Abstract
There are two IL-15 isoforms and eight isoforms for the IL-15Rα chain whose biological role is poorly understood. Here, we have analysed the intracellular trafficking of IL-15 and IL-15Rα and tried to shed some light on their function(s). In IL-15/GFP CHO transfectants both IL-15 isoforms show nuclear localization. Two melanoma cell lines (MELP and MELREO) spontaneously expressing the IL-15 isoforms, display different intracellular trafficking of the IL-15/IL-15Rα complex. In MELP cells only IL-15Rα is detected inside the nucleus, whereas IL-15 and IL-15Rα assemble at the cell surface and are internalized. Moreover, the transducing molecule TRAF2 co-immunoprecipitates with IL-15Rα and may be deflected to TNFRI using anti-IL-15 blocking mAbs and TNF-α. By contrast, MELREO cells display IL-15Rα and IL-15 nuclear localization but only a partial co-localization of these molecules on the cell surface. In these cells, TRAF2 is strongly associated with IL-15Rα and cannot be deflected by any treatment. Since TRAF2 activates the transcription factor NF-κB, IL-15 through IL-15Rα, could have a role in the control of this pathway. Indeed, anti-IL-15 MaB inhibit the constitutive nuclear localization of NFκB and the phosphorylation of its inhibitor Iκ-Bα. Thus, IL-15Rα controls NF-κB activation, however differences in the intracellular trafficking of the IL-15 and/or IL-15Rα suggest a different biological role for this complex in MELP versus MELREO cells.
Introduction
IL-15 is a cytokine that shares with IL-2 the β and γc chains of the IL-2 receptor (Giri et al., 1994), the signal transduction and some of the biological effects on lymphoid T, B, NK cells and monocytes (Waldmann and Tagaya, 1999). The IL-15 transcript is widely expressed, but it is difficult to detect IL-15 protein in the supernatant of cells which display the message for this interleukin (Giri et al., 1994; Bamford et al., 1996; Meazza et al., 1996, 1997; Barzegar et al., 1998). This could be explained by the fact that IL-15 synthesis and secretion are controlled both at transcriptional and post-transcriptional level (Bamford et al., 1996). Moreover, two isoforms of IL-15 pre-protein (48L-IL-15 and 21L-IL-15), bearing signal peptides of 48 and 21 a.a. respectively, have been reported (Meazza et al., 1996).
The two IL-15 isoforms fused at the COOH terminus to the green fluorescent protein (GFP) displayed different intracellular distribution and secretion patterns in CHO cell transfectants. Only the 48L-IL-15/GFP chimera was detected in the Golgi apparatus, in the early endosomes and was secreted (Gaggero et al., 1999). These results suggest (1) that the IL-15 C-terminus, contains a retention or degradation sequence, that may be masked by GFP and (2) that secretion, through the ER/Golgi pathway, is restricted to the 48L-IL-15 isoform.
Confocal microscope analysis revealed, in a subset of melanoma cell lines co-expressing the two isoforms, the presence of a cytoplasmic pool of IL-15, and the existence of an intercellular re-circulation, undetectable by ELISA, but able to control HLA Class I expression. (Barzegar et al., 1998). Thus, natural secreted IL-15 could play a relevant role both in physiological and pathological conditions at concentrations that, to date, were not considered to be biologically meaningful (Waldmann and Tagaya, 1999), by acting either as a pericellular cytokine (Shah et al., 1998) or as a membrane bound cytokine (Musso et al., 1999). It is also conceivable that the biological activities mediated by endogenous IL-15 are quite different from those induced by the recombinant protein usually employed at very high concentrations (Alleva et al., 1997).
Moreover, recent data, based on the use of chimeric recombinant proteins, indicate a possible nuclear localization for the 21L-IL-15 isoform (Tagaya et al., 1997) and for the IL-15Rα chain, a specific receptor for IL-15 (Dubois et al., 1999).
IL-15Rα is structurally related to IL-2Rα, is widely expressed and alone exhibits high affinity binding for IL-15 (Anderson et al., 1995). This subunit could trigger a specific signal transduction (Bulfone-Paus et al., 1999) but it could also function as a decoy molecule able to trap circulating IL-15 (Anderson et al., 1995).
These data suggest the existence of a very complex IL-15/IL-15Rα intracellular trafficking and of additional yet unknown functions for IL-15 and its private receptor chain.
In order to improve our understanding on the biological role of IL-15 and IL-15Rα, we have analysed: (1) the nuclear localization of the 48L-IL-15/GFP and 21L-IL-15/GFP fusion proteins expressed in CHO cells and of IL-15 and IL-15Rα expressed spontaneously in two human melanoma cell lines, MELP and MELREO (Barzegar et al., 1998); (2) the intracellular trafficking of the IL-15Rα chain and (3) the potential involvement of the IL-15/IL-15Rα complex in the control of NF-κB activation.
