Abstract
Based on observations suggesting a role for the tumor suppressor protein p53 in regulating expression of the 67-kDa laminin receptor precursor, 37LRP, we analysed the 37LRP promoter activity in a wild-type p53 (wt p53) ovarian carcinoma cell line and in a cisplatin-resistant subline with mutated p53. We observed an increased promoter activity in wt p53 cells as compared to the mutated-p53 line when the first intron of the 37LRP gene was present in the reporter construct. Cotransfection experiments showed that the promoter is downregulated by both wt and mutated p53. Deletion analysis of the first intron localized an enhancer activity in the first 5′ 214 bp that upregulates both 37LRP and SV40 promoter activity and is repressed by both wt and mutant p53. Cotransfection, mutagenesis and gel-shift experiments identified a functional AP-2 cis-acting element in this intron region that is repressed by increased levels of both wt and mutated p53. Coimmunoprecipitation studies revealed AP-2 in physical association in vivo with both wt and mutated p53, indicating for the first time that interaction of p53 with AP-2 is involved in the repression mechanism and in the regulation of genes involved in cancer growth and progression.
Introduction
Clinical data clearly demonstrate the importance of the 67-kDa laminin receptor (67LR) in the progression of a wide variety of carcinomas (Ménard et al., 1998). This molecule appears to be quite unusual since so far only a full-length gene encoding a 37-kDa precursor protein (37LRP) has been isolated (Ménard et al., 1997; Rao et al., 1989). Recent data suggest that acylation of the 37-kDa polypeptide by fatty acid palmitate, oleate and stearate is the key mechanism for maturation of the 67-kDa form through homo- or heterodimerization (Butò et al., 1998; Landowski et al., 1995). The mechanism underlying 67LR overexpression in some tumors is still unknown. No gene amplification has been observed, suggesting that overexpression is due to deregulation of gene transcription. A variety of observations have suggested that 37LRP is upregulated after interaction of cells with extracellular matrix proteins (Castronovo and Sobel, 1990). Cytokines and inflammatory agents also upregulate 37LRP expression (Raghunath et al., 1993), although downregulation of the 37LRP promoter by TNF-α and IFN-γ has been reported in cervical carcinoma cells (Clausse et al., 1998). Recently, lack of p53 abnormality in breast carcinomas, as detected by negative-immunohistochemistry, has been statistically correlated with 67LR overexpression (Nadji et al., 1999), suggesting a role for p53 status in regulating expression of the laminin receptor. p53 is known to control cell growth control (Ko and Prives, 1996) and to mediate the response of the cell to numerous adverse stimuli, including genotoxic stress and hypoxia (Levine, 1997). In normal cells, such stimuli result in increased p53 protein levels and activation of its function as a nuclear transcription factor. Mutational inactivation of p53 is the most frequent genetic alteration in human cancers (Hollstein et al., 1994), indicating the important role of this gene in human carcinogenesis.
The presence of wt p53 is associated with cisplatin sensitivity of ovarian carcinomas (Righetti et al., 1996), and the 67LR is frequently overexpressed in platinum-sensitive tumors (di Leo et al., 1995; Nadji et al., 1999). We therefore asked whether p53 might play a role in the regulation of 37LRP expression. In this study, we report that both wt and mutant p53 are able to downregulate 37LRP expression levels by repressing an AP-2 cis-acting element localized in the first intron of the 37LRP gene.
Results
FACS analysis of 67LR expression levels in the cisplatin-sensitive ovarian carcinoma cell line IGROV-1, which has wt p53, and in the cisplatin-resistant variant IGROV-1/Pt1, selected after prolonged drug exposure and mutated in both p53 alleles (Perego et al., 1996) revealed markedly reduced 67LR expression in IGROV1/Pt1 cells (Figure 1a). Western blot analysis of 37LRP precursor expression revealed a 50% reduction in IGROV-1/Pt1 cells (Figure 1b). The reduced anti-p53 antibody reactivity observed in the IGROV-1 cell line compared with the cisplatin-resistant variant (Figure 1b, lower panel) indicated that the mutations present in IGROV-1/Pt-1 cells are associated with p53 accumulation. To determine whether the difference in 37LRP expression levels observed in IGROV-1 and IGROV-1/Pt1 cell lines is due to differential regulation of the 37LRP promoter, cells were transiently transfected with each of two reporter plasmids containing the luciferase gene driven by the 37LRP promoter (Figure 2a). Plasmid E1I1-LUC contains the −527/+904 region of the 37LRP gene encompassing a 527-bp 5′ flanking region, the 52-bp exon 1, which consists of a part of the 5′ untranslated region of the 37LRP/p40 gene since the translational start site of the gene resides in the second exon, and the 852-bp intron 1, which contains several putative consensus binding sites for transcriptional factors (Jackers et al., 1996). Plasmid E1-LUC contains the −527/+52 region without the intronic sequence. Results revealed no difference between IGROV-1 and IGROV-1/Pt1 cells transfected with the intronless E1-LUC plasmid, whereas luciferase expression levels were fivefold higher in E1I1-LUC-transfected IGROV-1 cells than in E1I1-LUC-transfected IGROV-1/Pt1 cells (Figure 2b) suggesting that 37LRP expression might depend on p53 status. To examine the effect of p53 on the 37LRP promoter, IGROV-1 cells were transiently transfected with E1I1-LUC reporter plasmid, together with wt p53 expression vector (pC53-SN3) or three p53 mutants, i.e., p53-270L, p53-282W, representing the mutations in IGROV-1/Pt1 cells, and p53-143A, a colon carcinoma-derived mutant p53. Cotransfection of all three p53 mutants resulted in 50% downregulation of E1I1-LUC expression; unexpectedly wt p53 also downregulated the promoter activity and to a greater extent compared to the p53 mutants (Figure 3a), suggesting that the reduction in 37LRP expression depends on increased levels of both wt and mutated p53. Indeed, similar cotransfection experiments using increasing amounts of wt p53 revealed a dose-dependent downregulation of E1I1-LUC expression (Figure 3b). Analogous results were obtained in cotransfection experiments using the p53-null SKOv3 cell line (Figure 3a). Moreover, Western blot analysis before and after cisplatin treatment of IGROV-1 cells revealed a strong induction of p53 protein expression after 48 h, as previously described (Perego et al., 1996), and a simultaneous 60% decrease in 37LRP protein levels (Figure 3c). Thus 37LRP downregulation by p53 occurs not only in a reporter gene system, but also in physiological conditions.
