Abstract
In order to elucidate the molecular mechanism(s) for BCL6 translocation, we identified translocational partner genes by subjecting clinical biopsy samples from patients with non-Hodgkin's lymphoma to 5′-rapid amplification of cDNA ends (5′-RACE). Sequence analysis of the 5′-RACE product revealed that the BCL6 gene was fused to the J segment of the immunoglobulin heavy chain (IgH) gene in about half of the cases, but in the other half, it was fused to heterologous partners, including the MHC class II transactivator (CIITA), pim-1, eukaryotic initiation factor 4AII (eif4AII), transferrin receptor (TFRR) and ikaros genes. Since analyses using genomic long and accurate (LA) – PCR revealed that the breakpoints in the partner gene were confined to the first intron or the second exon in all cases, the promoter and the first exon of the BCL6 gene were replaced by the promoter and the first or both the first and second exon of the partner gene. The breakpoint flanking sequences had no recombination signal sequences (RSSs) or chi sequences and were homologous with the switch region only when the BCL6 gene was fused to the IgH gene, suggesting that BCL6 translocation cannot be explained solely by mistakes of V(D)J, or chi-mediated or class-switch recombination, but rather another mechanism may also be required to explain the molecular mechanism for the promiscuous BCL6 translocation.
Introduction
The BCL6 gene was identified on the translocation breakpoint involving 3q27 in diffuse large B-cell lymphomas (DLBLs), which are the commonest subtype of non-Hodgkin's lymphoma (NHL) (Kerckaert et al., 1993; Ye et al., 1993; Miki et al., 1994a). As BCL6 gene rearrangement has been reported to occur in 20 – 50% of DLBLs, alterations of this gene are thought to be responsible for the pathogenesis of DLBLs. Further analyses revealed that the breakpoints are clustered in the first intron of the BCL6 gene and that the 5′-sequences of the BCL6 gene, including the promoter and non-coding first exon, are replaced, by translocation, with sequences derived from the translocational partner chromosome (Ye et al., 1993, 1995; Miki et al., 1994b; Baron et al., 1993; Suzuki et al., 1994). Accordingly, it has been hypothesized that the substituted promoter causes transcriptional dysregulation of the BCL6 gene (Ye et al., 1995; Chen et al., 1998).
On the other hand, in the other subtypes of NHL, dysregulation of oncogenes, such as c-myc, BCL1 or BCL2 gene, by translocation is believed to be an underlying cause of lymphomagenesis. Because c-Myc, BCL1 (Cyclin D1) and BCL2 proteins have been known to promote cell growth or inhibit apoptosis (Gaidano et al., 1998; Zutter et al., 1998), dysregulation of these oncogenes may bring about a growth advantage or a survival advantage to lymphoma cells. Furthermore, dysregulation of the c-myc gene by t(8;14) in Burkitt's lymphomas (BLs), the BCL1 (PRAD1) gene by t(11;14) in mantle cell lymphomas (MCLs) and the BCL2 gene by t(14;18) in follicular lymphomas (FLs) has been explained to result from the juxtaposition of these oncogenes either at the 5′- or 3′- ends of the transcriptional regulatory elements of the immunoglobulin heavy chain (IgH), Igκ or Igλ gene (Gaidano et al., 1998; Dalla-Favera et al., 1982, 1983; Taub et al., 1982; Zutter et al., 1998; Motokura et al., 1991; Tsujimoto et al., 1984; Cleary et al., 1985). Indeed, the translocational partners are commonly confined to Ig genes in these translocations. On the other hand, the partner chromosomes of 3q27 translocation are heterologous and not always restricted to Ig loci (Ohno, 1997). Preliminary studies using B-cell lines have identified the ttf, bob1 and histone H4 genes as partner genes, raising the possibility that partner genes other than Ig genes may be implicated in BCL6 dysregulation (Galiegue-Zouitina et al., 1996; Akasaka et al., 1997; Dallery et al., 1995). However, it is still unknown whether these partner genes are recurrently fused to BCL6 by translocation and whether the other genes may be involved in BCL6 translocation. To address this question, we analysed clinical samples from NHL patients to identify the partner gene fused to the BCL6 gene using 5′-rapid amplification of cDNA ends (5′-RACE) and long and accurate (LA)-PCR.