Results
Nuclear localization of IL-15 and IL-15Rα
The two IL-15 isoforms were expressed as a GFP-fusion protein in stably transfected CHO cells, a well-defined system that has been used in similar experiments before (Tagaya et al., 1997; Gaggero et al., 1999). The nuclear localization was analysed by confocal microscopy on the different optical sections of cells whose nuclei were stained in red by propidium iodide; yellow colour development was observed in the internal sections of both CHO transfectants (Figure 1a, b) indicating that in this cell type, both the IL-15/GFP fusion proteins localize to the nuclei.
Confocal microscopy analysis of nuclear localization of IL-15/GFP chimeric proteins in CHO cells ((a) 48L-IL-15/GFP construct; (b) 21L-IL-15/GFP construct) and of IL-15 and IL-15Rα in human melanoma MELP ((c) IL-15; (e) IL-15Rα) or MELREO cells ((d) IL-15; (f) IL-15Rα). We used the anti-IL-15 MaB M111, the anti-IL-15Rα MaB M160, and propidium iodide for nuclei. In these pictures, confocal microscopy analysis was performed on serial cuts of 1 μm thickness from the outside of the cell toward the inner compartments
Analysis on nuclear localization of native IL-15 was then performed, by confocal microscopy as above, in two human melanoma cell lines expressing mRNAs for IL-15 and for IL-15Rα (Barzegar et al., 1998). In MELP cells, no yellow staining was detectable in the nuclei (Figure 1c). By contrast, MELREO cells showed an intense yellow staining of some nuclei (Figure 1d) indicating that native IL-15 localizes to the nucleus in MELREO but not in MELP cells.
The nuclear localization of the IL-15Rα chain was analysed using the MaB M160 (green staining). Confocal analysis shows an intense yellow staining of several nuclei in internal sections both in MELP (Figure 1e) and MELREO cells (Figure 1f), indicating that IL-15Rα localizes to the nucleus of both cell lines. The results from the nuclear localization analysis indicate that the IL-15 and IL-15Rα trafficking system used by the MELP cell line is distinct from that used by MELREO cells, suggesting that the intracellular routing of these proteins is controlled in a cell-type-specific manner.
Intracellular trafficking of IL-15Rα in MELP and MELREO cells
Subsequently, we tried to identify the intracellular routing of the IL-15Rα chain by investigating the presence of IL-15Rα in the Golgi apparatus and in early endosomes.
In these studies, the Golgi apparatus and the IL-15Rα were identified by the red and green staining respectively. Confocal microscopy reveals the presence of several condensed yellow spots in limited cytoplasmic compartments in both MELP (Figure 2a) and MELREO cells (Figure 2b) indicating that IL-15Rα is present inside the Golgi apparatus in both cell lines.
Confocal microscopy analysis of intracellular localization of IL-15Rα in Golgi apparatus (a) MELP cells; (b) MELREO cell, in early endosomes (c) MELP cells; (d) MELREO cells (3D reconstitution of serial optical sections), and intracellular localization of IL-15Rα and endogenous IL-15 ((e) MELP cells; (f) MELREO cells). We used the anti-IL-15 MaB M111, the rabbit polyclonal IgG anti-IL-15, the anti-IL-15Rα MaB M160, the rabbit polyclonal-Rab6 serum as marker of the Golgi and FITC transferrin as marker of the early endosomes. In c–f, confocal microscopy analysis was performed on serial cuts of 1 μm thickness from the outside of the cell toward the inner compartments
The early endosomes were evidenced by internalized FITC-transferrin, whereas IL-15Rα was detected by the red staining using the M160 MaB. The yellow spots at submembrane level, indicate the presence of IL-15Rα inside the early endosomes in MELP (Figure 2c) but not in MELREO cells (Figure 2d).
IL-15/IL-15Rα complex formation in MELP and MELREO cells
Finally, we also analysed the presence of IL-15/IL-15Rα complexes in MELP and MELREO cells. IL-15 was identified by the green staining using P15 rabbit IgG, whereas the red staining defines the IL-15Rα. In MELP cells confocal analysis of the first section corresponding to the cell membrane (Figure 2e) revealed the presence of yellow spots, indicating that the IL-15/IL-15Rα complex is present at the cell surface. The finding that the yellow staining is also detected in the internal sections suggests that this cytokine/receptor complex is internalized. By contrast, in MELREO cells yellow staining corresponding to IL-15 and IL-15Rα is hardly detected both at membrane and at intracellular level (Figure 2f) indicating that both proteins are poorly colocalized in these regions.