Expression of 67LR and 37LRP in ovarian carcinoma cell lines displaying wt or mutated p53. (a) Expression of 67LR on IGROV-1 ovarian carcinoma cells (dark line) and on the cisplatin-resistant subline IGROV-1/Pt1 (light line) as analysed by indirect immunofluorescence using antibody MLuC5 and FITC-conjugated goat anti-mouse Ig. (b) Western blot analysis of IGROV-1 and IGROV-1/Pt1 cell lysates (30 μg) for 37LRP and p53 expression using anti-37LRP antibody MPLR8 (upper panel) and anti-p53 antibody DO-7 (lower panel) as probes
37LRP promoter activity in IGROV-1 and IGROV-1/Pt1 cells. (a) Schematic representations of E1-LUC and E1I1-LUC luciferase reporter plasmids. In E1I1-LUC, a DNA region of 1431 bp encompassing the 527-bp 5′ flanking region, the 52-bp exon 1 and the 852 intron 1 of the 37LRP gene was cloned upstream of the luciferase gene in the pGL2-basic vector. E1-LUC lacks the first intron. (b) IGROV-1 and IGROV-1/Pt1 cells were transiently transfected with 3 μg of E1-LUC and E1I1-LUC luciferase reporter plasmids, harvested, and protein extracts were quantified and assayed for luciferase activity at 48 h post-transfection. Results are the average (±s.e.) of six independent experiments performed in duplicate. Luciferase activity was normalized for transfection efficiency with β-gal activity as an internal control
Regulatory effects of wt and mutant p53 protein on 37LRP promoter activity. (a) IGROV-1 (filled bars) and SKOv3 (open bars) cells were cotransfected with 3 μg of E1I1-LUC luciferase plasmid together with 1 μg of expression vectors for wt p53 and for three p53 mutants: p53-143A, p53-270L and p53-282W. pRC-CMV empty vector was used to maintain a constant amount of total DNA transfected. Results are expressed as mean (s.e.) from four independent experiments performed in duplicate. Luciferase activity was normalized for transfection efficiency with β-gal activity. (b) IGROV-1 cells were cotransfected with 3 μg of E1I1-LUC luciferase plasmid together with increasing amounts of the pC53-SN3 vector expressing wt p53. pRC-CMV empty vector was used to maintain a constant amount of total DNA transfected. Data represent relative activities of E1I1-LUC expressed in the presence of p53, assuming luciferase activity with E1I1-LUC alone to be 100. Results are given as mean±s.e. from two independent experiments performed in duplicate. Luciferase activity was normalized for transfection efficiency with β-gal activity. (c) Western blot of lysates (30 μg) of IGROV-1 cells untreated (NT) or treated with 10 μg/ml cisplatin for 1 h and harvested after 24 and 48 h; anti-37LRP antibody MPLR8 (upper panel) and anti-p53 antibody DO-7 (lower panel) were used as probes
To further examine the ability of intron 1 of the 37LRP gene to increase 37LRP promoter activity in IGROV-1 cells (Figure 2b), the intronic region was subcloned in the pGL2-promoter vector upstream of the SV40 promoter, and the plasmid obtained (I1-SV40P) was transiently transfected into IGROV-1 and IGROV-1/Pt1 cells. Luciferase expression driven by the SV40 promoter was increased 12-fold in I1-SV40P-transfected IGROV-1 cells (Figure 4), while in IGROV-1/Pt1 cells, luciferase expression did not differ between I1-SV40P and the empty vector (data not shown), indicating the presence of a cis-acting element(s) in the first intron that increases the transcription of both the 37LRP promoter and a heterologous promoter only in wt p53 IGROV-1 cells. Deletion of the most 5′ 214 bp of the intron was sufficient to completely abolish the increase in luciferase expression driven by the first intron, whereas deletion of longer fragments had no substantial effect on SV40-driven luciferase expression (Figure 4).
Localization of the cis-acting positive elements in the 37LRP first intron. IGROV-1 cells were transfected with the pGL2-promoter and I1-SV40P, which contains the first intron of the 37LRP gene cloned upstream of the SV40 promoter in the pGL2-promoter vector, and with a series of 5′ progressive deletions of I1-SV40P. After 48 h, cells were harvested and protein extracts were quantified and assayed for luciferase activity. Results are expressed as mean (s.e.) from four independent experiments performed in duplicate. Luciferase activity was normalized for transfection efficiency with β-gal activity
To address the possibility of a positive cis-acting element(s) in the 5′ 214 bp of the first intron that was repressed by both wt and mutant p53, I1-SV40P and I1-Δ214 plasmids were cotransfected in IGROV-1 cells with wt or mutant-p53 expression plasmids. Whereas wt p53 repressed the SV40 promoter (Perrem et al., 1995), p53-270L and p53-282W mutant p53 did not (Figure 5a). Nevertheless, the two mutants repressed I1-SV40P luciferase expression (Figure 5b). Downregulation of the I1-SV40 plasmid by the p53 mutants was abolished upon deletion of the 5′ 214 bp of the intron (Figure 5c), further suggesting that mutant p53 can repress the positive cis-acting elements present in the first intron of the gene.
