Abstract
An inverse relationship exists between the expression of 15-lipoxygenase-2 (15-LOX-2) and peroxisome proliferator-activated receptor γ (PPARγ) in normal prostate epithelial cells (PrECs) compared with their expression in prostate carcinoma cells (PC-3). The reason for this difference, however, is unknown. We hypothesized that this inverse expression partly involves the 15-LOX-2 promoter and 15-S-hydroxyeicosatetraenoic acid (15-(S)-HETE), a product of 15-LOX-2 that binds to PPARγ. We identified an active steroid nuclear receptor half-site present in the 15-LOX-2 promoter fragment F-5 (−618/+177) that can interact with PPARγ. After forced expression of wild-type PPARγ, 15-(S)-HETE (1 μ M) decreased F-5 reporter activity in PrECs whereas forced expression of 15-LOX-2 resulted in 15-(S)-HETE production which enhanced F-5 activity in PC-3. In contrast, the expression of dominant-negative PPARγ reversed the transcriptional activation of F-5 by enhancing it 202-fold in PrEC or suppressing it in PC-3; the effect in PC-3 was positively increased 150-fold in the presence of 15-(S)-HETE (1 μ M). Peroxisome proliferator-activated receptor γ interacted with 15-LOX-2 promoter sequences in pulldown experiments using biotinylated 15-LOX-2 (−560/−596 bp) oligonucleotides. In gelshift analyses PPARγ and orphan receptor RORα were shown to interact with the F-5 fragment in PC-3 cells. These data suggest that crosstalk mechanisms exist between the 15-LOX-2 gene and PPARγ to counterbalance expression and help explain the inverse relationship of these genes in normal versus cancer cells.
Introduction
15-Lipoxygenase-2 (15-LOX-2) oxygenates carbon 15 in arachidonic acid (AA) to synthesize 15-S-hydroxyeicosatetraenoic acid (15-(S)-HETE) (Brash et al., 1997). 15-S-hydroxyeicosatetraenoic acid (Shappell et al., 2001; Hsi et al., 2002), 13-(S)-hydroxyoctadeca-9Z,11E-dienoic acid (13-(S)-HODE) (Shappell et al., 2001; Hsi et al., 2002) and several other oxidized lipids (Nagy et al., 1998; Huang et al., 1999) can act as ligands for the nuclear transcription factor peroxisome proliferator-activated receptor γ (PPARγ), a nuclear receptor involved in inflammation (Blanquart et al., 2003) and cancer (Koeffler, 2003). As part of its biologic activity, 15-LOX-2 has been proposed to have tumor-suppressor function that might be associated with the ability to induce cell senescence (Bhatia et al., 2005).
The function of 15-LOX-2 has been extensively studied in the prostate. Notably, Shappell et al. (1999) showed that 15-LOX-2 was uniformly expressed in the differentiated apical or secretory cells of the benign prostate and that benign prostate tissues also synthesized 15-(S)-HETE as the major eicosanoid product after incubation with exogenous AA. In contrast, 15-LOX-2 and 15-(S)-HETE formation was decreased in prostate carcinoma. Immunohistochemical studies further showed that the reduced expression of 15-LOX-2 was inversely correlated with the degree of tumor differentiation and pathologic grade (Gleason scores) in prostate cancer specimens (Jack et al., 2000). Finally, 15-LOX-2 expression was decreased in high-grade prostatic intraepithelial neoplastic tissue compared with benign tissues (Shappell et al., 1999), suggesting that the loss of 15-LOX-2 expression is an early event in prostate carcinogenesis. In addition to 15-LOX-2 inhibiting the cell-cycle (Tang et al., 2002) and tumor growth in vivo (Bhatia et al., 2003), gene regulation partly occurs through a core promoter that is regulated positively by Sp1 and negatively by Sp3 transcription factors in human prostate cells (Tang et al., 2004). These studies suggest that 15-LOX-2 is a tumor suppressor gene and that its loss or abnormal expression contributes to prostate cancer.
Previous studies from our laboratory (Subbarayan et al., 2004, 2005) and others (Shappell et al., 2001; Tang et al., 2002) showed that 15-LOX-2 expression levels were very high in normal prostate epithelial cells (PrECs) and that this expression was either lost or reduced in prostate carcinoma cells (PC-3). In contrast, PPARγ expression levels were high in PC-3 but low in normal PrEC. Recently, we reported that an inverse relationship exists between the expression patterns of 15-LOX-2 and PPARγ in many normal and corresponding tumor epithelia, including prostate, breast, esophageal, lung and bladder epithelia (Xu et al., 2003; Subbarayan et al., 2005). Furthermore, forced expression of 15-LOX-2 in PC-3 caused downregulation of PPARγ, and conversely, overexpression of PPARγ in PrEC reduced the expression of 15-LOX-2 (Subbarayan et al., 2004). Although Sp1 and Sp3 core promoter elements in the 15-LOX-2 promoter partly explain the regulation of 15-LOX-2 loss during prostate cancer progression (Tang et al., 2004), they do not fully explain the inverse relationship between 15-LOX-2 and PPARγ expression that has been observed in so many studies.
In this study, we hypothesized that 15-(S)-HETE/PPARγ-mediated regulation causes this inverse expression and is likely to include additional regulatory elements upstream of the core elements in the 15-LOX-2 promoter. To test this hypothesis, we independently cloned, mapped and generated 15-LOX-2 promoter reporter constructs from a cosmid clone derived from human chromosome 17 to determine the potential role of PPARγ and 15-(S)-HETE in the regulation of 15-LOX-2 expression.
Results
Repressor and enhancer regulatory sequences are present upstream of the 15-lipoxygenase-2 basal core promoter
A 5′ untranslated region of the human 15-LOX-2 gene fragment (∼ 2.5 kb) was cloned into a pCR-XL vector (p4313) and sequence verified by a comparison with human chromosome 17 (see AC129492: ATG start codon of ALOX15B refers to nucleotide no. 34032). The resultant plasmid contained approximately 800 bp more than did the promoter sequences reported by Tang et al. (2004). From this parent plasmid, a series of deletion luciferase reporter constructs was generated (Figure 1a). The relative luciferase activity of each reporter construct was then determined in PrEC and PC-3 (Figure 1b and c).
Generation of 5′ deletion constructs of the 15-lipoxygense-2 gene and determination of their luciferase activities in normal Prostate epithelial cells and Prostate carcinoma cells. 5′ deletion constructs (i.e., F-1 to F-7) of different lengths were generated in a pGL3 basic luciferase reporter. The transcription initiation site is marked +1, and an arrowhead shows the ATG start site (a). Luciferase and β-galactosidase activities were quantified after cells were cotransfected with luciferase and pSV β-galactosidase expression plasmids. Relative promoter activity was determined after normalization to β-galactosidase activity and expressed as fold activation over the luciferase activity of the control pGL3 vector. Values are means±s.d.; n=6 (b, c). Results shown are representative from three separate experiments.