Intracellular co-localization of IL-15Rα and TRAF2 in MELP and MELREO cells
It has been recently suggested that, in murine cells, IL-15 could antagonize TNF acting as anti-apoptotic factor. In this context, IL-15 would inhibit the binding of TRAF2 (activator of the transcription factor NF-κB) to TNFRI and would cause its deflection to an intra-cytoplasmic region of the IL-15Rα which shares high sequence homology with the TNFRI region competent for TRAF2 binding (Bulfone-Paus et al., 1999).
To verify whether this may occur also in human cells, lysates of MELP and MELREO cells were divided into two samples. The first sample was immunoblotted with anti-TRAF2 (Figure 3a,d) or anti-IL-15Rα antibodies (Figure 3b). Whereas, the second one was immunoprecipitated with an anti-TRAF2 antibody and subsequently separated, transferred and immunoblotted with anti-IL-15Rα antibodies (Figure 3c,e).
Constitutive association of the IL-15Rα chain and TRAF2. MELP (a,b,c) and MELREO (d,e) cultures were analysed as described in Materials and methods. Briefly, lysates were analysed either by Western blot with anti-TRAF2 (a and d) or anti IL-15Rα (b) MaB, or immunoprecipitated (IP) using anti-TRAF2 antibodies. Immunoprecipitates were then separated, transferred and probed with anti IL-15Rα (c and e)
In Western blots on MELP and MELREO cell lysates, performed with anti-TRAF-2 (Figure 3a,d respectively), we observed a single band of about 55 Kd, which corresponds to the M.W. of TRAF2. By contrast, using anti-IL-15Rα (Figure 3b) three bands were detected of about 40, 50 and 58 Kd respectively. The 40 Kd molecule probably corresponds to the native non-glycosilated IL-15Rα and the 58 Kd band probably corresponds to the classical isoform. The 50 Kd peptide could correspond to the isoform generated by the alternative splicing of exon 3 (Anderson et al., 1995), whose transcript has been found in both melanoma cell lines (Barzegar et al., 1998).
Moreover, in MELP (Figure 3c) and MELREO (Figure 3e) cells, after immunoprecipitation with anti- TRAF2 antibodies, a major protein of about 58 kD is observed when the membrane was reprobed with an anti-IL-15Rα antibody in both cell lines. This indicates that only the 58 Kd IL-15Rα isoform may associate with TRAF2. Reprobing the same membrane with anti-TRAF2 antibodies revealed the presence of a specific band of about 55 kD (data not shown).
Confocal microscopy confirms the presence of IL-15Rα/TRAF2 co-localization and shows the effect of anti-IL-15 blocking MaB on this association in MELP (Figure 4) and MELREO (Figure 5) cells. At the same time, we also analysed the existence of TNFRI/TRAF2 interaction both in control cultures and in cells treated with anti-IL-15 blocking MaB and/or TNF-α.
Confocal microscopy analysis of intracellular co-localization of IL-15Rα and TRAF2 in MELP cells in basal culture conditions (a) in the presence of anti-IL-15 blocking MaB (b) and co-localization of TNFRI and TRAF2 in basal conditions (d); in the presence of anti-IL-15 blocking MaB (e) and in the presence of anti-IL-15 blocking MaB and TNF-α (f). We used the anti-IL-15Rα MaB M160 and the rabbit polyclonal IgG anti-TRAF2 (c) represents a negative control
Confocal microscopy analysis of intracellular co-localization of IL-15Rα and TRAF2 in MELREO cells (in basal culture conditions (a), treatment with anti-IL-15 blocking MaB (b), with TNF-α (c) or with anti-IL-15 blocking MaB and TNF-α (d)) and intracellular co-localization of TNFRI and TRAF2 in basal culture conditions (e) or in cells treated with anti-IL-15 blocking MaB and TNF-α (f)
In MELP cells, the absence of background staining is shown in Figure 4c. In Figure 4a, the green staining identifies the IL-15Rα chain and the red staining TRAF2. An intense yellow staining at submembrane level demonstrates the co-localization of the two molecules. Treatment with anti-IL-15 blocking MaB causes the loss of co-localization between the two proteins as shown by a decrease in the number of positive cells and in the intensity of yellow staining (Figure 4b). Analysis of TNFRI (green staining) interactions with TRAF2 (red staining) shows that, in basal culture conditions (Figure 4d), some MELP cells display co-localization between these two molecules (yellow staining). Treatment with anti-IL-15 MaB (Figure 4e) or TNF-α (data not shown) does not modify this interaction. By contrast, treatment with anti-IL-15 MaB and TNF-α strongly increases the number of positive cells and the intensity of the yellow staining (Figure 4f). These data suggest that IL-15 produced by MELP cells binds to IL-15Rα chain on the cell membrane and determines its co-localization with TRAF2. However in order to obtain the ‘deflection’ of TRAF2 from the IL-15Rα chain to the TNFRI, a double signal (anti-IL-15Rα MaB and TNF-α) is necessary.