Repression of the 37LRP gene intron 1 by wt and mutant p53. IGROV-1 cells were cotransfected with 3 μg of pGL2-promoter (a), I1-SV40P (b), or I1-Δ214 (c) luciferase plasmids together with 1 μg of expression vectors for wt p53 and for mutants p53-143A, p53-270L and p53-282W. pRC-CMV empty vector was used to maintain a constant amount of total DNA transfected. Values represent relative activity of luciferase plasmids expressed in the presence of p53, assuming a luciferase activity of 100 with pGL2-promoter, I1-SV40P and I1-Δ214 alone. Results are expressed as mean (s.e.) from four independent experiments performed in duplicate. Luciferase activity was normalized for transfection efficiency with β-gal activity
To identify the cis-regulatory element(s) in the 5′ 214 bp of intron 1, 10 radiolabeled 30-bp overlapping oligonucleotides encompassing the entire 214 bp region (Figure 6a) were incubated with nuclear protein extracts prepared from IGROV-1 and IGROV-1/Pt1 cells, and subjected to EMSAs. Different subfragments were bound by both IGROV-1 and IGROV-1/Pt1 nuclear extracts (data not shown), but only the retardation pattern of subfragment IN9 differed in the two cell lines, i.e. IN9 formed two DNA-protein complexes with IGROV-1 extracts (Figure 6b, lane 2) that were markedly more intense than the same two complexes observed with IGROV-1/Pt1 nuclear extracts (Figure 6b, lane 6). Addition of antibody against p53 did not alter the pattern of retarded bands (Figure 6b, lanes 5 and 9), suggesting the absence of p53 in any of the DNA-protein complexes, or the inability of anti-p53 antibody to recognize its epitope when p53 takes part in DNA-protein complex. The IN9 subfragment contains the sequence 5′-CCCGCCGCC-3′ which presents a putative binding site for the transcription factor AP-2 with a near perfect match with the consensus sequence 5′-(G/C)CCNN(A/G/C)(G/A)G(G/C/T)-3′ (Mcpherson and Weigel, 1999). Competition experiments to determine whether AP-2 binds to the IN9 oligonucleotide showed that an excess of unlabeled oligonucleotide containing a heterologous AP-2 binding site eliminated the two protein-DNA complexes (Figure 6b, lanes 4 and 8). Furthermore, EMSAs performed by incubating a 32P-labeled oligonucleotide containing the consensus binding site for AP-2 with IGROV-1 and IGROV-1/Pt1 nuclear extracts (Figure 6c) revealed two complexs formed with IGROV-1 nuclear extracts (lane 2) and the same two complexes with IGROV-1/Pt1 nuclear proteins but at markedly reduced intensity (lane 5), consistent with the observations using the IN9 oligonucleotide. Both complexes were completed with both IN9 (lanes 3 and 6), and AP-2 consensus unlabeled oligonucleotides (lanes 4 and 7). Complete inhibition of protein-DNA complex formation using 100-fold molar excess of both unlabeled IN9 and AP-2 consensus binding site oligonucleotides (Figure 6e) indicated that the molecular complexes present in IGROV-1 nuclear extracts bind the two DNA consensus sequences with comparable affinity.
Electrophoretic mobility shift assays of 37LRP intron 1 subfragments with IGROV-1 and IGROV-1/Pt1 nuclear proteins. (a) DNA fragments encompassing the 5′ 214 bp of the 37LRP first intron used as probes and competitors for EMSAs. (b) EMSAs using nuclear extracts from IGROV-1 and IGROV-1/Pt1 cells and fragment IN9 as probe. Nuclear extracts (10 μg) were incubated with the 32P-labeled double-stranded oligonucleotide probe. Lanes 3 and 7 contained a 100-fold molar excess of IN9 unlabeled oligonucleotide. Lanes 4 and 8 contained a 100-fold molar excess of an AP-2 consensus binding site unlabeled oligonucleotide. Antibody against p53 (lanes 5 and 9) was included in the reaction mixture before incubation. Mixtures were electrophoresed in a 4% polyacrylamide gel as described in Materials and methods. Lane 1: free probe. (c) EMSAs using nuclear extracts from IGROV-1 and IGROV-1/Pt1 cells and an AP-2 consensus binding site oligonucleotide as probe. Nuclear extracts (10 μg) were incubated with the 32P-labeled double-stranded oligonucleotide probe. Lanes 3 and 6 contained a 100-fold molar excess of IN9 unlabeled oligonucleotide. Lanes 4 and 7 contained a 100-fold molar excess of an AP-2 consensus binding site unlabeled oligonucleotide. Mixtures were electrophoresed in a 4% polyacrylamide gel as described in Materials and methods. Lane 1: free probe. (d) EMSAs using recombinant AP-2 and fragment IN9 (lanes 1–4) or AP-2 consensus binding site oligonucleotide (lanes 5–8) as probe. Recombinant human AP-2 (1 μl) was incubated with the 32P-labeled double-stranded oligonucleotide probes. Lanes 3 and 7 contained a 100-fold molar excess of IN9 unlabeled oligonucleotide. Lanes 4 and 8 contained a 100-fold molar excess of an AP-2 consensus binding site unlabeled oligonucleotide. Mixtures were electrophoresed in a 4% polyacrylamide gel as described in Materials and methods. Lanes 1 and 5: free probes. (e) EMSAs using nuclear extracts from IGROV-1 and fragment IN9 (lanes 1–4) or AP-2 consensus binding site oligonucleotide (lanes 6–9) as probe with increasing doses of IN9 or AP-2 consensus binding site unlabeled oligonucleotide. Lanes 1 and 5: free probes
EMSAs performed by incubating both 32P-labeled IN9 and AP-2 consensus oligonucleotides with a recombinant AP-2 revealed binding of both oligonucleotides by recombinant AP-2 (Figure 6d). Moreover, DNA-protein complex formation was prevented by competition with either IN9 (lanes 3 and 7) or AP-2 consensus unlabeled oligonucleotides (lanes 4 and 8).