Results
Identification of translocational partner genes by 5′-RACE
Genomic Southern blot analysis was performed using the ST-1 probe (Miki et al., 1994b) to select specimens showing BCL6-gene rearrangement. Eighteen of 98 specimens exhibited rearrangement and these 18 specimens were subjected to 5′-RACE analysis to identify the 5′-end of each fusion transcript. A 5′-RACE product was detected in all 18 specimens. Subsequent analysis of the sequences fused to the 5′-end of the second exon of each BCL6 gene detected fusion transcripts (5′-partner/BCL6-3′) in 14 of the 18 specimens, whereas in the other four, the sequences of the 5′-end of the second exon were identical to those of the first exon or the first intron of the BCL6 gene. In nine of the former specimens, the sequences detected by 5′-RACE were identical to those of the IgH gene and those of the other four were identical to the pim-1, MHC class II transactivator (CIITA), transferrin receptor (TFRR) and eukaryotic initiation factor 4All (eif4All) genes. Furthermore, in one specimen, unknown sequence was fused to BCL6. In order to determine the origin, we screened a cDNA library prepared from the Ramos cell line using the sequence as a probe and found that it corresponded to part of the 5′ untranslated region of the ikaros gene.
Identification, by the LA – PCR, of the breakpoints in the 5′partner/BCL6-3′ and 5′-BCL6/partner-3′ reciprocal fusion genes
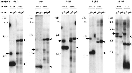
Next, in order to identify the genomic breakpoints in the 14 specimens in which the partner gene was detected by 5′-RACE, we subjected the genomic DNAs to the LA – PCR to amplify the sequences flanking the breakpoint (5′-partner/BCL6-3′). The DNA fragments containing breakpoints were successfully amplified from 11 of the 14 specimens and the breakpoints were clustered within 2.2 kb in the 5′-region of the first intron of the BCL6 gene (Figure 1). When the BCL6 gene was recombined with the IgH gene, the breakpoints were concentrated in the switch region of the IgH gene. However, it was difficult to identify the precise position of the breakpoint, because the switch region contains highly repetitive sequences. However, when the BCL6 gene was recombined with partner genes other than Ig genes, the breakpoints were clustered in the first intron of each partner gene (data not shown). Conversely, the genomic sequences flanking the breakpoints resulting from reciprocal translocation (5′BCL6/partner-3′) were amplified using forward and reverse primers designed to complement the first intron of the BCL6 gene and the sequences of the partner genes downstream of the breakpoint in each case, respectively (see Materials and methods). As shown in Figure 2, the DNA fragments containing breakpoints were successfully amplified in five cases, suggesting that these fusion genes such as 5′-BCL6/pim-1-3′, 5′-BCL6/CIITA-3′, 5′-BCL6/eif4AII-3′, 5′-BCL6/ikaros-3′ and 5′-BCL6/IgH-3′ were generated by reciprocal translocation in each case, respectively. Furthermore, genomic Southern blot analysis using sequences adjacent to the breakpoint in the BCL6 gene and in the partner genes as probes revealed that both probes hybridized with a rearranged band of the same size (Figure 3), suggesting that these translocations had occurred clonally in each tumor, but not in normal cells mingled with lymphoma cells in each sample.
Sequence analysis of the translocation breakpoint region in the BCL6 gene (a and b). The sequences flanking the breakpoints are aligned with the sequences of germline BCL6 and partner genes. Identical sequences are indicated by a vertical line: the sequences present in germline, but absent from fusion genes are underlined: and the boxed sequences are duplicated in both reciprocal 5′CIITA/BCL6-3′ and 5′-BCL6/CIITA-3′ fusion genes. GenBank accession numbers of the IgH gene (X56795 and U39935) are shown in parentheses
Southern blot analysis of NHL samples. Genomic DNAs extracted from a human normal placenta as a control (Cont.) and biopsies of NHL cases (ITM, ONU, NMR, NKM and HMS) were subjected to Southern blot analysis following digestion with restriction enzymes. The sequences adjacent to the breakpoint in the BCL6 gene and in the partner gene were used as probes, as described in Materials and methods. The bands corresponding to the germ-line are indicated by arrows and the rearranged bands are indicated by arrowheads
Sequence alignment of the breakpoint junctions of the fusion genes
As shown in Figure 2, analysis of the sequences flanking both breakpoints derived from reciprocal translocation yielded the following results. First, consistent with previous reports (Ye et al., 1995; Suzuki et al., 1994), no sequence homology was found around the breakpoints between the BCL6 gene and each partner gene. Second, neither the nonamer-heptamer recombination signal sequence (RSS) nor the chi-sequence (GCTGGTGG), which has been reported to be implicated in BCL2 translocation, was detected around the breakpoint (Wyatt et al., 1992). Third, sequences adjacent to the breakpoint only showed homology with the switch region when the partner was the IgH gene. However, we found that 7 – 194 bp deletions from the breakpoints in the BCL6 gene in the three specimens in which reciprocal translocation had occurred (Figure 2). Furthermore, we also found that 16 bp sequences in close proximity to the breakpoint in the BCL6 gene were duplicated in both reciprocal 5′-CIITA/BCL6-3′ and 5′-BCL6/CIITA-3′ fusion genes (Figure 2).