In MELREO cells, we observed a different behaviour. Indeed, analysis of Figure 5a shows that in basal culture conditions about 50% of the cells in the field exhibit IL-15Rα/TRAF2 co-localization. However, overnight treatment with anti-IL-15 MaB (Figure 5b), TNF-α (Figure 5c) or anti-IL-15 MaB and TNF-α (Figure 5d) does not cause loss of co-localization. Conversely, analysis of Figure 4e shows that, in basal culture conditions, only two cells in the field display co-localization between TNFRI and TRAF2. Treatment with anti-IL-15 MaB (not shown), or anti-IL-15 MaB and TNF-α (Figure 5f) does not induce the co-localization of TRAF2 with this receptor.
Endogenous IL-15 controls NF-κB activation
Binding of TRAF2 to the TNFRI complex leads to the activation of the transcription factor NF-κB (Baker and Reddy, 1996). Usually, NF-κB is present as an heterodimer of a 50 kDa (p50) and a 65 kDa protein (p65) sequestered in the cytosol, bound to one or more inhibitor proteins, whose main member is Iκ-Bα (Ghosh et al., 1998; Baldwin, 1996). Upon stimulation, Iκ-Bα is phosphorylated, the native protein is rapidly degraded and dissociates from NF-κB that can translocate to the nucleus (Baldwin, 1996). Therefore it was interesting to investigate if endogenous IL-15 was involved in NF-κB activation, possibly through IL-15Rα/TRAF2 interaction.
By confocal microscopy, we checked in Figure 6, the nuclear translocation of the p65 subunit of NF-κB and the effect of anti-IL-15 blocking and/or TNF-α treatment on this localization in MELP (Figure 6a,b,c,d) and MELREO (Figure 6e,f,g,h) cells.
The nuclear localization was analysed on the different optical sections of cells whose nuclei were stained in red by propidium iodide and P65-RelA in green. All the cells in both melanoma cultures exhibit an intense cytoplasmic green staining, indicating the presence of the native NF-κB subunit in all the cells. Yellow colour development was observed in the internal sections of about 60% of MELP cells (Figure 6a) and 25% of MELREO cells (Figure 6e); indicating the translocation of the P65-RelA subunit to the nucleus and therefore NF-κB activation. Anti-IL-15 treatment causes the loss of NF-κB nuclear localization in both cell types (Figure 6b,f). TNF-α treatment apparently slightly increases the percentage of positive cells in MELP (Figure 6c) but not in MELREO cells (Figure 6g). Finally double treatment (TNF-α and anti- IL-15 MaB) restores NF-κB nuclear translocation in MELP (Figure 6d, 80% positive cells) but not in MELREO cultures (Figure 6h).
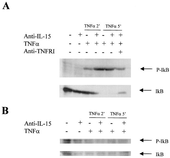
Subsequently, Western blot analysis was performed on MELP and MELREO cell extracts using Iκ-Bα-specific polyclonal IgG. As shown in Figure 7a, MELP cells constitutively express low levels of the phosphorylated form of Iκ-Bα (p-Iκ-Bα, Figure 7a, upper panel, lane 1), whereas MELREO cells (Figure 7b, upper panel, lane 1) display a stronger signal. Treatment with neutralizing anti-IL-15 M111 MaB decreases the level of phosphorylation in MELREO (Figure 7b, upper panel, lane 2) but not in MELP cells (Figure 7a, upper panel, lane 2). TNF-α alone, after 2 min increases Iκ-Bα phosphorylation in MELP cells, and the signal is even stronger after 5 min (Figure 7a, upper panel, lanes 3, 5), whereas no effect was observed in MELREO cells (Figure 7b, upper panel, lanes 3, 5). Finally, combined treatment with anti-IL-15 MaB and TNF-α increases, after 2 min the levels of Iκ-Bα phosphorylation in MELP cells (Figure 7a, upper panel, lane 4) but not in MELREO cells (Figure 7b, upper panel, lane 4). Interestingly, after 5 min the levels of Iκ-Bα phosphorylation induced by the combined treatment is higher than in control cultures but appears to be decreased when compared to the signal detected after 2 min (Figure 7a, upper panel, lane 6). This suggests that the addition of the anti-IL-15 MaB mainly contributes to accelerate the phosphorylation of the Iκ-Bα protein). The effect of TNF-α is inhibited by an anti-TNF-RI blocking MaB (Figure 7a, upper panel, lane 7), showing that it is through this chain that the TNF-α signalling occurs.