In normal PrEC, the basal promoter activity of the full-length fragment F-1 was higher than that of the pGL3 control vector. The F-2 construct lacked partial exon 1, intron1 and exon 2, and exhibited minimal activity, suggesting that this region is required for maximum promoter activity. Promoter activity gradually increased with progressive deletions from F-2 through F-5 and then markedly increased upon the deletion of the HindIII—BstXI fragment of F-4 to yield F-5. This dramatic increase in F-5 promoter activity indicated that regions F-2 to F-4 may contain some inhibitory elements involved in basal transcriptional activity. Notably, the F-5 fragment had a significant increase in luciferase activity over that of the pGL3 control vector and more than double the activity of the F-4 reporter. In contrast, the F-6 reporter construct showed a significantly lower luciferase activity than did the F-5 fragment, which suggested that enhancer sequences occur in the F-5 region from −618 to −343 bp that are masked when the full-length promoter is functioning at baseline activity. The F-7 construct, which does not contain the 15-LOX-2 transcription start site (as denoted by +1), had minimal activity; this suggested that the minimal promoter is found in the −343-bp region upstream of the ATG codon.
When tested in PC-3 that express high levels of PPARγ, these reporter constructs exhibited similar relative activity profiles to those of PrEC (Figure 1c). Moreover, the relative activity of the F-5 fragment was higher than the F-1 full-length promoter in PrEC, but the relative difference was much higher in PC-3, which suggests that the relative basal activity was lower in PC-3. The significant increase in F-5 reporter activity compared with pGL3 activity in both PrEC and PC-3 may be attributed to the presence of enhancer elements contained within the −618 to −343 bp region and/or the loss of repressor elements within the −1224 to −618 bp region. These results suggest a common role for cis-acting elements in 15-LOX-2 gene regulation in both PrEC and PC-3 but do not fully explain the inverse relationship in protein expression.
Following in silico analysis of potential transcription factor-binding motifs, we identified a nuclear PPAR response element (PPRE) half-site, AGGTCA, which overlapped with a putative cyclic AMP (cAMP) response element (CRE), TGAGGTCA, and so further study focused on characterizing DNA–protein interactions that might regulate the 15-LOX-2 gene in these overlapping regions.
Opposing effects of 15-S-hydroxyeicosatetraenoic acid on F-5 reporter activity in prostate epithelial cells and prostate carcinoma cells
To explore the possibility that a feedback mechanism affects 15-LOX-2 gene regulation by its product or by PPARγ, we treated PrEC with different concentrations of 15-(S)-HETE after transient cotransfection with the F-5 reporter construct and a PPARγ expression vector. The expression of PPARγ protein in PrEC after transfecting with this PPARγ expression vector was previously demonstrated by immunoblot analysis (Subbarayan et al., 2004) and similar levels were achieved in the current study (data not shown). Coexpressing PPARγ with the F-5 significantly increased reporter activity (Figure 2a). We found that 15-(S)-HETE significantly decreased F-5 activity in a dose-dependent manner (Figure 2a). In contrast, transient transfection of 15-LOX-2 cDNA significantly increased F-5 reporter activity in PC-3, which was further enhanced in the presence of exogenous 15-(S)-HETE (1 μ M) (Figure 2b). These results demonstrate that 1 μ M 15-(S)-HETE had opposite effects on F-5 reporter activity in PrEC cells when treatments were performed in the presence of forced PPARγ expression (Figure 2a) compared to F-5 responses in PC-3 cells exhibiting forced expression of 15-LOX-2 (Figure 2b). Furthermore, reporter activity was elevated to the same extent as F-5 alone when F-5-expressing PC-3 cells were treated with 1 μ M 15-(S)-HETE (Figure 2b). The transfection of 15-LOX-2 alone or treatment of untransfected cells with 15-(S)-HETE yielded activity comparable to pGL3 alone (data not shown).
Effect of 15-S-hydroxyeicosatetraenoic acid (15-(S)-HETE) on F-5 activity in combination with peroxisome proliferator-activated receptor γ (PPARγ) in prostate epithelial cells (PrEC) and 15-lipoxygense-2 (15-LOX-2) expression in prostate carcinoma cells (PC-3). Cells were transfected with F-5 reporter construct alone or in combination with PPARγ expression plasmid (a), or 15-LOX-2 expression plasmid (b) and pSV β-galactosidase plasmid to normalize for transfection efficiency. 15-S-hydroxyeicosatetraenoic acid treatment was performed for 14–16 h. After normalization to β-galactosidase activities results were expressed as an increase in fold luciferase activity to that of pGL3. Values are means±s.d.; n=6. Results shown are of a representative of three separate experiments (Student's t-test; *P<0.001; †P<0.001). (c) Representative Western blot from experiments performed to verify that protein was produced following transfection with 15-LOX-2 expression plasmid. Lane 1, PC-3 control; lane 2, PC-3 protein in presence of 15-LOX-2 expression plasmid and lane 3, PrEC protein used as a positive control. The same blot was stripped and probed with β-actin antibody to verify the equal loading of protein.
Western analysis was performed to determine the expression level of 15-LOX-2 protein after transient transfection in PC-3. To confirm that 15-LOX-2 enzyme was catalytically active in these cells, the levels of 15-(S)-HETE were assayed by liquid chromatography/mass spectrometry (LC/MS/MS) spectrometry (Table 1). The bulk of 15-(S)-HETE production was detected in the culture supernatant confirming that vector-driven 15-LOX-2 expression produced catalytically active enzyme.
F-5 reporter activity is highly elevated in the presence of dominant-negative peroxisome proliferator-activated receptor γ and exogenous 15-S-hydroxyeicosatetraenoic acid
Upon further promoter analysis, PPARγ expression alone increased F-5 activity (Figure 2a), indicating that 15-LOX-2-expressing PrEC did not require exogenous 15-(S)-HETE for PPARγ to affect F-5 activity. When we used a dominant-negative PPARγ mutant, it significantly increased transactivation (Figure 3a). This dominant-negative PPARγ (dnPPARγ) causes impaired recruitment of the coactivator CRE-binding protein (CBP/p300) and steroid receptor coactivator-1 but retained ligand and DNA-binding properties and could compete with wild-type PPARγ. In our experiments, the expression of wild-type PPARγ with dnPPARγ caused a more than 202-fold increase in F-5 activity, suggesting that basal promoter activity partly relies on molecular interactions with CBP/P300 or some other cofactors to limit 15-LOX-2 promoter activity (Figure 3a).