Discussion
The present analyses of DLBLs with BCL6 translocation revealed that the translocation partner genes were not confined to the Ig gene, but rather, in about half of the cases, the BCL6 gene was fused to heterologous partner genes including pim-1, CIITA, eif4AII, transferrin receptor and ikaros. Interestingly, the translocational breakpoints in the heterologous partner gene were confined to the first intron or the second exon. Accordingly, these translocations resulted in replacement of the endogenous promoter and the first exon of the BCL6 gene with the promoter and the first exon or both the first and second exon of the partner gene, leading to expression of the partner/BCL6 fusion transcripts from these fusion genes. This finding may support the hypothesis proposed by Ye and Chen (Ye et al., 1995; Chen et al., 1998) that the substituted promoter may be responsible for dysregulation of the downstream BCL6 gene.
On the other hand, another interpretation may also be possible for the consequences of BCL6 translocation. It has been reported that the sequences within the breakpoint-clustering region in the first intron of the BCL6 gene are well-conserved in more than species (Bernardin et al., 1997) and the breakpoints found in our study were concentrated in these regions. Furthermore, mutations and deletions of the BCL6 gene are clustered within these regions (Bernardin et al., 1997). Thus, these results raise a possibility that these regions may be implicated in regulation of BCL6 gene expression. If so, deletion of these sequences may be implicated in BCL6 dysregulation, regardless of the substituted promoter. Indeed, in the case of c-myc translocation, it has been reported that a region spanning the first exon-first intron junction is selectively mutated and to these sequences a protein is believed to bind and to regulate c-myc expression (Zajac-Kane et al., 1988).
The mechanism by which promiscuous partner genes are selected for BCL6 translocation is still unclear. In the case of rearrangement of the other oncogenes including c-myc, BCL1 and BCL2 in NHLs, it has been reported that the translocation partners are strictly confined to IgH or L genes (Tsujimoto, 1993; Dalla-Favera, 1993; Motokura et al., 1991) and that the breakpoints in the Ig gene are always located in the V(D)J region or the switch region. Based on these findings, these translocations have been thought to occur as the by-products of V(D)J or class-switch recombination. With respect to BCL6 translocation, Ye et al. (1995) proposed that, as the translocational breakpoints of 3 specimens with t(3;14)(q27;q32) were located in the switch region, BCL6 translocation in these specimens may have been a by product of switch recombination. In our study, in half of the specimens with the BCL6 translocation, the breakpoints were concentrated in the switch region of the IgH gene, suggesting that a switch recombination process plays a role in IgH gene scission. This finding lends some support to the hypothesis put forward by Ye et al. (1995). However, in our remaining specimens, the BCL6 gene was fused to heterologous partners other than Ig genes. Furthermore, in these specimens, the sequences adjacent to the breakpoint showed no homology with the switch region, V(D)J RSS or the chi sequence, which is thought to be involved in BCL2 translocation (Wyatt et al., 1992). Thus, BCL6 translocation does not appear to be attributable only to faulty switching, or V(D)J- or chi-sequence-mediated recombination, but rather, another mechanism may also be responsible for BCL6 translocation. Recently, the BCL6 gene has been reported to be a physiological target for somatic hypermutation in GC B cells (Shen et al., 1998; Pasqualucci et al., 1998). Interestingly, a small proportion of the BCL6 deletions in the mutation clustering region have also been detected in normal GC B cells (Pasqualucci et al., 1998), suggesting that scission of the double-strand DNA in the BCL6 gene, as well as in the IgV gene, occurs in normal GC B cells. In the light of these results, it is an interesting speculation that the mechanism for somatic hypermutation of the BCL6 gene may also be implicated in BCL6 translocation in some cases, as has been suggested for c-myc translocation (Klein et al., 1998; Goossens et al., 1998), although unknown mechanisms may participate in the BCL6 translocation in these cases. In addition, all of the heterologous partner genes found in our study and other group's study were also highly expressed in B cells, especially at the stage of GC B cell differentiation (Chen et al., 1998; Yoshida et al., unpublished). It is unknown whether active transcription of both the BCL6 and the translocation partner genes is involved in the molecular mechanism of BCL6 translocation. Further studies will be needed to address this question.