Western blot analysis of the expression of the phosphorylated form of Iκ-Bα (p-Iκ-Bα, upper panels) and native Iκ-Bα (lower panels) in cytoplasmic extracts from MELP (a) and MELREO (b) cells. Control samples (lane 1). Treatment with anti-IL-15 MaB (lane 2), with TNF-α (lane 3, and lane 5, 5 min), with anti-IL-15 MaB and TNF-α (lane 4, 2 min and lane 6, 5 min) or with anti TNFRI blocking MaB (lane 7). Position of p-Iκ-Bα and Iκ-Bα is indicated on the left
Lower panels in Figure 7 analyse changes in the expression of the native Iκ-Bα protein in both cell lines. In MELP cells, the Iκ-Bα protein is strongly expressed in control cultures (Figure 7a, lower panel, lane 1), it's expression significantly decreases after 2 min in the sample treated with TNF-α and anti-IL-15 MaB (Figure 7a, lower panel, lane 4) and is totally degraded after 5 min in the samples treated with, TNF-α (Figure 7a, lower panel, lane 5) or with TNF-α and anti-IL-15 MaB (Figure 7a, lower panel, lane 6). Treatment with anti-TNF-RI blocking MaB partially restores the expression of Iκ-Bα protein (Figure 7a, lower panel, lane 7). By contrast, we did not observe any significant change in the expression of this protein in the different samples of MELREO cells (Figure 7b, lower panel). Thus, as previously reported, induction of Iκ-Bα phosphorylation is associated to a rapid degradation of the native protein (Baldwin, 1996).
On the basis of the data from confocal microscopy and Western blotting, we propose that modulation of co-localization patterns between IL-15Rα and TRAF2 or TNF-RI and TRAF2 correspond to changes in the physical interactions between these molecules, which are associated to the modifications of NF-κB activation.
Discussion
In this study, we have demonstrated that the two fusion proteins IL-15/GFP bearing the long (48 a.a.) or the short (21 a.a.) signal peptide of IL-15, even if display different intracytoplasmic distribution and secretory properties (Gaggero et al., 1999), may both exhibit a nuclear localization. These results partially differ from those published elsewhere, suggesting that the nuclear localization is restricted to the IL-15 isoform bearing the short signal peptide (Tagaya et al., 1997). However, the different types of constructs and of recipient cells used may account for differences in the nuclear localization of IL-15 isoforms. In addition, it could not be excluded that these results could be biased by the use of chimeric proteins. Indeed, the fusion with GFP protein, which revealed the secretory potential of the 48L-IL-15 isoform (Tagaya et al., 1997; Gaggero et al., 1999) could also alter the intracellular trafficking and cause the nuclear translocation of both isoforms. Moreover, IL-15 pre-protein does not express sequences competent for nuclear translocation and would need a chaperon protein (Tagaya et al., 1997). Such a partner is probably the IL-15Rα chain, which displays eight isoforms exhibiting different affinity for IL-15 binding and for nuclear localization. Both activities depend on the presence or not of the sushi domain which bears a nuclear localization signal (Dubois et al., 1999).
Therefore, we checked by confocal microscopy the IL-15 and IL-15Rα nuclear localization in two melanoma cell lines (MELP and MELREO) previously characterized for the production of a bioactive IL-15 (Barzegar et al., 1998). A nuclear localization for endogenous IL-15 was shown only in MELREO cells, while IL-15Rα was detected in the nucleus of both cell lines. The different behaviour observed in MELP and MELREO cells could correspond to different types of function, at nuclear level, for the IL-15Rα chain depending on the presence or not of IL-15. Thus, IL-15 could be functional through autocrine/paracrine loops but also through intracrine loops as previously reported for IL-1α, IL-5 and IFNγ (for review, see Dubois et al., 1999).
Interestingly, in these melanoma cells we also detected a partially different cytoplasmic localization of the IL-15Rα. Indeed, the IL-15Rα chain is found in the Golgi apparatus of both cell lines, suggesting its transfer to the cell membrane or to the nucleus. By contrast, co-localization studies of IL-15 and IL-15Rα show the presence of cytokine/receptor complexes at membrane level followed by their internalization, as well as detection of IL-15Rα chain in the early endosomes mainly in MELP cells. These differences could be explained by the secretion of a natural IL-15Rα soluble isoform (Dubois et al., 1999), able to trap secreted IL-15. Indeed, the soluble receptor could favour in MELREO cells an IL-15/IL-15Rα intracrine loop, interfering on the membrane trafficking of this complex.
Finally, we tried to understand whether IL-15 and IL-15Rα are involved in signal transduction. Recent data in murine models demonstrate that IL-15Rα is competent for signal transduction, contrary to what was previously reported (Bulfone-Paus et al., 1999; Anderson et al., 1995). In macrophages, IL-15 displays an autocrine activity through the IL-15Rα chain, suppressing the release of pro-inflammatory cytokines (Alleva et al., 1997). In L929 fibrosarcoma cells, exogenous IL-15 inhibits binding of TRAF2 to TNFRI, causes its deflection to the IL-15Rα and triggers activation of the transcription factor NF-κB (Bulfone-Paus et al., 1999). Our data in melanoma cells strongly support the involvement of endogenous IL-15 and of IL-15Rα in the control of NF-κB.