Opposing effects of dominant negative (dnPPARγ) on F-5 reporter activity in Prostate epithelial cells (PrEC) and Prostate carcinoma cells (PC-3). Cells were cotransfected with PPARγ and/or dnPPARγ in PrEC (a) and PC-3 (b) and pSV β-galactosidase plasmid for normalization followed by treatment with 15 hydroxyeicosatetraenoic acid for 14–16 h. Luciferase reporter activities were normalized to β-galactosidase activity and expressed relative to basic pGL3 vector as fold activation. Shown is a representative example from two repeat experiments (Student's t-test; *P<0.001; †P<0.001).
Prostate carcinoma cells that lacked endogenous 15-(S)-HETE and expressed high levels of endogenous PPARγ behaved differently from normal PrEC; in fact, dnPPARγ decreased the F-5 activity (Figure 3b). In the presence of 1 μ M 15-(S)-HETE, however, dnPPARγ positively enhanced the F-5 activity more than 150-fold. These results indicate that interactions between dnPPARγ CBP/P300 or some other cofactors limit 15-LOX-2 promoter activity and that the loss of these interactions is needed to fully upregulate 15-LOX-2 promoter activity in the presence of 15-(S)-HETE.
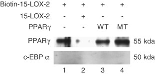
Peroxisome proliferator-activated receptor γ protein interacts with an F-5-derived oligonucleotide in prostate carcinoma cells
A 5′-biotinylated oligonucleotide that contained the PPRE half-site and corresponded to bp −560 to −578 was used to perform microaffinity purification of DNA-binding proteins. Western immunoblot analysis showed the presence of PPARγ protein (Figure 4, lane 1). The specificity of 15-LOX-2-derived oligonucleotide binding was shown as a function of the suppression of PPARγ binding in presence of a 10-fold excess concentration of nonbiotinylated oligonucleotide competitor (Figure 4, lane 2). In the presence of 10-fold molar excess oligonucleotides, the relative levels of PPARγ isolated by microaffinity either decreased in the presence of consensus PPRE (Figure 4, lane 3) or remained unaffected by mutant PPRE oligonucleotides (Figure 4, lane 4). For use as a negative control, the same blot was stripped and probed with the nuclear transcription factor CCAAT-enhancer binding protein α, which was not detected in pull down samples.
Biotinylated DNA–streptavidin capture of the peroxisome proliferator-activated receptor γ (PPARγ) protein in Prostate carcinoma cells (PC-3) cells. Protein complexes from PC-3 nuclear lysates were bound to biotinylated double-stranded 15-lipoxygenese-2 (15-LOX-2) oligonucleotide. DNA-binding proteins were fractionated by sodium dodecyl sulfate-polyacrylamide gel electrophoresis, electrophoretically transferred to nitrocellulose membranes and immunochemically detected using polyclonal antibodies to PPARγ followed by enhanced chemiluminescence. Lane 1, PPARγ containing protein complexes that bound to biotinylated 15-LOX-2 oligonucleotide; lane 2, competitive disappearance of 15-LOX-2 oligonucleotide DNA-binding protein complexes that were lost in the presence of a 10 × molar excess of nonbiotinylated 15-LOX-2 oligonucleotide; lane 3, reduction of 15-LOX-2 oligonucleotide DNA-binding protein complexes competed by a 10 × molar excess of wild-type PPRE oligonucleotide; lane 4, lack of competition by mutant PPRE oligonucleotide. When anti-c-EBPα antibody was used for immunodetection no signal was observed. The blot is representative of three separate experiments.
Peroxisome proliferator-activated receptor γ and retinoic acid receptor-related orphan nuclear receptors can interact with 5-LOX-2 promoter sequences
We performed a gel shift analysis to detect possible nuclear factor-binding activity to a PPARγ half-site present in the most active −560 to −596 bp region of the 15-LOX-2 promoter. Control nuclear extracts from PC-3 showed a specific protein complex after the addition of PPARγ antibody (Figure 5a). In contrast, nuclear extracts made after transient transfection of dnPPARγ into these cells showed no such complex (Figure 5a, lanes 3 and 4), suggesting that the DNA–protein interaction is specific and that other CBP/P300-related proteins are involved in forming these complexes. However, in normal PrEC, no such complex was detected in either type of extract (Figure 5a, lanes 1 and 2). Furthermore, in PC-3, the consensus PPARγ oligonucleotide shifted a similar protein after incubation with a PPARγ-specific antibody, which was absent in the same cell nuclear extract incubated with a mutated PPARγ oligonucleotide (Figure 5a, lane 6). These results indicated that the PPARγ protein is part of the complex and, more importantly, that in PC-3, it interacts with the 15-LOX-2 promoter. Although PPARγ is typically not thought to bind to PPRE half-sites to initiate transcription, little is known about the nuclear receptor interactions within these half-sites.
Electrophoretic mobility shift analysis of peroxisome proliferator-activated receptor γ (PPARγ) and RORα1 protein binding to the 32P-labeled-15 lipoxygenase-2 (15-LOX-2) oligonucleotide (−560 to −596 bp) in Prostate epithelial cells (PrEC) and Prostate carcinoma cells (PC-3). The protein-DNA complexes that were supershifted (arrows) by the addition of an antibody that recognizes PPARγ. (a) Lanes 1 and 2, PrEC nuclear extract without and with dnPPARγ; lanes 3 and 4, PC-3 nuclear extract without and with dnPPARγ; lane 5, PC-3 nuclear extract with the consensus PPARγ probe; lane 6, PC-3 nuclear extract incubated with the mutant PPARγ probe. Consensus PPRE or mutant oligonucleotides were used as unlabeled competitors to determine the specificity of the binding reaction in PC-3. (b) Lane 1, 32P-labeled-RORE consensus site free probe; lanes 2, 3 and 4, PC-3 nuclear extract with increasing concentrations of unlabelled RORE oligonucleotide as competitor; lane 5, 32P-labeled-15-LOX-2 free probe; lanes, 6, 7 and 8, PC-3 nuclear extract in the presence of increasing concentrations of unlabeled 15-LOX-2 oligonucleotide as competitor; lanes, 9 and 10, PC-3 nuclear extract with 15-LOX-2 probe and without and with the RORα antibody; lane 11, PC-3 nuclear extract with 15-LOX-2 probe and RORα antibody in presence of 50 × unlabeled 15-LOX-2 oligonucleotide.