To determine whether AP-2 could increase the transcriptional activity of intron 1, I-SV40P and I1-Δ214 plasmids were cotransfected in IGROV-1 cells with expression vectors for AP-2α, AP-2β, and AP-2γ. As shown in Figure 7a, cotransfection of all three isotypes of AP-2 resulted in a 2–3-fold activation of I-SV40P luciferase activity as compared with the empty vector, while no effect was observed with the I1-Δ214 plasmid. Site-directed mutagenesis of AP-2 element and transfection of the plasmid obtained either alone or together with the AP-2 expression plasmids led to complete loss of intron 1 enhancer activity in the mutagenized plasmid and lack of induction by cotransfection of AP-2 (Figure 7b).
Activation of 37LRP gene intron 1 by AP-2. (a) IGROV-1 cells were cotransfected with 3 μg of I1-SV40P or I1-Δ214 luciferase plasmid together with 1 μg of expression vectors for Ap-2α, AP-2β and AP-2γ. pSP(RSV)NN empty vector was used to maintain a constant amount of total DNA transfected. Results are expressed as mean (s.e.) from three independent experiments performed in duplicate. Luciferase activity was normalized for transfection efficiency with β-Gal activity. (b) IGROV-1 cells were cotransfected with 3 μg of pGL2-promoter, I1-SV40P or I1-mAP2 luciferase plasmids. I1-mAP2 was also cotransfected together with 1 μg of expression vectors for AP-2α, AP-2β and AP-2γ. pSP(RSV)NN empty vector was used to maintain a constant amount of total DNA transfected. Results are expressed as mean (s.e.) from three independent experiments performed in duplicate. Luciferase activity was normalized for transfection efficiency with β-gal activity
EMSAs and cotransfection studies suggested that the AP-2 element in intron 1 is indeed the positive cis-acting element that is repressed by both wt and mutant p53. Since Western blot analysis of IGROV-1 and IGROV-1/Pt1 nuclear soluble extracts with anti AP-2 antibodies revealed constitutive expression of AP-2α and similar levels in the two cell lines (Figure 8a), the markedly decreased binding of the IN9 oligonucleotide by IGROV-1/Pt1 nuclear proteins led us to hypothesize that p53 might directly or indirectly sequester AP-2 in these cells. Immunoprecipitation of IGROV-1 and IGROV-1/Pt1 nuclear soluble extracts with specific anti-p53 antibody, followed by Western blot analysis of the immunoprecipitated proteins using anti-AP-2α antibody, revealed the presence of AP-2 in the anti-p53 immunoprecipitates (Figure 8b). Western blot analysis with anti-p53 antibody of immunoprecipitated proteins showed that the p53 protein is present in the material immunoprecipitated with anti-AP-2α antibody (Figure 8c). The absence of detectable SR RNA processing factors in the material immunoprecipitated with anti-p53 or anti-AP-2 provided a control for coimmunoprecipitation specificity (data not shown).
Coimmunoprecipitation of p53 with AP-2. (a) Western blot of nuclear cell lysates (30 μg) of IGROV-1 and IGROV-1/Pt1 cells with antibodies directed against the three different AP-2 isoforms. Nuclear cell lysates of IGROV-1 and IGROV-1/Pt1 cells were immunoprecipitated with antibody directed against p53 (b) or anti-AP-2α antibody (c). Immunoprecipitated proteins were resolved by electrophoresis on 10% SDS-polyacrylamide gels and transferred to a nitrocellulose membrane. Western blot analysis was performed using anti-p53 or anti-AP-2α antibodies
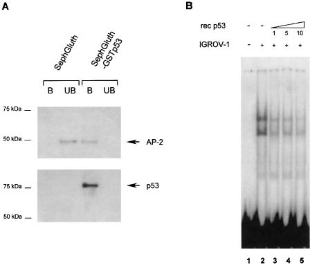
To determine whether p53 directly binds to AP-2, we analysed the ability of these two transcription factors as recombinant proteins to interact with each other. As shown in Figure 9a, recombinant AP-2α bound to recombinant GST-p53 immobilized on sepharose-glutathione, while it did not link sepharose-glutathione alone. EMSAs performed by incubating 32P-labeled IN9 oligonucleotide with IGROV-1 nuclear extracts in the presence of increasing concentrations of recombinant p53 revealed inhibition of AP-2 binding to the IN9 subfragment (Figure 9b), suggesting that the combination of AP-2α and p53 can inhibit the activating capability of AP-2.