First of all, we have shown that TRAF2 co-immunoprecipitates with the standard isoform of IL-15Rα (p58) both in MELP and in MELREO cells. This demonstrates, for the first time in human cells, that the IL-15Rα receptor, which is commonly considered as non competent for signal transduction (Anderson et al., 1995), physically interacts with TRAF2, a molecule involved in the activation of the transcription factor NF-κB (Baker and Reddy, 1996). Moreover, this association is controlled by the endogenous secreted isoform of IL-15. In MELP cells, inhibition of endogenous IL-15 causes two distinct events: loss of co-localization between TRAF2 and IL-15Rα chain and loss of NF-κB nuclear localization. In addition, treatment with anti-IL-15 and TNF-α triggers deflection of TRAF2 from IL-15Rα towards TNFRI, restoring the activation of the NF-κB pathway through the TNF receptor. Indeed, the combined treatment increases the level of phosphorylation of the NF-κB inhibitor Iκ-Bα, accelerates the degradation of the native protein and restores NF-κB nuclear localization. In these cells, Iκ-Bα phosphorylation is under the control of Ikk kinases as indicated by the use of specific inhibitors (BAY 11-7082 and BAY 11-7085 Calbiochem, San Diego, USA, data not shown).
By contrast, in MELREO cells, inhibition of endogenous IL-15 causes the loss of NF-κB activation, but cannot dissociate TRAF2 from the IL-15Rα chain. Thus, in these cells, the use of anti IL-15 blocking MaB inhibits Iκ-Bα phosphorylation and NF-κB nuclear localization, but these events cannot be restored by the addition of TNF-α, since TRAF2 is not ‘deflected’ from IL-15Rα to TNFRI chain. It has been proposed that, after binding of the respective cytokines TNFRI and IL-15Rα, acquire high affinity binding for TRAF2 and the IL-15 receptor would display a much more higher affinity (Bulfone-Paus et al., 1999). Our data partially agree with this model but also reveal the existence of a much more complex interplay. Indeed, in MELREO cells the absence of dissociation of TRAF2 from the IL-15Rα chain, even in the presence of anti-IL-15 MaB suggest that other molecules could be involved in the stabilization of this interaction that has relevant biological consequences since it blocks TNF-α signalling through intracrine loops involving the IL-15Rα chain. On the basis of this hypothesis, we propose that the predominant expression of the intracrine IL-15/IL-15Rα loop, in MELREO cells, may serve to counteract the effects of the IL-15 secreted isoform. At present, the biological significance of the different patterns of nuclear localization of the IL-15/IL-15Rα is totally unknown. However, a recent paper tries to elucidate the potential roles of IL-15 in vivo through the use of transgenic mice expressing the secreted or the cytoplasmic IL-15 isoform. The alternative IL-15 Tg mice, exclusively expressing the intracellular isoform, display impaired production and functions of the native secreted isoform (Nishimura et al., 2000).
Herein, we show that the secreted IL-15 isoform is involved in the activation of the transcriptional factor NF-κB through the IL-15Rα chain. IL-15/IL-15Rα trafficking as well as modulation of IL-15Rα/TRAF2 interaction varies from cell line to cell line, this could probably cause different patterns of signal transduction. Since NF-κB controls the transcription of several genes such as ICAM-1 and IL-6 (Hallahan et al., 1998; Duffey et al., 1999) important in melanoma progression as well as the transcription of IL-15 (Washizu et al., 1998), these biological properties may be relevant for the acquisition of tumour escape mechanisms.
Materials and methods
Cell lines
The growth characteristics, IL-2R expression and phenotype of the human melanoma cell lines MELP and MELREO have been reported elsewhere (Barzegar et al., 1998). Here we use a MELREO subline characterized by a higher IL-15Rα expression.
CHO cells expressing IL-15/GFP fusion protein
The generation of stable CHO clones expressing recombinant chimeric proteins corresponding to the two isoforms of IL-15 (48L-IL-15 and 21L-IL-15) fused at the COOH terminus to the GFP protein has been detailed elsewhere (Gaggero et al., 1999).
Confocal microscope analysis
Protein expression and intracellular localization was detected by confocal microscopy (Barzegar et al., 1998). In CHO transfectants, the chimeric 48L-IL-15/GFP or 21L-IL-15/GFP proteins were detected by the spontaneous emission of a green fluorescence. In melanoma cells, IL-15, IL-15Rα, TRAF2, TNFRI and the medial- and cis-Golgi compartments were detected by double staining. Briefly, IL-15 was reacted with 10 μg/ml of anti-IL-15 blocking MaB M111 (Genzyme), followed by FITC-conjugated goat anti-mouse (FITC-GAM, Immunotech, Luminy, France) or 10 μg/ml of P15 rabbit polyclonal anti-IL-15 IgG (Peprotech), followed by an incubation with biotinylated-sheep anti rabbit antibodies. The final detection step involved incubation with strep-RED670.