Our present study showed that 5′-RACE can be applied to the analysis of clinical biopsy samples. DLBL has been thought to have multiple subtypes which are primarily distinct in their pathogenesis, because the histological phenotype, the immunophenotype and even the clinical manifestation of DLBL are very heterogeneous (Harris et al., 1994). Recently, Offit et al. (1994) have reported that BCL6-rearrangement is a marker for good prognosis in DLBL, but Bastard et al. (1994) argued against this proposal on the basis of their clinical data. Thus, it is still controversial whether BCL6 translocation may affect patients' outcome. Analyses of BCL6 translocation using 5′-RACE may clarify the heterogeneity of DLBLs. On the other hand, in four cases with BCL6 gene rearrangement, we could not detect 5′-partner/BCL6-3′ transcripts by 5′-RACE, although the wild type BCL6 transcripts were detectable. This discrepancy may be explained as follows: (1) internal deletions within the enzymatically digested DNA fragments may result in rearranged bands on Southern blot analysis; (2) a mutation or a deletion at the recognition site of the restriction enzyme may result in rearrangement; (3) the expression of the 5′-partner/BCL6-3′-fusion transcripts may be at an undetectable level in 5′-RACE; (4) contamination of a large proportion of normal cells in the specimen may also result in failure to detect the fusion transcripts. Further studies will be required to address this issue.
Materials and methods
Tissue samples
The tissue specimens used in this study consisted of non-neoplastic human tonsils from patients undergoing tonsillectomy for reactive tonsillar hyperplasia and tumor biopsy specimens from 87 NHL patients and of 11 NHLs engrafted and maintained in mice with severe combined immune deficiency (SCID mice). Immediately after resection, the tonsils and NHL biopsy specimens were snap-frozen by immersion in n-hexane precooled with dry ice-acetone and stored at −80°C until required for use. The NHLs were classified according to the Revised European-American Classification of Lymphoid Neoplasms (REAL) (Harris et al., 1994).
5′-Rapid amplification of cDNA ends (5′-RACE)
In order to identify the partner gene fused to BCL6, a 5′-RACE kit (Version 2.0, Gibco-BRL; Gaithersburg, MD, USA) was used. First-strand cDNA was synthesized from the total RNA using a BCL6-specific primer, Rev1 (5′-CAAGTGTCCACAACATGC-3′), according to the manufacturer's instructions. Then, a homopolymeric tail was added to the 3′-end of the cDNA using TdT and dCTP and the dC-tailed cDNA was amplified using the abridged anchor primer supplied in the kit and a BCL6-specific nested primer, Rev2 (5′-TGGATACAGCTGTCAGCCGGCG-3′). After reamplification of the primary polymerase chain reaction (PCR) product using an AUAP primer supplied in the kit and a BCL6-specific nested primer, Rev3 (5′- GCGAGGCCATTTTGTCTTC-3′), the 5′-RACE product was cloned using an Original TA Cloning kit (Invitrogen; NV Leek, The Netherlands).