Some orphan receptors such as the retinoic acid receptor-related orphan receptor (RORα, also termed RZR) are known to bind to their response elements exclusively as monomers. To test whether RORα was also able to interact with the 15-LOX-2 promoter within the −560 to −596 bp region, a gel shift experiment was performed with a radiolabeled 15-LOX-2 oligonucleotide incubated with the RORα antibody. The results (Figure 5b) showed that in PC-3, both consensus RORE (Figure 5b, lanes 1–4) and 15-LOX-2 (Figure 5b, lanes 5–11) probes formed specific complexes and these were reduced with increased amounts of cold competitor. Cold 15-LOX-2 promoter oligonucleotides also inhibited the complex formation in presence of RORα antibody (Figure 5b, lanes 10–11). These data suggest that RORα proteins interact with the 15-LOX-2 promoter. In addition, transient transfection of the RORα1 expression plasmid significantly decreased F-5 reporter activity (Figure 6) but not F-4 fragment (data not shown), demonstrating that RORα, which typically interacts with DNA as a monomer, could regulate the 15-LOX-2 promoter through the F-5 region.
Overexpression of orphan nuclear receptor RORα1 significantly decreased F-5 reporter activity in PC-3. Relative luciferase activity represents data that were normalized to β-galactosidase activity and expressed as fold increase relative to pGL-3. Values represent mean±s.d.; n=6. Results shown are representative of three independent experiments. Asterisk indicate a significant difference between F-5 versus F-5 and RORα1 (*P<0.001, Student's t-test).
Discussion
In this study, we determined that a likely mechanism behind the previously observed inverse relationship between the expression of 15-LOX-2 and PPARγ in normal PrEC and their expression in PC-3 is 15-LOX-2 promoter regulation by 15-(S)-HETE in the presence of PPARγ. We further determined that 15-(S)-HETE/PPARγ-mediated regulation includes additional regulatory components upstream from core elements in the 15-LOX-2 promoter, as previously suggested by Tang et al. (2004). Additionally, we found that the 15-LOX-2 gene can interact with steroid nuclear receptors such as PPARγ or RORα through a nuclear receptor-binding half-site (AGGTCA) that overlaps with a putative CRE (TGAGGTCA). The F-5 15-LOX-2 promoter fragment containing this element was negatively regulated by its product 15-(S)-HETE in the presence of PPARγ, suggesting that the 15-LOX-2 gene is regulated through a feedback mechanism.
Microaffinity purification of DNA-binding proteins and gel shift experiments that used 15-LOX-2 oligonucleotide showed the specificity of DNA–protein interactions between the 15-LOX-2 gene and the nuclear receptor proteins. Furthermore, dnPPARγ, which can compete with the wild-type receptor and does not interact with CBP/P300, showed that ligand-activated PPARγ requires complex interactions with additional regulatory factors to silence 15-LOX-2 expression in prostate tumor cells.
Our promoter deletion experiments identified a cis-acting element (−570 to −578) in the F-5 fragment that is involved in regulating the 15-LOX-2 gene promoter in both normal prostate and tumor cells. The elevation of F-5 activity has also been observed in both primary lung and breast epithelial cells (Subbarayan et al., unpublished findings), indicating that this activity is not unique to prostate. Tang et al. (2002) reported that 15-LOX-2 was a negative cell-cycle regulator in normal human PrEC; thus, loss of its expression could be advantageous in tumor cells. Tang et al. (2004) also showed that the 15-LOX-2 promoter was GC-rich and lacked a canonical TATA box and that the gene was regulated positively by Sp1 and negatively by Sp3 transcription factors in prostate cells. They further concluded that the 15-LOX-2 promoter is a housekeeping gene and belongs to the subclass of TATA-less RNA polymerase II promoters. Despite the GC-rich content of this promoter, the participation of epigenetic mechanisms such as promoter hypermethylation was ruled out (Tang et al., 2004). Similar to the deletion studies presented here, the 15-LOX-2 promoter deletion studies of Tang et al. (2004) indicated that the sequences between −726 and −471, which overlap with the F-5 fragment, contain cis elements that could negatively regulate 15-LOX-2 promoter activity. However, the progressive loss of promoter activity observed in both normal prostate and tumor cells suggests the contribution of other factors in 15-LOX-2 gene regulation.
One potential reason for the negative regulation of 15-LOX-2 is the opposing effects of 15-(S)-HETE on F-5 activity in normal prostate and tumor cells, as shown in our study. In particular, our results suggested that 15-(S)-HETE is involved in an autoregulatory mechanism that modifies 15-LOX-2 at the promoter level. To our knowledge, no such feedback mechanism has previously been described for any LOXs by their metabolites. Although the complete nature of the interactions between 15-(S)-HETE and the F-5 fragment is not known, our results indicate that different subsets of proteins are involved in the differential regulation of 15-LOX-2 in normal versus tumor cells. In some cells, for example, 15-(S)-HETE has been shown to bind to proteins present in cytosolic and mitochondrial fractions (Kang and Vanderhoek, 1998).
The second-messenger function of 15-(S)-HETE is another possible mechanism of 15-LOX-2 regulation. It was recently shown in human corneal epithelial cells that 15-(S)-HETE can act as an intracellular second messenger involving protein kinase Cα translocation, which is affected by epidermal and hepatocyte growth factors (Sharma et al., 2005), thus inducing cell proliferation and wound healing. Although Sharma et al. (2005) suggested that 15-(S)-HETE acts as a second messenger in the growth of normal cells, a similar role in normal PrEC has not been shown.
In contrast to its role in normal cells, 15-(S)-HETE may have a dual role in regulating PPARγ activity in tumor cells. For example, PC-3, like most tumor cells, are influenced by constitutively altered pathways, such as the mitogen-activated protein kinase (MAPK) pathway. In tumor cells, exogenous 15-(S)-HETE affects the phosphorylation of PPARγ by MAPKs, thereby inhibiting the activation of PPARγ as a nuclear receptor (Cato et al., 2002; Hsi et al., 2002; Sharma et al., 2005). This contrasts with the role of 15-(S)-HETE as a ligand for PPARγ activation. In fact, a number of polyunsaturated fatty acids, including linoleic acid, linolenic acid, AA and eicosapentanoic acid, and their metabolites, such as 15-deoxy-Δ12,14-prostaglandin J2 (15d-PGJ2), 9-(S)-hydroxyoctadecadienoic acid and 13-(S)-HODE, have been shown to act as endogenous ligands of PPARγ (Mangelsdorf et al., 1995). Although several AA-derived eicosanoids have been thought to promote carcinogenesis, some of them, including PGI2, 15d-PGJ2 (a metabolite of PGD2) (Butler et al., 2000), 15-(S)-HETE (Shappell et al., 2001) and the linoleic acid-derived 13-(S)-HODE, have been found to suppress cell proliferation and induce apoptosis. We have also previously shown that prostate stromal cell-derived PGD2, a product of prostaglandin D synthase, can inhibit PPARγ-expressing prostate tumor cell growth in vitro (Kim et al., 2005). Although PC-3 do not make 15-LOX-2 and thus the ligand 15-(S)-HETE, the surrounding normal tissues may provide this and other PPARγ ligands during early tumor development, possibly explaining the indolence and latency of prostate cancer carcinogenesis.