Analysis of interaction between AP-2 and p53. (a) Western blot analysis of recombinant AP-2α bound (b) or unbound (UB) to recombinant GST-p53 immobilized on glutathione-sepharose or to glutathione-sepharose alone. Proteins were resolved by electrophoresis on 10% SDS-polyacrylamide gels and transferred to a nitrocellulose membrane. Western blot analysis was performed using anti-p53 or anti-AP-2α antibodies. (b) EMSAs using nuclear extracts from IGROV-1 cells and fragment IN9 as probe (lane 2). Lanes 3–5 contained increasing amounts of recombinant p53. Lane 1: free probe. Mixtures were electrophoresed in a 4% polyacrylamide gel as described in Materials and methods
Discussion
The present study demonstrates that the oncosuppressor p53 negatively regulates the expression of the metastasis-associated monomeric laminin receptor through the repression of the AP-2 transcription factor. Although FACS and Western blot analysis indicated higher expression of 67LR and its precursor in cells with wt p53 as compared to cells with mutated p53, suggesting a positive regulation of the receptor expression by p53, all subsequent experiments pointed to downregulation of 37LRP expression by both wt and mutated p53. Indeed, cotransfection of cells with the 37LRP promoter and either wt p53 or mutated p53 expression plasmid led to a repression of the promoter activity, suggesting that p53 repressive activity depends on the oncosuppressor level instead of its status. The decrease in 37LRP protein expression upon accumulation of wt p53 protein induced by treatment of cells with cisplatin indicates that the p53-mediated repression of the 37LRP promoter is also a physiological event. The high level of p53 in tumor cells displaying a mutated p53 results in the inhibition of 37LRP expression, as indicated by the observed correlation between the presence of mutated p53 and reduced laminin receptor expression in both breast and ovarian carcinomas (di Leo et al., 1995; Nadji et al., 1999). A similar negative regulation mechanism has also been described in tumors with mutated p53 for the reduced expression of fibronectin, an extracellular matrix protein involved in cell adhesion (Iotsova and Stehelin, 1996), of parathyroid hormone-related protein (Foley et al., 1996), and of metalloproteinase type 3 tissue inhibitor (Loging and Reisman, 1999). While p53 activates transcription by specific binding to p53 response elements in the promoter regions, the mechanism of transcriptional repression might occur through protein-protein interactions with transcription factors, such as with the TATA-binding protein, the CAAT-binding factor, or Sp1, resulting in the activation of their trans-activating abilities (Agoff et al., 1993; Borellini and Glazer, 1993).
Transfection experiments with the 37LRP promoter in IGROV-1 and IGROV-1/Pt1 cells localized the cis-acting element(s) responsible for the p53-dependent regulation in the first intron of the gene in the 5′ 214 bp, as indicated by the complete abolishment of p53 regulation upon deletion of this region. The mechanism of p53 regulation was found to be mediated through the repression of an enhancer element located in 5′ 214 bp region. The presence of an AP-2 consensus binding site in 5′ 214 bp of intron 1, together with the ability of this binding site to inhibit DNA complexes formed with the intron 1 AP-2 binding site and IGROV-1 nuclear proteins, and the binding of recombinant AP-2 to the intron AP-2 putative binding site, clearly demonstrated that the functional positive cis-acting element is AP-2-dependent.
Interestingly, Yao et al. (1995) observed a reduced AP-2 activity in cisplatin-resistant ovarian carcinoma cell lines. Consistent with those findings, we observed reduced binding by IGROV-1/Pt1 nuclear proteins to both the intron 1 AP-2 binding site and an oligonucleotide containing the AP-2 consensus-binding site. The correlation between overexpression of the p53 protein and the reduced binding activity of AP-2 in IGROV-1/Pt1 cells and comparable levels of AP-2 in the two cell lines, as shown by Western blot analysis of the transcriptional factor in IGROV-1 and IGROV-1/Pt1 nuclear soluble extracts, suggest that p53, by complexing AP2, prevents the 37LRP transcriptional activation induced by AP-2/intron 1 interaction. Indeed, coimmunoprecipitation of AP-2 and p53, and the ability of two recombinant transcriptional factors to bind each other, demonstrated that the two proteins are physically associated and interact with each other. The combination of p53 with AP-2, as indicated by recombinant p53-mediated inhibition of AP-2 association with the IN9 oligonucleotide, perturbs DNA binding activity of AP-2, resulting in the inactivation of the trans-activating ability of AP-2. A similar negative regulation mechanism has recently been described in breast cancer cell lines with wt p53 on the regulation of vascular permeability factor/vascular endothelial growth factor expression. Also in this case, p53 regulates the transcriptional activity of Sp1 by inhibiting its association to the promoter region of the growth factor gene (Pal et al., 2001).
Together, these data show that the AP-2 binding site localized in the first intron of 37LRP gene is a functional positive cis-acting element and that p53 inhibits the transcriptional enhancement, blocking the activity of this regulatory factor. The ability of both wt and mutated p53 to inhibit AP-2-dependent enhancement of the 37LRP gene is consistent with findings indicating that mutated p53 cannot substain transcriptional activation of p53-responsive promoters, but does retain a certain degree of repression on some promoters (Santhanam et al., 1991; Subler et al., 1992) while failing to repress others (Ginsberg et al., 1991). However, our results indicating that p53 can repress AP-2 binding regulatory elements might also be relevant for other genes involved in cancer and regulated by AP-2 such as HER2 (Bates and Hurst, 1997; Perissi et al., 2000). Such a possibility is not in contradiction with data indicating the positive involvement of both AP-2 and p53 transcriptional factors in promoting gene expression of other molecules such as p21WAF1 (Zeng et al., 1997). Indeed, the model described in the present study is related to the activity of AP-2 and p53 on an enhancer element, not on a promoter region as in the case of the p21WAF1 gene.