Long and accurate PCR (LA – PCR)
In order to identify the translocational breakpoint in each sample in which fusion transcripts were detected by 5′-RACE, the sequence of the genomic DNA flanking each breakpoint was amplified by the LA – PCR using forward primers designed to complement the sequences of the partner gene detected by 5′-RACE and reverse primers designed to complement the first intron of the BCL6 gene. The following forward primers were designed to complement the sequences of the partner genes detected by 5′-RACE: pim1-f, 5′-TTGT CCAAAATCAAC T CGCTTGCCCACCTGCGCGC-3′; ikaros-f, 5′-ATTTGTGTGGAAAAGGCAGCTCTCACTTGGCCTTG-3′; tfrr-f, 5′-AGAGCGTCGGGATATCGGGTGGCGGCTCGG-3′; CIITA-f, 5′-TTCCTACACAATGCGTTGCCTGGCTCCACGCCCTG-3′; eif4All-f, 5′-GTGGTTTTTCGGATCATGTCTGGTGGCTCCGCGG-3′; IgHsγ-f, 5′ - TGC CCA CCC AGT GCGAGACGACGGGGACCG - 3′; IgHsm1-f, 5′-GATTCCATGCCAAAGCTTTGCAAGGCTCGCAG-3′; IgHsm2-f, 5′-TTGGTGCAGAAGATATGCTG-3′ and IgHsm3-f, 5′-GAGCTGGGCTAAGTTGCACCAGGTGAGCTG-3′. The following reverse primers were designed to complement the first intron of the BCL6 gene: bcl6-1-r, 5′-ACAGAGTCACGCAGCGCCCAAAATACAAACAC-3′; bcl6-2-r, 5′-GGCAACGCAACCCACAGTTCTCAAGACATTTA-3′ and bcl6-3-r, 5′-ATCGCTCAGAGCCACAAACTGTATTTCTAAAC-3′ (Bernardin et al., 1997). Next, in order to identify the breakpoints resulting from reciprocal translocation, the forward primers for the BCL6 gene and the reverse primers for the CIITA, pim-1, eif4All, ikaros and IgH genes were used. The sequences of these primers were: bcl6-1-f, 5′-TTTGGATCCCTCTTGCCAAATGCTTTG-3′; bcl6-2-f, 5′-TTTGGATCCGATGAGATGAAGTATCGTG-3′; bcl6-3-f, 5′- TTTGGATCCCCTGCGATGCCTTTCAGTG-3′; bcl6-4-f, 5′-TTTGGATCCCCCTTCCCCTGTCCTTCTG-3′; CIITA-r, 5′-CAGGAGCTAGGGAGCCACTTGGGCAAGTGATCTGC-3′; pim1-r, 5′-CGGCAAGTTGTCGGAGAC-3′; eif4All-r, 5′-TGCCACGAAGGAGAGACTC-3′; ikaros-r, 5′-GTAAATCGAAGCAAACATACACAAC-3′; and IgH-r, 5′-TGGGAGTGAGTATAGGGAGGGTGAGTGTGATG-3′. For LA-PCR analysis, a TaKaRa LA PCRTM Kit Ver.2 (TAKARA, Kyoto, Japan) was used and the reaction was carried out according to the manufacturer's instructions.
Probes for genomic Southern blot analysis
In order to generate probes for genomic Southern blot analysis of the specimens in which BCL6 was rearranged, the PCR was performed to amplify the sequences of the partner gene adjacent to the breakpoint in each specimen. The sequences of the primers were: for the 5′-CIITA/BCL6-3′ fusion gene, CIITA (+), 5′-GGAGTCAGCCTTGAGGTGTA-3′, and CIITA (−), 5′-AGTCCACCTCCGAGGGCACA-3′; for the 5′-pim-1/BCL6-3′ fusion gene, pim1 (+), 5′-AACTCGCTTGCCCACCTG-3′, and pim1 (−), 5′-CGCCTGGTACTGCGACTCC-3′; for the 5′-ikaros/BCL6-3′ fusion gene, ikaros (+), 5′-TAGGTTTGTTGAGAGAGCAA-3′, and ikaros (−), 5′-TATGTTTAACAACCTGAGAT-3′ and for the 5′-eif4All/BCL6-3′ fusion gene, eif4All (+), 5′-TTCGGATCATGTCTGGTGGC-3′, and eif4All (−), 5′-CTTTCCCGTGGTCTACACT-3′. The DNA fragment adjacent to the breakpoint of the BCL6 gene was generated by subcloning the Sacl-digested DNA fragment (897 bp). The resulting PCR products, probeCIITA (808 bp), probepim1 (218 bp), probeikaros (817 bp), probeeif4All (312 bp), respectively, were subcloned and sequenced. In order to prepare the probeTFRR (416 bp), the PCR product flanking the breakpoint was digested with EcoRI and SmaI and the resulting 416 bp DNA fragment was cloned and then used for genomic Southern blot analysis.