The effects of 15-(S)-HETE appear to be concentration and cell type dependent. For example, our results showed that in PrEC, PPARγ alone increased F-5 activity (Figure 2a, bar 3) or PPARγ in the presence of 15-(S)-HETE (Figure 2a, bars 4, 5 and 6), decreased F-5 reporter activity. Other investigators have demonstrated the direct binding of 15-(S)-HETE to PPARγ at a 30 μ M concentration in A549 lung adenocarcinoma cells (Shankaranarayanan and Nigam, 2003) and at higher concentrations (as much as 75 μ M) in prostate cells (Shappell et al., 2001; Tang et al., 2002), indicating that 15-(S)-HETE could serve as a ligand for PPARγ. In contrast, we observed that 1 and 5 μM 15-(S)-HETE was sufficient for PPARγ activation in the presence (Figure 2b, bars 6 and 7) but not in the absence of 15-LOX-2 (Figure 2b, bars 3 and 4). We also observed that 1 μ M 15-(S)-HETE reversed dnPPARγ activity. These levels of 15-(S)-HETE were below the level necessary for MAPK phosphorylation, which occurred only at ⩾10 μ M 15-(S)-HETE in PC-3 (unpublished results). These results indicate that different concentrations of 15-(S)-HETE may affect various signal transduction pathways depending on the concentration and the cell background.
Various coactivators and corepressors can be recruited to PPARγ regulatory complexes to alter ligand-specific responses. For example, Wigren et al. (2003) showed the differential effects in macrophages and CV-1 cells of specific PPARγ ligands on cofactor recruitment: steroid receptor coactivator-1 enhanced the response of the cyclooxygenase product 15d-PGJ2, whereas CBP/P300 enhanced responses involving 15-(S)-HETE. Similarly, our findings with dnPPARγ support the notion that CBP/P300 complexes are important in the regulation of 15-(S)-HETE ligand-mediated responses in prostate cells.
The interaction of nuclear receptors with DNA is critical for transcriptional activation. We showed that a 5′-biotinylated 15-LOX-2 oligonucleotide could bind to PPARγ protein in PC-3. In fact, PPARγ binding to this oligonucleotide was confirmed by the gel shift analysis of PC-3 nuclear extracts. According to most studies, PPARγ binds to the target genes as heterodimers with the retinoid X receptor to a direct-repeat element (Mangelsdorf et al., 1995), which was confirmed as part of the current study (data not shown). However, PPARγ can also interact with DNA as a monomer with a low affinity. Because the 15-LOX-2 oligonucleotide sequence contains only a half-site element (AGGTCA), how PPARγ binds to this element is unknown.
Warnmark et al. (2003) showed that the binding of nuclear receptor proteins to DNA can stabilize the transcription-mediated complexes. It is also worth noting in this regard that our octameric sequence shared homology with the consensus CRE (TGACGTCA)-binding element. In fact, we found binding of the CRE-binding (CREB) protein to this element in PC-3 but not PrEC (data not shown). Binding of the CREB protein to the 15-LOX-2 CRE was further enhanced after it was modified to a previously reported CRE consensus sequence (Berhane and Boggaram, 2001). Although studies in which dnPPARγ was used in PC-3 showed that the loss of cofactor interactions with PPARγ significantly enhanced 15-LOX-2 promoter activity, we could not detect increased expression of 15-LOX-2 RNA or protein in PC-3. In contrast, stimulation with dibutyryl cAMP or phorbol-myristate-acetate, both of which can stimulate CREB, caused an increase in 15-LOX-2 expression in PrEC but not in PC-3 (unpublished observations). This suggests that other unidentified transcription factors help regulate 15-LOX-2 synthesis, but whether this regulation involves cooperation between or competition for the overlapping PPARγ half-site and the CRE sequences of the 15-LOX-2 promoter remains to be determined.
Our results additionally showed that the orphan receptor RORα, like PPARγ, might interact with this region of the 15-LOX-2 gene. A computer-assisted search for putative promoter/enhancer elements identified a putative RORα element (AGATCAAGATCAT) within the 15-LOX-2 oligonucleotide that we used for gel shift analysis. Among the LOXs, the 5-LOX gene has been shown to contain a RORα element (Steinhilber et al., 1995). Furthermore, the ligand activation of RORα significantly reduced 5-LOX expression and cell proliferation in prostate tumor cell lines (Moretti et al., 2001, 2002, 2004). These findings of 5-LOX downregulation are consistent with our findings of the suppression of 15-LOX-2 promoter activity.
The distribution and protein–protein interactions between 15-LOX-2 and PPARγ may also affect the regulation of 15-LOX-2 expression. A recent study showed that the 15-LOX-2 protein can interact through an LXXLL (L, leucine; X, any amino acid) motif with PPARs and thus act as a coactivator in squamous epithelial cells (Flores et al., 2005). The distribution of 15-LOX-2 or its splice variants in the cell nucleus may affect these types of interactions (Tang et al., 2002). We did not previously observe wild-type 15-LOX-2 in the nucleus of cells, but we did not account for other possible splice variants (Subbarayan et al., 2005). Our current results showed that the nuclear receptor PPARγ can interact with the 15-LOX-2 promoter and mediate its inhibitory interactions, but we did not observe the presence of 15-LOX-2 directly in these interactions. Additional studies are needed to resolve whether 15-LOX-2 protein expression can directly influence its own transcriptional regulation.
In summary, we observed the existence of crosstalk between the 15-LOX-2 gene and nuclear receptors such as PPARγ and RORα. The ligand-activated nuclear receptor PPARγ, through its protein interactions, may therefore play a key role in the suppression of 15-LOX-2 through the F-5 domain of its promoter in tumor cells that overexpress these nuclear receptors. Future studies will help determine the role that other cofactors, such as CBP/P300, play in the promoter-based regulation of 15-LOX-2 expression.