Materials and methods
Cell lines
Human ovarian carcinoma cell line SKOv3 was provided by ATCC (Rockville, MD, USA). The IGROV-1 ovarian carcinoma cell line was derived by J Bernard (Institute Gustave Roussy, Villejuf, France) from a moderately differentiated ovarian carcinoma of an untreated patient. The cisplatin-resistant IGROV-1/Pt1 (kindly provided by F Zunino, Istituto Nazionale Tumori) was generated by exposure of IGROV-1 cells to increasing concentrations of cisplatin (Perego et al., 1996). After selection also IGROV-1/Pt1 cells were cultured without drug supplement. Cell lines were grown at 37°C, 5% CO2 in RPMI 1640 medium (Sigma Chemical Co., St. Louis, MO, USA) supplemented with L-glutamine, antibiotics and 10% fetal bovine serum (FBS).
Flow cytometric analysis
Indirect immunofluorescence assay was performed using purified monoclonal antibody MLuC5 (10 μg/ml) directed against the 67LR (Martignone et al., 1992). Live cells were incubated with 100 μl of antibody for 30 min at 4°C, washed three times with phosphate-buffered saline (PBS) and incubated with FITC-labeled goat anti-mouse Ig (1 : 100) for 30 min at 4°C. Fluorescence was evaluated by FACScan using LYSYS II software (Becton Dickinson, Mountain View, CA, USA).
Plasmids
The E1-LUC and E1I1-LUC luciferase reporter plasmids contain the −527/+904 and −527/+52 regions, respectively, of the 37LRP/p40 gene cloned in the pGL2-basic vector (Promega, Madison, WI, USA) upstream of the Photinus pyralis luciferase gene (Clausse et al., 1998). The I1-SV40 plasmid and serial deletion constructs (see Figure 6) were generated by PCR amplification and subsequent ligation into the SmaI site of the pGL2-promoter vector (Promega, Madison, WI, USA) using the TA-cloning method as described (Marchuk et al., 1991). The 5′ PCR primers used were: I1F, 5′-GTGAGTTCCGTGTAGCGT-3′; I1-Δ214, 5′-GAGGCTCCGAGCTGGGGTTC-3′; I1-Δ339, 5′-CACCAGCTACTTGGGCTGG-3′; I1-Δ451, 5′-GCATCCGCCTACCAATCTG-3′; I1-Δ576, 5′-CCTTAATTCCTATCTTGAGAAG-3′; I1-Δ729, 5′-CCTTCACTACACTGTAAGCTC-3′. The 3′ primer was I1R, 5′-CTGAAATAAGAGAGCAACC-3′. Site-directed mutagenesis of the AP-2 element in intron 1 was performed with the Strateagene QuickChange kit using the oligonucleotide 5′-GGCAGGCTCGGGGCGAATTCTTCCCAGAGTGCCCCG-3′.
Plasmids pC53-SN3 and pC53-SX3 (Baker et al., 1990), expressing wt p53 and mutant p53-143A, respectively, were kindly provided by Dr Delia (Istituto Nazionale Tumori, Italy). Expression vectors for p53-270L and p53-282W were kindly provided by P Perego (Istituto Nazionale Tumori). AP-2 expression plasmids pSP(RSV)AP2α, pSP(RSV)AP2β and pSP(RSV)AP2γ and empty vector pSP(RSV)NN were kindly provided by H Hurst (ICRF, London, UK).
Transfection and luciferase assay
Transfections were performed by the calcium-phosphate method essentially as described (Wigler et al., 1978). Briefly, exponentially growing cells were plated at a density of 3×105 per 60 mm-diameter dish 24 h prior to transfection. Transfection was carried out in Dulbecco's modified Eagle's medium (Sigma) supplemented with L-glutamine, antibiotics and 10% heat-inactivated FBS. CaPO4-DNA precipitate containing 3 μg of the luciferase reporter plasmid, different amounts of p53 or AP-2 expression plasmid, and 0.5 μg of pSV-β-galactosidase vector (Promega) as an internal standard for transfection efficiency were added. After 16 h, cells were gently washed with RPMI 1640, incubated with fresh RPMI 1640 containing 10% FBS, and harvested 48 h later by lysis with Reporter Lysis Buffer (Promega). Luciferase activity was determined on a TD-20/20 luminometer (Turner Designs, Sunnyvale, CA, USA) and reported as relative light units. Four to six transfection experiments in duplicate were performed. Luciferase activity was normalized relative to the amount of protein in lysates as determined using the Bradford assay, and to transfection efficiency with β-gal activity.
Immunoprecipitation and Western blot analysis
For cisplatin treatment, exponentially growing IGROV-1 cells were plated at a density of 5×105 per 100 mm-diameter dish and after 24 h, treated with 10 μg/ml cisplatin for 1 h and lysed after 24 or 48 h. Cells were lysed in 50 mM Tris-HCl, 150 mM NaCl, 1% NP-40, 10 μg/ml aprotinin, 10 μg/ml leupeptin and 10 mM phenylmethylsulfonylfluoride (PMSF) for 1 h at 4°C. For immunoprecipitation, 0.5 mg of nuclear lysates was incubated with specific antibodies previously conjugated to Protein A/G-Sepharose (Amersham Pharmacia Biotech) overnight at 4°C. Immunocomplexes were washed three times with lysis buffer and bound proteins were released by heating for 5 min at 95°C in sample buffer. Total cell lysates (30 μg/lane) or immunoprecipitates were subjected to 10% SDS–PAGE and transferred to a nitrocellulose membrane. 37LRP was detected with antibody MPLR8 (Butò et al., 1997), p53 was detected with antibody DO-7 (DAKO, Glostrup, Denmark), AP-2α, β and γ were detected with antibodies C-18, H-87 and H-77 (Santa Cruz Biotechnology, Santz Cruz, CA, USA), respectively, and SR RNA processing factors were detected with antibody 1H4 (Santa Cruz Biotechnology, Santa Cruz, CA, USA). Antibody binding to nitrocellulose blots was detected using the ECL detection system (Amersham Pharmacia Biotech).