Southern blot analysis
Genomic DNA was prepared from biopsy specimens as described previously (Onizuka et al., 1995). For Southern blotting, 10 μg genomic DNA was digested with BamHI, XbaI, HindIII, EcoRI, PstI or BgIII (TAKARA, Kyoto, Japan), electrophoresed using 1% w/v agarose gel and transferred to a nylon membrane filter (Pall Biodyne Transfer Membrane; PALL Biosupport, East Hills, NY, USA). Then, each filter was hybridized with each 32P-dCTP-labeled probe, washed and autoradiographed, as described previously (Onizuka et al., 1995).
References
Akasaka T, Miura I, Takahashi N, Akasaka H, Yonetani N, Ohno H, Fukuhara S and Okuma M. . 1997 Cancer Res. 57: 7–12.
Baron BW, Nucifora G, McCabe N, Espinosa R, Le BM and McKeithan TW. . 1993 Proc. Natl. Acad. Sci. USA 90: 5262–5266.
Bastard C, Deweindt C, Kerckaert JP, Lenormand B, Rossi A, Pezzella F, Fruchart C, Duval C, Monconduit M and Tilly H. . 1994 Blood 83: 2423–2427.
Benardin F, Collyn d HM, Quief S, Bastard C, Leprince D and Kerckaert JP. . 1997 Oncogene 14: 849–855.
Chen W, lida S, Louie DC, Dalla-Favera R and Chaganti RSK. . 1998 Blood 91: 603–607.
Cleary ML and Sklar J. . 1985 Proc. Natl. Acad. Sci. USA 82: 7439–7443.
Dalla-Favera R, Bregni M, Erickson J, Patterson D, Gallo R and Croce CM. . 1982 Proc. Natl. Acad. Sci. USA 79: 7824–7827.
Dalla-Favera R, Martinotti S, Gallo RC, Erickson J and Croce CM. . 1983 Science 219: 963–967.
Dalla-Favera R. . 1993 Chromosomal Translocations Involving the c-myc Oncogene in Lymphoid Neoplasia: The Causes and Consequences of Chromosomal Aberrations. Kirsch IR. (ed.).. CRC Press: Boca Raton pp. 313–332.
Dallery E., Galiegue ZS, Collyn d HM, Quief S, Denis C, Hildebrand MP, Lantoine D, Deweindt C, Tilly H, Bastard C and Kerckaert JP. . 1995 Oncogene 10: 2171–2178.
Gaidano G and Dalla-Favera R. . 1998 The Biology of High-Grade Malignant Lymphoma: The Lymphomas. Canellos GP, Lister TA and Sklar JLD (eds).. WB Saunders: Philadelphia pp. 353–367.
Galiegue-Zouitina S, Quief S, Hildebrand M-P, Denis C, Lecocq G, Collyn-d'Hooghe M, Bastard C, Yuille M, Dyer M JS and Kerckaert JP. . 1996 Leukemia 10: 579–587.
Goossens T, Klein U and Kuppers R. . 1998 Proc. Natl. Acad. Sci. USA 95: 2463–2468.
Harris NL, Jaffe ES, Stein H, Banks PM, Chan JKC, Cleary ML, Delsol G, De Wolf-Peeters C, Falini B, Gatter KC, Grogan TM, Isaacson PG, Knowles DM, Mason DY, Muller-Hermelink HK, Pileri SA, Piris MA, Ralfkider E and Warnke RA. . 1994 Blood 84: 1361–1392.
Kerckaert JP, Deweindt C, Tilly H, Quief S, Lecocq G and Bastard C. . 1993 Nature Genet. 5: 66–70.
Klein U, Gossens T, Fischer M, Kanzler H, Braeuninger A, Rajewsky K and Kupper R. . 1998 Immunol. Rev. 162: 261–280.
Miki T, Kawamata N, Hirosawa S and Aoki N. . 1994a Blood 83: 26–32.
Miki T, Kawamata N, Arai A, Ohashi K, Nakamura Y, Kato A, Hirosawa A and Aoki N. . 1994b Blood 83: 217–222.
Motokura T, Bloom T, Kim HG, Kuppner H, Ruderman JV, Kronenberg HM and Arnold A. . 1991 Nature 350: 512–515.