Materials and methods
Primary antibodies against PPARγ, RORα and c-EBPα (rabbit polyclonal immunoglobulin G (IgG)) were purchased from Santa Cruz Biotechnology, Inc. (Santa Cruz, CA, USA). Anti15-LOX-2 rabbit polyclonal antibody was purchased from Oxford Biomedical Research, Inc., Oxford, MI, USA. The secondary antibodies to rabbit or mouse IgG that were conjugated to horseradish peroxidase were obtained from Pierce Chemical Co. (Rockford, IL, USA). 15-S-hydroxyeicosatetraenoic acid was purchased from Cayman Chemical Co. (Ann Arbor, MI, USA). The reagents for the luciferase and β-galactosidase assays and the pSV-β galactosidase were purchased from Promega Corp. (Madison, WI, USA). All the restriction enzymes and the T4 polynucleotide kinase were from New England BioLabs (Beverly, MA, USA). For transient transfections, plasmid DNA was prepared by using kits from Qiagen Inc. (Valencia, CA, USA). Wild-type PPARγ and mutant gel shift oligonucleotides were purchased from Santa Cruz Biotechnology, Inc. (Santa Cruz, CA, USA). RORE consensus site sense (5′-AGCTTAGAATGTAGGTCAAAGCT-3′); antisense (5′-AGCTTTGACCTACATTCTAAAGCT-3′) oligonucleotides were synthesized by Sigma-Genosys (The Woodlands, TX, USA). The 15-LOX-2 expression plasmid was obtained from Dr IC Kilty at Pfizer Global Research and Development, Sandwich, Kent, UK (Kilty et al., 1999). Human pSG/hPPARγ expression plasmids were acquired from Dr Alex Elbrecht at Merck & Co., Inc. NJ, USA (Elbrecht et al., 1996). The PPARγ-dominant negative pCDNAFlag-γ1AF2 expression vector was kindly provided by Dr VKK Chatterjee at University of Cambridge, Cambridge, UK (Gurnell et al., 2000), and the pCMX-hRORα1 expression vector by Dr V Giguere at McGill University, Toronto, Canada (Giguere et al., 1994).
Cell lines and transient transfection/luciferase assay
Normal human PrEC were purchased from Clonetics (San Diego, CA, USA) and cultured for 2–3 passages. These cells were maintained in a defined culture medium according to the manufacturer's instructions as previously described (Subbarayan et al., 2001). Prostate epithelial cells were purchased from the American Type Culture Collection (Manassas, VA, USA) and cultured in Dulbecco's modified Eagle's medium/F-12 low-glucose medium (Invitrogen-GIBCO, Carlsbad, CA, USA) supplemented with 10% fetal bovine serum. A total of 2.5 × 104 cells/well were seeded and grown to approximately 70% confluence in six-well plates. Transient transfections were carried out by using a liposome reagent (Fugene-6; Roche Diagnostics, Indianapolis, IN, USA) at a ratio to plasmid DNA of 3:1 in serum-free medium. In each well, there was a total of 2 μg of plasmid DNA, which included 0.2–0.5 μg of a pSV β-galactosidase control vector (Promega, Madison, WI, USA). In some cases, the total amount of DNA (2 μg) was kept constant by the addition of nonspecific DNA, such as pBluescript plasmid (Stratagene, La Jolla, CA, USA). After 48 h, the cells were rinsed with phosphate-buffered saline and lysed with a reporter lysis buffer (Promega). Insoluble material was pelleted by centrifugation, and the supernatant was assayed for both luciferase and β-galactosidase activities. The luciferase assay involved adding 100 μl of luciferase assay reagent (Promega) to 20 μl of cell extract, and luciferase activities were measured with a TD-20/20 luminometer (Turner BioSystems, Inc., Sunnyvale, CA, USA). The β-galactosidase activity was quantified by using a β-galactosidase assay kit (Promega). The estimated β-galactosidase activities were used to adjust the luciferase activities for normalization of the variations in transfection efficiency. After normalization to a β-galactosidase, data were reduced to relative mean±s.d. in fold increase as a function of pGL3 basic vector. All transfections were conducted in triplicate, and each experiment in duplicate.
Generation of 15-lipoxygenase-2 promoter 5′ deletion constructs
The primary and full-length construct (F-1) region from –2263 to +495 of the human ALOX15B promoter/5′ untranslated region, consisting of exon 1, intron 1 and exon 2, was subcloned into a pGL3 basic vector from a plasmid p4313 in pCR XL vector (Invitrogen). This region was amplified by a polymerase chain reaction from a cosmid 2680, which was derived from human chromosome 17 as described by Krieg et al. (2001). The remaining constructs of shorter lengths were derived from this plasmid. The F-2 construct, a Sma fragment (−1956/+177) containing partial exon 1, was cloned into the same site of the pGL3 vector. A Sac/Sma fragment (−1414/+177) was subcloned into the Sac/Sma sites of pGL3 to generate an F-3 plasmid. A Hind/Sma fragment (−1224/+177) was cloned into Hind/Sma sites of pGL3 for F-4 construct preparation. For the F-5 construct, a BstXI/Sma (−618/+177) fragment from the p4313 plasmid DNA was gel purified and, after Klenow treatment, cloned into a Sma site of vector pGL3. For the F-6 construct, a Dra/Sma fragment (−343/+177) was cloned into the Sma site of the pGL3 vector. The final construct, F-7, was made after the addition of a Pst–Sma linker to the pGL3 vector and the cloning of a Pst/Sma fragment (+48/+177). All these constructs were verified for their orientation, and the presence of the 15-LOX-2 insert was confirmed by sequencing.
In silico analysis
Because the F-5 construct exhibited a maximal response in both normal and tumor cells, we searched for possible transcription factor-binding motifs in the −618 to −343 bp region in two databases (MOTIF and TFSEARCH).
Western blotting
15-lipoxygenase-2 protein expression was detected by Western blotting as described earlier in Subbarayan et al. (2005). Briefly, 100 μg of total protein was loaded on to a 7.5% sodium dodecyl sulfate-polyacrylamide gel electrophoresis (SDS–PAGE) gel and electro-transferred overnight on to a nitrocellulose membrane. This membrane was blocked overnight with 3.0% bovine serum albumin (BSA) in Tris buffered saline (TBS) containing 0.1% Tween 20. Blot was incubated overnight with anti 15-LOX-2 primary antibody against rabbit (Oxford Biomedical Research, Inc.) which was diluted to 1:1000 in the above TBS solution containing 1.0% BSA. Horseradish peroxidase-conjugated rabbit secondary antibody (Pierce Chemical Co.) in TBS and 0.1% Tween 20 (1:5000) was used to incubate at room temperature for 1 h and the signals were detected using the Super Signal chemiluminiscence system (Pierce Chemical Co.).