Nuclear extracts and electrophoretic mobility shift assay (EMSA)
Nuclear extracts from IGROV-1 and IGROV-1/Pt1 cells were prepared essentially as described (Ausubel et al., 1987). Approximately 6×107 cells were washed twice with ice cold PBS, pelleted and resuspended in 10 mM HEPES, 1.5 mM MgCl2, 10 mM KCl, 0.5 mM dithiothreitol (DTT), 0.2 mM PMSF. After incubation on ice for 15 min, cells were Dounce-homogenized with approximately 20 strokes.
Nuclei were pelleted and resuspended in 20 mM HEPES, 25% glycerol, 1.5 mM MgCl2, 400 mM KCl, 0.2 mM EDTA, 0.5 mM DTT, 0.2 mM PMSF. After rocking at 4°C for 30 min, the supernatant was dialyzed against 1 liter of 20 mM HEPES, 20% glycerol, 100 mM KCl, 0.2 mM EDTA, 0.5 mM DTT, 0.2 mM PMSF for 4 h at 4°C. All buffers contained a cocktail of phosphatase inhibitors (Sigma), 2 nM okadaic acid and 0.2 mM sodium orthovanadate. Protein concentrations were determined using the Bradford assay. Double-stranded oligonucleotides IN1-IN10 were prepared by annealing two complementary strands of synthetic oligonucleotides and purified by polyacrylamide gel electrophoresis. The upper strand of each oligonucleotide was as follows: IN1, 5′-GTGAGTTCCGTGTAGCGTCCCTGGCGCCTT-3′; IN2, 5′-CTGGCGCCTTCCAGGGCTAGAAAAATGAGC-3′; IN3, 5′-AAAAATGAGCTTTTCCTGCTCAAATGAAGG-3′; IN4, 5′-CAAATGAAGGGTGAGAAGACTAGTGATGAA-3′; IN5, 5′-TAGTGATGAAAGCCGGTCAGACTGGATCTG-3′; IN6, 5′-ACTGGATCTGTCTCCCGCCCGGCGCGCCCC-3′; IN7, 5′-GGCGCGCCCCACCTTAGGCCTGCCGGGCAC-3′; IN8, 5′-TGCCGGGCACGTGGCAGGCTCGGGCGGCGG-3′; IN9, 5′-CGGGCGGCGGGTTCCCAGAGTGCCCCGGGA-3′; IN10, 5′-TGCCCCGGGAGCGGGTGGAGGCCGCCCTCCAGCG-3′. The AP-2 consensus oligonucleotide 5′-GATCGAACTGACCGCCCGCGGCCCGT-3′ was purchased from Santa Cruz Biotechnology. All DNA probes were 5′ end-labeled using T4 polynucleotide kinase and [γ-32P]ATP (Amersham).
Binding reactions for EMSAs were performed in a 20-μl mixture containing 5 μg of nuclear extracts, ∼5×105 c.p.m. of DNA probe and 2 μg of poly(dI-dC). For competition experiments, the indicated amounts of unlabeled DNA probe were added. Following incubation for 30 min at room temperature, samples were subjected to electrophoresis on a 6% polyacrylamide gel in 0.5×Tris-borate-EDTA buffer.
In vitro binding assay
Recombinant AP-2α (1 μl) (Promega) was incubated with fusion protein GST-p53 (Santa Cruz Biotechnology) previously conjugated to glutathione-sepharose (Amersham Pharmacia Biotech) for 2 h at 4°C. Complexes were washed three times with PBS and bound protein was released by heating for 5 min at 95°C in sample buffer, subjected to 10% SDS–PAGE and transferred to a nitrocellulose membrane. AP-2α was detected with polyclonal antibody C-18 (Santa Cruz Biotechnology) and p53 was detected with antibody DO-7 (DAKO), using the ECL detection system (Amersham Pharmacia Biotech). Unbound material was also analysed for the presence of recombinant AP-2α. Glutathione-sepharose alone was used as negative control.