IL-15Rα was scored with 10 μg/ml of anti-IL-15Rα MaB M160 (a gift from Immunex) followed by detection with FITC-GAM or with Alexa Fluor 488 GAM (Molecular Probes). TNFRI was studied using 10 μg/ml of anti-TNFRI MaB 225 (R&D Systems) followed by detection with FITC-GAM or with Alexa Fluor 488 GAM (Molecular Probes). TRAF2 was detected with 2.5 mg/ml of rabbit polyclonal anti-TRAF2 IgG (Santa Cruz Biotechnologies), followed by incubation with biotinylated-sheep anti-rabbit and detection with strep-RED670 or with Alexa Fluor 594 Goat anti Rabbit (Molecular Probes).
The medial and cis-Golgi compartments were stained with 10 μg/ml of rabbit polyclonal antibodies-Rab6 (a gift of Dr B Goud) followed by incubation with biotinylated-sheep anti-rabbit antibody and detection with strep-RED670 incubation. Nuclei were stained using propidium iodide (red staining). The endosomal compartment was identified using Transferrin conjugated-fluorescein isothiocyanate (green staining). Transcription factor NF-κB was detected using 1 μg/ml of the rabbit polyclonal purified IgG anti NF-κB p65 (Santa Cruz Biotechnologies) followed by incubation with Alexa Fluor 488 GAM (Molecular Probes).
After detachment with trypsin EDTA, cells were treated as previously described (Barzegar et al., 1998; Gaggero et al., 1999) and analysed by Laser Scanning Confocal Microscopy (LSCM) using a ACAS 570 Interactive Laser Cytometer (Meridian Instruments Inc., Okemos, MI, USA) equipped with confocal optics.
Western blot
Briefly, confluent MELP and MELREO cells were washed twice in serum-free RPMI and incubated overnight with neutralizing anti-IL-15 M111 MaB (20 μg/ml). Adherent cells were washed with starvation medium containing 50 μM Na3VO4 and stimulated with TNF-α (10 ng/ml) for 12 min at 37°C. Cells were washed twice and resuspended in lysis buffer. Cell lysates were analysed by SDS–PAGE and transferred to PVDF membranes (NEN Research Products, Boston, MA, USA). P-Iκ-Bα proteins were detected by Western blotting. The membranes were blocked with 5% BSA and probed with anti-phosphoserine Iκ-Bα-specific polyclonal IgG (Calbiochem, San Diego, CA, USA) followed by goat peroxidase-conjugated anti-rabbit IgG (SBA, Birmingham, USA). Bands were visualized by an ECL system (Amersham Corp., Buckinghamshire, UK).
Immunoprecipitation
Cells were resuspended in lysis buffer containing 0.5% or 1% Nonidet P-40. For immunoprecipitation, lysates were incubated with 2 μg/ml of anti-TRAF2 IgG (Santa Cruz Biotechnologies), and immune complexes, then captured with protein G-Sepharose beads (Pharmacia Biotech, Uppsala, Sweden) overnight at 4°C. Complexes were then washed, boiled, solubilized with Laemmli buffer and separated on 7.5% or 12% SDS-polyacrylamide gels before transfer onto PVDF membranes (Dupont-NEN, Boston, MA, USA). Membranes were subsequently reprobed with goat polyclonal IgG anti-IL-15Rα (R&D Systems) or with rabbit polyclonal anti-TRAF2 IgG and then revealed with peroxidase-conjugated antibodies (SBA, Birmingham, USA) and then visualized by enhanced chemiluminescence (Amersham Int., Les Ulis, France).
References
Alleva DG, Kaser SB, Monroy MA, Fenton MJ and Beller DI. . 1997 J. Immunol. 159: 2941–2951.
Anderson DM, Kumaki S, Ahdieh M, Bertles J, Tometsko M, Loomis A, Giri J, Copeland NG, Gilbert DJ, Jenkins NJ, Valentine V, Shapiro DN, Park LS and Cosman D. . 1995 J. Biol. Chem. 270: 29862–29869.
Baldwin Jr AS. . 1996 Annu. Rev. Immunol. 14: 649–681.
Baker SJ and Reddy EP. . 1996 Oncogene 12: 1–9.
Bamford RN, Battiata AP, Burton JD, Sharma H and Waldmann TA. . 1996 Proc. Natl. Acad. Sci. USA 93: 2897–2902.
