 μCi γ32P dATP (6000 Ci/mmol) at 30°C for 60 min. The reaction was stopped by adding SDS–PAGE sample buffer and boiling for 5 min. In all cases two SDS–PAGE were run concurrently using half of the reaction in each gel. One gel was dried and autoradiographed for the kinase assay, the other gel was stained with Coomassie Brilliant Blue and used as a loading control for the kinase assay. These In vitro kinase assays were repeated three times.
In vitro translation
In vitro translation of wtMCT-1 and T81A mutant was carried out using TNT Coupled Reticulocyte Lysate System (Promega, Madison, WI, USA) according to the manufacturers protocol. The product was subsequently run on a 15% gel, dried and exposed to X-ray film (Kodak) for 2 h.
References
Chang F, Steelman LS, Shelton JG, Lee JT, Navolanic PM, Blalock WL et al. (2003). Regulation of cell cycle progression and apoptosis by the Ras/Raf/MEK/ERK pathway. Int J Oncol 22: 469–480.
Chen SY, Lu J, Shih YC, Tsai CH . (2002). Epstein–Barr virus latent membrane protein 2A regulates c-Jun protein through extracellular signal-regulated kinase. J Virol 76: 9556–9561.
Cobb MH . (1999). MAP kinase pathways. Prog Biophys Mol Biol 71: 479–500.
Dent P, Yacoub A, Fisher PB, Hagan MP, Grant S . (2003). MAPK pathways in radiation responses. Oncogene 22: 5885–5896.
Dierov J, Prosniak M, Gallia G, Gartenhaus RB . (1999). Increased G1 cyclin/cdk activity in cells overexpressing the candidate oncogene, MCT-1. J Cell Biochem 74: 544–550.
Herbert GB, Shi B, Gartenhaus RB . (2001). Expression and stabilization of the MCT-1 protein by DNA damaging agents. Oncogene 20: 6777–6783.
Hsu HL, Shi B, Gartenhaus RB . (2005). The MCT-1 oncogene product impairs cell cycle checkpoint control and transforms human mammary epithelial cells. Oncogene 24: 4956–4964.
Jazirehi AR, Vega MI, Chatterjee D, Goodglick L, Bonavida B . (2004). Inhibition of the Raf-MEK1/2-ERK1/2 signaling pathway, Bcl-xL down-regulation, and chemosensitization of non-Hodgkin's lymphoma B cells by Rituximab. Cancer Res 64: 7117–7126.
Levenson AS, Thurn KE, Simons LA, Veliceasa D, Jarrett J, Osipo C et al. (2005). MCT-1 oncogene contributes to increased in vivo tumorigenicity of MCF7 cells by promotion of angiogenesis and inhibition of apoptosis. Cancer Res 65: 10651–10656.
Lewis TS, Shapiro PS, Ahn NG . (1998). Signal transduction through MAP kinase cascades. Adv Cancer Res 74: 49–139.
Pearson G, Robinson F, Beers Gibson T, Bing-e X, Karandikar M, Berman K et al. (2001). Mitogen-activated protein (MAP) kinase pathways: regulation and physiological functions. Endocr Rev 22: 153–183.
Prosniak M, Dierov J, Okami K, Tilton B, Jameson B, Sawaya BE et al. (1998). A novel candidate oncogene, MCT-1, is involved in cell cycle progression. Cancer Res 58: 4233–4237.
Scarpa A, Taruscio D, Scardoni M, Iosi F, Paradisi S, Ennas M et al. (1999). Nonrandom chromosomal imbalances in primary mediastinal B-cell lymphoma detected by arbitrarily primed PCR fingerprinting. Genes Chromosomes Cancer 26: 203–209.
Sears R, Nuckolls F, Haura E, Taya Y, Tamai K, Nevins JR . (2000). Multiple Ras-dependent phosphorylation pathways regulate Myc protein stability. Genes Dev 14: 2501–2514.
Shapiro P . (2002). Ras-MAP kinase signaling pathways and control of cell proliferation: relevance to cancer therapy. Crit Rev Clin Lab Sci 39: 285–330.
Shi B, Hsu HL, Evens AM, Gordon LI, Gartenhaus RB . (2003). Expression of the candidate MCT-1 oncogene in B- and T-cell lymphoid malignancies. Blood 102: 297–302.
Tang D, Wu D, Hirao A, Lahti JM, Liu L, Mazza B et al. (2002). ERK activation mediates cell cycle arrest and apoptosis after DNA damage independently of p53. J Biol Chem 277: 12710–12717.
Vazquez F, Ramaswamy S, Nakamura N, Sellers WR . (2000). Phosphorylation of the PTEN tail regulates protein stability and function. Mol Cell Biol 20: 5010–5018.
Werner CA, Dohner H, Joos S, Trumper LH, Baudis M, Barth TF et al. (1997). High-level DNA amplifications are common genetic aberrations in B-cell neoplasms. Am J Pathol 151: 335–342.
Wilkinson MG, Millar JBA . (2000). Control of the eukaryotic cell cycle by MAP kinase signaling pathways. FASEB J 14: 2147–2157.
Yang CM, Chien CS, Ma YH, Hsiao LD, Lin CH, Wu C . (2003). Bradykinin B2 receptor-mediated proliferation via activation of the Ras/Raf/MEK/MAPK pathway in rat vascular smooth muscle cells. J Biomed Sci 10: 208–218.
Author information
Affiliations
Corresponding author
Rights and permissions
About this article
Cite this article
Nandi, S., Reinert, L., Hachem, A. et al. Phosphorylation of MCT-1 by p44/42 MAPK is required for its stabilization in response to DNA damage. Oncogene 26, 2283–2289 (2007). https://doi.org/10.1038/sj.onc.1210030
Received:
Revised:
Accepted:
Published:
Issue Date:
DOI: https://doi.org/10.1038/sj.onc.1210030
Keywords
- lymphoma
- stability
- phosphorylation
Further reading
-
The oncogene Mct-1 promotes progression of hepatocellular carcinoma via enhancement of Yap-mediated cell proliferation
Cell Death Discovery (2021)
-
DENR–MCT-1 promotes translation re-initiation downstream of uORFs to control tissue growth
Nature (2014)
-
Expression and Purification of Recombinant Human MCT-1 Oncogene in Insect Cells
The Protein Journal (2010)