References
Agoff SN, Hou J, Linzer DIH, Wu B . 1993 Science 259: 84–87
Ausubel FM, Brent R, Kingston RE, Moore DD, Seidman JG, Smith JA, Struhl K . 1987 Current Protocols in Molecular Biology. John Wiley & Sons (ed) New York: Green Publishing Associated and Wiley-Interscience pp 2.1.1–2.1.2
Baker SJ, Markowitz S, Fearon ER, Willson JKV, Vogelstein B . 1990 Science 249: 912–915
Bates NP, Hurst HC . 1997 Oncogene 15: 473–481
Borellini F, Glazer RI . 1993 J. Biol. Chem. 268: 7923–7928
Butò S, Tagliabue E, Aiello P, Ardini E, Magnifico A, Montuori N, Sobel ME, Colnaghi MI, Ménard S . 1997 Int. J. Biol. Markers 12: 1–5
Butò S, Tagliabue E, Ardini E, Magnifico A, Ghirelli C, van den Brûle F, Castronovo V, Colnaghi MI, Sobel ME, Ménard S . 1998 J. Cell Biochem. 69: 244–251
Castronovo V, Sobel ME . 1990 Biochem. Biophys. Res. Commun. 68: 1110–1117
Clausse N, Van den Brule F, Delvenne P, Jacobs N, Franzen-Detrooz E, Jackers P, Castronovo V . 1998 Biochem. Biophys. Res. Commun. 251: 564–569
Di Leo A, Bajetta E, Biganzoli L, Bohm S, Fabbiani M, Gebbia V, Lupi G, Mariani L, Ménard S, Oriana S, Ottone F, Pilotti S, Riboldi G, Sava C, Spatti G, Zunino F, di Re F . 1995 Eur. J. Cancer 31A: 2248–2254
Foley J, Wysolmerski JJ, Broadus AE, Philbrick WM . 1996 Cancer Res. 56: 4056–4062
Ginsberg D, Mechta F, Yaniv M, Oren M . 1991 Proc. Natl. Acad. Sci. USA 88: 9979–9983
Hollstein M, Rice K, Greenblatt MS, Soussi T, Fuchs R, Sorlie T, Hovig E, Smith-Sorensen B, Montesano R, Harris CC . 1994 Nucleic Acids Res. 22: 3551–3555
Iotsova V, Stehelin D . 1996 Cell Growth Differ. 7: 629–634
Jackers P, Minoletti F, Belotti D, Clausse N, Sozzi G, Sobel ME, Castronovo V . 1996 Oncogene 13: 495–503
Ko LJ, Prives C . 1996 Genes Dev. 10: 1054–1072
Landowski TH, Dratz EA, Starkey JR . 1995 Biochemistry 34: 11276–11287
Levine AJ . 1997 Cell 88: 323–331
Loging WT, Reisman D . 1999 Oncogene 18: 7608–7615
Marchuk D, Drumm M, Saulino A, Collins FS . 1991 Nucleic Acids Res. 19: 1154
Martignone S, Pellegrini R, Villa E, Tandon NN, Mastroianni A, Tagliabue E, Ménard S, Colnaghi MI . 1992 Clin. Exp. Met. 10: 379–386
McPherson LA, Weigel RJ . 1999 Nucleic Acids Res. 27: 4040–4049
Ménard S, Castronovo V, Tagliabue E, Sobel ME . 1997 J. Cell Biochem. 67: 155–165
Ménard S, Tagliabue E, Colnaghi MI . 1998 Breast Cancer Res. Treat. 52: 137–145
Nadji M, Nassiri M, Fresno M, Terzian E, Morales AR . 1999 Cancer 85: 432–436
Pal S, Datta K, Mukhopadhyay D . 2001 Cancer Res. 61: 6952–6957
Perego P, Giarola M, Righetti SC, Supino R, Caserini C, Delia D, Pierotti MA, Miyashita T, Reed JC, Zunino F . 1996 Cancer Res. 56: 556–562
Perissi V, Menini N, Cottone E, Capello D, Sacco M, Montaldo F, De Bortoli M . 2000 Oncogene 19: 280–288
Perrem K, Rayner J, Voss T, Sturzbecher H, Jackson P, Braithwaite A . 1995 Oncogene 11: 1299–1307
Raghunath P, Sidhu GS, Coon HC, Liu K, Srikantan V, Maheshwari RK . 1993 J. Biol. Regul. Homeost. Agents 7: 22–30
Rao CN, Castronovo V, Schmitt MC, Wewer UM, Claysmith AP, Liotta LA, Sobel ME . 1989 Biochemistry 28: 7476–7486
Righetti SC, Della Torre G, Pilotti S, Ménard S, Ottone F, Colnaghi MI, Pierotti MA, Lavarino C, Cornarotti M, Oriana S, Böhm S, Bresciani GL, Spatti G, Zunino F . 1996 Cancer Res. 56: 689–693
Santhanam U, Ray A, Sehgal PB . 1991 Proc. Natl. Acad. Sci. USA 88: 7605–7609
Subler MA, Martin DW, Deb S . 1992 J. Virol. 66: 4757–4762
Wigler M, Pellicer A, Silverstein S, Axel R . 1978 Cell 14: 725–731
Yao KS, Godwin AK, Johnson SW, Oxols RF, O'Dwyer PJ, Hamilton TC . 1995 Cancer Res. 55: 4367–4374
Zeng YX, Somasundaram K, El-Deiry WS . 1997 Nat. Genet. 15: 78–82
Acknowledgements
We thank Dr Fabio Castiglioni for help with figures, Mrs Piera Aiello and Mrs Cristina Ghirelli for excellent technical assistance, and Mrs Laura Mameli for manuscript preparation. This work was supported by grants from AIRC. Michele Modugno was supported by a fellowship from FIRC.
Author information
Affiliations
Corresponding author
Rights and permissions
About this article
Cite this article
Modugno, M., Tagliabue, E., Ardini, E. et al. p53-dependent downregulation of metastasis-associated laminin receptor. Oncogene 21, 7478–7487 (2002). https://doi.org/10.1038/sj.onc.1205957
Received:
Revised:
Accepted:
Published:
Issue Date:
DOI: https://doi.org/10.1038/sj.onc.1205957
Keywords
- p53
- laminin receptor
- transcriptional regulation
- AP-2
- promoter
Further reading
-
Knock-down of LRP/LR influences signalling pathways in late-stage colorectal carcinoma cells
BMC Cancer (2021)
-
Mutant p53 gain of function induces HER2 over-expression in cancer cells
BMC Cancer (2018)
-
Increased expression of transcription factor TFAP2α correlates with chemosensitivity in advanced bladder cancer
BMC Cancer (2011)
-
AP2α alters the transcriptional activity and stability of p53
Oncogene (2006)
-
AP-2α and AP-2γ are transcriptional targets of p53 in human breast carcinoma cells
Oncogene (2006)