Biotinylated DNA–streptavidin capture of DNA-binding proteins
Nuclear proteins binding to the 15-LOX-2 putative CRE element were isolated with the previously described biotinylated DNA–streptavidin capture method (Berhane and Boggaram, 2001). A sense 15-LOX-2 promoter oligonucleotide, biotinylated at the 5′ end and containing two copies of the sequence 5′-TCATGAGGTCAAGAGATC-3′, oligonucleotides were synthesized by Sigma-Genosys (The Woodlands, TX, USA) and the corresponding antisense oligonucleotides were annealed to obtain the biotinylated double-stranded oligonucleotide. Ten picomoles of the double-stranded oligonucleotide was incubated with approximately 300 μg of PC-3 nuclear extract in the presence of 10 μg of poly(dI-dC) in a total volume of 500 μl binding buffer (13 mM N-2-hydroxyethylpiperazine-N′-2-ethanesulfonic acid (HEPES) pH 7.9; 13% glycerol; 60 mM KCl; 5 mM MgCl2; 1 mM dithiothreitol (DTT); and 1 mM ethylenediaminetetraacetic acid (EDTA) for 30 min at room temperature with gentle mixing. To assess the specificity of the binding, a 10-times molar excess of nonbiotinylated wild-type or mutant PPRE oliogonucleotides were included in the binding reaction as competitor. Before use, 200 μl of the agarose was blocked for nonspecific binding by incubation with 500 μg of bovine serum albumin and 200 μg of denatured salmon sperm DNA in 1 ml binding buffer for 10 min at room temperature. After the blocking was completed, the agarose was washed three times with 1 ml of binding buffer. Twenty-five microliters of a 50% slurry of agarose (Nutravidin-agarose; Pierce Chemical Co., Rockford, IL, USA) was then added to the sample and incubated at room temperature for 20–30 min on a gentle rocking platform. After incubation, the agarose was washed twice with binding buffer and mixed with 50 μl of an SDS–PAGE buffer; bound protein was then eluted by boiling. DNA-binding proteins were fractionated by SDS–PAGE electrophoresis on 10% gels and then electrophoretically transferred to nitrocellulose membranes as described in the preceding methods section. The proteins were immunochemically detected using polyclonal antibodies to PPARγ followed by enhanced chemiluminescence.
Electrophoretic mobility shift assay
Nuclear extracts were prepared as previously described (Schreiber et al., 1989), with a slight modification. Briefly, PrEC and PC-3 were washed twice with cold phosphate-buffered saline containing 1 mM sodium orthovanadate and subsequently scraped into 1.5 ml tubes. Cell suspensions were centrifuged at 3000 r.p.m. at 4°C for 5 min before hypotonic lysis. Pelleted cells were resuspended in 400 μl of cold hypotonic buffer A (10 mM HEPES, pH 7.9; 1.5 mM MgCl2; 10 mM KCl; 0.5 mM DTT; 0.2 mM phenylmethylsulfonyl fluoride (PMSF); and one protease inhibitor cocktail tablet (Mini Complete protease inhibitor cocktail tablet; Roche Diagnostics per 10 ml). The cells were allowed to swell on ice for 20 min. The cells were then lysed with the addition of 25 μl of 10% Nonidet P-40 and vigorous vortexing. The lysate was centrifuged at 7500 r.p.m. at 4°C for 5 min. The nuclear pellet was resuspended in 20 μl of lysis buffer (20 mM HEPES, pH 7.9; 420 mM NaCl; 25% glycerol; 0.2 mM EDTA; 1.5 mM MgCl2; 10 mM KCl; 0.5 mM DTT; 0.2 mM PMSF; and one protease inhibitor cocktail tablet (Mini Complete) per 10 ml) and incubated on ice with frequent mixing for 20 min. The debris was centrifuged at 12 000 r.p.m. for 5 min, and the supernatant (nuclear extract) was stored at −80°C. Protein concentrations were determined by using a reagent assay (DC reagent assay; Bio-Rad Laboratories, Hercules, CA, USA).
Electrophoretic mobility shift assays were performed as previously described (Salas et al., 2003). For preparation of the double-stranded radiolabeled probe, single-stranded forward and reverse oligonucleotides were annealed by heating to 95°C and then being allowed to cool slowly to room temperature in annealing buffer (10 mM Tris, pH 7.5, and 50 mM MgCl2). The double-stranded oligonucleotide (25 pmol) was then radiolabeled and incubated at 37°C for 30 min in a total volume of 30 μl of 50 mM Tris (pH 7.5), 7.5 mM MgCl2, 5 mM DTT, 1.5 μg of BSA, 20 U of T4 polynucleotide kinase and 50 μCi of [32P]ATP (3000 Ci/mmol). The volume of the labeled oligonucleotide reaction was increased to 50 μl with water and passed through a column (G50 Nick column; Pharmacia, Uppsala, Sweden). Specific activities were approximately 5000 c.p.m./μl.
The radiolabeled probe (approximately 5 pmol and 80 000 c.p.m.) and 5–10 μg of nuclear extract were then incubated in a 24-μl buffer containing 20 mM HEPES, pH 7.9; 60 mM KCl; 1 mM MgCl2; 1 mM EDTA; 15% glycerol, 1.25 mM DTT and 1 μg of poly(dI-dC) (Sigma-Aldrich, St Louis, MO, USA). After a 20-min reaction at room temperature, the samples were electrophoresed at 150 V for 2.5 h through a 4% nondenaturing polyacrylamide gel in a 0.25 × Tris-borate–EDTA running buffer. The gel was transferred to filter paper, dried and exposed to film (Hyperfilm; Amersham Life Sciences, Piscataway, NJ, USA) in the presence of an enhancing screen at −80°C to visualize DNA-binding complexes. In competition experiments, cold competitor was included with nuclear extract for 30 min before addition of labeled probe. For antibody complex experiments, a radiolabeled oligonucleotide was incubated with a nuclear extract at room temperature for 1 h, and then 2 μg of IgG (1 μl) was added to each binding reaction and further incubated on ice for 30 min before being loaded onto the gel.
Liquid chromatography/mass spectrometry
Liquid chromatography/mass spectrometry was performed as previously described(Subbarayan et al., 2005). Briefly, A tandem mass spectrometer (Micromass Quattro Ultima MS Technologies, Waters Corporation) was used to perform LC/MS/MS. Hydroxyeicosatetraenoic acid metabolites were separated using a Luna 3μ phenyl-hexyl 2 × 150 mm column (Phenomenex, Torrance, CA). The mobile phase consisted of 10 mM ammonium acetate, pH 8.5 (phase A) and methanol (phase B). The flow rate was 250 μl/min and the column temperature was maintained at 50°C. The sample injection volume was 25 μl. Samples were kept at 4°C during the analysis. 15-S-hydroxyeicosatetraenoic acid was detected using electrospray negative ionization and multiple-reaction-monitoring. Fragmentation for the HETEs was performed using argon as the collision gas. The results were expressed as nanograms of 15-S-HETE per 106 cells after counting them with an electronic particle counter (Coulter, Hialeah, FL, USA).
References
Berhane K, Boggaram V . (2001). Gene 268: 141–151.
Bhatia B, Maldonado CJ, Tang S, Chandra D, Klein RD, Chopra D et al. (2003). J Biol Chem 278: 25091–25100.
Bhatia B, Tang S, Yang P, Doll A, Aumueller G, Newman RA et al. (2005). Oncogene 24: 2583–3595.
Blanquart C, Barbier O, Fruchart JC, Staels B, Glineur C . (2003). J Steroid Biochem Mol Biol 85: 267–273.
Brash AR, Boeglin WE, Chang MS . (1997). Proc Natl Acad Sci USA 94: 6148–6152.