Offit K, LoCoco F, Louie DC, Parsa NZ, Leung D, Portlock C, Ye BH, Lista F, Filippa DA, Rosenbaum A, Ladanyi M, Jhanwar S, Dalla-Favera R and Chaganti RSK. . 1994 N. Engl. J. Med. 331: 74–80.
Ohno H and Fukuhara S. . 1997 Leuk. Lymph. 27: 53–63.
Onizuka T, Moriyama M, Yamochi T, Kuroda T, Kazama A, Kanazawa N, Sato K, Kato T, Ota H and Mori S. . 1995 Blood 86: 28–37.
Pasqualucci L, Migliazza A, Fracchiolla N, William C, Neri A, Baldini L, Chaganti RSK, Klein U, Kuppers R, Rajewsky K and Dalla-Favera R. . 1998 Proc. Natl. Acad. Sci. USA 95: 11816–11821.
Shen HM, Perters A, Baron B, Zhu X and Storb U. . 1998 Science 280: 1750–1752.
Suzuki K, Miki T, Kawamata N, Hirosawa S, Yoshizawa K, Kiyosawa K and Aoki N. . 1994 Jpn. J. Cancer Res. 85: 911–917.
Taub R, Kirsch IR, Morton C, Lenoir G, Swan D, Tronick S, Aaronson S and Leder P. . 1982 Proc. Natl. Acad. Sci. USA 79: 7837–7841.
Tsujimoto Y, Yunis J, Onorato-Showe L, Erikson J, Nowell PC and Croce CM. . 1984 Science 224: 1403–1406.
Tsujimoto Y. . 1993 Human B-cell Neoplasms with the t(11;14)(q13;q32) and t(14;18)(q32;q21) Chromosome Translocations: The Causes and Consequences of Chromosomal Aberrations. Kirsch IR. (ed.).. CRC Press: Boca Raton pp. 333–350.
Wyatt RT, Rudders RA, Zelenetz A, Delellis RA and Krontiris TG. . 1992 J. Exp. Med. 175: 1575–1588.
Ye BH, Lista F, Lo CF, Knowles DM, Offit K, Chaganti RSK and Dalla-Favera R. . 1993 Science 262: 747–750.
Ye BH, Chaganti RSK, Chang CC, Niu H, Corradini P, Chaganti RSK and Dalla-Favera R. . 1995 EMBO. J 14: 6209–6217.
Zajac-Kaye M, Gelmann EP and Levens D. . 1988 Science 240: 1776–1780.
Zutter MM and Korsmeyer SJ. . 1998 The Biology of Low-Grade Malignant Lymphoma: The Lymphomas. Canellos GP, Lister TA and Sklar JL. (eds).. WB Saunders: Philadelphia pp. 337–351.
Acknowledgements
We thank Dr Tohru Miki for the gift of the ST-1 probe. We also thank Mis. Naoko Ishiguro for the assistance in preparing this manuscript.
Author information
Affiliations
Rights and permissions
About this article
Cite this article
Yoshida, S., Kaneita, Y., Aoki, Y. et al. Identification of heterologous translocation partner genes fused to the BCL6 gene in diffuse large B-cell lymphomas: 5′-RACE and LA – PCR analyses of biopsy samples. Oncogene 18, 7994–7999 (1999). https://doi.org/10.1038/sj.onc.1203293
Received:
Revised:
Accepted:
Published:
Issue Date:
DOI: https://doi.org/10.1038/sj.onc.1203293
Keywords
- BCL6
- translocation
- hypermutation
- lymphoma
Further reading
-
Comprehensive detection of chromosomal translocations in lymphoproliferative disorders by massively parallel sequencing
Journal of Hematopathology (2019)
-
A Novel Non-Immunoglobulin (non-Ig)/BCL6 Translocation in Diffuse Large B-Cell Lymphoma Involving Chromosome 10q11.21 Loci and Review on Clinical Consequences of BCL6 Rearrangements
Pathology & Oncology Research (2016)
-
Spatial proximity of translocation-prone gene loci in human lymphomas
Nature Genetics (2003)
-
Ambivalent role of BCL6 in cell survival and transformation
Oncogene (2003)
-
Molecular mechanisms of lymphomagenesis through transcriptional disregulation by chromosome translocation
International Journal of Hematology (2002)