Barzegar C, Meazza R, Pereno R, Pottin-Clemenceau C, Scudeletti M, Brouty-Boye D, Doucet C, Taoufik Y, Ritz J, Musselli C, Mishal Z, Jasmin C, Indiveri F, Ferrini S and Azzarone B. . 1998 Oncogene 16: 2503–2512.
Bulfone-Paus S, Bulanova E, Pohl T, Budagian V, Durkop H, Ruckert R, Kunzendorf U, Paus R and Krause H. . 1999 FASEB J. 12: 1575–1585.
Dubois S, Magrangeas F, Lehours P, Raher S, Bernard J, Boisteau O, Leroy S, Minvielle S, Godard A and Jacques Y. . 1999 J. Biol. Chem. 38: 26978.
Duffey DC, Chen Z, Dong G, Ondrey FG, Wolf JS, Brown K, Siebenlist U and Van Waes C. . 1999 Cancer Res. 59: 3468–3474.
Gaggero A, Azzarone B, Andrei C, Mishal Z, Meazza R, Zappia E, Rubartelli A and Ferrini S. . 1999 Eur. J. Immunol. 4: 1265.
Ghosh S, May MJ and Kopp EB. . 1998 Annu. Rev. Immunol. 16: 225–260.
Giri JG, Ahdieh M, Eisenman J, Shanebeck K, Grabstein K, Kumaki S, Namen A, Park LS, Cosman D and Anderson D. . 1994 EMBO J. 13: 2822–2830.
Hallahan DE, Virudachalam S, and Kuchibhotla J. . 1998 Cancer Res. 58: 5484–5488.
Meazza R, Gaggero A, Neglia F, Basso S, Sforzini S, Pereno R, Azzarone B and Ferrini S. . 1997 Eur. J. Immunol. 27:: 1049–1054.
Meazza R, Verdiani S, Biassoni R, Coppolecchia M, Gaggero A, Orengo AM, Colombo MP, Azzarone B and Ferrini S. . 1996 Oncogene 12: 2187–2192.
Musso T, Calosso L, Zucca M, Millesimo M, Ravarino D, Giovarelli M, Malavasi F, Ponzi AN, Paus R and Bulfone-Paus S. . 1999 Blood 10: 3531.
Nishimura H, Yajima T, Naiki Y, Tsunobuchi H, Umemura M, Itano K, Matsuguchi T, Suzuki M, Ohashi PS and Yoshikai Y. . 2000 J. Exp. Med. 191: 157.
Shah MH, Hackshaw KV and Caligiuri MA. . 1998 Nat. Med. 4: 643.
Tagaya Y, Kurys G, Thies TA, Losi JM, Azimi N, Hanover JA, Bamford RN and Waldmann TA. . 1997 Proc. Natl. Acad. Sci. USA 94: 14444–14449.
Waldmann TA and Tagaya Y. . 1999 Annu. Rev. Immunol. 17: 19–48.
Washizu J, Nishimura H, Nakamura N, Nimura Y and Yoshikai Y. . 1998 Immunogenetics 48: 1–7.
Acknowledgements
This work was supported by grants from ARC, ANRB (Villejuif, France), AIRC, and MURST. A Gaggero is a recipient of a FIRC fellowship. J Giron-Michel and E Cazes are recipients of an A.R.M.I.A. fellowship.
Author information
Affiliations
Rights and permissions
About this article
Cite this article
Pereno, R., Giron-Michel, J., Gaggero, A. et al. IL-15/IL-15Rα intracellular trafficking in human melanoma cells and signal transduction through the IL-15Rα. Oncogene 19, 5153–5162 (2000). https://doi.org/10.1038/sj.onc.1203873
Received:
Revised:
Accepted:
Published:
Issue Date:
DOI: https://doi.org/10.1038/sj.onc.1203873
Keywords
- IL-15
- IL-15Rα
- secretion pattern
- NF-κB
- melanoma progression
Further reading
-
Tumor cell-expressed IL-15Rα drives antagonistic effects on the progression and immune control of gastric cancer and is epigenetically regulated in EBV-positive gastric cancer
Cellular Oncology (2020)
-
Identification of Relationships Between Interleukin 15 mRNA and Brain-Derived Neurotrophic Factor II mRNA Levels With Formal Components of Temperament in Asthmatic Patients
Molecular Neurobiology (2017)
-
Expression of interleukin-15 and its receptor on the surface of stimulated human umbilical vein endothelial cells
Journal of Huazhong University of Science and Technology [Medical Sciences] (2009)
-
Large intestine intraepithelial lymphocytes from Apc+/+ and Apc+/Min mice and their modulation by indigestible carbohydrates: the IL-15/IL-15R? complex and CD4+CD25+ T cells are the main targets
Cancer Immunology, Immunotherapy (2005)