Butler R, Mitchell SH, Tindall DJ, Young CY . (2000). Cell Growth Differ 11: 49–61.
Cato AC, Nestl A, Mink S . (2002). Sci STKE 2002: RE9.
Elbrecht A, Chen Y, Cullinan CA, Hayes N, Leibowitz M, Moller DE et al. (1996). Biochem Biophys Res Commun 224: 431–437.
Flores AM, Li L, McHugh NG, Aneskievich BJ . (2005). Chem Biol Interact 151: 121–132.
Giguere V, Tini M, Flock G, Ong E, Evans RM, Otulakowski G . (1994). Genes Dev 8: 538–553.
Gurnell M, Wentworth JM, Agostini M, Adams M, Collingwood TN, Provenzano C et al. (2000). J Biol Chem 275: 5754–5759.
Hsi LC, Wilson LC, Eling TE . (2002). J Biol Chem 277: 40549–40556.
Huang JT, Welch JS, Ricote M, Binder CJ, Willson TM, Kelly C et al. (1999). Nature 400: 378–382.
Jack GS, Brash AR, Olson SJ, Manning S, Coffey CS, Smith Jr JA et al. (2000). Hum Pathol 31: 1146–1154.
Kang LT, Vanderhoek JY . (1998). J Lipid Res 39: 1476–1482.
Kilty I, Logan A, Vickers PJ . (1999). Eur J Biochem 266: 83–93.
Kim J, Yang P, Sabichi A, Llansa N, Mendoza G, Subbarayan V et al. (2005). Cancer Res 65: 6189–6198.
Koeffler H . (2003). Clin Cancer Res 9: 1–9.
Krieg P, Marks F, Furstenberger G . (2001). Genomics 73: 323–330.
Mangelsdorf DJ, Thummel C, Beato M, Herrlich P, Schutz G, Umesono K et al. (1995). Cell 83: 835–839.
Moretti RM, Marelli MM, Motta M, Limonta P . (2002). Oncol Rep 9: 1139–1143.
Moretti RM, Marelli MM, Motta M, Polizzi D, Monestiroli S, Pratesi G et al. (2001). Prostate 46: 327–335.
Moretti RM, Montagnani Marelli M, Sala A, Motta M, Limonta P . (2004). Int J Cancer 112: 87–93.
Nagy L, Tontonoz P, Alvarez JG, Chen H, Evans RM . (1998). Cell 93: 229–240.
Salas TR, Reddy SA, Clifford JL, Davis RJ, Kikuchi A, Lippman SM et al. (2003). J Biol Chem 278: 41338–41346.
Schreiber E, Matthias P, Muller MM, Schaffner W . (1989). Nucleic Acids Res 17: 6419.
Shankaranarayanan P, Nigam S . (2003). J Immunol 170: 887–894.
Shappell SB, Boeglin WE, Olson SJ, Kasper S, Brash AR . (1999). Am J Pathol 155: 235–245.
Shappell SB, Gupta RA, Manning S, Whitehead R, Boeglin WE, Schneider C et al. (2001). Cancer Res 61: 497–503.
Sharma GD, Ottino P, Bazan NG, Bazan HE . (2005). J Biol Chem 280: 7917–7924.
Steinhilber D, Brungs M, Werz O, Wiesenberg I, Danielsson C, Kahlen JP et al. (1995). J Biol Chem 270: 7037–7040.
Subbarayan V, Sabichi AL, Kim J, Llansa N, Logothetis CJ, Lippman SM et al. (2004). Cancer Epidemiol Biomarkers Prev 13: 1710–1716.
Subbarayan V, Sabichi AL, Llansa N, Lippman SM, Menter DG . (2001). Cancer Res 61: 2720–2726.
Subbarayan V, Xu XC, Kim J, Yang P, Hoque A, Sabichi AL et al. (2005). Neoplasia 7: 280–293.
Tang S, Bhatia B, Maldonado CJ, Yang P, Newman RA, Liu J et al. (2002). J Biol Chem 277: 16189–16201.
Tang S, Bhatia B, Zhou J, Maldonado CJ, Chandra D, Kim E et al. (2004). Oncogene 23: 6942–6953.
Warnmark A, Treuter E, Wright AP, Gustafsson JA . (2003). Mol Endocrinol 17: 1901–1909.
Wigren J, Surapureddi S, Olsson AG, Glass CK, Hammarstrom S, Soderstrom M . (2003). J Endocrinol 177: 207–214.
Xu XC, Shappell SB, Liang Z, Song S, Menter D, Subbarayan V et al. (2003). Neoplasia 5: 121–127.
Acknowledgements
We thank Dr IC Kilty (Pfizer Global Research and Development, Sandwich, Kent, UK) for providing the 15-LOX-2 expression plasmid, Dr VKK Chatterjee (University of Cambridge, Cambridge, UK) for the dnPPARγ expression plasmid, Dr V Giguere (University of McGill, Canada) for the RORα 1 expression vector and Dr Alex Elbrecht (Merck & Co., Inc. NJ, USA) for the hPPARγ expression plasmids. This work was supported by Grant TPRN-99-240-01-CNE-1 from the American Cancer Society and by National Cancer Institute Grants P01 CA-91844, R21 CA-10241 and R21 CA-102145 and a grant from the Cancer Research and Prevention Foundation. Also supported in part by a National Cancer Institute grant CA-16672-28. We also thank Dr EM McDonald in the Department of Scientific Publications at M. D. Anderson Cancer Center for editorial expertise.
Author information
Affiliations
Corresponding author
Rights and permissions
About this article
Cite this article
Subbarayan, V., Krieg, P., Hsi, L. et al. 15-Lipoxygenase-2 gene regulation by its product 15-(S)-hydroxyeicosatetraenoic acid through a negative feedback mechanism that involves peroxisome proliferator-activated receptor γ. Oncogene 25, 6015–6025 (2006). https://doi.org/10.1038/sj.onc.1209617
Received:
Revised:
Accepted:
Published:
Issue Date:
DOI: https://doi.org/10.1038/sj.onc.1209617
Keywords
- 15-lipoxygenase-2
- prostate cancer
- gene expression
- peroxisome proliferator-activated receptor γ
Further reading
-
The role of Lipoxin A4 in endometrial biology and endometriosis
Mucosal Immunology (2013)
-
Transgenic expression of 15-lipoxygenase 2 (15-LOX2) in mouse prostate leads to hyperplasia and cell senescence
Oncogene (2010)
-
Synergistic effect of 15-lipoxygenase 2 and radiation in killing head-and-neck cancer
Cancer Gene Therapy (2008)
-
Lipoxygenase-derived Metabolites Are Regulators of Peroxisome Proliferator-activated Receptor -2 Expression in Human Vascular Smooth Muscle Cells
American Journal of Hypertension (2008)





